아카이브 요약
이 페이지의 역할
2D치과의원의 네이버 블로그 원문을 보존한 아카이브 페이지입니다. 치아교정 카테고리의 [앞니교정]부정교합교정, 부분교정으로 완성하기! by.투디치과(2D치과) 글을 통해 병원의 한국어 정보 제공 방식과 진료 관련 안내 톤을 확인할 수 있습니다.
원문 검증
필요하면 원문 블로그와 병원 프로필로 바로 이동해 문맥을 다시 확인할 수 있습니다.
출처 아카이브 열기아카이브된 블로그 글
치과의원 · ✅ 앞니에 대한 장인정신. Since 2016. 2D치과 ✅
[앞니교정]부정교합교정, 부분교정으로 완성하기! by.투디치과(2D치과) 안녕하세요! 우디입니다^^ 오늘 소개해드릴 치아 소식은 부정교합으로 삐뚤어진 앞니를 부분교정으로 빠르게 완성하신 환자분의 교정 후기 포스팅입니다 : ) 환자분의 경우에 골격적인 요소로 인하여 절단교합으로 교정이 마무리될 가능성이 있...
게시일
2020년 5월 8일
원문 기준으로 확인된 발행일입니다.
카테고리
치아교정
원문 블로그 카테고리를 정리해 함께 표시합니다.
이미지 수
17
현재 아카이브에 연결된 이미지 수입니다.
아카이브 요약
2D치과의원의 네이버 블로그 원문을 보존한 아카이브 페이지입니다. 치아교정 카테고리의 [앞니교정]부정교합교정, 부분교정으로 완성하기! by.투디치과(2D치과) 글을 통해 병원의 한국어 정보 제공 방식과 진료 관련 안내 톤을 확인할 수 있습니다.
원문 검증
필요하면 원문 블로그와 병원 프로필로 바로 이동해 문맥을 다시 확인할 수 있습니다.
출처 아카이브 열기![[앞니교정]부정교합교정, 부분교정으로 완성하기! by.투디치과(2D치과) 관련 이미지 1](https://pub-9f2bb3498faf4d1d8714b41df24753e3.r2.dev/content/clinics/archive/grb36g4zmx/naver_blog/dental2d/assets/by_hash/9227d56e854dd509c07dc485822b44eae60138bea326d2408007698b8473e25c.jpg)
[앞니교정]부정교합교정, 부분교정으로 완성하기! by.투디치과(2D치과)
안녕하세요! 우디입니다^^
오늘 소개해드릴 치아 소식은
부정교합으로 삐뚤어진 앞니를
부분교정으로 빠르게 완성하신 환자분의
교정 후기 포스팅입니다 : )
환자분의 경우에
골격적인 요소로 인하여
절단교합으로 교정이
마무리될 가능성이 있었는데요,
전치부에서 절단교합 증상이 의심되고
12번 치아가 거구로 물리는 반대교합 증상이
발견되셨습니다.
부정교합 부분교정 전
투디치과(2D치과)
![[앞니교정]부정교합교정, 부분교정으로 완성하기! by.투디치과(2D치과) 관련 이미지 2](https://pub-9f2bb3498faf4d1d8714b41df24753e3.r2.dev/content/clinics/archive/grb36g4zmx/naver_blog/dental2d/assets/by_hash/2c0d9c2151aeabe00842141a13a294bd47b0f6fe195b277487e31a44f0b3a1a1.jpg)
[앞니교정]부정교합교정, 부분교정으로 완성하기! by.투디치과(2D치과)
부정교합 교정 전 입술의 모습을 보시면
절단교합 증상으로 인해 아랫입술이
튀어나온 느낌이 있습니다.
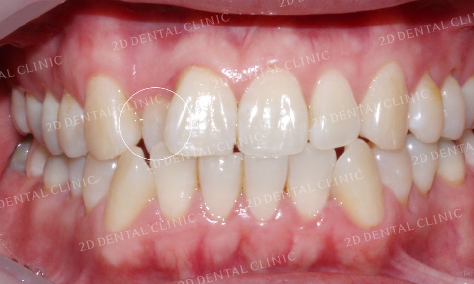
![[앞니교정]부정교합교정, 부분교정으로 완성하기! by.투디치과(2D치과) 관련 이미지 3](https://pub-9f2bb3498faf4d1d8714b41df24753e3.r2.dev/content/clinics/archive/grb36g4zmx/naver_blog/dental2d/assets/by_hash/edeb4e362e89e6c2eab199285cb29ca857a278a1d9584fc12a658ee546e97c8e.jpg)
[앞니교정]부정교합교정, 부분교정으로 완성하기! by.투디치과(2D치과)
미소 시 전치부의 모습을 보시면
12번 치아가 하악의 뒤로 물리고 있는 모습입니다.
![[앞니교정]부정교합교정, 부분교정으로 완성하기! by.투디치과(2D치과) 관련 이미지 4](https://pub-9f2bb3498faf4d1d8714b41df24753e3.r2.dev/content/clinics/archive/grb36g4zmx/naver_blog/dental2d/assets/by_hash/d92dc37064ab5a126b383f5199d0673aa3ebe14e2d5971b94f5626ebb11774d0.jpg)
[앞니교정]부정교합교정, 부분교정으로 완성하기! by.투디치과(2D치과)
전치부의 측면 사진에서
12번 치아의 반대교합 증상을
더 명확하게 확인할 수 있습니다.
![[앞니교정]부정교합교정, 부분교정으로 완성하기! by.투디치과(2D치과) 관련 이미지 5](https://pub-9f2bb3498faf4d1d8714b41df24753e3.r2.dev/content/clinics/archive/grb36g4zmx/naver_blog/dental2d/assets/by_hash/aef333e7294d3cf3dcd52b679aff5d96c480a45b3ff2e7d9ef8c590883192e93.jpg)
[앞니교정]부정교합교정, 부분교정으로 완성하기! by.투디치과(2D치과)
전치부의 사진을 보시면
치열이 전체적으로 삐뚤삐뚤하고
교합이 좋지 않은 모습인데요,
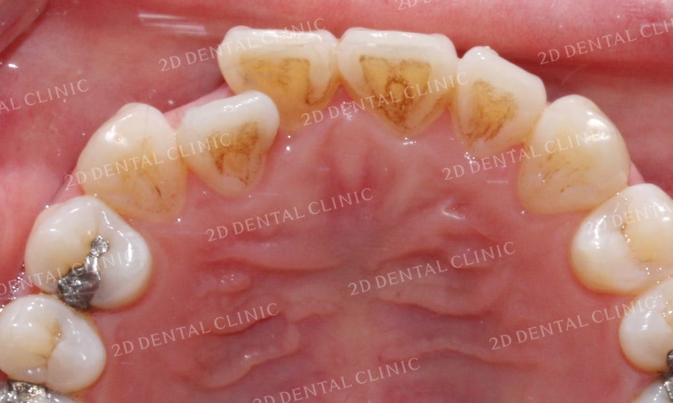
![[앞니교정]부정교합교정, 부분교정으로 완성하기! by.투디치과(2D치과) 관련 이미지 6](https://pub-9f2bb3498faf4d1d8714b41df24753e3.r2.dev/content/clinics/archive/grb36g4zmx/naver_blog/dental2d/assets/by_hash/104559ab18a1a5de0176f9bdcc32a8b124df7f3b04f40bc58cf2442e20735b73.jpg)
[앞니교정]부정교합교정, 부분교정으로 완성하기! by.투디치과(2D치과)
상악의 설측면 사진을 보시면
전치부의 치열이 상당히 조화롭지 못한 것을
확인할 수 있습니다.
환자분의 경우 부정교합 증상이 발견되기 때문에
전체교정으로 치아 교합 상태를 바로잡고
치열을 가다듬는 치료 계획을 추천드렸으나
반대교합 증상이 있는 전치부의 치아만을
부분교정으로 진행하시게 되었습니다.
따라서 본 교정 Case는 치아의 전체교정이 아닌
부분교정 과정을 거쳤음을 감안하시고 읽어주시기 바랍니다.
부정교합 부분교정 후
투디치과(2D치과)
<Before> <After>
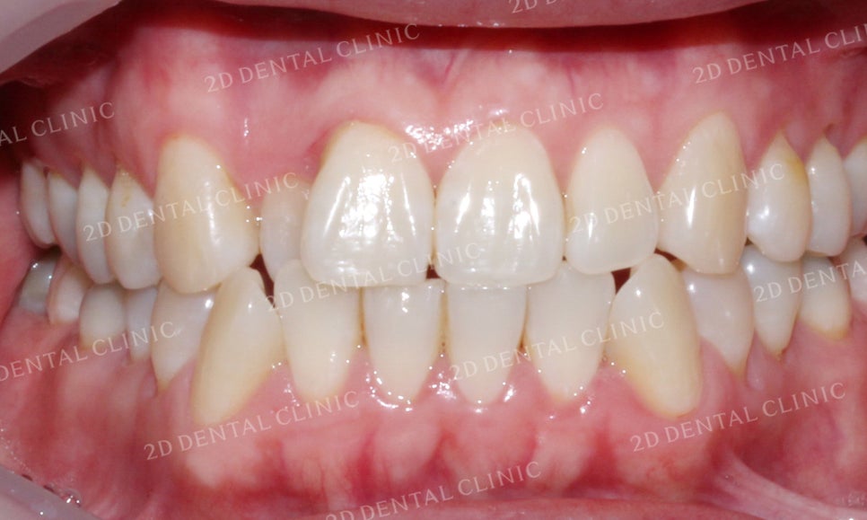
![[앞니교정]부정교합교정, 부분교정으로 완성하기! by.투디치과(2D치과) 관련 이미지 7](https://pub-9f2bb3498faf4d1d8714b41df24753e3.r2.dev/content/clinics/archive/grb36g4zmx/naver_blog/dental2d/assets/by_hash/2c0d9c2151aeabe00842141a13a294bd47b0f6fe195b277487e31a44f0b3a1a1.jpg)
![[앞니교정]부정교합교정, 부분교정으로 완성하기! by.투디치과(2D치과) 관련 이미지 8](https://pub-9f2bb3498faf4d1d8714b41df24753e3.r2.dev/content/clinics/archive/grb36g4zmx/naver_blog/dental2d/assets/by_hash/da1251aa97cfd82da42013ffa05d46981571f0c240e2313ca0c12ebc31068035.jpg)
[앞니교정]부정교합교정, 부분교정으로 완성하기! by.투디치과(2D치과)
부정교합 부분교정 전 입술의 모습을 보시면
아랫입술이 윗입술보다 더 튀어나온 모습이었습니다.
그러나 부정교합 교정 후 절단교합 증상이 완화되면서
입술의 돌출감이 조화롭게 바뀐 모습입니다.
<Before> <After>
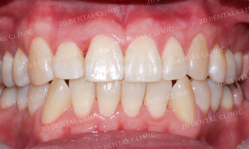
![[앞니교정]부정교합교정, 부분교정으로 완성하기! by.투디치과(2D치과) 관련 이미지 9](https://pub-9f2bb3498faf4d1d8714b41df24753e3.r2.dev/content/clinics/archive/grb36g4zmx/naver_blog/dental2d/assets/by_hash/d0e0c723a187658e0e7c950f647bef4ee6e3e7247a48f25573c8d8acf29b8f18.jpg)
![[앞니교정]부정교합교정, 부분교정으로 완성하기! by.투디치과(2D치과) 관련 이미지 10](https://pub-9f2bb3498faf4d1d8714b41df24753e3.r2.dev/content/clinics/archive/grb36g4zmx/naver_blog/dental2d/assets/by_hash/5498b4772bb2a09927264b2bc5262d58703f9226f20ad4e175bc5b5b71f31f03.jpg)
[앞니교정]부정교합교정, 부분교정으로 완성하기! by.투디치과(2D치과)
미소 시 심미적으로 거슬리던
12번 치아의 반대교합 증상이
부분교정 후 정상교합으로 바뀐 모습입니다.
<Before> <After>
![[앞니교정]부정교합교정, 부분교정으로 완성하기! by.투디치과(2D치과) 관련 이미지 11](https://pub-9f2bb3498faf4d1d8714b41df24753e3.r2.dev/content/clinics/archive/grb36g4zmx/naver_blog/dental2d/assets/by_hash/bb25a79594541740f6f0fc504bac574dda7c79d5a0e472303142deef26dae389.jpg)
![[앞니교정]부정교합교정, 부분교정으로 완성하기! by.투디치과(2D치과) 관련 이미지 12](https://pub-9f2bb3498faf4d1d8714b41df24753e3.r2.dev/content/clinics/archive/grb36g4zmx/naver_blog/dental2d/assets/by_hash/10bbcbd93a956c31fa33434a4734d908e85bf1c9d825920d5d9ec7ef82537e4e.jpg)
[앞니교정]부정교합교정, 부분교정으로 완성하기! by.투디치과(2D치과)
측면에서 본 전치부의 모습에서도
거꾸로 물리던 측절치가 바른 교합으로
바뀐 모습을 볼 수 있습니다.
<Before> <After>
![[앞니교정]부정교합교정, 부분교정으로 완성하기! by.투디치과(2D치과) 관련 이미지 13](https://pub-9f2bb3498faf4d1d8714b41df24753e3.r2.dev/content/clinics/archive/grb36g4zmx/naver_blog/dental2d/assets/by_hash/a3c176ae2209043d1f663cff16e15d6c785914465eaedef70c0e4b85fa91096c.jpg)
![[앞니교정]부정교합교정, 부분교정으로 완성하기! by.투디치과(2D치과) 관련 이미지 14](https://pub-9f2bb3498faf4d1d8714b41df24753e3.r2.dev/content/clinics/archive/grb36g4zmx/naver_blog/dental2d/assets/by_hash/9bfea7a81831b1eaf5cf8a7838de5e741a174299c3ffaba925cee4c34742296d.jpg)
[앞니교정]부정교합교정, 부분교정으로 완성하기! by.투디치과(2D치과)
전체적으로 치열이 고르지 않고
삐뚤거리던 전치부 또한
부분교정 후 비교적 고르게 바뀐 모습이네요!
<Before> <After>
![[앞니교정]부정교합교정, 부분교정으로 완성하기! by.투디치과(2D치과) 관련 이미지 15](https://pub-9f2bb3498faf4d1d8714b41df24753e3.r2.dev/content/clinics/archive/grb36g4zmx/naver_blog/dental2d/assets/by_hash/104559ab18a1a5de0176f9bdcc32a8b124df7f3b04f40bc58cf2442e20735b73.jpg)
![[앞니교정]부정교합교정, 부분교정으로 완성하기! by.투디치과(2D치과) 관련 이미지 16](https://pub-9f2bb3498faf4d1d8714b41df24753e3.r2.dev/content/clinics/archive/grb36g4zmx/naver_blog/dental2d/assets/by_hash/b12d35e0eab682b41eede6e5935ff00f15597a19daf5071d7190930e86c5f941.jpg)
설측에서 본 상악 역시
안쪽으로 강하게 꺾여있던 측절치가
정상 각도를 되찾은 모습입니다!
![[앞니교정]부정교합교정, 부분교정으로 완성하기! by.투디치과(2D치과) 관련 이미지 17](https://pub-9f2bb3498faf4d1d8714b41df24753e3.r2.dev/content/clinics/archive/grb36g4zmx/naver_blog/dental2d/assets/by_hash/06bd440e48f71a0de68c49abe113b7f04b15f5ba52046ccfb4434b5cc5b76ece.jpg)
-일요일에도 교정하는 2D치과입니다-