아카이브 요약
이 페이지의 역할
2D치과의원의 네이버 블로그 원문을 보존한 아카이브 페이지입니다. 치아교정 카테고리의 [앞니교정] 돌출앞니교정, 토끼앞니를 클리피씨교정으로 완성하기! by. 투디치과(2D치과) 글을 통해 병원의 한국어 정보 제공 방식과 진료 관련 안내 톤을 확인할 수 있습니다.
원문 검증
필요하면 원문 블로그와 병원 프로필로 바로 이동해 문맥을 다시 확인할 수 있습니다.
출처 아카이브 열기아카이브된 블로그 글
치과의원 · ✅ 앞니에 대한 장인정신. Since 2016. 2D치과 ✅
안녕하세요! 우디에요~ 오늘은 투디치과의 교정소식! 돌출앞니를 클리피씨 부분교정으로 마무리한 Case를 포스팅으로 준비했습니다. 돌출앞니 증상은 흔히 토끼이빨이라고 불리는 경우가 많은데요, 이러한 중절치의 돌출현상은 유전적인 요인이나 후천적 습관 등으로 인해 발생하게 됩니다. ...
게시일
2020년 4월 22일
원문 기준으로 확인된 발행일입니다.
카테고리
치아교정
원문 블로그 카테고리를 정리해 함께 표시합니다.
이미지 수
15
현재 아카이브에 연결된 이미지 수입니다.
아카이브 요약
2D치과의원의 네이버 블로그 원문을 보존한 아카이브 페이지입니다. 치아교정 카테고리의 [앞니교정] 돌출앞니교정, 토끼앞니를 클리피씨교정으로 완성하기! by. 투디치과(2D치과) 글을 통해 병원의 한국어 정보 제공 방식과 진료 관련 안내 톤을 확인할 수 있습니다.
원문 검증
필요하면 원문 블로그와 병원 프로필로 바로 이동해 문맥을 다시 확인할 수 있습니다.
출처 아카이브 열기![[앞니교정] 돌출앞니교정, 토끼앞니를 클리피씨교정으로 완성하기! by. 투디치과(2D치과) 관련 이미지 1](https://pub-9f2bb3498faf4d1d8714b41df24753e3.r2.dev/content/clinics/archive/grb36g4zmx/naver_blog/dental2d/assets/by_hash/ddedeac78c57ff7fc5a6c3314896cc28323d8d3ba0a2992eb424b6c3a7b95555.jpg)
안녕하세요! 우디에요~
오늘은 투디치과의 교정소식!
돌출앞니를 클리피씨
부분교정으로 마무리한 Case를
포스팅으로 준비했습니다.
돌출앞니 증상은 흔히
토끼이빨이라고 불리는
경우가 많은데요,
이러한 중절치의 돌출현상은
유전적인 요인이나 후천적 습관
등으로 인해 발생하게 됩니다.
따라서 손가락을 빠는 습관이나
혀를 내미는 등의 악습관을 고치고
치아교정을 통해 앞니를 가지런하게
만들어야 하는데요,
이번 환자분의 경우
상악 중절치의 크기가
주변 치아보다 크고 뻐드러져 있어
치아가 더 부각되어 보이는 모습이었습니다.
또한 상악보다 하악골의 성장이
상대적으로 미약하여
돌출감이 더 심해 보였습니다.
"돌출앞니 교정 전"
돌출앞니, 클리피씨 부분교정 전
투디치과(2D치과)
![[앞니교정] 돌출앞니교정, 토끼앞니를 클리피씨교정으로 완성하기! by. 투디치과(2D치과) 관련 이미지 2](https://pub-9f2bb3498faf4d1d8714b41df24753e3.r2.dev/content/clinics/archive/grb36g4zmx/naver_blog/dental2d/assets/by_hash/b28e2b1e9c11534eb269d92bb2530c27fbff6269dbccd338a5305781c7dc7533.jpg)
[앞니교정] 돌출앞니교정, 토끼앞니를 클리피씨교정으로 완성하기! by. 투디치과(2D치과)
치아교합 시 입술의 모습입니다.
앞니교정 전 중절치의 돌출로 인해
입술에서도 돌출감이 느껴지는 모습인데요,
입을 다물었을 때 돌출된 앞니로 인해
입술이 살짝 벌어지는 증상도 나타나고 있습니다.
돌출앞니, 클리피씨 부분교정 전
투디치과(2D치과)
![[앞니교정] 돌출앞니교정, 토끼앞니를 클리피씨교정으로 완성하기! by. 투디치과(2D치과) 관련 이미지 3](https://pub-9f2bb3498faf4d1d8714b41df24753e3.r2.dev/content/clinics/archive/grb36g4zmx/naver_blog/dental2d/assets/by_hash/ac55492d4f8761f56642c02e77081ebfdf10d1f3f023c364d53d425da824103f.jpg)
[앞니교정] 돌출앞니교정, 토끼앞니를 클리피씨교정으로 완성하기! by. 투디치과(2D치과)
미소 시 전치부의 모습입니다.
상악 중절치가 유독 크고
삐뚤어진 모습이기 때문에
상악의 치열이 틀어져 보입니다.
또한 전치부가 전방으로 돌출되어 있어
돌출감이 더 심해 보이는데요,
상하악 모두 크라우딩이 발견되는 모습입니다.
돌출앞니, 클리피씨 부분교정 전
투디치과(2D치과)
![[앞니교정] 돌출앞니교정, 토끼앞니를 클리피씨교정으로 완성하기! by. 투디치과(2D치과) 관련 이미지 4](https://pub-9f2bb3498faf4d1d8714b41df24753e3.r2.dev/content/clinics/archive/grb36g4zmx/naver_blog/dental2d/assets/by_hash/cc088618535ed6872a5491ffdd5b530355d235b58104e19b4ed696ea49ded06d.jpg)
[앞니교정] 돌출앞니교정, 토끼앞니를 클리피씨교정으로 완성하기! by. 투디치과(2D치과)
미소 시 전치부 측면의 모습입니다.
전치부의 치열이 중절치의 돌출로 인해
크게 틀어진 모습입니다.
또한 측절치와 견치 사이에
공간이 발생한 모습이네요.
돌출앞니, 클리피씨 부분교정 전
투디치과(2D치과)
![[앞니교정] 돌출앞니교정, 토끼앞니를 클리피씨교정으로 완성하기! by. 투디치과(2D치과) 관련 이미지 5](https://pub-9f2bb3498faf4d1d8714b41df24753e3.r2.dev/content/clinics/archive/grb36g4zmx/naver_blog/dental2d/assets/by_hash/109ae7a9048388cf58c4a87c9c90e31c62a2bae44c892caa2091d26c8c0882ff.jpg)
[앞니교정] 돌출앞니교정, 토끼앞니를 클리피씨교정으로 완성하기! by. 투디치과(2D치과)
전치부의 사진을 보시면
상악의 절단연이 고르지 못하고
삐뚤거리는 모습입니다.
또한 상하악 크기의 부조화로 인해
하악의 성장이 미약해 보이는데요,
치열의 틀어짐으로 인해
상하악의 정중선 또한 삐뚤어진 모습입니다.
돌출앞니, 클리피씨 부분교정 전
투디치과(2D치과)
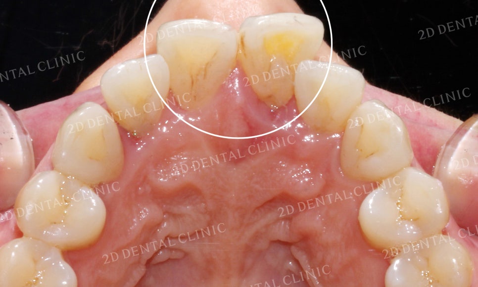
![[앞니교정] 돌출앞니교정, 토끼앞니를 클리피씨교정으로 완성하기! by. 투디치과(2D치과) 관련 이미지 6](https://pub-9f2bb3498faf4d1d8714b41df24753e3.r2.dev/content/clinics/archive/grb36g4zmx/naver_blog/dental2d/assets/by_hash/a35e5e5f48fb57743276dcf822c56f973dd46bfcb004cf6ddc297ced9e2affa1.jpg)
[앞니교정] 돌출앞니교정, 토끼앞니를 클리피씨교정으로 완성하기! by. 투디치과(2D치과)
상악의 설측면 사진입니다.
중절치가 순측으로 뻐드러지게
나와있는 모습이네요.
측절치와 비교해 보았을 때
중절치의 돌출감이 더 심해 보입니다.
돌출앞니, 클리피씨 부분교정 전
투디치과(2D치과)
![[앞니교정] 돌출앞니교정, 토끼앞니를 클리피씨교정으로 완성하기! by. 투디치과(2D치과) 관련 이미지 7](https://pub-9f2bb3498faf4d1d8714b41df24753e3.r2.dev/content/clinics/archive/grb36g4zmx/naver_blog/dental2d/assets/by_hash/ee31a24f6d2c7750d35206b79d3f7235fb097fd2a18596fc8da1e29ef39f0f97.jpg)
[앞니교정] 돌출앞니교정, 토끼앞니를 클리피씨교정으로 완성하기! by. 투디치과(2D치과)
하악의 설측면 사진입니다.
하악의 경우 전치부의 치열이
삐뚤삐뚤한 모습인데요.
하악의 미약한 성장으로 인해
치아가 충분히 자리 잡지 못한 모습이네요.
이번 환자분의 경우
하악골의 성장 미약
상하악 전치부 전방 경사
우측 구치부 2급 교합
정중선 변위
상하악 Crowding
등의 문제가 발견되어 이를 개선하기 위해
전치부 클리피씨 부분교정을 진행하였습니다.
![[앞니교정] 돌출앞니교정, 토끼앞니를 클리피씨교정으로 완성하기! by. 투디치과(2D치과) 관련 이미지 8](https://pub-9f2bb3498faf4d1d8714b41df24753e3.r2.dev/content/clinics/archive/grb36g4zmx/naver_blog/dental2d/assets/by_hash/69ab80561e29a6ebb4a5a6779177984dba7850489ff9f26bb98078530aeb6d72.jpg)
"돌출앞니 교정 후"
돌출앞니, 클리피씨 부분교정 후
투디치과(2D치과)
<Before> <After>
![[앞니교정] 돌출앞니교정, 토끼앞니를 클리피씨교정으로 완성하기! by. 투디치과(2D치과) 관련 이미지 9](https://pub-9f2bb3498faf4d1d8714b41df24753e3.r2.dev/content/clinics/archive/grb36g4zmx/naver_blog/dental2d/assets/by_hash/4d36e46fda23897d5be7706395c1416d638070b9bb3b6e6e2a487ee852ce2a1b.jpg)
![[앞니교정] 돌출앞니교정, 토끼앞니를 클리피씨교정으로 완성하기! by. 투디치과(2D치과) 관련 이미지 10](https://pub-9f2bb3498faf4d1d8714b41df24753e3.r2.dev/content/clinics/archive/grb36g4zmx/naver_blog/dental2d/assets/by_hash/164f3a9d09fa51af72c02734fed72b1301d2e85c743225f99c5dc7e7206af4ce.jpg)
교정 전 전치부의 사진을 보시면
중절치가 크게 돌출된 모습이 확인됩니다.
또한 상하악의 크기 부조화로 인해
하악의 크기가 상대적으로 작아 보이는데요,
돌출앞니교정 후 전치부에서 느껴지던
돌출감이 사라지면서 치열이 고르게 바뀐 모습입니다.
돌출앞니, 클리피씨 부분교정 후
투디치과(2D치과)
<Before> <After>
![[앞니교정] 돌출앞니교정, 토끼앞니를 클리피씨교정으로 완성하기! by. 투디치과(2D치과) 관련 이미지 11](https://pub-9f2bb3498faf4d1d8714b41df24753e3.r2.dev/content/clinics/archive/grb36g4zmx/naver_blog/dental2d/assets/by_hash/ca844c7df38f0e84ff094b9e8fd95db8d61dea805b26ec909cbf00acb9c92b8d.jpg)
![[앞니교정] 돌출앞니교정, 토끼앞니를 클리피씨교정으로 완성하기! by. 투디치과(2D치과) 관련 이미지 12](https://pub-9f2bb3498faf4d1d8714b41df24753e3.r2.dev/content/clinics/archive/grb36g4zmx/naver_blog/dental2d/assets/by_hash/6b0339bb94f755be6ed68ddeb9c07d8f5123307c61f917a9fc460fd4a6c4daf4.jpg)
상악의 설측면 사진으로 보시면
중절치의 돌출로 인해
뻐드러져 있던 전치부가
클리피씨 부분교정 후 정상 각도로
바뀌게 된 모습입니다.
돌출앞니, 클리피씨 부분교정 후
투디치과(2D치과)
<Before> <After>
![[앞니교정] 돌출앞니교정, 토끼앞니를 클리피씨교정으로 완성하기! by. 투디치과(2D치과) 관련 이미지 13](https://pub-9f2bb3498faf4d1d8714b41df24753e3.r2.dev/content/clinics/archive/grb36g4zmx/naver_blog/dental2d/assets/by_hash/dd87a6b26497fe79d03bcb15672b430c89086979add4ca52ca978ec493baf0a4.jpg)
![[앞니교정] 돌출앞니교정, 토끼앞니를 클리피씨교정으로 완성하기! by. 투디치과(2D치과) 관련 이미지 14](https://pub-9f2bb3498faf4d1d8714b41df24753e3.r2.dev/content/clinics/archive/grb36g4zmx/naver_blog/dental2d/assets/by_hash/dd387368c6d2f6eac267e85432b02c8aed7f4ee0f3eadbfbb998be9623de7133.jpg)
하악의 설측면 사진을 보시면
교정 전 치아의 크라우딩이 심한 모습이었는데요,
특히 전치부 치열이 많이 삐뚤거리는 모습이었습니다.
앞니 부분교정 후 이러한 크라우딩이 사라지고
가지런한 치열로 바뀐 모습이네요!
![[앞니교정] 돌출앞니교정, 토끼앞니를 클리피씨교정으로 완성하기! by. 투디치과(2D치과) 관련 이미지 15](https://pub-9f2bb3498faf4d1d8714b41df24753e3.r2.dev/content/clinics/archive/grb36g4zmx/naver_blog/dental2d/assets/by_hash/06bd440e48f71a0de68c49abe113b7f04b15f5ba52046ccfb4434b5cc5b76ece.jpg)