아카이브 요약
이 페이지의 역할
2D치과의원의 네이버 블로그 원문을 보존한 아카이브 페이지입니다. 치아교정 카테고리의 [앞니교정] 벌어진 앞니, 부분교정으로 앞니교정하기! by.2D치과(투디치과) 글을 통해 병원의 한국어 정보 제공 방식과 진료 관련 안내 톤을 확인할 수 있습니다.
원문 검증
필요하면 원문 블로그와 병원 프로필로 바로 이동해 문맥을 다시 확인할 수 있습니다.
출처 아카이브 열기아카이브된 블로그 글
치과의원 · ✅ 앞니에 대한 장인정신. Since 2016. 2D치과 ✅
[앞니교정] 벌어진 앞니, 부분교정으로 앞니교정하기! by.투디치과(2D치과) "벌어진 앞니 교정(Before)" 벌어진 앞니, 부분교정 전 투디치과(2D치과) [앞니교정] 벌어진 앞니, 부분교정으로 앞니교정하기! by.투디치과(2D치과) 벌어진 앞니 교정 전 입술의 모습을 보시면 윗니와 아랫니의...
게시일
2020년 6월 9일
원문 기준으로 확인된 발행일입니다.
카테고리
치아교정
원문 블로그 카테고리를 정리해 함께 표시합니다.
이미지 수
17
현재 아카이브에 연결된 이미지 수입니다.
아카이브 요약
2D치과의원의 네이버 블로그 원문을 보존한 아카이브 페이지입니다. 치아교정 카테고리의 [앞니교정] 벌어진 앞니, 부분교정으로 앞니교정하기! by.2D치과(투디치과) 글을 통해 병원의 한국어 정보 제공 방식과 진료 관련 안내 톤을 확인할 수 있습니다.
원문 검증
필요하면 원문 블로그와 병원 프로필로 바로 이동해 문맥을 다시 확인할 수 있습니다.
출처 아카이브 열기![[앞니교정] 벌어진 앞니, 부분교정으로 앞니교정하기! by.2D치과(투디치과) 관련 이미지 1](https://pub-9f2bb3498faf4d1d8714b41df24753e3.r2.dev/content/clinics/archive/grb36g4zmx/naver_blog/dental2d/assets/by_hash/945f41d4e2feeabcb80b175a1848c6a8dbec8a1afa195add9fc57f24c009b0c9.jpg)
[앞니교정] 벌어진 앞니, 부분교정으로 앞니교정하기! by.투디치과(2D치과)
"벌어진 앞니 교정(Before)"
벌어진 앞니, 부분교정 전
투디치과(2D치과)
![[앞니교정] 벌어진 앞니, 부분교정으로 앞니교정하기! by.2D치과(투디치과) 관련 이미지 2](https://pub-9f2bb3498faf4d1d8714b41df24753e3.r2.dev/content/clinics/archive/grb36g4zmx/naver_blog/dental2d/assets/by_hash/c453c37454807c789ca2d3a13423c2a4f93e758b831675869d335c0b928ea38d.jpg)
[앞니교정] 벌어진 앞니, 부분교정으로 앞니교정하기! by.투디치과(2D치과)
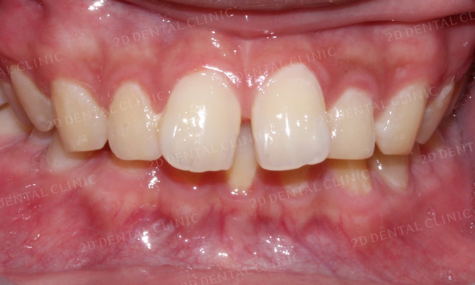
벌어진 앞니 교정 전 입술의 모습을 보시면
윗니와 아랫니의 균형이 좋지 않아
입술의 좌우 균형이 맞지 않는 모습입니다.
![[앞니교정] 벌어진 앞니, 부분교정으로 앞니교정하기! by.2D치과(투디치과) 관련 이미지 3](https://pub-9f2bb3498faf4d1d8714b41df24753e3.r2.dev/content/clinics/archive/grb36g4zmx/naver_blog/dental2d/assets/by_hash/2d5f21ab14b5129eb0d1acb51d2c2c023419eaa21837629ff05a878a57e08100.jpg)
[앞니교정] 벌어진 앞니, 부분교정으로 앞니교정하기! by.투디치과(2D치과)
미소를 지었을 때 보이는 앞니를 보시면
심하게 벌어진 치아로 인해 심미적으로
좋아 보이지 않는 모습입니다.
![[앞니교정] 벌어진 앞니, 부분교정으로 앞니교정하기! by.2D치과(투디치과) 관련 이미지 4](https://pub-9f2bb3498faf4d1d8714b41df24753e3.r2.dev/content/clinics/archive/grb36g4zmx/naver_blog/dental2d/assets/by_hash/582d79d3cabf1fc44acb946da8a150a94b295f065a15a65299c642f7087b0e89.jpg)
[앞니교정] 벌어진 앞니, 부분교정으로 앞니교정하기! by.투디치과(2D치과)
미소를 지었을 때 보이는 측면의 치아 모습 역시
윗니가 과도하게 돌출된 모습이네요.
![[앞니교정] 벌어진 앞니, 부분교정으로 앞니교정하기! by.2D치과(투디치과) 관련 이미지 5](https://pub-9f2bb3498faf4d1d8714b41df24753e3.r2.dev/content/clinics/archive/grb36g4zmx/naver_blog/dental2d/assets/by_hash/8328498bdc2f2180e0d511decb62939e6b0e9d52238032e3392fe47191bf9881.jpg)
[앞니교정] 벌어진 앞니, 부분교정으로 앞니교정하기! by.투디치과(2D치과)
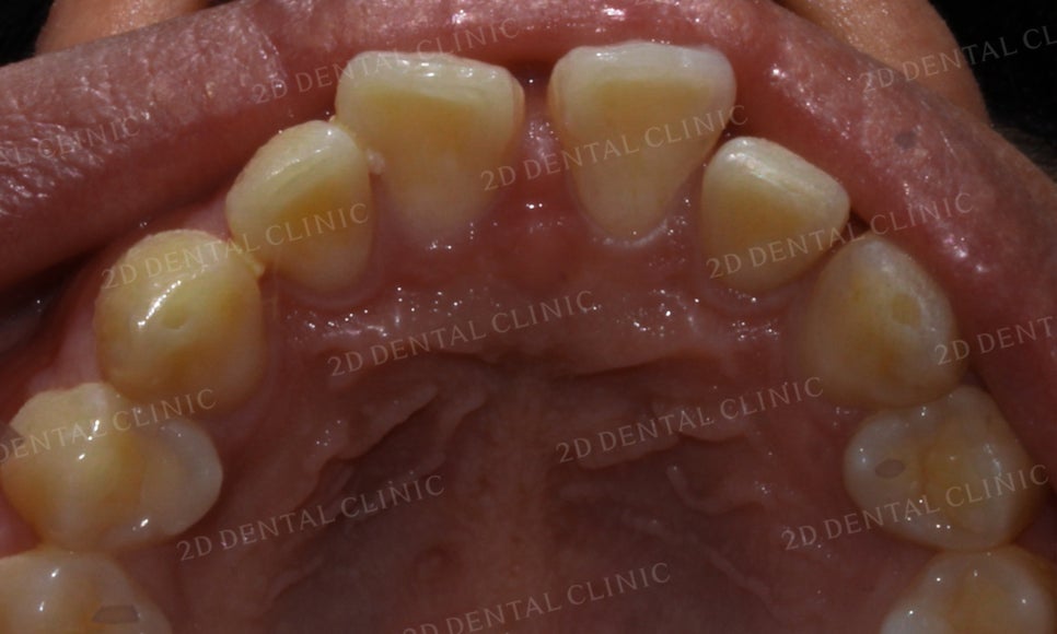
치아를 자세히 살펴보시면
앞니가 아랫니를 많이 덮는
'과개교합' 증상이 발견되는데요,
이러한 경우 전체적인 치아의 교정을 통해
치열을 바로잡는 것을 추천드립니다.
*이번 Case의 경우 환자분께서 전체교정을
원하시지 않았기 때문에 부분교정으로 진행하게 되었습니다.
![[앞니교정] 벌어진 앞니, 부분교정으로 앞니교정하기! by.2D치과(투디치과) 관련 이미지 6](https://pub-9f2bb3498faf4d1d8714b41df24753e3.r2.dev/content/clinics/archive/grb36g4zmx/naver_blog/dental2d/assets/by_hash/c5c1fab1715437d7a9165cf7f73b6a0764353a8ea3b746de6379780e1e485ec5.jpg)
[앞니교정] 벌어진 앞니, 부분교정으로 앞니교정하기! by.투디치과(2D치과)
벌어진 윗니의 안쪽 면을 자세히 보시면
앞니가 입술 방향으로 뻐드러진 모습인데요,
앞니의 벌어짐뿐만 아니라 치아에 복합적인
문제가 있는 것이 확인됩니다.
"벌어진 앞니 교정(After)"
벌어진 앞니, 부분교정 후
투디치과(2D치과)
<Before> <After>
![[앞니교정] 벌어진 앞니, 부분교정으로 앞니교정하기! by.2D치과(투디치과) 관련 이미지 7](https://pub-9f2bb3498faf4d1d8714b41df24753e3.r2.dev/content/clinics/archive/grb36g4zmx/naver_blog/dental2d/assets/by_hash/c453c37454807c789ca2d3a13423c2a4f93e758b831675869d335c0b928ea38d.jpg)
![[앞니교정] 벌어진 앞니, 부분교정으로 앞니교정하기! by.2D치과(투디치과) 관련 이미지 8](https://pub-9f2bb3498faf4d1d8714b41df24753e3.r2.dev/content/clinics/archive/grb36g4zmx/naver_blog/dental2d/assets/by_hash/cd287e8e031483e840046cdceeeb4a4ab83e8b7af17a3a09aaf0f79958abdf57.jpg)
[앞니교정] 벌어진 앞니, 부분교정으로 앞니교정하기! by.투디치과(2D치과)
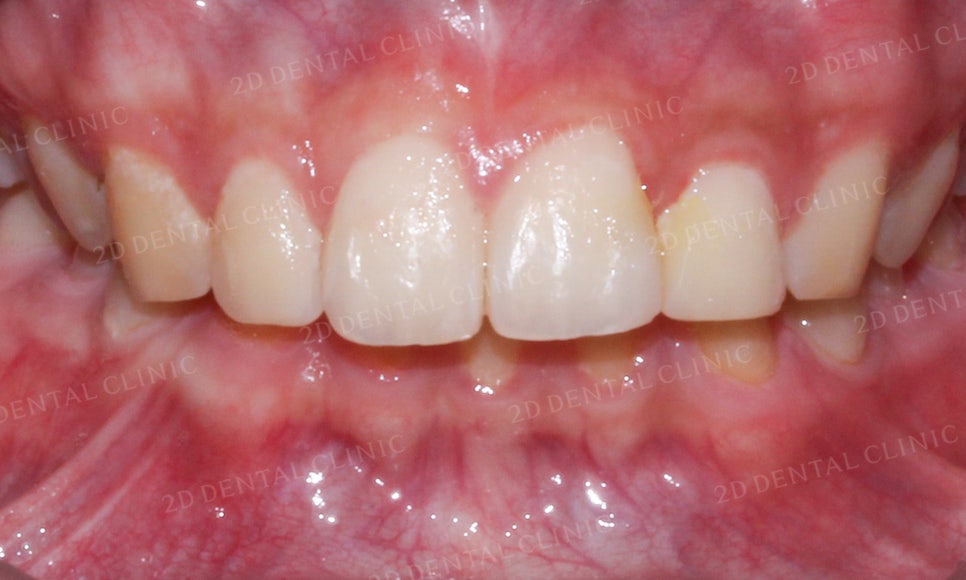
벌어진 앞니 교정 전 입술의 모습은
치열의 불균형으로 인해 입술선의
좌우 대칭이 맞지 않는 모습이었는데요,
벌어진 앞니 부분교정 후 입술의 좌우가
대칭적으로 바뀌었습니다.
<Before> <After>
![[앞니교정] 벌어진 앞니, 부분교정으로 앞니교정하기! by.2D치과(투디치과) 관련 이미지 9](https://pub-9f2bb3498faf4d1d8714b41df24753e3.r2.dev/content/clinics/archive/grb36g4zmx/naver_blog/dental2d/assets/by_hash/2d5f21ab14b5129eb0d1acb51d2c2c023419eaa21837629ff05a878a57e08100.jpg)
![[앞니교정] 벌어진 앞니, 부분교정으로 앞니교정하기! by.2D치과(투디치과) 관련 이미지 10](https://pub-9f2bb3498faf4d1d8714b41df24753e3.r2.dev/content/clinics/archive/grb36g4zmx/naver_blog/dental2d/assets/by_hash/9015a1240dd8a3aae6c190cae855894fe3fe3cb39a7f7d1dcd47e6d51144bd5e.jpg)
[앞니교정] 벌어진 앞니, 부분교정으로 앞니교정하기! by.투디치과(2D치과)
벌어진 앞니 교정 전 치아를 보시면
앞니가 심하게 벌어져 있어 심미적으로
좋지 않은 모습이었습니다.
그러나 앞니 부분교정 후 벌어진
치아가 깔끔하게 정리되었고 앞니의
돌출감도 많이 사라진 모습입니다.
<Before> <After>
![[앞니교정] 벌어진 앞니, 부분교정으로 앞니교정하기! by.2D치과(투디치과) 관련 이미지 11](https://pub-9f2bb3498faf4d1d8714b41df24753e3.r2.dev/content/clinics/archive/grb36g4zmx/naver_blog/dental2d/assets/by_hash/582d79d3cabf1fc44acb946da8a150a94b295f065a15a65299c642f7087b0e89.jpg)
![[앞니교정] 벌어진 앞니, 부분교정으로 앞니교정하기! by.2D치과(투디치과) 관련 이미지 12](https://pub-9f2bb3498faf4d1d8714b41df24753e3.r2.dev/content/clinics/archive/grb36g4zmx/naver_blog/dental2d/assets/by_hash/39edc1e99dbf351f7c7c4fe58637338d0fd9750765dde85c0476f5d5f9aa2972.jpg)
[앞니교정] 벌어진 앞니, 부분교정으로 앞니교정하기! by.투디치과(2D치과)
앞니 교정 전 치아의 측면 모습을 보시면
앞니의 돌출감이 심한 것을 확인할 수 있었습니다.
벌어진 앞니 교정 후 이러한 돌출감이 사라지고
치열이 고르게 바뀐 모습이네요!
<Before> <After>
![[앞니교정] 벌어진 앞니, 부분교정으로 앞니교정하기! by.2D치과(투디치과) 관련 이미지 13](https://pub-9f2bb3498faf4d1d8714b41df24753e3.r2.dev/content/clinics/archive/grb36g4zmx/naver_blog/dental2d/assets/by_hash/8328498bdc2f2180e0d511decb62939e6b0e9d52238032e3392fe47191bf9881.jpg)
![[앞니교정] 벌어진 앞니, 부분교정으로 앞니교정하기! by.2D치과(투디치과) 관련 이미지 14](https://pub-9f2bb3498faf4d1d8714b41df24753e3.r2.dev/content/clinics/archive/grb36g4zmx/naver_blog/dental2d/assets/by_hash/0454591cf107eb20fbdb05ebc6076e6d19a931374f371d4562f036ce842fc289.jpg)
[앞니교정] 벌어진 앞니, 부분교정으로 앞니교정하기! by.투디치과(2D치과)
전체적인 치아의 모습을 보시면
교정 전 앞니가 벌어지고 윗니가
많이 돌출된 느낌이 있었던 반면
벌어진 앞니 부분교정 후 앞니가
바르게 교정되었고 튀어나와 보이던
앞니도 많이 정돈된 모습입니다.
<Before> <After>
![[앞니교정] 벌어진 앞니, 부분교정으로 앞니교정하기! by.2D치과(투디치과) 관련 이미지 15](https://pub-9f2bb3498faf4d1d8714b41df24753e3.r2.dev/content/clinics/archive/grb36g4zmx/naver_blog/dental2d/assets/by_hash/c5c1fab1715437d7a9165cf7f73b6a0764353a8ea3b746de6379780e1e485ec5.jpg)
![[앞니교정] 벌어진 앞니, 부분교정으로 앞니교정하기! by.2D치과(투디치과) 관련 이미지 16](https://pub-9f2bb3498faf4d1d8714b41df24753e3.r2.dev/content/clinics/archive/grb36g4zmx/naver_blog/dental2d/assets/by_hash/aac8f5142cafe76a03140f3276cdade448f30b7919906483a98733cdb2dcac95.jpg)
[앞니교정] 벌어진 앞니, 부분교정으로 앞니교정하기! by.투디치과(2D치과)
윗니의 안쪽 면을 보시면
교정 전 벌어진 앞니가 입술 방향으로
뻐드러진 모습이었는데요,
앞니 교정 후 치열이 가지런하게 바뀌고
윗니의 돌출감도 크게 완화된 모습입니다.
이번 환자분께서는
벌어진 앞니 증상을 교정하기 위해
약 10개월의 기간이 소요되셨으며
치아를 빠르고 간단하게 교정하기 위해
상악 부분교정을 선택하셨습니다.
치아에 일시적이고 지나치게 강한 고정력이
주어질 경우 치아와 잇몸이 손상을 입을 수 있습니다.
따라서 투디치과는 환자분께 적합한 교정 방법을 적용하여
안전하고 성공적인 교정 결과를 얻으실 수 있도록
정밀한 치아 검진 과정을 통해 교정 계획을
수립하고 있습니다.
-일요일에도 교정하는 투디치과(2D치과)입니다-
![[앞니교정] 벌어진 앞니, 부분교정으로 앞니교정하기! by.2D치과(투디치과) 관련 이미지 17](https://pub-9f2bb3498faf4d1d8714b41df24753e3.r2.dev/content/clinics/archive/grb36g4zmx/naver_blog/dental2d/assets/by_hash/06bd440e48f71a0de68c49abe113b7f04b15f5ba52046ccfb4434b5cc5b76ece.jpg)