아카이브 요약
이 페이지의 역할
2D치과의원의 네이버 블로그 원문을 보존한 아카이브 페이지입니다. 치아교정 카테고리의 [앞니교정] 토끼앞니교정, 클리피씨 교정으로 완벽하게! by.투디치과(2D치과) 글을 통해 병원의 한국어 정보 제공 방식과 진료 관련 안내 톤을 확인할 수 있습니다.
원문 검증
필요하면 원문 블로그와 병원 프로필로 바로 이동해 문맥을 다시 확인할 수 있습니다.
출처 아카이브 열기아카이브된 블로그 글
치과의원 · ✅ 앞니에 대한 장인정신. Since 2016. 2D치과 ✅
[앞니교정] 토끼앞니교정, 클리피씨 교정으로 완벽하게! by.투디치과(2D치과) 안녕하세요~ 우디에요! 오늘은 오랜만에 교정 후기 소식으로 인사드리는데요, 오늘 소개해드릴 Case는 앞니가 토끼처럼 튀어나와서 '토끼앞니'라고 불리는 돌출앞니 증상을 가지신 환자분의 교정 후기 소식입니다. ...
게시일
2020년 5월 26일
원문 기준으로 확인된 발행일입니다.
카테고리
치아교정
원문 블로그 카테고리를 정리해 함께 표시합니다.
이미지 수
20
현재 아카이브에 연결된 이미지 수입니다.
아카이브 요약
2D치과의원의 네이버 블로그 원문을 보존한 아카이브 페이지입니다. 치아교정 카테고리의 [앞니교정] 토끼앞니교정, 클리피씨 교정으로 완벽하게! by.투디치과(2D치과) 글을 통해 병원의 한국어 정보 제공 방식과 진료 관련 안내 톤을 확인할 수 있습니다.
원문 검증
필요하면 원문 블로그와 병원 프로필로 바로 이동해 문맥을 다시 확인할 수 있습니다.
출처 아카이브 열기![[앞니교정] 토끼앞니교정, 클리피씨 교정으로 완벽하게! by.투디치과(2D치과) 관련 이미지 1](https://pub-9f2bb3498faf4d1d8714b41df24753e3.r2.dev/content/clinics/archive/grb36g4zmx/naver_blog/dental2d/assets/by_hash/ff6eb3d93d9e34249354e1614cc58962ad2b6577815793d2c325c2535c055f31.jpg)
[앞니교정] 토끼앞니교정, 클리피씨 교정으로 완벽하게! by.투디치과(2D치과)
안녕하세요~ 우디에요!
오늘은 오랜만에 교정 후기
소식으로 인사드리는데요,
오늘 소개해드릴 Case는
앞니가 토끼처럼 튀어나와서
'토끼앞니'라고 불리는 돌출앞니
증상을 가지신 환자분의 교정 후기 소식입니다.
앞니가 삐뚤거나 튀어나와서
교정을 고민하고 계시다면
오늘 포스팅에 집!중!해 주시기 바랍니다^^
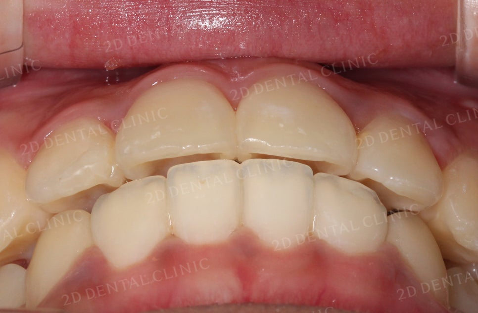
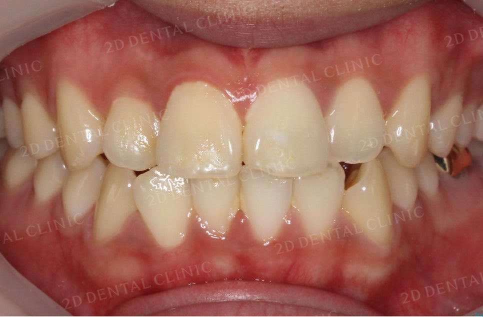
"토끼앞니 교정(Before)"
앞니교정, 토끼앞니 클리피씨 교정 전
투디치과(2D치과)
![[앞니교정] 토끼앞니교정, 클리피씨 교정으로 완벽하게! by.투디치과(2D치과) 관련 이미지 2](https://pub-9f2bb3498faf4d1d8714b41df24753e3.r2.dev/content/clinics/archive/grb36g4zmx/naver_blog/dental2d/assets/by_hash/a34776cca04d51eee4be1372a4b90ec53e7312d076b5384514273c80b4a40f88.jpg)
토끼앞니 교정 전 앞니의 모습을 보시면
아랫니가 많이 삐뚤거리고
들쭉날쭉한 모습인데요,
![[앞니교정] 토끼앞니교정, 클리피씨 교정으로 완벽하게! by.투디치과(2D치과) 관련 이미지 3](https://pub-9f2bb3498faf4d1d8714b41df24753e3.r2.dev/content/clinics/archive/grb36g4zmx/naver_blog/dental2d/assets/by_hash/b99139911fa5c4a2be1de785fea6c97ca2fa54292c746b49a7057f30a1f644cc.jpg)
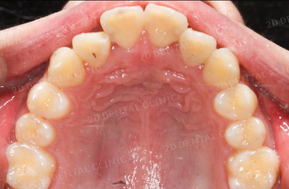
윗니의 아래면을 보면 앞니가 다른 치아들과 다르게
유난히 돌출된 모습을 확인할 수 있습니다.
치아의 배열 또한 가지런하지 않고
들쭉날쭉한 모습이네요!
![[앞니교정] 토끼앞니교정, 클리피씨 교정으로 완벽하게! by.투디치과(2D치과) 관련 이미지 4](https://pub-9f2bb3498faf4d1d8714b41df24753e3.r2.dev/content/clinics/archive/grb36g4zmx/naver_blog/dental2d/assets/by_hash/6e0785cd4314ed879c513f5808d5c21160ad80e0a565a4542f2b0398e81e7c9c.jpg)
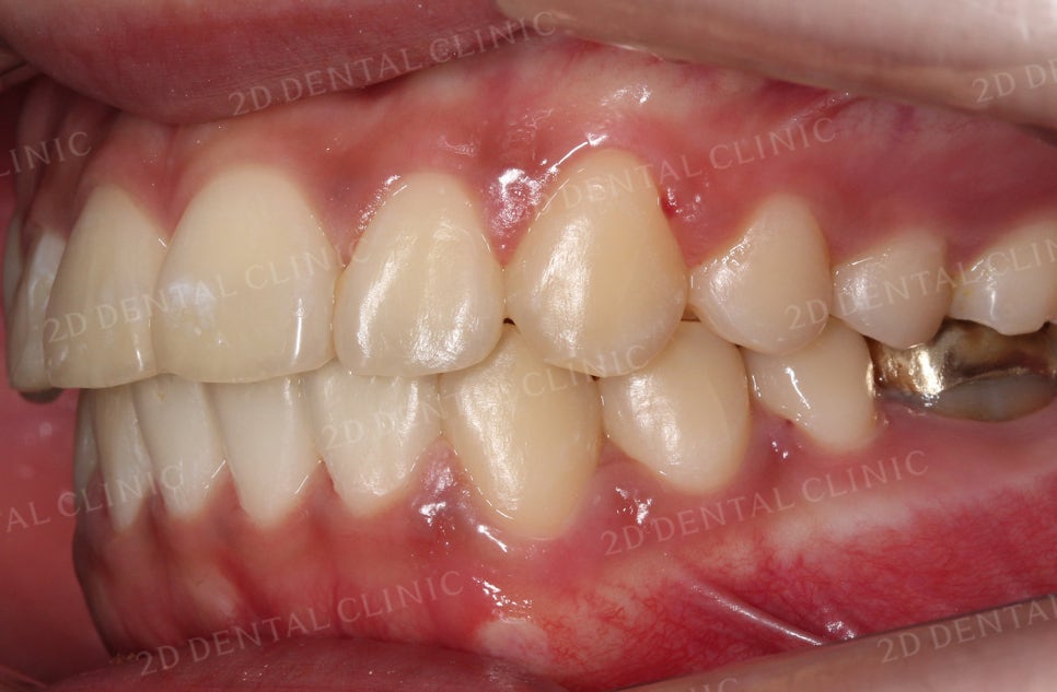
오른쪽 어금니를 보시면 정상적인
치아의 교합과 다르게 윗니와 아랫니가
딱 맞게 물리는 모습입니다.
*정상적인 어금니 교합은 윗니와 아랫니가
톱니처럼 맞물리는 모습입니다.
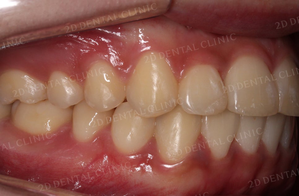
![[앞니교정] 토끼앞니교정, 클리피씨 교정으로 완벽하게! by.투디치과(2D치과) 관련 이미지 5](https://pub-9f2bb3498faf4d1d8714b41df24753e3.r2.dev/content/clinics/archive/grb36g4zmx/naver_blog/dental2d/assets/by_hash/74ca57373b310c83e370cda76c188558fde88a02ad69c0a5dc84cc4e87497b3f.jpg)
왼쪽 어금니의 모습 역시
토끼앞니 교정 전 정상적인 교합과 달리
아랫니와 윗니가 어긋난 상태입니다.
![[앞니교정] 토끼앞니교정, 클리피씨 교정으로 완벽하게! by.투디치과(2D치과) 관련 이미지 6](https://pub-9f2bb3498faf4d1d8714b41df24753e3.r2.dev/content/clinics/archive/grb36g4zmx/naver_blog/dental2d/assets/by_hash/295cb4dec4f962768887f01de39cacbc3ce7e036768ec74fdd357a7fac84abf1.jpg)
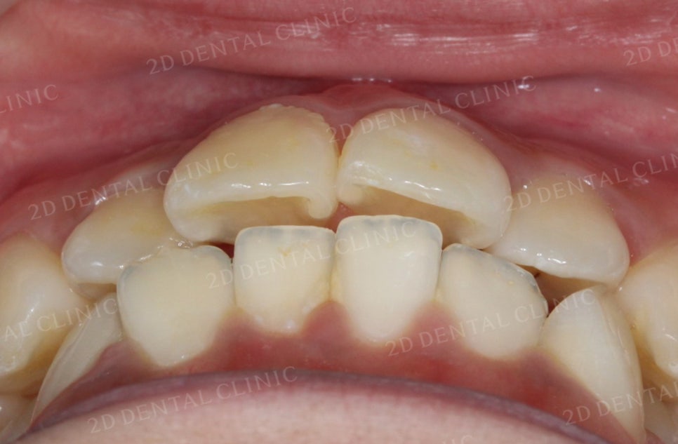
윗니의 안쪽 면을 보시면
앞니가 주변 치아보다
입술 방향으로 튀어나온 모습인데요,
이렇게 튀어나온 앞니는
정면에서 봤을 때 입술이 튀어나오게 하거나
미소를 지었을 때 앞니만 유난히 돋보이게 하는 영향을 줍니다.
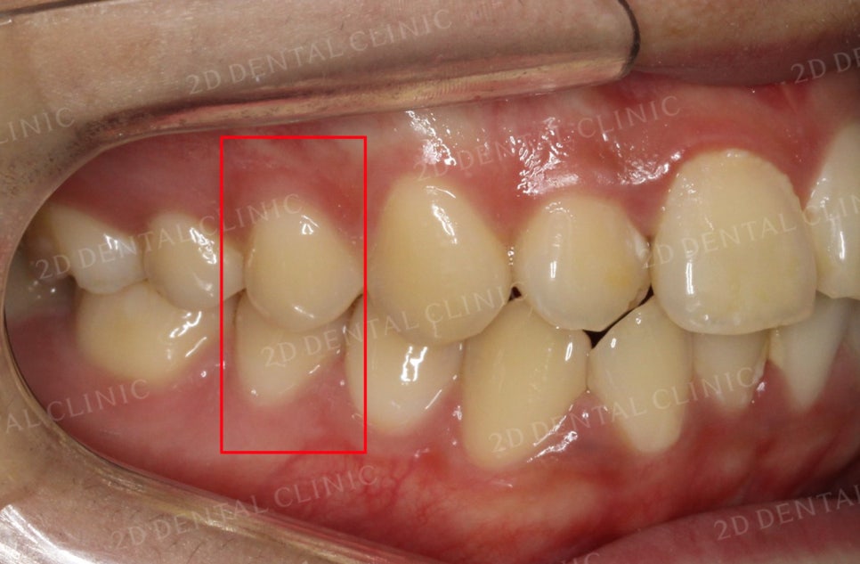
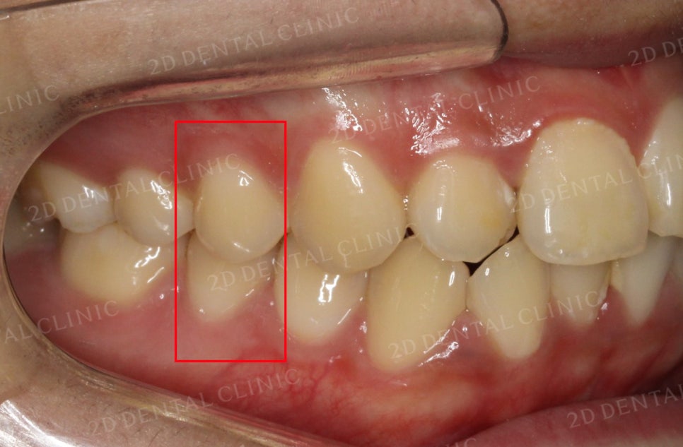
![[앞니교정] 토끼앞니교정, 클리피씨 교정으로 완벽하게! by.투디치과(2D치과) 관련 이미지 7](https://pub-9f2bb3498faf4d1d8714b41df24753e3.r2.dev/content/clinics/archive/grb36g4zmx/naver_blog/dental2d/assets/by_hash/aee552b37585a17f5035027fe054b5872ef6ef958d862e2da0f704861698fff0.jpg)
아랫니의 안쪽 면에서는
어금니의 교합을 어긋나게 만드는
송곳니의 덧니 증상을 확인할 수 있습니다.
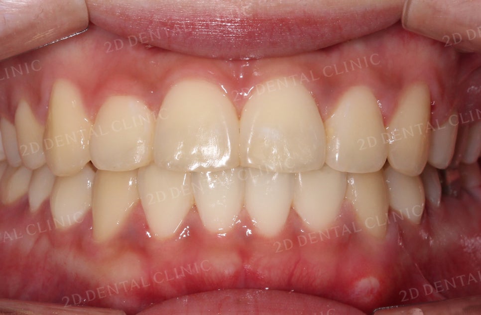
"토끼앞니 교정(After)"
앞니교정, 토끼앞니 클리피씨 교정 후
투디치과(2D치과)
<Before> <After>
![[앞니교정] 토끼앞니교정, 클리피씨 교정으로 완벽하게! by.투디치과(2D치과) 관련 이미지 8](https://pub-9f2bb3498faf4d1d8714b41df24753e3.r2.dev/content/clinics/archive/grb36g4zmx/naver_blog/dental2d/assets/by_hash/a34776cca04d51eee4be1372a4b90ec53e7312d076b5384514273c80b4a40f88.jpg)
![[앞니교정] 토끼앞니교정, 클리피씨 교정으로 완벽하게! by.투디치과(2D치과) 관련 이미지 9](https://pub-9f2bb3498faf4d1d8714b41df24753e3.r2.dev/content/clinics/archive/grb36g4zmx/naver_blog/dental2d/assets/by_hash/c72bbc00aef15745cb7615d4c416cd874fc5216f4f8b582486c317a27806dde2.jpg)
토끼앞니 교정 전 앞니의 모습을 보시면
아랫니의 치열이 삐뚤고 들쭉날쭉한 모습이었는데요,
토끼앞니 교정 후 삐뚤삐뚤하던 아랫니가
고르게 교정된 모습이네요!
<Before> <After>
![[앞니교정] 토끼앞니교정, 클리피씨 교정으로 완벽하게! by.투디치과(2D치과) 관련 이미지 10](https://pub-9f2bb3498faf4d1d8714b41df24753e3.r2.dev/content/clinics/archive/grb36g4zmx/naver_blog/dental2d/assets/by_hash/b99139911fa5c4a2be1de785fea6c97ca2fa54292c746b49a7057f30a1f644cc.jpg)
![[앞니교정] 토끼앞니교정, 클리피씨 교정으로 완벽하게! by.투디치과(2D치과) 관련 이미지 11](https://pub-9f2bb3498faf4d1d8714b41df24753e3.r2.dev/content/clinics/archive/grb36g4zmx/naver_blog/dental2d/assets/by_hash/8c25667dad962cec00a46baf1631f7748c4b312b5d5fa832f5a41f00efa45d56.jpg)
윗니의 아랫면을 보시면
토끼앞니 교정 전 주변 치아보다
크게 돌출되었던 앞니가 앞니교정 후
깔끔하게 들어간 모습을 볼 수 있습니다.
<Before> <After>
![[앞니교정] 토끼앞니교정, 클리피씨 교정으로 완벽하게! by.투디치과(2D치과) 관련 이미지 12](https://pub-9f2bb3498faf4d1d8714b41df24753e3.r2.dev/content/clinics/archive/grb36g4zmx/naver_blog/dental2d/assets/by_hash/070b3eafba22889c0eeb4a9c26230151ff203ac12e31ed73e8496309b5adea61.jpg)
![[앞니교정] 토끼앞니교정, 클리피씨 교정으로 완벽하게! by.투디치과(2D치과) 관련 이미지 13](https://pub-9f2bb3498faf4d1d8714b41df24753e3.r2.dev/content/clinics/archive/grb36g4zmx/naver_blog/dental2d/assets/by_hash/0580bc487456df8b33fc0bbfa8571f758c717e69d1f3219b9ebfba3880932fac.jpg)
오른쪽 어금니의 교정 전 모습을 보시면
정상적인 치아의 교합과 다르게
윗니와 아랫니가 정확히 맞물리는 모습이었는데요,
토끼앞니 교정 후 윗니와 아랫니가 톱니처럼 맞물리는
정상적인 교합으로 바뀐 모습입니다.
<Before> <After>
![[앞니교정] 토끼앞니교정, 클리피씨 교정으로 완벽하게! by.투디치과(2D치과) 관련 이미지 14](https://pub-9f2bb3498faf4d1d8714b41df24753e3.r2.dev/content/clinics/archive/grb36g4zmx/naver_blog/dental2d/assets/by_hash/0a1b2eea09e9cc2eac6cbc1775b2581096306f257bd1c921a074f21822d38384.jpg)
![[앞니교정] 토끼앞니교정, 클리피씨 교정으로 완벽하게! by.투디치과(2D치과) 관련 이미지 15](https://pub-9f2bb3498faf4d1d8714b41df24753e3.r2.dev/content/clinics/archive/grb36g4zmx/naver_blog/dental2d/assets/by_hash/a8904eca24c26cfa1fedb0ccd6a28d6574c024ca163afbc321a55ade715fda47.jpg)
왼쪽 어금니 또한
송곳니의 덧니 증상으로 인해
교합이 잘 맞지 않는 모습이었는데요,
토끼앞니 교정 후 윗니와 아랫니가
가지런하게 자리 잡히면서
어금니의 교합 역시 정상적인 모습으로
바뀌게 되었습니다!
<Before> <After>
![[앞니교정] 토끼앞니교정, 클리피씨 교정으로 완벽하게! by.투디치과(2D치과) 관련 이미지 16](https://pub-9f2bb3498faf4d1d8714b41df24753e3.r2.dev/content/clinics/archive/grb36g4zmx/naver_blog/dental2d/assets/by_hash/082808ae508da3218c31cf540b4c0c8d4281ea84256374169784d497a8b5a13f.jpg)
![[앞니교정] 토끼앞니교정, 클리피씨 교정으로 완벽하게! by.투디치과(2D치과) 관련 이미지 17](https://pub-9f2bb3498faf4d1d8714b41df24753e3.r2.dev/content/clinics/archive/grb36g4zmx/naver_blog/dental2d/assets/by_hash/b5b4a6533e9cbc32c6f6918bbacb8c4f8097c6687db39dd975a952907b3a955f.jpg)
토끼앞니 교정 전 윗니의 안쪽 면을 보시면
앞니의 돌출감이 크게 느껴지는 모습이었습니다.
그러나 교정 후 돌출되었던 앞니가 들어가면서
윗니의 치열도 가지런하게 바뀌었네요!
<Before> <After>
![[앞니교정] 토끼앞니교정, 클리피씨 교정으로 완벽하게! by.투디치과(2D치과) 관련 이미지 18](https://pub-9f2bb3498faf4d1d8714b41df24753e3.r2.dev/content/clinics/archive/grb36g4zmx/naver_blog/dental2d/assets/by_hash/68adf5ab9c2e36532da92cea2d4abd98b49ce5b7e8ebeb5fdac7fb670232ead5.jpg)
![[앞니교정] 토끼앞니교정, 클리피씨 교정으로 완벽하게! by.투디치과(2D치과) 관련 이미지 19](https://pub-9f2bb3498faf4d1d8714b41df24753e3.r2.dev/content/clinics/archive/grb36g4zmx/naver_blog/dental2d/assets/by_hash/3d10e01acf094f523147153a9631759a0b8aede22e128b262498058c66f99229.jpg)
아랫니의 안쪽 면 역시
토끼앞니 교정 전 삐뚤삐뚤하고
치열이 고르지 못한 모습이었는데요,
교정 후 틀어져 있던 덧니가 제자리로 돌아오고
삐뚤거리던 앞니 또한 가지런한 치열로 바뀐 모습입니다.
이번 환자분께서는
토끼앞니 증상을 교정하기 위해
약 16개월의 기간이 소요되셨으며
치아에 균일하고 지속적인 고정력을
유지하기 위해 클리피씨 교정을 선택하셨습니다.
치아에 일시적이고 지나치게 강한 고정력이
주어질 경우 치아와 잇몸이 손상을 입을 수 있습니다.
따라서 환자분께 적합한 교정 방법을 적용하여
안전하고 성공적인 교정 결과를 얻으실 수 있도록
정밀한 치아 검진 과정을 통해 교정 계획을
수립하고 있습니다.
-일요일에도 교정하는 2D치과입니다-
![[앞니교정] 토끼앞니교정, 클리피씨 교정으로 완벽하게! by.투디치과(2D치과) 관련 이미지 20](https://pub-9f2bb3498faf4d1d8714b41df24753e3.r2.dev/content/clinics/archive/grb36g4zmx/naver_blog/dental2d/assets/by_hash/06bd440e48f71a0de68c49abe113b7f04b15f5ba52046ccfb4434b5cc5b76ece.jpg)