아카이브 요약
이 페이지의 역할
2D치과의원의 네이버 블로그 원문을 보존한 아카이브 페이지입니다. 치아교정 카테고리의 [투디교정] 덧니치아교정, 부분교정으로 쉽고 빠르게! by.투디치과(2D치과) 글을 통해 병원의 한국어 정보 제공 방식과 진료 관련 안내 톤을 확인할 수 있습니다.
원문 검증
필요하면 원문 블로그와 병원 프로필로 바로 이동해 문맥을 다시 확인할 수 있습니다.
출처 아카이브 열기아카이브된 블로그 글
치과의원 · ✅ 앞니에 대한 장인정신. Since 2016. 2D치과 ✅
[투디교정] 덧니치아교정, 부분교정으로 쉽고 빠르게! by.투디치과(2D치과) 안녕하세요~ 우디에요! 하루 종일 따뜻한 기운이 가득한 요즘, 오랜만에 교정 후기 포스팅으로 돌아왔습니다. 그동안 투디치과의 교정 후기를 기다려주신 이웃님들이 많으신데요! 오늘은 덧니치아 교정 Case 소식입니다. ...
게시일
2020년 4월 8일
원문 기준으로 확인된 발행일입니다.
카테고리
치아교정
원문 블로그 카테고리를 정리해 함께 표시합니다.
이미지 수
17
현재 아카이브에 연결된 이미지 수입니다.
아카이브 요약
2D치과의원의 네이버 블로그 원문을 보존한 아카이브 페이지입니다. 치아교정 카테고리의 [투디교정] 덧니치아교정, 부분교정으로 쉽고 빠르게! by.투디치과(2D치과) 글을 통해 병원의 한국어 정보 제공 방식과 진료 관련 안내 톤을 확인할 수 있습니다.
원문 검증
필요하면 원문 블로그와 병원 프로필로 바로 이동해 문맥을 다시 확인할 수 있습니다.
출처 아카이브 열기![[투디교정] 덧니치아교정, 부분교정으로 쉽고 빠르게! by.투디치과(2D치과) 관련 이미지 1](https://pub-9f2bb3498faf4d1d8714b41df24753e3.r2.dev/content/clinics/archive/grb36g4zmx/naver_blog/dental2d/assets/by_hash/9c56255f0ba8e2b884f0982f7900dc00b9485792f54f97b13223028f4fb1c6fb.jpg)
[투디교정] 덧니치아교정, 부분교정으로 쉽고 빠르게! by.투디치과(2D치과)
안녕하세요~ 우디에요!
하루 종일 따뜻한 기운이 가득한 요즘,
오랜만에 교정 후기 포스팅으로 돌아왔습니다.
그동안 투디치과의 교정 후기를 기다려주신
이웃님들이 많으신데요!
오늘은 덧니치아 교정 Case 소식입니다.
이번 환자분께서는
하악의 덧니 증상으로
교정치료를 진행하셨습니다.
상악의 경우 하악과 달리
비교적 치열이 고르고 특별한 증상이 없어
하악의 덧니를 부분 교정으로 치료하였는데요,
교정장치가 겉으로 드러나는 것을
꺼리셔서 치아의 안쪽 면에 장치를
부착하는 투디교정으로 진행하였습니다.
"덧니치아 교정 전"
덧니치아 투디교정 전
투디치과(2D치과)
![[투디교정] 덧니치아교정, 부분교정으로 쉽고 빠르게! by.투디치과(2D치과) 관련 이미지 2](https://pub-9f2bb3498faf4d1d8714b41df24753e3.r2.dev/content/clinics/archive/grb36g4zmx/naver_blog/dental2d/assets/by_hash/35c107f40cfd4f1a139e24fd9ef6817eef09fee267331ba48b391301d325909d.jpg)
[투디교정] 덧니치아교정, 부분교정으로 쉽고 빠르게! by.투디치과(2D치과)
덧니치아 교정 전
치아 교합 시 입술의 모습입니다.
자연스럽게 입을 다물면
입술이 완전히 닫히지 않고
벌어지는 모습을 확인할 수 있습니다.
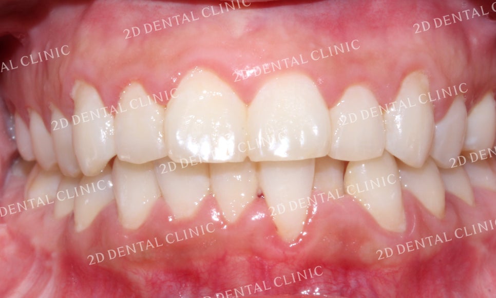
![[투디교정] 덧니치아교정, 부분교정으로 쉽고 빠르게! by.투디치과(2D치과) 관련 이미지 3](https://pub-9f2bb3498faf4d1d8714b41df24753e3.r2.dev/content/clinics/archive/grb36g4zmx/naver_blog/dental2d/assets/by_hash/fc87181406e0d4e46eff4eb269c1d552ced36b6d957b61642cf8d0564f7e9d7f.jpg)
[투디교정] 덧니치아교정, 부분교정으로 쉽고 빠르게! by.투디치과(2D치과)
미소 시 전치부 치아의 모습을 보면
하악의 덧니치아로 인해 교합면이
삐뚤삐뚤한 모습입니다.
![[투디교정] 덧니치아교정, 부분교정으로 쉽고 빠르게! by.투디치과(2D치과) 관련 이미지 4](https://pub-9f2bb3498faf4d1d8714b41df24753e3.r2.dev/content/clinics/archive/grb36g4zmx/naver_blog/dental2d/assets/by_hash/aca30b7b33433faba70d3bc59b35ca25ee94a7882d2dfabdb303c3d8607e83da.jpg)
[투디교정] 덧니치아교정, 부분교정으로 쉽고 빠르게! by.투디치과(2D치과)
미소시 전치부의 측면 사진입니다.
하악 전치부의 치열이 고르지 못해
상악이 도드라져 보이고 있습니다.
이번 Case는 하악의 전치부 치아가
총생이 심한 상태에서 덧니치아까지 발견되어
교합 시 상악과 하악의 부조화가 심한 경우였습니다.
따라서 비교적 가지런한 상악과의 조화를 위해
하악의 치아만을 부분적으로 교정하는
계획을 수립했습니다.
![[투디교정] 덧니치아교정, 부분교정으로 쉽고 빠르게! by.투디치과(2D치과) 관련 이미지 5](https://pub-9f2bb3498faf4d1d8714b41df24753e3.r2.dev/content/clinics/archive/grb36g4zmx/naver_blog/dental2d/assets/by_hash/25436b918bd0257c5c0c20968784c4ae0240108d0efda3aae9769abdb72435fe.jpg)
[투디교정] 덧니치아교정, 부분교정으로 쉽고 빠르게! by.투디치과(2D치과)
전치부 치아들을 보시면
상악과 달리 하악은 치열이
불규칙하고 삐뚤거림이 심한
모습을 확인할 수 있습니다.
![[투디교정] 덧니치아교정, 부분교정으로 쉽고 빠르게! by.투디치과(2D치과) 관련 이미지 6](https://pub-9f2bb3498faf4d1d8714b41df24753e3.r2.dev/content/clinics/archive/grb36g4zmx/naver_blog/dental2d/assets/by_hash/a022b7613fc839869504f6d652e82a42f2f13e639003b362be20a0de1e1ded3f.jpg)
[투디교정] 덧니치아교정, 부분교정으로 쉽고 빠르게! by.투디치과(2D치과)
하악의 설측면 사진입니다.
전치부 치아들이 들쭉날쭉하게
배열되어 있고 특히 32번 치아의 경우
원래의 자리에서 크게 이탈한 모습입니다.
이러한 치아의 삐뚤거림을
바로잡아 상악과의 교합상태를
조화롭게 만드는 교정과정을 거쳤습니다.
"덧니치아 교정 후"
덧니치아 투디교정 후
투디치과(2D치과)
<Before> <After>
![[투디교정] 덧니치아교정, 부분교정으로 쉽고 빠르게! by.투디치과(2D치과) 관련 이미지 7](https://pub-9f2bb3498faf4d1d8714b41df24753e3.r2.dev/content/clinics/archive/grb36g4zmx/naver_blog/dental2d/assets/by_hash/35c107f40cfd4f1a139e24fd9ef6817eef09fee267331ba48b391301d325909d.jpg)
![[투디교정] 덧니치아교정, 부분교정으로 쉽고 빠르게! by.투디치과(2D치과) 관련 이미지 8](https://pub-9f2bb3498faf4d1d8714b41df24753e3.r2.dev/content/clinics/archive/grb36g4zmx/naver_blog/dental2d/assets/by_hash/a4f024a49c3be4618807dadb8de208ab10ae24fbb4a73233a84529c2683eaac8.jpg)
덧니치아 교정 전 입술의 모습을 보시면
입을 다물었을 때 입술이 자연스럽게
떨어져 있는 모습입니다.
상악과 하악의 크기가 조화롭지 못하여
입술이 완전히 다물어지지 않는 모습인데요,
덧니치아 교정 후 상하악의 크기가
조화롭게 바뀌면서 입술이 완전히
다물어지는 모습입니다.
덧니치아 투디교정 전
투디치과(2D치과)
<Before> <After>
![[투디교정] 덧니치아교정, 부분교정으로 쉽고 빠르게! by.투디치과(2D치과) 관련 이미지 9](https://pub-9f2bb3498faf4d1d8714b41df24753e3.r2.dev/content/clinics/archive/grb36g4zmx/naver_blog/dental2d/assets/by_hash/fce560ca75ef9d34a66a3e75b9d1ccea1fa4d1698a0509fb46318f0d235ed6a2.jpg)
![[투디교정] 덧니치아교정, 부분교정으로 쉽고 빠르게! by.투디치과(2D치과) 관련 이미지 10](https://pub-9f2bb3498faf4d1d8714b41df24753e3.r2.dev/content/clinics/archive/grb36g4zmx/naver_blog/dental2d/assets/by_hash/ae08eb284befe3879f955e457be28a883aa2de3389c78511b8eb523130f5c332.jpg)
미소 시 전치부의 모습입니다.
교정 전 하악의 총생으로 인해
교합면이 고르지 못하고
삐뚤거리는 것을 확인할 수 있었습니다.
덧니치아 교정 후 하악의 치열이 고르게 바뀌고
상하악의 교합도 조화롭게 바뀐 모습입니다.
덧니치아 투디교정 전
투디치과(2D치과)
<Before> <After>
![[투디교정] 덧니치아교정, 부분교정으로 쉽고 빠르게! by.투디치과(2D치과) 관련 이미지 11](https://pub-9f2bb3498faf4d1d8714b41df24753e3.r2.dev/content/clinics/archive/grb36g4zmx/naver_blog/dental2d/assets/by_hash/aca30b7b33433faba70d3bc59b35ca25ee94a7882d2dfabdb303c3d8607e83da.jpg)
![[투디교정] 덧니치아교정, 부분교정으로 쉽고 빠르게! by.투디치과(2D치과) 관련 이미지 12](https://pub-9f2bb3498faf4d1d8714b41df24753e3.r2.dev/content/clinics/archive/grb36g4zmx/naver_blog/dental2d/assets/by_hash/2e817f5f1b50da34fb75d30ca4a1be67baea2310cdd100f0eda2f5df19c4a520.jpg)
미소 시 전치부 측면이 모습입니다.
상악이 도드라져 보이던 교정 전
모습과 달리 교정 후 하악 전치부가
가지런하게 배열되면서
상하악의 크기가 균형 있게 바뀐 모습입니다.
덧니치아 투디교정 전
투디치과(2D치과)
<Before> <After>
![[투디교정] 덧니치아교정, 부분교정으로 쉽고 빠르게! by.투디치과(2D치과) 관련 이미지 13](https://pub-9f2bb3498faf4d1d8714b41df24753e3.r2.dev/content/clinics/archive/grb36g4zmx/naver_blog/dental2d/assets/by_hash/13a80313b1f600b8f93af04c9badf11e41548a62ef0696134de0d9cff4840995.jpg)
![[투디교정] 덧니치아교정, 부분교정으로 쉽고 빠르게! by.투디치과(2D치과) 관련 이미지 14](https://pub-9f2bb3498faf4d1d8714b41df24753e3.r2.dev/content/clinics/archive/grb36g4zmx/naver_blog/dental2d/assets/by_hash/7647752f2d9b46fe629b440ce437b605b433e1c0f665a5ec27273587bdb242ea.jpg)
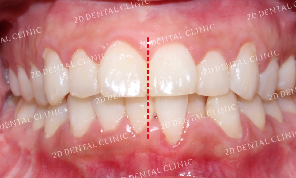
전치부를 자세히 보시면
교정 전 하악의 크라우딩으로 인해
치아가 심하게 삐뚤거리고, 상하악의
정중선도 맞지 않는 상태였습니다.
그러나 교정 후 하악 전치부 치아들이
가지런하게 교정되면서 상하악의 정중선이
정확하게 맞춰진 모습이네요!
덧니치아 투디교정 전
투디치과(2D치과)
<Before> <After>
![[투디교정] 덧니치아교정, 부분교정으로 쉽고 빠르게! by.투디치과(2D치과) 관련 이미지 15](https://pub-9f2bb3498faf4d1d8714b41df24753e3.r2.dev/content/clinics/archive/grb36g4zmx/naver_blog/dental2d/assets/by_hash/a02f7eda2521c2e1bd6b86c390ee3c923851e547a10b457d9f83b7344cdb3ef7.jpg)
![[투디교정] 덧니치아교정, 부분교정으로 쉽고 빠르게! by.투디치과(2D치과) 관련 이미지 16](https://pub-9f2bb3498faf4d1d8714b41df24753e3.r2.dev/content/clinics/archive/grb36g4zmx/naver_blog/dental2d/assets/by_hash/ce6737d6438a44e6b12794e8ab03bccb902bf1a732866f3c76b6066a8009c16a.jpg)
하악의 설측면을 보시면
문제가 되었던 32번 치아가
원래의 위치로 돌아간 모습을 확인할 수 있습니다.
또한 들쭉날쭉하게 틀어졌던
전치부 치아들도 매끄러운 곡선의 형태로
교정되면서 치열이 고르게 바뀐 모습입니다.
이번 덧니치아Case의 환자분께서는
교정 기간이 약 11개월 소요되셨으며
투디교정을 통해 치아 안쪽에
브라켓을 부착하여 교정을 진행하였습니다.
투디교정의 경우 설측에 브라켓이 부착되기 때문에
교정장치의 노출을 꺼리시거나 미관상 문제 등으로
교정을 고민하시는 환자분들께 적합한 교정 방식입니다.
환자분들께서는 치과 방문 후 정밀진단을 통해
자신에게 적합한 치료방식을 선택하시어
교정을 진행하시기 바랍니다.
![[투디교정] 덧니치아교정, 부분교정으로 쉽고 빠르게! by.투디치과(2D치과) 관련 이미지 17](https://pub-9f2bb3498faf4d1d8714b41df24753e3.r2.dev/content/clinics/archive/grb36g4zmx/naver_blog/dental2d/assets/by_hash/06bd440e48f71a0de68c49abe113b7f04b15f5ba52046ccfb4434b5cc5b76ece.jpg)