아카이브 요약
이 페이지의 역할
2D치과의원의 네이버 블로그 원문을 보존한 아카이브 페이지입니다. 치아교정 카테고리의 [2D교정] 나비치아, 앞니교정 설측교정으로 빠르게 하는 방법! by.2D치과(투디치과) 글을 통해 병원의 한국어 정보 제공 방식과 진료 관련 안내 톤을 확인할 수 있습니다.
원문 검증
필요하면 원문 블로그와 병원 프로필로 바로 이동해 문맥을 다시 확인할 수 있습니다.
출처 아카이브 열기아카이브된 블로그 글
치과의원 · ✅ 앞니에 대한 장인정신. Since 2016. 2D치과 ✅
[2D교정] 나비치아, 앞니교정 설측교정으로 빠르게 하는 방법! by.2D치과(투디치과) 안녕하세요 : ) 금요일 저녁 교정 소식으로 돌아온 우디입니다~ 벌써 한 주가 끝나는 금요일인데요! 이번 주도 열심히 일하신 이웃님들 모두 고생하셨습니다 ^_^ 오늘은 앞니가 삐뚤어서 고민이신 환자분의 '나비치아...
게시일
2020년 6월 12일
원문 기준으로 확인된 발행일입니다.
카테고리
치아교정
원문 블로그 카테고리를 정리해 함께 표시합니다.
이미지 수
17
현재 아카이브에 연결된 이미지 수입니다.
아카이브 요약
2D치과의원의 네이버 블로그 원문을 보존한 아카이브 페이지입니다. 치아교정 카테고리의 [2D교정] 나비치아, 앞니교정 설측교정으로 빠르게 하는 방법! by.2D치과(투디치과) 글을 통해 병원의 한국어 정보 제공 방식과 진료 관련 안내 톤을 확인할 수 있습니다.
원문 검증
필요하면 원문 블로그와 병원 프로필로 바로 이동해 문맥을 다시 확인할 수 있습니다.
출처 아카이브 열기![[2D교정] 나비치아, 앞니교정 설측교정으로 빠르게 하는 방법! by.2D치과(투디치과) 관련 이미지 1](https://pub-9f2bb3498faf4d1d8714b41df24753e3.r2.dev/content/clinics/archive/grb36g4zmx/naver_blog/dental2d/assets/by_hash/57c91cd02023c6ea9dc98a280c1cef353ae1140ea9dff25c280b4224e3948fc1.jpg)
[2D교정] 나비치아, 앞니교정 설측교정으로 빠르게 하는 방법! by.2D치과(투디치과)
안녕하세요 : ) 금요일 저녁
교정 소식으로 돌아온 우디입니다~
벌써 한 주가 끝나는 금요일인데요!
이번 주도 열심히 일하신 이웃님들
모두 고생하셨습니다 ^_^
오늘은 앞니가 삐뚤어서 고민이신
환자분의 '나비치아' 교정 후기를 준비했는데요,
교정기가 노출되는 것이 부담스러워
교정을 고민하고 계시다면
오늘 포스팅을 꼼꼼하게 읽어주세요!
"나비치아 교정(Before)"
나비치아, 2D교정으로 앞니 교정 전
2D치과(투디치과)
![[2D교정] 나비치아, 앞니교정 설측교정으로 빠르게 하는 방법! by.2D치과(투디치과) 관련 이미지 2](https://pub-9f2bb3498faf4d1d8714b41df24753e3.r2.dev/content/clinics/archive/grb36g4zmx/naver_blog/dental2d/assets/by_hash/b6f7d210d5eb24efbff8d4ae3b0de1381fdf379f5e01b98a155295c6188360c4.jpg)
[2D교정] 나비치아, 앞니교정 설측교정으로 빠르게 하는 방법! by.2D치과(투디치과)
나비치아 교정 전 입술의 모습입니다.
앞니가 돌출되고 틀어져 있기 때문에
신경을 쓰지 않으면 자연스럽게
입술이 벌어지는 현상이 있어요ㅠ
![[2D교정] 나비치아, 앞니교정 설측교정으로 빠르게 하는 방법! by.2D치과(투디치과) 관련 이미지 3](https://pub-9f2bb3498faf4d1d8714b41df24753e3.r2.dev/content/clinics/archive/grb36g4zmx/naver_blog/dental2d/assets/by_hash/10dbabfcafd7f1418ce6f26ec715643419972bd1482f00d2dd75b775f2b9b473.jpg)
[2D교정] 나비치아, 앞니교정 설측교정으로 빠르게 하는 방법! by.2D치과(투디치과)
미소를 지었을 때 보이는 앞니의 모습입니다.
앞니가 다른 치아들보다 유난히 튀어나왔다는
느낌이 강하게 드는데요,
실제로 앞니가 커서 튀어나왔다기보다
대부분의 경우에 치열이 틀어져서
시각적으로 돌출되어 보이는 경우가 많습니다.
![[2D교정] 나비치아, 앞니교정 설측교정으로 빠르게 하는 방법! by.2D치과(투디치과) 관련 이미지 4](https://pub-9f2bb3498faf4d1d8714b41df24753e3.r2.dev/content/clinics/archive/grb36g4zmx/naver_blog/dental2d/assets/by_hash/3af37f2446cb1ec8f0e258fea555c56639cf800c0e3727d52ff2f3bbdfe781e8.jpg)
[2D교정] 나비치아, 앞니교정 설측교정으로 빠르게 하는 방법! by.2D치과(투디치과)
측면에서 본 앞니의 모습을 보시면
일반적인 치열보다 앞니가 틀어져 있고
돌출된 모습이네요.
![[2D교정] 나비치아, 앞니교정 설측교정으로 빠르게 하는 방법! by.2D치과(투디치과) 관련 이미지 5](https://pub-9f2bb3498faf4d1d8714b41df24753e3.r2.dev/content/clinics/archive/grb36g4zmx/naver_blog/dental2d/assets/by_hash/1a6741f61757e1fabcbad42a128b91fe7e56fa405e61fce4e3bfd128f37c15d8.jpg)
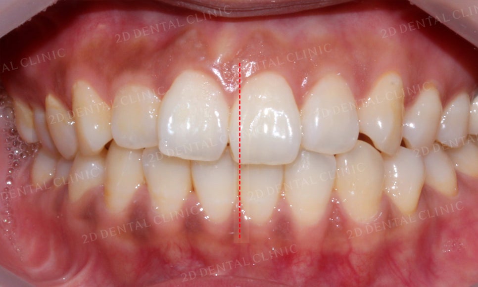
[2D교정] 나비치아, 앞니교정 설측교정으로 빠르게 하는 방법! by.2D치과(투디치과)
치아의 전체적인 모습을 보시면
윗니와 아랫니의 중심이 잘 맞지 않고
특히 윗니가 약간 삐뚤거리는 모습이에요!
![[2D교정] 나비치아, 앞니교정 설측교정으로 빠르게 하는 방법! by.2D치과(투디치과) 관련 이미지 6](https://pub-9f2bb3498faf4d1d8714b41df24753e3.r2.dev/content/clinics/archive/grb36g4zmx/naver_blog/dental2d/assets/by_hash/67a58deeef375cc5b4a02a1f01130f068d9c211a72b914705d52fc9c7b085a66.jpg)
[2D교정] 나비치아, 앞니교정 설측교정으로 빠르게 하는 방법! by.2D치과(투디치과)
틀어짐이 심한 앞니를 안쪽에서 보시면
치아가 미세하게 V자 모양으로 꺾여 있는
모습을 확인할 수 있는데요,
이러한 증상은 나비치아의 대표적인 모습입니다.
"나비치아 교정(Aftre)"
나비치아, 2D교정으로 앞니 교정 후
2D치과(투디치과)
<Before> <After>
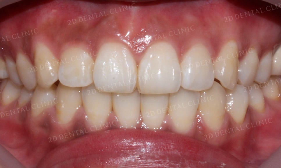
![[2D교정] 나비치아, 앞니교정 설측교정으로 빠르게 하는 방법! by.2D치과(투디치과) 관련 이미지 7](https://pub-9f2bb3498faf4d1d8714b41df24753e3.r2.dev/content/clinics/archive/grb36g4zmx/naver_blog/dental2d/assets/by_hash/b6f7d210d5eb24efbff8d4ae3b0de1381fdf379f5e01b98a155295c6188360c4.jpg)
![[2D교정] 나비치아, 앞니교정 설측교정으로 빠르게 하는 방법! by.2D치과(투디치과) 관련 이미지 8](https://pub-9f2bb3498faf4d1d8714b41df24753e3.r2.dev/content/clinics/archive/grb36g4zmx/naver_blog/dental2d/assets/by_hash/748650c99d13a86f485d4b1c118919015296566e918ed832d217374a0714c288.jpg)
[2D교정] 나비치아, 앞니교정 설측교정으로 빠르게 하는 방법! by.2D치과(투디치과)
나비치아 교정 전 입술의 모습을 보시면
앞니의 돌출로 인해 입술에 힘을 주지 않으면
벌어지는 증상이 나타나고 있었는데요,
나비치아 교정 후 앞니의 돌출감이 사라지고
입술도 자연스럽게 다물어지는 모습이네요!
<Before> <After>
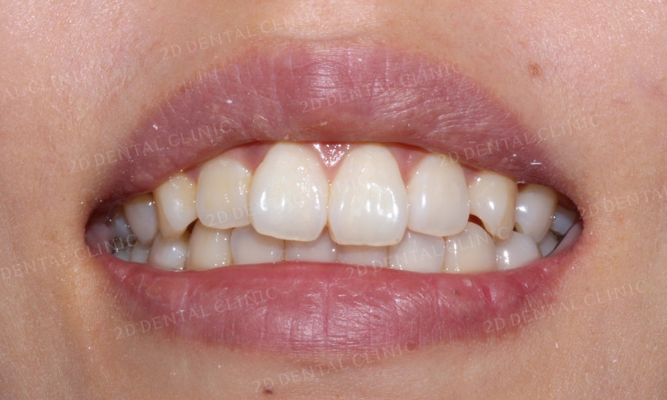
![[2D교정] 나비치아, 앞니교정 설측교정으로 빠르게 하는 방법! by.2D치과(투디치과) 관련 이미지 9](https://pub-9f2bb3498faf4d1d8714b41df24753e3.r2.dev/content/clinics/archive/grb36g4zmx/naver_blog/dental2d/assets/by_hash/96ecd1ac5d5dabdf941e85624d491ad922c232468e480c95f237be4b51c6760c.jpg)
![[2D교정] 나비치아, 앞니교정 설측교정으로 빠르게 하는 방법! by.2D치과(투디치과) 관련 이미지 10](https://pub-9f2bb3498faf4d1d8714b41df24753e3.r2.dev/content/clinics/archive/grb36g4zmx/naver_blog/dental2d/assets/by_hash/21de474fa3378ea5ec7d3b41baa5dc23d46c967c46344ff3a0f90bcf1c188b67.jpg)
[2D교정] 나비치아, 앞니교정 설측교정으로 빠르게 하는 방법! by.2D치과(투디치과)
나비치아 교정 전 앞니의 모습을 보시면
다른 치아들과 달리 유난히 크고
튀어나온 느낌이 강했었는데요,
나비치아 교정 후 앞니의 치열이 가지런해지면서
거대해 보이던 앞니도 균형 있는 크기로 바뀌었습니다!
<Before> <After>
![[2D교정] 나비치아, 앞니교정 설측교정으로 빠르게 하는 방법! by.2D치과(투디치과) 관련 이미지 11](https://pub-9f2bb3498faf4d1d8714b41df24753e3.r2.dev/content/clinics/archive/grb36g4zmx/naver_blog/dental2d/assets/by_hash/df62f48d37f753dfc074bb0e3a05735a3bd30ac717651d86926fe5d7203df4cb.jpg)
![[2D교정] 나비치아, 앞니교정 설측교정으로 빠르게 하는 방법! by.2D치과(투디치과) 관련 이미지 12](https://pub-9f2bb3498faf4d1d8714b41df24753e3.r2.dev/content/clinics/archive/grb36g4zmx/naver_blog/dental2d/assets/by_hash/f7c8ad33b1aecd770b59c0c81d793bd3ecc1c0f6ad5734cb7e5c18162cdcd6b5.jpg)
[2D교정] 나비치아, 앞니교정 설측교정으로 빠르게 하는 방법! by.2D치과(투디치과)
앞니교정 전 치아의 옆모습을 보시면
앞니가 돌출되어 있는 느낌이 있었는데요,
나비치아 교정 후 이러한 돌출감이 사라지고
가지런한 치열로 바뀐 모습입니다.
<Before> <After>
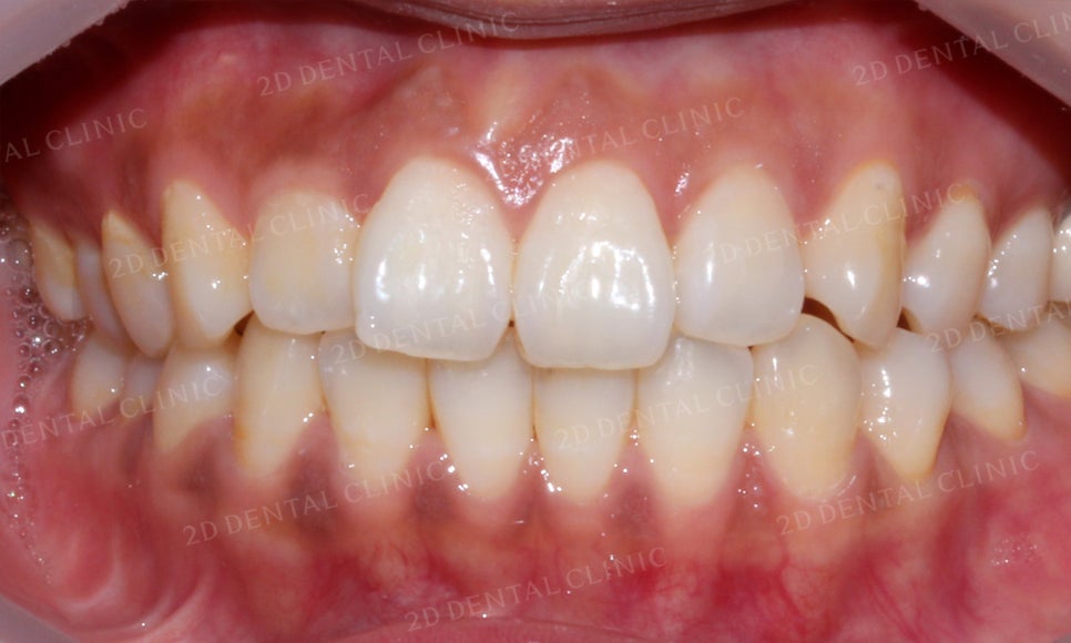
![[2D교정] 나비치아, 앞니교정 설측교정으로 빠르게 하는 방법! by.2D치과(투디치과) 관련 이미지 13](https://pub-9f2bb3498faf4d1d8714b41df24753e3.r2.dev/content/clinics/archive/grb36g4zmx/naver_blog/dental2d/assets/by_hash/b4a076066a7aa68c739732142b112dfdaef770a7573ac6905eae5c965f19bc87.jpg)
![[2D교정] 나비치아, 앞니교정 설측교정으로 빠르게 하는 방법! by.2D치과(투디치과) 관련 이미지 14](https://pub-9f2bb3498faf4d1d8714b41df24753e3.r2.dev/content/clinics/archive/grb36g4zmx/naver_blog/dental2d/assets/by_hash/4b430bb614019bfeb61e14e0514490e88431fc2fe027a44102334a3daf220625.jpg)
[2D교정] 나비치아, 앞니교정 설측교정으로 빠르게 하는 방법! by.2D치과(투디치과)
전체적인 치열 또한 교정 전 윗니가 삐뚤거리고
치아의 중심이 잘 맞지 않았던 모습에서
나비치아 교정 후 윗니의 치열이 고르게 바뀌고
치아의 정중선도 비교적 맞춰진 모습입니다.
*부분교정만으로 치아를 교정할 경우
윗니와 아랫니의 치열을 완벽하게 바로잡기는 어렵습니다.
이번 환자분의 경우에는 윗니의 교정만을 진행하셨기 때문에
이를 감안하시고 포스팅을 읽어주시기 바랍니다.
<Before> <After>
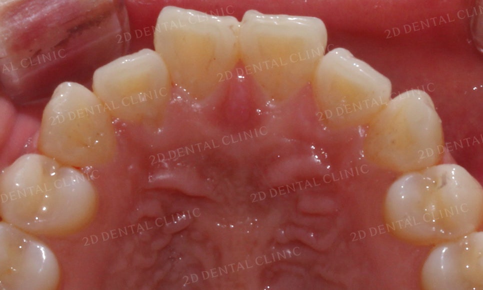
![[2D교정] 나비치아, 앞니교정 설측교정으로 빠르게 하는 방법! by.2D치과(투디치과) 관련 이미지 15](https://pub-9f2bb3498faf4d1d8714b41df24753e3.r2.dev/content/clinics/archive/grb36g4zmx/naver_blog/dental2d/assets/by_hash/e572759a6e6670e7ef6ce0528ba57f75afd42f3823634479bc5765cf3f0caade.jpg)
![[2D교정] 나비치아, 앞니교정 설측교정으로 빠르게 하는 방법! by.2D치과(투디치과) 관련 이미지 16](https://pub-9f2bb3498faf4d1d8714b41df24753e3.r2.dev/content/clinics/archive/grb36g4zmx/naver_blog/dental2d/assets/by_hash/27ae7b72964a38a8795d9bac4fb98fc85836881fca789b26c4a0bc28c71dd64d.jpg)
[2D교정] 나비치아, 앞니교정 설측교정으로 빠르게 하는 방법! by.2D치과(투디치과)
앞니의 틀어짐을 확실하게 확인할 수 있었던
윗니의 안쪽 면을 보시면
교정 전 앞니가 V자 형태로 꺾여있던 모습에서
나비치아 교정 후 앞니의 치열이 가지런하게
변한 모습을 볼 수 있습니다.
이번 환자분께서는
나비치아 증상을 교정하기 위해
약 4개월의 기간이 소요되셨으며
치아를 빠르고 간단하게 교정하기 위해
2D교정(설측교정)을 부분적으로 진행하셨습니다.
치아에 일시적이고 지나치게 강한 고정력이
주어질 경우 치아와 잇몸이 손상을 입을 수 있습니다.
따라서 투디치과는 환자분께 적합한 교정 방법을 적용하여
안전하고 성공적인 교정 결과를 얻으실 수 있도록
정밀한 치아 검진 과정을 통해 교정 계획을
수립하고 있습니다.
-일요일에도 교정하는 투디치과(2D치과)입니다-
![[2D교정] 나비치아, 앞니교정 설측교정으로 빠르게 하는 방법! by.2D치과(투디치과) 관련 이미지 17](https://pub-9f2bb3498faf4d1d8714b41df24753e3.r2.dev/content/clinics/archive/grb36g4zmx/naver_blog/dental2d/assets/by_hash/06bd440e48f71a0de68c49abe113b7f04b15f5ba52046ccfb4434b5cc5b76ece.jpg)