아카이브 요약
이 페이지의 역할
2D치과의원의 네이버 블로그 원문을 보존한 아카이브 페이지입니다. 치아교정 카테고리의 [투디교정] 덧니교정, 앞니교정으로 치열을 고르게! by.투디치과(2D치과) 글을 통해 병원의 한국어 정보 제공 방식과 진료 관련 안내 톤을 확인할 수 있습니다.
원문 검증
필요하면 원문 블로그와 병원 프로필로 바로 이동해 문맥을 다시 확인할 수 있습니다.
출처 아카이브 열기아카이브된 블로그 글
치과의원 · ✅ 앞니에 대한 장인정신. Since 2016. 2D치과 ✅
[투디교정] 덧니교정, 앞니교정으로 치열을 고르게! by.투디치과(2D치과) 안녕하세요! 오랜만에 교정후기 포스팅 소식을 가져온 우디에요 : ) 오늘은 앞니의 덧니치아 증상으로 교정치료를 진행하셨던 환자분의 교정 후기 소식을 준비했습니다! 덧니치아Case의 경우 유치를 제때 제거하지 않아 발생하는...
게시일
2020년 4월 16일
원문 기준으로 확인된 발행일입니다.
카테고리
치아교정
원문 블로그 카테고리를 정리해 함께 표시합니다.
이미지 수
17
현재 아카이브에 연결된 이미지 수입니다.
아카이브 요약
2D치과의원의 네이버 블로그 원문을 보존한 아카이브 페이지입니다. 치아교정 카테고리의 [투디교정] 덧니교정, 앞니교정으로 치열을 고르게! by.투디치과(2D치과) 글을 통해 병원의 한국어 정보 제공 방식과 진료 관련 안내 톤을 확인할 수 있습니다.
원문 검증
필요하면 원문 블로그와 병원 프로필로 바로 이동해 문맥을 다시 확인할 수 있습니다.
출처 아카이브 열기![[투디교정] 덧니교정, 앞니교정으로 치열을 고르게! by.투디치과(2D치과) 관련 이미지 1](https://pub-9f2bb3498faf4d1d8714b41df24753e3.r2.dev/content/clinics/archive/grb36g4zmx/naver_blog/dental2d/assets/by_hash/317ad5123278002353908c1db3d7a98d301e4013214da989401802471b264ac9.jpg)
[투디교정] 덧니교정, 앞니교정으로 치열을 고르게! by.투디치과(2D치과)
안녕하세요!
오랜만에 교정후기 포스팅
소식을 가져온 우디에요 : )
오늘은 앞니의 덧니치아 증상으로
교정치료를 진행하셨던 환자분의
교정 후기 소식을 준비했습니다!
덧니치아Case의 경우
유치를 제때 제거하지 않아
발생하는 경우가 많은데요,
간혹 턱뼈의 부조화나 유전 등의 원인으로 인해
덧니가 발생할 수도 있습니다.
/
쉽게 말해 덧니는 이미 만차 상태인
주차장에 주차를 해야 하는 경우와
비슷하다고 보시면 됩니다.
더 이상 주차할 공간이 없을 때
주차를 하려면 비스듬하게 차를 대거나
이중주차를 해야 하는 것처럼요.
/
이렇게 발생한 덧니의 경우
대부분이 견치(송곳니)인
Case가 많은데요,
이는 유치가 빠지고 영구치가 나는
순서 상 견치가 가장 늦게 자라기 때문입니다.
대부분의 경우 유치가 빠지고
중절치 → 측절치 → 소구치 → 견치
의 순서로 영구치가 자라나기 때문에
견치의 앞, 뒤로 충분한 공간이 확보되지 많으면
덧니로 자라날 가능성이 높아집니다.
이번 환자분의 경우
특이하게 중절치에서
덧니 증상이 발견되었는데요.
이론적으로는 모든 치아가
덧니가 될 가능성이 있기 때문에
이를 교정하기 위한 치료 계획을
수립하였습니다.
"덧니치아 교정 전"
덧니치아 투디교정 전
[투디교정] 덧니교정, 앞니교정으로 치열을 고르게! by.투디치과(2D치과)
![[투디교정] 덧니교정, 앞니교정으로 치열을 고르게! by.투디치과(2D치과) 관련 이미지 2](https://pub-9f2bb3498faf4d1d8714b41df24753e3.r2.dev/content/clinics/archive/grb36g4zmx/naver_blog/dental2d/assets/by_hash/70b23985e9be71e9b0222baad4292f8336691088a7ab505fd0ab8de8e8685d6e.jpg)
[투디교정] 덧니교정, 앞니교정으로 치열을 고르게! by.투디치과(2D치과)
덧니치아 교정 전
입술의 모습을 보시면
상악 중절치의 덧니 증상으로 인해
윗입술이 미세하게 돌출된 모습입니다.
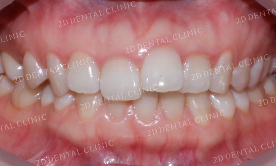
![[투디교정] 덧니교정, 앞니교정으로 치열을 고르게! by.투디치과(2D치과) 관련 이미지 3](https://pub-9f2bb3498faf4d1d8714b41df24753e3.r2.dev/content/clinics/archive/grb36g4zmx/naver_blog/dental2d/assets/by_hash/4612beb6b3ca5033f3419bbece45250acdb849ed2ad999e359dcb69105f5981a.jpg)
[투디교정] 덧니교정, 앞니교정으로 치열을 고르게! by.투디치과(2D치과)
미소 시 전치의 모습입니다.
상악 좌측 중절치가 앞쪽으로
강하게 뻐드러진 모습이 확인됩니다.
![[투디교정] 덧니교정, 앞니교정으로 치열을 고르게! by.투디치과(2D치과) 관련 이미지 4](https://pub-9f2bb3498faf4d1d8714b41df24753e3.r2.dev/content/clinics/archive/grb36g4zmx/naver_blog/dental2d/assets/by_hash/2d3719b3a721b9e86d825b1e1ea71a74116090f62775aa4af0673211fbcaf43f.jpg)
[투디교정] 덧니교정, 앞니교정으로 치열을 고르게! by.투디치과(2D치과)
측면 사진에서도 중절치가
바깥쪽으로 많이 튀어나온 모습인데요,
일반적인 덧니 증상과 달리 중절치의
덧니 증상이기 때문에 교정 시
공간 확보에 있더 더 세심한 노력을
기울여야 합니다.
![[투디교정] 덧니교정, 앞니교정으로 치열을 고르게! by.투디치과(2D치과) 관련 이미지 5](https://pub-9f2bb3498faf4d1d8714b41df24753e3.r2.dev/content/clinics/archive/grb36g4zmx/naver_blog/dental2d/assets/by_hash/a5824f1ae5da3202fe080967c166fc88fcccff0a207ad6a89768cbd970fd97b7.jpg)
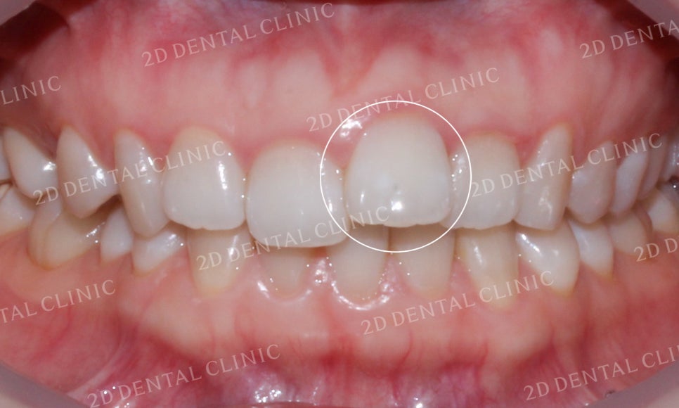
[투디교정] 덧니교정, 앞니교정으로 치열을 고르게! by.투디치과(2D치과)
전치부 사진을 보시면
중절치(21번)가 다른 치아들보다
확실히 돌출된 모습입니다.
이러한 덧니의 경우 치열이 고르지 못하고
삐뚤거리기 때문에 치석과 플라그가 쉽게 쌓일 수 있습니다.
따라서 치아 사이에 잔여 음식물이 남지 않도록
교정기간 중에도 꼼꼼한 관리가 필요합니다.
![[투디교정] 덧니교정, 앞니교정으로 치열을 고르게! by.투디치과(2D치과) 관련 이미지 6](https://pub-9f2bb3498faf4d1d8714b41df24753e3.r2.dev/content/clinics/archive/grb36g4zmx/naver_blog/dental2d/assets/by_hash/1fe035fef0e79477e37fcc8c1c9f724fe675848b8d7275248533359a524b0515.jpg)
[투디교정] 덧니교정, 앞니교정으로 치열을 고르게! by.투디치과(2D치과)
상악의 안쪽면 사진에서도
중절치의 덧니 증상을 확인할 수 있습니다.
이번 환자분의 경우
투디교정으로 교정치료를
진행하셨습니다.
투디교정의 경우 일반적인 교정방법과 달리
치아의 바깥면(순측)에 교정장치를 부착하는 것이 아닌
치아의 안쪽면(설측)에 교정장치를 부착하여
겉으로 교정기가 드러나지 않는다는 특징이 있습니다.
이러한 특징으로 인해 교정기의 노출을 꺼리시거나
직업 특성상 심미적인 부분을 걱정하시는 환자분에게
적합한 교정 방식입니다.
"덧니치아 교정 후"
덧니치아 투디교정 후
[투디교정] 덧니교정, 앞니교정으로 치열을 고르게! by.투디치과(2D치과)
<Before> <After>
![[투디교정] 덧니교정, 앞니교정으로 치열을 고르게! by.투디치과(2D치과) 관련 이미지 7](https://pub-9f2bb3498faf4d1d8714b41df24753e3.r2.dev/content/clinics/archive/grb36g4zmx/naver_blog/dental2d/assets/by_hash/70b23985e9be71e9b0222baad4292f8336691088a7ab505fd0ab8de8e8685d6e.jpg)
![[투디교정] 덧니교정, 앞니교정으로 치열을 고르게! by.투디치과(2D치과) 관련 이미지 8](https://pub-9f2bb3498faf4d1d8714b41df24753e3.r2.dev/content/clinics/archive/grb36g4zmx/naver_blog/dental2d/assets/by_hash/591841fcb974d929aecc4cf6770360a31404bd3482c3b1c212255f5c808f690b.jpg)
[투디교정] 덧니교정, 앞니교정으로 치열을 고르게! by.투디치과(2D치과)
치아 교합 시 입술의 모습입니다.
중절치의 덧니 교정 전 윗입술에서
미세하게 돌출감이 느껴졌었는데요,
교정 후 튀어나온 부분 없이
돌출감이 사라진 모습입니다.
덧니치아 투디교정 후
[투디교정] 덧니교정, 앞니교정으로 치열을 고르게! by.투디치과(2D치과)
<Before> <After>
![[투디교정] 덧니교정, 앞니교정으로 치열을 고르게! by.투디치과(2D치과) 관련 이미지 9](https://pub-9f2bb3498faf4d1d8714b41df24753e3.r2.dev/content/clinics/archive/grb36g4zmx/naver_blog/dental2d/assets/by_hash/55084fd97e9c17687f51df293c9bd337e1feef2f8f4ede475f739ad1dd5dd72e.jpg)
![[투디교정] 덧니교정, 앞니교정으로 치열을 고르게! by.투디치과(2D치과) 관련 이미지 10](https://pub-9f2bb3498faf4d1d8714b41df24753e3.r2.dev/content/clinics/archive/grb36g4zmx/naver_blog/dental2d/assets/by_hash/034e08dbe3f391a80ae233041084086ed923fac1f221c957c5d6721f32499ceb.jpg)
[투디교정] 덧니교정, 앞니교정으로 치열을 고르게! by.투디치과(2D치과)
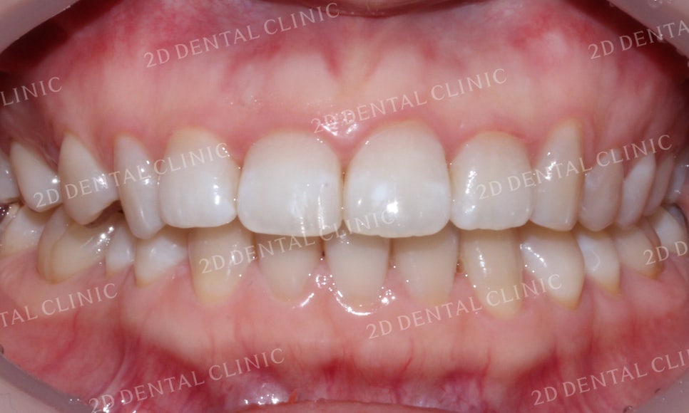
미소 시 전치부 모습입니다.
덧니 증상으로 인해 순측으로
뻐드러지게 나와있던
좌측 중절치가 덧니 교정 후
제자리를 찾은 모습입니다.
덧니치아 투디교정 후
[투디교정] 덧니교정, 앞니교정으로 치열을 고르게! by.투디치과(2D치과)
<Before> <After>
![[투디교정] 덧니교정, 앞니교정으로 치열을 고르게! by.투디치과(2D치과) 관련 이미지 11](https://pub-9f2bb3498faf4d1d8714b41df24753e3.r2.dev/content/clinics/archive/grb36g4zmx/naver_blog/dental2d/assets/by_hash/fb9e6ad7879b586c98898785f482652aeecea2b22851b7a7facfcf5163c205fa.jpg)
![[투디교정] 덧니교정, 앞니교정으로 치열을 고르게! by.투디치과(2D치과) 관련 이미지 12](https://pub-9f2bb3498faf4d1d8714b41df24753e3.r2.dev/content/clinics/archive/grb36g4zmx/naver_blog/dental2d/assets/by_hash/11a07528107dd2367d24bfe04363262a9fe3fc72eae11038519e514f39da0a42.jpg)
[투디교정] 덧니교정, 앞니교정으로 치열을 고르게! by.투디치과(2D치과)
측면에서 본 사진에서도
바깥쪽으로 틀어진 부분 없이
깔끔하게 덧니가 교정된 모습이네요.
덧니치아 투디교정 후
[투디교정] 덧니교정, 앞니교정으로 치열을 고르게! by.투디치과(2D치과)
<Before> <After>
![[투디교정] 덧니교정, 앞니교정으로 치열을 고르게! by.투디치과(2D치과) 관련 이미지 13](https://pub-9f2bb3498faf4d1d8714b41df24753e3.r2.dev/content/clinics/archive/grb36g4zmx/naver_blog/dental2d/assets/by_hash/bd991573a858dc29387a862ed797f8c8487074aeea717fc8d449114db2c05216.jpg)
![[투디교정] 덧니교정, 앞니교정으로 치열을 고르게! by.투디치과(2D치과) 관련 이미지 14](https://pub-9f2bb3498faf4d1d8714b41df24753e3.r2.dev/content/clinics/archive/grb36g4zmx/naver_blog/dental2d/assets/by_hash/912e41746d2b400c260a4a7117509cd959369c62b97445f414c9f8c5b8bb91ec.jpg)
[투디교정] 덧니교정, 앞니교정으로 치열을 고르게! by.투디치과(2D치과)
전치를 자세히 살펴보면
상악의 공간이 좁아 치아들이
고르게 배열되지 못한 모습이었습니다.
덧니교정 후 부족했던 상악의 공간이
조금씩 확보되면서 가지런한 치열을 되찾은 모습이네요!
덧니치아 투디교정 후
[투디교정] 덧니교정, 앞니교정으로 치열을 고르게! by.투디치과(2D치과)
<Before> <After>
![[투디교정] 덧니교정, 앞니교정으로 치열을 고르게! by.투디치과(2D치과) 관련 이미지 15](https://pub-9f2bb3498faf4d1d8714b41df24753e3.r2.dev/content/clinics/archive/grb36g4zmx/naver_blog/dental2d/assets/by_hash/d2da043c4a4430eb15ad52f1bcfa70ff6a8493ff84fab204ac78da91b507c374.jpg)
![[투디교정] 덧니교정, 앞니교정으로 치열을 고르게! by.투디치과(2D치과) 관련 이미지 16](https://pub-9f2bb3498faf4d1d8714b41df24753e3.r2.dev/content/clinics/archive/grb36g4zmx/naver_blog/dental2d/assets/by_hash/8370847a4d5d09a4fff1c3614f8fae6e8fd66ccf5d9a0c03aa466c57eb4963ce.jpg)
[투디교정] 덧니교정, 앞니교정으로 치열을 고르게! by.투디치과(2D치과)
이번 덧니Case의 경우 발치과정 없이
교정을 진행하였습니다.
따라서 치아가 올바르게 배열되기 위해
발치 교정보다 비교적 많은 시간이 소요되었는데요,
만약 치열이 심하게 흐트러진 경우
비발치로 교정을 진행하지 못할 수 있기 때문에
교정 전 치과에 방문하시어 반드시
정밀검진을 받아보시기 바랍니다.
투디교정의 경우 설측에 브라켓이 부착되기 때문에
교정장치의 노출을 꺼리시거나 미관상 문제 등으로
교정을 고민하시는 환자분들께 적합한 교정 방식입니다.
![[투디교정] 덧니교정, 앞니교정으로 치열을 고르게! by.투디치과(2D치과) 관련 이미지 17](https://pub-9f2bb3498faf4d1d8714b41df24753e3.r2.dev/content/clinics/archive/grb36g4zmx/naver_blog/dental2d/assets/by_hash/06bd440e48f71a0de68c49abe113b7f04b15f5ba52046ccfb4434b5cc5b76ece.jpg)