아카이브 요약
이 페이지의 역할
2D치과의원의 네이버 블로그 원문을 보존한 아카이브 페이지입니다. 치아교정 카테고리의 [앞니교정]토끼앞니교정, 부분교정으로 토끼이빨 탈출하기! by.투디치과(2D치과) 글을 통해 병원의 한국어 정보 제공 방식과 진료 관련 안내 톤을 확인할 수 있습니다.
원문 검증
필요하면 원문 블로그와 병원 프로필로 바로 이동해 문맥을 다시 확인할 수 있습니다.
출처 아카이브 열기아카이브된 블로그 글
치과의원 · ✅ 앞니에 대한 장인정신. Since 2016. 2D치과 ✅
[앞니교정]토끼앞니교정, 부분교정으로 토끼이빨 탈출하기! by.투디치과(2D치과) 안녕하세요! 우디에요~ 오늘은 교정치료로 투디치과를 방문해 주신 환자분의 토끼앞니 교정후기 포스팅을 준비했습니다! 이번 Case는 토끼앞니 증상과 함께 미약한 치은퇴축이 발견되었는데요, 어떠한 상태에서 교정을 시작하셨는지...
게시일
2020년 4월 28일
원문 기준으로 확인된 발행일입니다.
카테고리
치아교정
원문 블로그 카테고리를 정리해 함께 표시합니다.
이미지 수
17
현재 아카이브에 연결된 이미지 수입니다.
아카이브 요약
2D치과의원의 네이버 블로그 원문을 보존한 아카이브 페이지입니다. 치아교정 카테고리의 [앞니교정]토끼앞니교정, 부분교정으로 토끼이빨 탈출하기! by.투디치과(2D치과) 글을 통해 병원의 한국어 정보 제공 방식과 진료 관련 안내 톤을 확인할 수 있습니다.
원문 검증
필요하면 원문 블로그와 병원 프로필로 바로 이동해 문맥을 다시 확인할 수 있습니다.
출처 아카이브 열기![[앞니교정]토끼앞니교정, 부분교정으로 토끼이빨 탈출하기! by.투디치과(2D치과) 관련 이미지 1](https://pub-9f2bb3498faf4d1d8714b41df24753e3.r2.dev/content/clinics/archive/grb36g4zmx/naver_blog/dental2d/assets/by_hash/ba7245ab18358d24ef5ea4a86dc0091e96e8729096063ba73fc9b2e5fa4e391b.jpg)
[앞니교정]토끼앞니교정, 부분교정으로 토끼이빨 탈출하기! by.투디치과(2D치과)
안녕하세요! 우디에요~
오늘은 교정치료로 투디치과를
방문해 주신 환자분의
토끼앞니 교정후기 포스팅을 준비했습니다!
이번 Case는 토끼앞니 증상과 함께
미약한 치은퇴축이 발견되었는데요,
어떠한 상태에서 교정을 시작하셨는지
사진으로 만나보겠습니다!
토끼앞니 부분교정 전
투디치과(2D치과)
![[앞니교정]토끼앞니교정, 부분교정으로 토끼이빨 탈출하기! by.투디치과(2D치과) 관련 이미지 2](https://pub-9f2bb3498faf4d1d8714b41df24753e3.r2.dev/content/clinics/archive/grb36g4zmx/naver_blog/dental2d/assets/by_hash/2db86490ab5983274211a49df6bf643b6ae07e2efd4c19179defdaf19d7a91ca.jpg)
[앞니교정]토끼앞니교정, 부분교정으로 토끼이빨 탈출하기! by.투디치과(2D치과)
토끼앞니 교정 전 치아의 모습을 보시면
미소 시 상악 중절치가 토끼처럼
튀어나와 있는 모습입니다.
![[앞니교정]토끼앞니교정, 부분교정으로 토끼이빨 탈출하기! by.투디치과(2D치과) 관련 이미지 3](https://pub-9f2bb3498faf4d1d8714b41df24753e3.r2.dev/content/clinics/archive/grb36g4zmx/naver_blog/dental2d/assets/by_hash/211ba399893d145f3859285b63c9e83461b67ed08c6784fb37f6df2435eb0ee9.jpg)
[앞니교정]토끼앞니교정, 부분교정으로 토끼이빨 탈출하기! by.투디치과(2D치과)
미소 시 전치부 측면에서도
토끼앞니 증상으로 인해
중절치가 유독 돌출된 느낌이네요.
![[앞니교정]토끼앞니교정, 부분교정으로 토끼이빨 탈출하기! by.투디치과(2D치과) 관련 이미지 4](https://pub-9f2bb3498faf4d1d8714b41df24753e3.r2.dev/content/clinics/archive/grb36g4zmx/naver_blog/dental2d/assets/by_hash/0b9b5e72663bca500195e174947efa9bba08989c8ad52c3502dbe7d8c45c389e.jpg)
[앞니교정]토끼앞니교정, 부분교정으로 토끼이빨 탈출하기! by.투디치과(2D치과)
전치부의 사진을 보시면
전체적으로 상하악에서 미약한
크라우딩이 발견되고 있고,
하악의 경우 중절치 부근에서
잇몸이 내려앉아 치은 퇴축이
진행된 모습입니다.
![[앞니교정]토끼앞니교정, 부분교정으로 토끼이빨 탈출하기! by.투디치과(2D치과) 관련 이미지 5](https://pub-9f2bb3498faf4d1d8714b41df24753e3.r2.dev/content/clinics/archive/grb36g4zmx/naver_blog/dental2d/assets/by_hash/4de81eaed71f5b15385de8228fbc5edfb553139c2d86c1fa7e2e0b7483af8f59.jpg)
[앞니교정]토끼앞니교정, 부분교정으로 토끼이빨 탈출하기! by.투디치과(2D치과)
상악의 설측면 사진을 보시면
전치부 치열이 미세하게
들쭉날쭉한 모습이네요.
![[앞니교정]토끼앞니교정, 부분교정으로 토끼이빨 탈출하기! by.투디치과(2D치과) 관련 이미지 6](https://pub-9f2bb3498faf4d1d8714b41df24753e3.r2.dev/content/clinics/archive/grb36g4zmx/naver_blog/dental2d/assets/by_hash/0f6ab0ce4eb7bd74519b158a83343e89475559bde1f6ab2956e6778463b83226.jpg)
[앞니교정]토끼앞니교정, 부분교정으로 토끼이빨 탈출하기! by.투디치과(2D치과)
하악의 설측면 역시
전치부 치열이 삐뚤거리고 있어서
치열이 고르지 못한 느낌을 줍니다.
"토끼앞니 교정 후"
토끼앞니 부분교정 후
투디치과(2D치과)
<Before> <After>
![[앞니교정]토끼앞니교정, 부분교정으로 토끼이빨 탈출하기! by.투디치과(2D치과) 관련 이미지 7](https://pub-9f2bb3498faf4d1d8714b41df24753e3.r2.dev/content/clinics/archive/grb36g4zmx/naver_blog/dental2d/assets/by_hash/2db86490ab5983274211a49df6bf643b6ae07e2efd4c19179defdaf19d7a91ca.jpg)
![[앞니교정]토끼앞니교정, 부분교정으로 토끼이빨 탈출하기! by.투디치과(2D치과) 관련 이미지 8](https://pub-9f2bb3498faf4d1d8714b41df24753e3.r2.dev/content/clinics/archive/grb36g4zmx/naver_blog/dental2d/assets/by_hash/7ef71462fc4704a8c59523c6b7beff0a317c275a0b353f2cfdea3154e553753b.jpg)
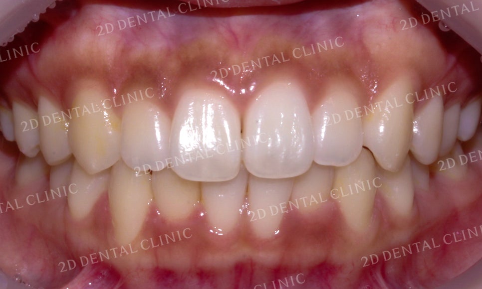
[앞니교정]토끼앞니교정, 부분교정으로 토끼이빨 탈출하기! by.투디치과(2D치과)
앞니교정 전 치아의 모습을 보시면
미소 시 중절치가 토끼처럼 튀어나온
모습을 확인할 수 있었는데요,
토끼앞니 교정 후 중절치의
돌출감이 사라지면서
치열이 고르게 바뀐 모습입니다.
<Before> <After>
![[앞니교정]토끼앞니교정, 부분교정으로 토끼이빨 탈출하기! by.투디치과(2D치과) 관련 이미지 9](https://pub-9f2bb3498faf4d1d8714b41df24753e3.r2.dev/content/clinics/archive/grb36g4zmx/naver_blog/dental2d/assets/by_hash/211ba399893d145f3859285b63c9e83461b67ed08c6784fb37f6df2435eb0ee9.jpg)
![[앞니교정]토끼앞니교정, 부분교정으로 토끼이빨 탈출하기! by.투디치과(2D치과) 관련 이미지 10](https://pub-9f2bb3498faf4d1d8714b41df24753e3.r2.dev/content/clinics/archive/grb36g4zmx/naver_blog/dental2d/assets/by_hash/6cd277b9f9ff590e1a4a84c65e40e21181ab68a282f3127e3e111d7b274ad241.jpg)
[앞니교정]토끼앞니교정, 부분교정으로 토끼이빨 탈출하기! by.투디치과(2D치과)
미소 시 전치부 측면의 모습입니다.
앞니교정 전 상악의 절단연이
들쭉날쭉하고 중절치가 돌출된 모습에서
토끼앞니 교정 후 치열이 가지런해지고
돌출된 느낌도 사라진 모습입니다.
<Before> <After>
![[앞니교정]토끼앞니교정, 부분교정으로 토끼이빨 탈출하기! by.투디치과(2D치과) 관련 이미지 11](https://pub-9f2bb3498faf4d1d8714b41df24753e3.r2.dev/content/clinics/archive/grb36g4zmx/naver_blog/dental2d/assets/by_hash/0b9b5e72663bca500195e174947efa9bba08989c8ad52c3502dbe7d8c45c389e.jpg)
![[앞니교정]토끼앞니교정, 부분교정으로 토끼이빨 탈출하기! by.투디치과(2D치과) 관련 이미지 12](https://pub-9f2bb3498faf4d1d8714b41df24753e3.r2.dev/content/clinics/archive/grb36g4zmx/naver_blog/dental2d/assets/by_hash/8f0ade6257b9cfc391b3f430c8939985241f144ca736c3aade725f1e7cdacef8.jpg)
[앞니교정]토끼앞니교정, 부분교정으로 토끼이빨 탈출하기! by.투디치과(2D치과)
전치부의 모습을 보시면
치열이 삐뚤거리고 하악에서
미세한 치은 퇴축이 발견되었는데요,
교정 후 전치부의 치열이 고르게 바뀌고
내려앉았던 하악의 잇몸이
비교적 수복된 모습입니다.
*환자분의 경우 부분교정을 선택하셨기 때문에
상하악의 정중선이 완벽하게 맞지 않을 수 있습니다.
이 점 참고하시어 포스팅을 읽어주세요 : )
<Before> <After>
![[앞니교정]토끼앞니교정, 부분교정으로 토끼이빨 탈출하기! by.투디치과(2D치과) 관련 이미지 13](https://pub-9f2bb3498faf4d1d8714b41df24753e3.r2.dev/content/clinics/archive/grb36g4zmx/naver_blog/dental2d/assets/by_hash/4de81eaed71f5b15385de8228fbc5edfb553139c2d86c1fa7e2e0b7483af8f59.jpg)
![[앞니교정]토끼앞니교정, 부분교정으로 토끼이빨 탈출하기! by.투디치과(2D치과) 관련 이미지 14](https://pub-9f2bb3498faf4d1d8714b41df24753e3.r2.dev/content/clinics/archive/grb36g4zmx/naver_blog/dental2d/assets/by_hash/f96ae2ec2b63efdef9408b0402d7f16ae5fafd5fc8a3b7667abdf0309bf01a75.jpg)
[앞니교정]토끼앞니교정, 부분교정으로 토끼이빨 탈출하기! by.투디치과(2D치과)
상악 설측면의 모습을 보면
교정 전후 삐뚤거리던 전치부 치열이
가지런하게 배열된 모습을 볼 수 있습니다.
또한 눈에 띄게 튀어나와 있던
중절치가 돌출감 없이 잘 마무리된 모습이네요!
<Before> <After>
![[앞니교정]토끼앞니교정, 부분교정으로 토끼이빨 탈출하기! by.투디치과(2D치과) 관련 이미지 15](https://pub-9f2bb3498faf4d1d8714b41df24753e3.r2.dev/content/clinics/archive/grb36g4zmx/naver_blog/dental2d/assets/by_hash/0f6ab0ce4eb7bd74519b158a83343e89475559bde1f6ab2956e6778463b83226.jpg)
![[앞니교정]토끼앞니교정, 부분교정으로 토끼이빨 탈출하기! by.투디치과(2D치과) 관련 이미지 16](https://pub-9f2bb3498faf4d1d8714b41df24753e3.r2.dev/content/clinics/archive/grb36g4zmx/naver_blog/dental2d/assets/by_hash/8faadc682ba314205837fb2baf37fb41dde21dca16970d54e063824751909c36.jpg)
[앞니교정]토끼앞니교정, 부분교정으로 토끼이빨 탈출하기! by.투디치과(2D치과)
하악의 설측면에서도
전치부에서 삐뚤거리는
크라우딩이 발견되던 교정 전과 달리
교정 후 삐뚤삐뚤한 부분 없이
깔끔하게 마무리된 모습입니다.
이번 Case의 환자분은
돌출감이 심한 전치부의
치아만을 교정하시기 원하셨습니다.
따라서 구치부의 치아들은
교정을 진행하지 않았습니다.
유의하시고 포스팅을 읽어주시기 바랍니다.
![[앞니교정]토끼앞니교정, 부분교정으로 토끼이빨 탈출하기! by.투디치과(2D치과) 관련 이미지 17](https://pub-9f2bb3498faf4d1d8714b41df24753e3.r2.dev/content/clinics/archive/grb36g4zmx/naver_blog/dental2d/assets/by_hash/06bd440e48f71a0de68c49abe113b7f04b15f5ba52046ccfb4434b5cc5b76ece.jpg)
-일요일에도 교정하는 2D치과입니다-