아카이브 요약
이 페이지의 역할
2D치과의원의 네이버 블로그 원문을 보존한 아카이브 페이지입니다. 치아교정 카테고리의 [부분교정] 틀어진 앞니, 부분교정으로 앞니교정하기! by.투디치과(2D치과) 글을 통해 병원의 한국어 정보 제공 방식과 진료 관련 안내 톤을 확인할 수 있습니다.
원문 검증
필요하면 원문 블로그와 병원 프로필로 바로 이동해 문맥을 다시 확인할 수 있습니다.
출처 아카이브 열기아카이브된 블로그 글
치과의원 · ✅ 앞니에 대한 장인정신. Since 2016. 2D치과 ✅
[부분교정]틀어진 앞니, 부분교정으로 앞니교정하기! by.투디치과(2D치과) 안녕하세요! 치아에 대한 유익한 소식을 전달해드리는 투디치과(2D치과) 우디입니다~ 여름을 알리는 시원한 비가 내린 오늘은 부분교정을 진행하신 환자분의 교정 후기를 소개해드릴 예정인데요! 환자분의 경우 틀어진 앞니 Cas...
게시일
2020년 6월 2일
원문 기준으로 확인된 발행일입니다.
카테고리
치아교정
원문 블로그 카테고리를 정리해 함께 표시합니다.
이미지 수
22
현재 아카이브에 연결된 이미지 수입니다.
아카이브 요약
2D치과의원의 네이버 블로그 원문을 보존한 아카이브 페이지입니다. 치아교정 카테고리의 [부분교정] 틀어진 앞니, 부분교정으로 앞니교정하기! by.투디치과(2D치과) 글을 통해 병원의 한국어 정보 제공 방식과 진료 관련 안내 톤을 확인할 수 있습니다.
원문 검증
필요하면 원문 블로그와 병원 프로필로 바로 이동해 문맥을 다시 확인할 수 있습니다.
출처 아카이브 열기![[부분교정] 틀어진 앞니, 부분교정으로 앞니교정하기! by.투디치과(2D치과) 관련 이미지 1](https://pub-9f2bb3498faf4d1d8714b41df24753e3.r2.dev/content/clinics/archive/grb36g4zmx/naver_blog/dental2d/assets/by_hash/5505f826efdd1efab2fbeae305f5783e2acc4d75acbda4301361b8f0c496bde2.jpg)
[부분교정]틀어진 앞니, 부분교정으로 앞니교정하기! by.투디치과(2D치과)
안녕하세요!
치아에 대한 유익한 소식을 전달해드리는
투디치과(2D치과) 우디입니다~
여름을 알리는 시원한 비가
내린 오늘은 부분교정을 진행하신
환자분의 교정 후기를 소개해드릴 예정인데요!
환자분의 경우 틀어진 앞니 Case로
앞니가 미세하게 틀어져 있어
치아의 일부만 부분적으로 교정을
진행하기로 하였습니다!
"틀어진 앞니 교정(Before)"
틀어진 앞니 부분교정 전
투디치과(2D치과)
![[부분교정] 틀어진 앞니, 부분교정으로 앞니교정하기! by.투디치과(2D치과) 관련 이미지 2](https://pub-9f2bb3498faf4d1d8714b41df24753e3.r2.dev/content/clinics/archive/grb36g4zmx/naver_blog/dental2d/assets/by_hash/b0ed5735e5e875965d68c5746d872b17c1361f1930d9588fef6f2e0ffc4530c1.jpg)
[부분교정]틀어진 앞니, 부분교정으로 앞니교정하기! by.투디치과(2D치과)
틀어진 앞니 교정 전 입술의 모습을 보시면
앞니가 틀어져 있기 때문에 윗입술이 미세하게
삐뚤어진 느낌이 있는데요,
입꼬리의 좌우 대칭이 잘 맞지 않는 모습입니다.
![[부분교정] 틀어진 앞니, 부분교정으로 앞니교정하기! by.투디치과(2D치과) 관련 이미지 3](https://pub-9f2bb3498faf4d1d8714b41df24753e3.r2.dev/content/clinics/archive/grb36g4zmx/naver_blog/dental2d/assets/by_hash/63a33e2153af719ee4b0b6d5555ee114268a3160d6e3b1596dffd08eee89beac.jpg)
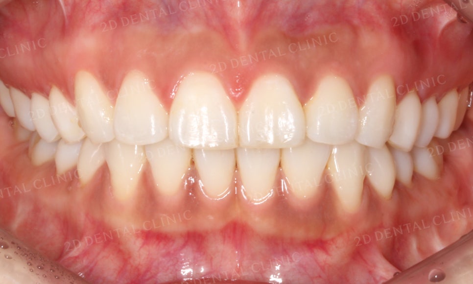
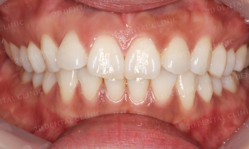
[부분교정]틀어진 앞니, 부분교정으로 앞니교정하기! by.투디치과(2D치과)
틀어진 앞니 교정 전 앞니를 보시면
윗니의 배열은 가지런한 편이지만
앞니가 약간 삐뚤어져 있습니다.
![[부분교정] 틀어진 앞니, 부분교정으로 앞니교정하기! by.투디치과(2D치과) 관련 이미지 4](https://pub-9f2bb3498faf4d1d8714b41df24753e3.r2.dev/content/clinics/archive/grb36g4zmx/naver_blog/dental2d/assets/by_hash/d1a05d24c12cd3d2084252f4223c6c7bc2f6395d51253838c59ec3676faac7e4.jpg)
[부분교정]틀어진 앞니, 부분교정으로 앞니교정하기! by.투디치과(2D치과)
측면에서 본 사진에서 앞니가 구강 안쪽으로
들어와 있는 모습인데요, 이렇게 치아의 전체적인
교합은 나쁘지 않지만 부분적으로 교정이 필요할 경우
부분교정으로 치료할 수 있습니다.
![[부분교정] 틀어진 앞니, 부분교정으로 앞니교정하기! by.투디치과(2D치과) 관련 이미지 5](https://pub-9f2bb3498faf4d1d8714b41df24753e3.r2.dev/content/clinics/archive/grb36g4zmx/naver_blog/dental2d/assets/by_hash/4ed345f71bfc33d34ad095f739cfe8e1d8154a0cdcff5093febac5a0d10a70e1.jpg)
[부분교정]틀어진 앞니, 부분교정으로 앞니교정하기! by.투디치과(2D치과)
틀어진 앞니 교정 전 치아의 모습을 자세히 보시면
앞니가 한쪽 방향으로 치우쳐져 있고,
미세하게 삐뚤거리는 모습을 볼 수 있습니다.
![[부분교정] 틀어진 앞니, 부분교정으로 앞니교정하기! by.투디치과(2D치과) 관련 이미지 6](https://pub-9f2bb3498faf4d1d8714b41df24753e3.r2.dev/content/clinics/archive/grb36g4zmx/naver_blog/dental2d/assets/by_hash/311134425ce39d363abda3c7d7dfe349b611f044abee520be7c9470e7a97f9bd.jpg)
[부분교정]틀어진 앞니, 부분교정으로 앞니교정하기! by.투디치과(2D치과)
교정 전 오른쪽 어금니의 모습을 보시면
윗니와 아랫니의 교합이 나쁘지 않은 모습입니다.
![[부분교정] 틀어진 앞니, 부분교정으로 앞니교정하기! by.투디치과(2D치과) 관련 이미지 7](https://pub-9f2bb3498faf4d1d8714b41df24753e3.r2.dev/content/clinics/archive/grb36g4zmx/naver_blog/dental2d/assets/by_hash/9a77ceaf5188f9d37491709388fd931f6bcbaf78afd6dea4534f46eabf66d8f4.jpg)
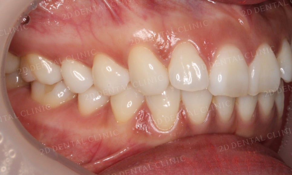
[부분교정]틀어진 앞니, 부분교정으로 앞니교정하기! by.투디치과(2D치과)
왼쪽 어금니의 교합 상태도 양호하네요.
![[부분교정] 틀어진 앞니, 부분교정으로 앞니교정하기! by.투디치과(2D치과) 관련 이미지 8](https://pub-9f2bb3498faf4d1d8714b41df24753e3.r2.dev/content/clinics/archive/grb36g4zmx/naver_blog/dental2d/assets/by_hash/b45a3fc80c4e127ed2a7a2e3f51e619c3576e4f525743228445e0313ca99c1af.jpg)
[부분교정]틀어진 앞니, 부분교정으로 앞니교정하기! by.투디치과(2D치과)
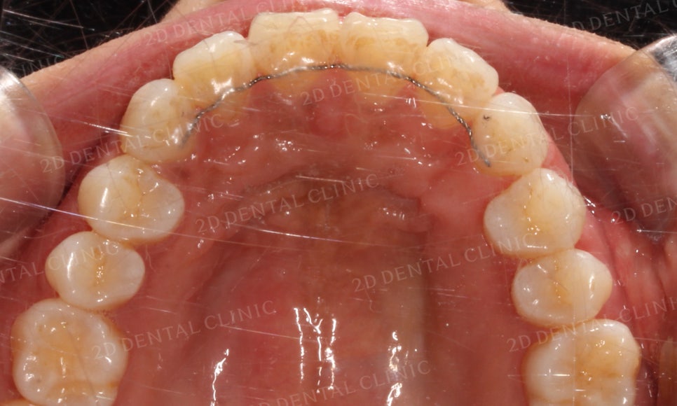
윗니의 구강 안쪽 면을 보시면
앞니의 치열이 미세하게 삐뚤거리고
치아의 각도도 설측으로 기울어진 모습입니다.
![[부분교정] 틀어진 앞니, 부분교정으로 앞니교정하기! by.투디치과(2D치과) 관련 이미지 9](https://pub-9f2bb3498faf4d1d8714b41df24753e3.r2.dev/content/clinics/archive/grb36g4zmx/naver_blog/dental2d/assets/by_hash/cdbe6866d6a92d3296bebf733da84e3b9448a65a29c1b2f0a178c24a25cdff08.jpg)
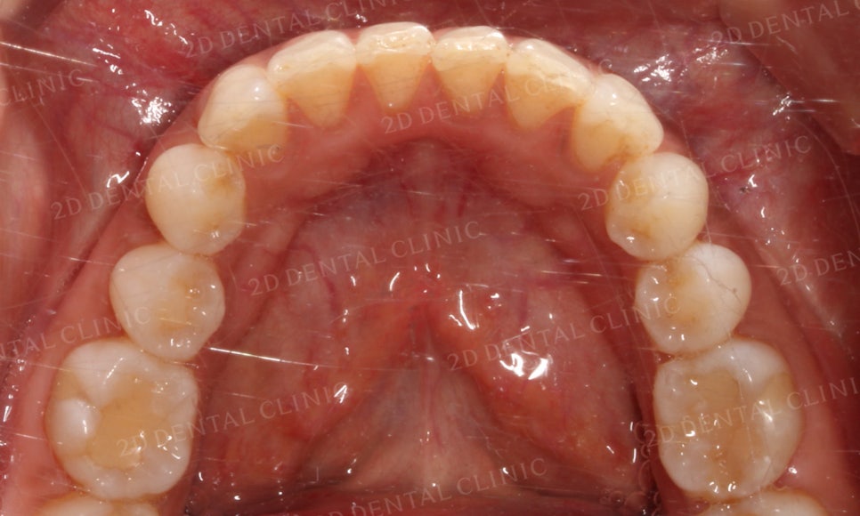
[부분교정]틀어진 앞니, 부분교정으로 앞니교정하기! by.투디치과(2D치과)
아랫니의 경우에는 앞쪽의 치아들이
들쭉날쭉하게 배열되어 있고,
치아 사이의 공간이 많이 부족한 모습이네요.
"틀어진 앞니 교정(After)"
틀어진 앞니 부분교정 후
투디치과(2D치과)
<Before> <After>
![[부분교정] 틀어진 앞니, 부분교정으로 앞니교정하기! by.투디치과(2D치과) 관련 이미지 10](https://pub-9f2bb3498faf4d1d8714b41df24753e3.r2.dev/content/clinics/archive/grb36g4zmx/naver_blog/dental2d/assets/by_hash/b0ed5735e5e875965d68c5746d872b17c1361f1930d9588fef6f2e0ffc4530c1.jpg)
![[부분교정] 틀어진 앞니, 부분교정으로 앞니교정하기! by.투디치과(2D치과) 관련 이미지 11](https://pub-9f2bb3498faf4d1d8714b41df24753e3.r2.dev/content/clinics/archive/grb36g4zmx/naver_blog/dental2d/assets/by_hash/6c7d448a02e94a57715db62336547f02ab5d73a7ed4b6601886ea287e14bfd2f.jpg)
[부분교정]틀어진 앞니, 부분교정으로 앞니교정하기! by.투디치과(2D치과)
틀어진 앞니 교정 전 입술의 모습을 보시면
입꼬리의 대칭이 잘 맞지 않고 틀어진 모습이었는데요,
틀어진 앞니 부분교정 후 윗입술과 아랫입술의 모습이
비슷해지고, 좌우의 입꼬리 모양도 대칭적으로 교정되었습니다.
<Before> <After>
![[부분교정] 틀어진 앞니, 부분교정으로 앞니교정하기! by.투디치과(2D치과) 관련 이미지 12](https://pub-9f2bb3498faf4d1d8714b41df24753e3.r2.dev/content/clinics/archive/grb36g4zmx/naver_blog/dental2d/assets/by_hash/63a33e2153af719ee4b0b6d5555ee114268a3160d6e3b1596dffd08eee89beac.jpg)
![[부분교정] 틀어진 앞니, 부분교정으로 앞니교정하기! by.투디치과(2D치과) 관련 이미지 13](https://pub-9f2bb3498faf4d1d8714b41df24753e3.r2.dev/content/clinics/archive/grb36g4zmx/naver_blog/dental2d/assets/by_hash/aad67b8f94007284a1d00300efd9963e626cf79d6df0a3124602324b02cc1edd.jpg)
[부분교정]틀어진 앞니, 부분교정으로 앞니교정하기! by.투디치과(2D치과)
틀어진 앞니 교정 전 앞니를 보시면
윗니가 아랫니를 과도하게 덮는 모습이었는데
앞니 부분교정 후 윗니와 아랫니가 적절한
교합을 갖춘 모습으로 바뀌었습니다.
<Before> <After>
![[부분교정] 틀어진 앞니, 부분교정으로 앞니교정하기! by.투디치과(2D치과) 관련 이미지 14](https://pub-9f2bb3498faf4d1d8714b41df24753e3.r2.dev/content/clinics/archive/grb36g4zmx/naver_blog/dental2d/assets/by_hash/d1a05d24c12cd3d2084252f4223c6c7bc2f6395d51253838c59ec3676faac7e4.jpg)
![[부분교정] 틀어진 앞니, 부분교정으로 앞니교정하기! by.투디치과(2D치과) 관련 이미지 15](https://pub-9f2bb3498faf4d1d8714b41df24753e3.r2.dev/content/clinics/archive/grb36g4zmx/naver_blog/dental2d/assets/by_hash/7055a11b06cad6fade63f39062f159ae7deb32a627bc570afbed596c46d07e33.jpg)
[부분교정]틀어진 앞니, 부분교정으로 앞니교정하기! by.투디치과(2D치과)
앞니교정 전 측면의 모습을 보시면
앞니가 구강 안쪽 면으로 틀어져 있는 모습을
확인할 수 있었는데요, 틀어진 앞니 교정 후
앞니가 정상 각도로 바뀐 모습입니다.
<Before> <After>
![[부분교정] 틀어진 앞니, 부분교정으로 앞니교정하기! by.투디치과(2D치과) 관련 이미지 16](https://pub-9f2bb3498faf4d1d8714b41df24753e3.r2.dev/content/clinics/archive/grb36g4zmx/naver_blog/dental2d/assets/by_hash/a37dfe52ad63471beca418d6fa1a5810395369b173f820281d621aa67ac57105.jpg)
![[부분교정] 틀어진 앞니, 부분교정으로 앞니교정하기! by.투디치과(2D치과) 관련 이미지 17](https://pub-9f2bb3498faf4d1d8714b41df24753e3.r2.dev/content/clinics/archive/grb36g4zmx/naver_blog/dental2d/assets/by_hash/41d98f034f2c0b91270f86c466b65b9fb7a3acde614417efab59ac7f022f7614.jpg)
[부분교정]틀어진 앞니, 부분교정으로 앞니교정하기! by.투디치과(2D치과)
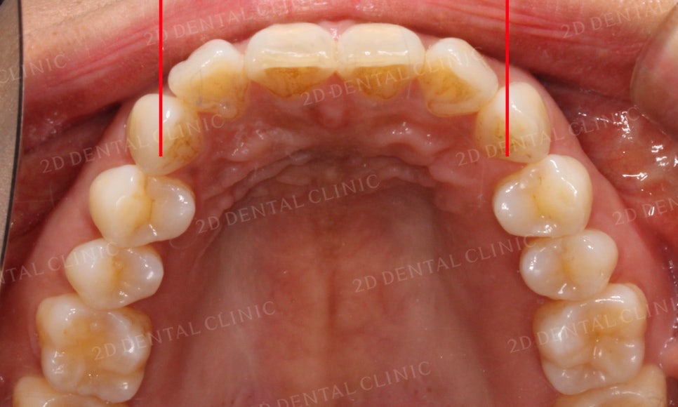
치아의 전체적인 모습을 보시면
틀어진 앞니 교정 전 앞니들이 미세하게
삐뚤거리는 느낌이 있었다면
부분교정 후 삐뚤삐뚤하던 앞니가
가지런하게 교정된 모습입니다.
<Before> <After>
![[부분교정] 틀어진 앞니, 부분교정으로 앞니교정하기! by.투디치과(2D치과) 관련 이미지 18](https://pub-9f2bb3498faf4d1d8714b41df24753e3.r2.dev/content/clinics/archive/grb36g4zmx/naver_blog/dental2d/assets/by_hash/fb5998716241438b6251d4630d7903966151e323cac91acf9c43a34e05e6916c.jpg)
![[부분교정] 틀어진 앞니, 부분교정으로 앞니교정하기! by.투디치과(2D치과) 관련 이미지 19](https://pub-9f2bb3498faf4d1d8714b41df24753e3.r2.dev/content/clinics/archive/grb36g4zmx/naver_blog/dental2d/assets/by_hash/42c925a798e8c212ed07be97b8fce3ddf37fc7486c76212ddb97f8dc36115dcf.jpg)
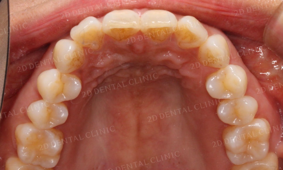
[부분교정]틀어진 앞니, 부분교정으로 앞니교정하기! by.투디치과(2D치과)
틀어진 앞니 교정 전 윗니의 모습을 보시면
앞니의 각도가 지나치게 안쪽으로
들어와 있는 모습이었는데요,
앞니 부분교정 후 치아의 전체적인 각도가
정상 각도로 교정된 모습입니다!
<Before> <After>
![[부분교정] 틀어진 앞니, 부분교정으로 앞니교정하기! by.투디치과(2D치과) 관련 이미지 20](https://pub-9f2bb3498faf4d1d8714b41df24753e3.r2.dev/content/clinics/archive/grb36g4zmx/naver_blog/dental2d/assets/by_hash/cdbe6866d6a92d3296bebf733da84e3b9448a65a29c1b2f0a178c24a25cdff08.jpg)
![[부분교정] 틀어진 앞니, 부분교정으로 앞니교정하기! by.투디치과(2D치과) 관련 이미지 21](https://pub-9f2bb3498faf4d1d8714b41df24753e3.r2.dev/content/clinics/archive/grb36g4zmx/naver_blog/dental2d/assets/by_hash/bb87999532cdc41cf998af56654b3d5c2d7a26955355da3b3b6ef7c7aac871a0.jpg)
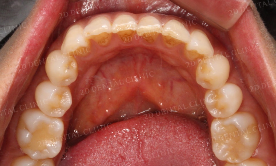
[부분교정]틀어진 앞니, 부분교정으로 앞니교정하기! by.투디치과(2D치과)
아랫니의 안쪽 면을 보시면
틀어진 앞니 교정 전 미세하게 삐뚤거리고
들쭉날쭉해 보였었는데요,
앞니 부분교정 후 삐뚤삐뚤하던
앞쪽의 치아들이 가지런하게
바뀐 모습이네요!
이번 환자분께서는
틀어진 앞니 증상을 교정하기 위해
약 8개월의 기간이 소요되셨으며
치아를 빠르고 간단하게 교정하기 위해
세라믹 부분교정을 선택하셨습니다.
치아에 일시적이고 지나치게 강한 고정력이
주어질 경우 치아와 잇몸이 손상을 입을 수 있습니다.
따라서 투디치과는 환자분께 적합한 교정 방법을 적용하여
안전하고 성공적인 교정 결과를 얻으실 수 있도록
정밀한 치아 검진 과정을 통해 교정 계획을
수립하고 있습니다.
-일요일에도 교정하는 투디치과(2D치과)입니다-
![[부분교정] 틀어진 앞니, 부분교정으로 앞니교정하기! by.투디치과(2D치과) 관련 이미지 22](https://pub-9f2bb3498faf4d1d8714b41df24753e3.r2.dev/content/clinics/archive/grb36g4zmx/naver_blog/dental2d/assets/by_hash/06bd440e48f71a0de68c49abe113b7f04b15f5ba52046ccfb4434b5cc5b76ece.jpg)