아카이브 요약
이 페이지의 역할
2D치과의원의 네이버 블로그 원문을 보존한 아카이브 페이지입니다. 치아교정 카테고리의 [앞니교정] 부정교합 교정, 앞니교정으로 부정교합 교정하는 방법! by. 투디치과(2D치과) 글을 통해 병원의 한국어 정보 제공 방식과 진료 관련 안내 톤을 확인할 수 있습니다.
원문 검증
필요하면 원문 블로그와 병원 프로필로 바로 이동해 문맥을 다시 확인할 수 있습니다.
출처 아카이브 열기아카이브된 블로그 글
치과의원 · ✅ 앞니에 대한 장인정신. Since 2016. 2D치과 ✅
안녕하세요! 우디에요*^^* 오늘은 아침부터 흐린 날이네요ㅠ 갑자기 쌀쌀해진 날씨에 감기 걸리지 않도록 이웃님들도 따뜻한 옷차림으로 외출하시기 바라요~ 오늘은 투디치과의 교정후기! 앞니교정 후기 포스팅을 준비했는데요, 부정교합 증상으로 인해 앞니가 벌어지고 제대로 다물어지지 않는 Case를...
게시일
2020년 4월 20일
원문 기준으로 확인된 발행일입니다.
카테고리
치아교정
원문 블로그 카테고리를 정리해 함께 표시합니다.
이미지 수
13
현재 아카이브에 연결된 이미지 수입니다.
아카이브 요약
2D치과의원의 네이버 블로그 원문을 보존한 아카이브 페이지입니다. 치아교정 카테고리의 [앞니교정] 부정교합 교정, 앞니교정으로 부정교합 교정하는 방법! by. 투디치과(2D치과) 글을 통해 병원의 한국어 정보 제공 방식과 진료 관련 안내 톤을 확인할 수 있습니다.
원문 검증
필요하면 원문 블로그와 병원 프로필로 바로 이동해 문맥을 다시 확인할 수 있습니다.
출처 아카이브 열기![[앞니교정] 부정교합 교정, 앞니교정으로 부정교합 교정하는 방법! by. 투디치과(2D치과) 관련 이미지 1](https://pub-9f2bb3498faf4d1d8714b41df24753e3.r2.dev/content/clinics/archive/grb36g4zmx/naver_blog/dental2d/assets/by_hash/5ea237840b06ef002904518b53f19b407bac4a19a364d5799823f05feecd63ac.jpg)
안녕하세요! 우디에요*^^*
오늘은 아침부터 흐린 날이네요ㅠ
갑자기 쌀쌀해진 날씨에
감기 걸리지 않도록
이웃님들도 따뜻한 옷차림으로
외출하시기 바라요~
오늘은 투디치과의 교정후기!
앞니교정 후기 포스팅을 준비했는데요,
부정교합 증상으로 인해
앞니가 벌어지고 제대로 다물어지지 않는
Case를 소개해드리려고 합니다.
이러한 증상의 경우
'개방교합'이라고 불리는데요,
개방교합은 치아가 항상
벌어져 있는 상태이기 때문에
되도록 빠른 시일 내에 교정치료로
치아가 제대로 교합될 수 있도록 하는 것이
중요합니다.
이번 환자분의 경우
정밀검진을 통해
치아의 상태를 측정한 결과
개방교합 성향
상악 치아의 crowding
하악 전치부 미약한 spacing
상악 전치 높이 짧음
등의 문제가 발견되었습니다.
따라서 이를 올바르게
바로잡기 위한 교정 치료 계획을 세웠는데요,
상악의 크라우딩으로 인해
교정 후 잇몸 성형의 가능성이 있었습니다.
이를 감안하시고 포스팅 읽어주시기 바랍니다.
"부정교합 교정 전"
앞니교정, 부정교합(개방교합) 교정 전
투디치과(2D치과)
![[앞니교정] 부정교합 교정, 앞니교정으로 부정교합 교정하는 방법! by. 투디치과(2D치과) 관련 이미지 2](https://pub-9f2bb3498faf4d1d8714b41df24753e3.r2.dev/content/clinics/archive/grb36g4zmx/naver_blog/dental2d/assets/by_hash/1c43d62a6a0046acbf049e7c568a2814446ef8d25ec99c7771b53ceb005effd9.jpg)
[앞니교정] 부정교합 교정, 앞니교정으로 부정교합 교정하는 방법! by. 투디치과(2D치과)
부정교합 교정 전 입술의 모습입니다.
치아교합 시 입술이 살짝 벌어지고
상악 중절치가 노출되어 있는 모습입니다.
앞니교정, 부정교합(개방교합) 교정 전
투디치과(2D치과)
![[앞니교정] 부정교합 교정, 앞니교정으로 부정교합 교정하는 방법! by. 투디치과(2D치과) 관련 이미지 3](https://pub-9f2bb3498faf4d1d8714b41df24753e3.r2.dev/content/clinics/archive/grb36g4zmx/naver_blog/dental2d/assets/by_hash/118bd6b67066306c38f662b7d49546fd6a788194352e03c4418a80764003d7f3.jpg)
[앞니교정] 부정교합 교정, 앞니교정으로 부정교합 교정하는 방법! by. 투디치과(2D치과)
미소 시 전치부의 모습을 보시면
개방교합 증상으로 인해
치아가 완전히 맞물리지 않는 모습입니다.
이러한 개방교합의 경우
골격적인 문제로 인한 원인,
혹은 혀를 내밀고 있는 습관 등의
원인으로 발생하게 되는데요.
입술을 완전히 닫지 않을 경우
항상 구강 내부가 노출되기 때문에
입안이 쉽게 마르게 됩니다.
입안을 건조하게 유지하게 될 경우
구취가 발생할 수 있고,
치석과 플라그가 쉽게 생기는
환경이 조성됩니다.
앞니교정, 부정교합(개방교합) 교정 전
투디치과(2D치과)
![[앞니교정] 부정교합 교정, 앞니교정으로 부정교합 교정하는 방법! by. 투디치과(2D치과) 관련 이미지 4](https://pub-9f2bb3498faf4d1d8714b41df24753e3.r2.dev/content/clinics/archive/grb36g4zmx/naver_blog/dental2d/assets/by_hash/e4d46e35c0c678cadc74f1c7428c9cb627b63bd662c1d305547a9900c5267ab2.jpg)
[앞니교정] 부정교합 교정, 앞니교정으로 부정교합 교정하는 방법! by. 투디치과(2D치과)
미소 시 전치부의 측면 사진입니다.
상악의 전치가 일반적인 Case보다
미세하게 짧기 때문에 개방교합 증상이
상대적으로 더 부각되어 보이네요.
앞니교정, 부정교합(개방교합) 교정 전
투디치과(2D치과)
![[앞니교정] 부정교합 교정, 앞니교정으로 부정교합 교정하는 방법! by. 투디치과(2D치과) 관련 이미지 5](https://pub-9f2bb3498faf4d1d8714b41df24753e3.r2.dev/content/clinics/archive/grb36g4zmx/naver_blog/dental2d/assets/by_hash/6875e45ff9a27190ee3e0222d24ee3be499c0f363bb945e241ab91e14aeeb730.jpg)
[앞니교정] 부정교합 교정, 앞니교정으로 부정교합 교정하는 방법! by. 투디치과(2D치과)
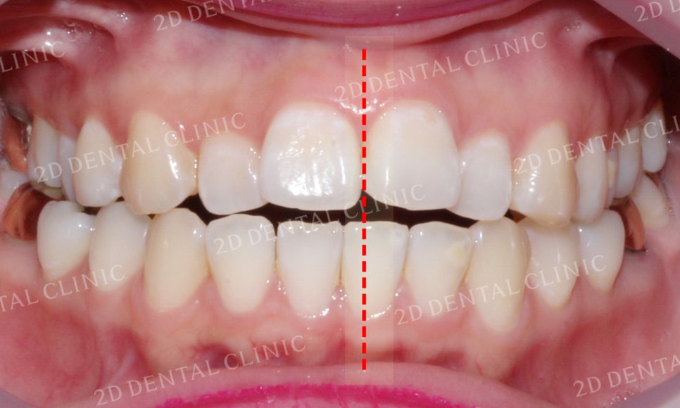
전치부 사진을 보시면
상하악의 정중선이 일치하지 않고
틀어진 모습입니다.
또한 전치부 치아가 크라우딩으로
삐뚤거리는 모습을 확인할 수 있습니다.
앞니교정, 부정교합(개방교합) 교정 전
투디치과(2D치과)
![[앞니교정] 부정교합 교정, 앞니교정으로 부정교합 교정하는 방법! by. 투디치과(2D치과) 관련 이미지 6](https://pub-9f2bb3498faf4d1d8714b41df24753e3.r2.dev/content/clinics/archive/grb36g4zmx/naver_blog/dental2d/assets/by_hash/f4e46b79c48076d60009f12c072993a7e1c1759b7dc1511c36a58d615b475e33.jpg)
[앞니교정] 부정교합 교정, 앞니교정으로 부정교합 교정하는 방법! by. 투디치과(2D치과)
상악의 설측면 사진입니다.
전치부 치아가 전체적으로 삐뚤거리고
치열이 어긋난 모습인데요,
중절치의 뻐드러짐으로 인해
앞니가 순측으로 강하게 돌출된 모습입니다.
"부정교합 교정 후"
앞니교정, 부정교합(개방교합) 교정 후
투디치과(2D치과)
<Before> <After>
![[앞니교정] 부정교합 교정, 앞니교정으로 부정교합 교정하는 방법! by. 투디치과(2D치과) 관련 이미지 7](https://pub-9f2bb3498faf4d1d8714b41df24753e3.r2.dev/content/clinics/archive/grb36g4zmx/naver_blog/dental2d/assets/by_hash/9dce451c6730b6a7be07f4b01d493c48e01421748a481030a2d36eb610280fa8.jpg)
![[앞니교정] 부정교합 교정, 앞니교정으로 부정교합 교정하는 방법! by. 투디치과(2D치과) 관련 이미지 8](https://pub-9f2bb3498faf4d1d8714b41df24753e3.r2.dev/content/clinics/archive/grb36g4zmx/naver_blog/dental2d/assets/by_hash/cc9427f1c4fa06c98a9255d0a29140ced0953fa1e7351c97e612c5bb43564362.jpg)
앞니교정 전 입술의 모습입니다.
부정교합 교정 전 아랫입술 위로
상악의 중절치가 드러나던 모습과 달리
교정 후 벌어진 전치가 올바르게 교합되어
중절치의 돌출감이 사라진 모습입니다.
앞니교정, 부정교합(개방교합) 교정 후
투디치과(2D치과)
<Before> <After>
![[앞니교정] 부정교합 교정, 앞니교정으로 부정교합 교정하는 방법! by. 투디치과(2D치과) 관련 이미지 9](https://pub-9f2bb3498faf4d1d8714b41df24753e3.r2.dev/content/clinics/archive/grb36g4zmx/naver_blog/dental2d/assets/by_hash/c2f0e9c80beb54f97c1efa6db6788701c9c8f85fa4844270a5e5ee365e2ce2b6.jpg)
![[앞니교정] 부정교합 교정, 앞니교정으로 부정교합 교정하는 방법! by. 투디치과(2D치과) 관련 이미지 10](https://pub-9f2bb3498faf4d1d8714b41df24753e3.r2.dev/content/clinics/archive/grb36g4zmx/naver_blog/dental2d/assets/by_hash/47a9551ef9843b0c50ad36ab30145a1c5bf6938768c03dcc487c4c3c93dbc8c7.jpg)
미소 시 전치부의 모습입니다.
앞니교정 전 개방교합 증상으로 인해
교합 시에도 치아가 벌어져 있었는데요,
부정교합 교정 후 상악이 하악을
일정하게 덮는 교합상태로 바뀐 모습입니다.
또한 순측으로 강하게 뻐드러져 있던
상악 중절치가 가지런하게 자리 잡으면서
절단연 또한 고르게 바뀐 모습이네요!
앞니교정, 부정교합(개방교합) 교정 후
투디치과(2D치과)
<Before> <After>
![[앞니교정] 부정교합 교정, 앞니교정으로 부정교합 교정하는 방법! by. 투디치과(2D치과) 관련 이미지 11](https://pub-9f2bb3498faf4d1d8714b41df24753e3.r2.dev/content/clinics/archive/grb36g4zmx/naver_blog/dental2d/assets/by_hash/8af5a48e82e94ec1c352cce5d437540f8d46e25d548877bee021485c4f1709d4.jpg)
![[앞니교정] 부정교합 교정, 앞니교정으로 부정교합 교정하는 방법! by. 투디치과(2D치과) 관련 이미지 12](https://pub-9f2bb3498faf4d1d8714b41df24753e3.r2.dev/content/clinics/archive/grb36g4zmx/naver_blog/dental2d/assets/by_hash/c3b22efa190651c88206645b5f51d85f7045c008d60bb71433974afbdc25b0a5.jpg)
앞니교정 전 전치부 측면의 사진을 보시면
상하악의 측절치가 맞닿아 벌어져 있는 모습입니다.
개방교합 교정 후 이러한 교합 상태가
정상적인 교합 상태로 바뀌면서
상하악의 벌어짐이 크게 완화된 모습입니다.
![[앞니교정] 부정교합 교정, 앞니교정으로 부정교합 교정하는 방법! by. 투디치과(2D치과) 관련 이미지 13](https://pub-9f2bb3498faf4d1d8714b41df24753e3.r2.dev/content/clinics/archive/grb36g4zmx/naver_blog/dental2d/assets/by_hash/06bd440e48f71a0de68c49abe113b7f04b15f5ba52046ccfb4434b5cc5b76ece.jpg)