아카이브 요약
이 페이지의 역할
2D치과의원의 네이버 블로그 원문을 보존한 아카이브 페이지입니다. 치아교정 카테고리의 [2D교정] 나비치아교정을 2D교정 장치로 빠르게 완성하기! by.2D치과(투디치과) 글을 통해 병원의 한국어 정보 제공 방식과 진료 관련 안내 톤을 확인할 수 있습니다.
원문 검증
필요하면 원문 블로그와 병원 프로필로 바로 이동해 문맥을 다시 확인할 수 있습니다.
출처 아카이브 열기아카이브된 블로그 글
치과의원 · ✅ 앞니에 대한 장인정신. Since 2016. 2D치과 ✅
[2D교정] 나비치아교정을 2D교정 장치로 빠르게 완성하기! by.2D치과(투디치과) 안녕하세요! 교정소식으로 인사드리는 2D치과(투디치과) 우디에요 : ) 오늘 소개해드릴 소식은 교정한 티가 안 나는...! 아무도 모르게 교정을 끝내는 방법! 2D교정으로 나비치아를 교정하신 환자분의 교정 후기 포스팅을 준비했...
게시일
2020년 6월 23일
원문 기준으로 확인된 발행일입니다.
카테고리
치아교정
원문 블로그 카테고리를 정리해 함께 표시합니다.
이미지 수
17
현재 아카이브에 연결된 이미지 수입니다.
아카이브 요약
2D치과의원의 네이버 블로그 원문을 보존한 아카이브 페이지입니다. 치아교정 카테고리의 [2D교정] 나비치아교정을 2D교정 장치로 빠르게 완성하기! by.2D치과(투디치과) 글을 통해 병원의 한국어 정보 제공 방식과 진료 관련 안내 톤을 확인할 수 있습니다.
원문 검증
필요하면 원문 블로그와 병원 프로필로 바로 이동해 문맥을 다시 확인할 수 있습니다.
출처 아카이브 열기![[2D교정] 나비치아교정을 2D교정 장치로 빠르게 완성하기! by.2D치과(투디치과) 관련 이미지 1](https://pub-9f2bb3498faf4d1d8714b41df24753e3.r2.dev/content/clinics/archive/grb36g4zmx/naver_blog/dental2d/assets/by_hash/a71813e3feaaf148686b699f9915df3e2f80bcf689d07cabaacba9a2af0cc92b.jpg)
[2D교정] 나비치아교정을 2D교정 장치로 빠르게 완성하기! by.2D치과(투디치과)
안녕하세요!
교정소식으로 인사드리는
2D치과(투디치과) 우디에요 : )
오늘 소개해드릴 소식은
교정한 티가 안 나는...!
아무도 모르게 교정을 끝내는 방법!
2D교정으로 나비치아를
교정하신 환자분의
교정 후기 포스팅을 준비했습니다~
"나비치아 교정(Before)"
나비치아 2D교정(설측교정) 전
2D치과(투디치과)
![[2D교정] 나비치아교정을 2D교정 장치로 빠르게 완성하기! by.2D치과(투디치과) 관련 이미지 2](https://pub-9f2bb3498faf4d1d8714b41df24753e3.r2.dev/content/clinics/archive/grb36g4zmx/naver_blog/dental2d/assets/by_hash/829aa6569e1cd8364a49b748548ed334bcfcb57271d807ff05f65f362525f306.jpg)
[2D교정] 나비치아교정을 2D교정 장치로 빠르게 완성하기! by.2D치과(투디치과)
나비치아 교정 전 환자분의 입술 모습을 보시면
구강이 돌출되어 있어 입술이 튀어나와 보이는데요,
특히 윗 입술의 돌출이 튀어보입니다.
![[2D교정] 나비치아교정을 2D교정 장치로 빠르게 완성하기! by.2D치과(투디치과) 관련 이미지 3](https://pub-9f2bb3498faf4d1d8714b41df24753e3.r2.dev/content/clinics/archive/grb36g4zmx/naver_blog/dental2d/assets/by_hash/9e5fdae17b00ea2f7c637b57ef5bf475bb44ed7d5897d86cfea143706ca501e7.jpg)
[2D교정] 나비치아교정을 2D교정 장치로 빠르게 완성하기! by.2D치과(투디치과)
미소를 지었을 때 보이는 앞니의 모습입니다.
윗니와 아랫니의 중심이 맞지 않는 모습인데요,
치아의 중심선이 맞지 않으면
치아를 개방-교합 할 때마다
턱 관절에 무리가 갈 수 있습니다.
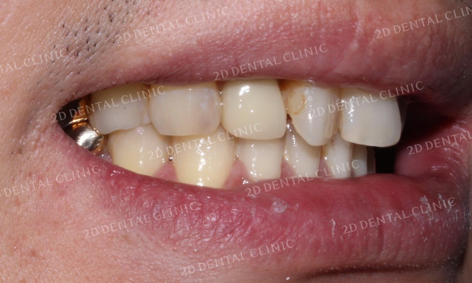
![[2D교정] 나비치아교정을 2D교정 장치로 빠르게 완성하기! by.2D치과(투디치과) 관련 이미지 4](https://pub-9f2bb3498faf4d1d8714b41df24753e3.r2.dev/content/clinics/archive/grb36g4zmx/naver_blog/dental2d/assets/by_hash/e1bf505e72c94eccefdd5c2a7284572d0e3e0fed691477a5b6f37d37f9d13e0c.jpg)
[2D교정] 나비치아교정을 2D교정 장치로 빠르게 완성하기! by.2D치과(투디치과)
미소를 지었을 때 보이는 앞니의 옆 모습입니다.
앞니 2개가 유난히 튀어나와 있고
정상적인 치아의 배열과 달리
각도가 틀어진 모습입니다.
![[2D교정] 나비치아교정을 2D교정 장치로 빠르게 완성하기! by.2D치과(투디치과) 관련 이미지 5](https://pub-9f2bb3498faf4d1d8714b41df24753e3.r2.dev/content/clinics/archive/grb36g4zmx/naver_blog/dental2d/assets/by_hash/c94c691ec0916702e0c40a315613d8b1e294b53aa398306d8d656d77375a2fef.jpg)
[2D교정] 나비치아교정을 2D교정 장치로 빠르게 완성하기! by.2D치과(투디치과)
이러한 치아의 증상을 '나비치아'라고 부르는데요,
정면에서 봤을 때 앞니가 대칭적인 V자 모양을 그리며
뒤집혀진 모습입니다.
![[2D교정] 나비치아교정을 2D교정 장치로 빠르게 완성하기! by.2D치과(투디치과) 관련 이미지 6](https://pub-9f2bb3498faf4d1d8714b41df24753e3.r2.dev/content/clinics/archive/grb36g4zmx/naver_blog/dental2d/assets/by_hash/56f691fa683e2aa37bea27d25e750b45a104ca056a8911f669431c157cdf61ab.jpg)
[2D교정] 나비치아교정을 2D교정 장치로 빠르게 완성하기! by.2D치과(투디치과)
이렇게 치아의 안쪽 면을 보시면
앞니가 나비의 날개처럼 꺾여진 모습을
확인하실 수 있습니다.
"나비치아 교정(After)"
나비치아 2D교정(설측교정) 후
2D치과(투디치과)
<Before> <After>
![[2D교정] 나비치아교정을 2D교정 장치로 빠르게 완성하기! by.2D치과(투디치과) 관련 이미지 7](https://pub-9f2bb3498faf4d1d8714b41df24753e3.r2.dev/content/clinics/archive/grb36g4zmx/naver_blog/dental2d/assets/by_hash/829aa6569e1cd8364a49b748548ed334bcfcb57271d807ff05f65f362525f306.jpg)
![[2D교정] 나비치아교정을 2D교정 장치로 빠르게 완성하기! by.2D치과(투디치과) 관련 이미지 8](https://pub-9f2bb3498faf4d1d8714b41df24753e3.r2.dev/content/clinics/archive/grb36g4zmx/naver_blog/dental2d/assets/by_hash/d5f2a15e2a9d8c35698b9d07c23d7e5c1871f40aec719006a3bbaab021bb0da4.jpg)
[2D교정] 나비치아교정을 2D교정 장치로 빠르게 완성하기! by.2D치과(투디치과)
나비치아 교정 전 앞니의 돌출로 인해 입술이
튀어나와 보이던 모습에서 나비치아 교정 후
튀어나왔던 앞니가 고르게 바뀌고
입술의 돌출감이 사라진 모습입니다.
<Before> <After>
![[2D교정] 나비치아교정을 2D교정 장치로 빠르게 완성하기! by.2D치과(투디치과) 관련 이미지 9](https://pub-9f2bb3498faf4d1d8714b41df24753e3.r2.dev/content/clinics/archive/grb36g4zmx/naver_blog/dental2d/assets/by_hash/9e5fdae17b00ea2f7c637b57ef5bf475bb44ed7d5897d86cfea143706ca501e7.jpg)
![[2D교정] 나비치아교정을 2D교정 장치로 빠르게 완성하기! by.2D치과(투디치과) 관련 이미지 10](https://pub-9f2bb3498faf4d1d8714b41df24753e3.r2.dev/content/clinics/archive/grb36g4zmx/naver_blog/dental2d/assets/by_hash/7ddc434c46fe1769858e6109bf92794ed7c44e36315ac60cae2593abd0f98374.jpg)
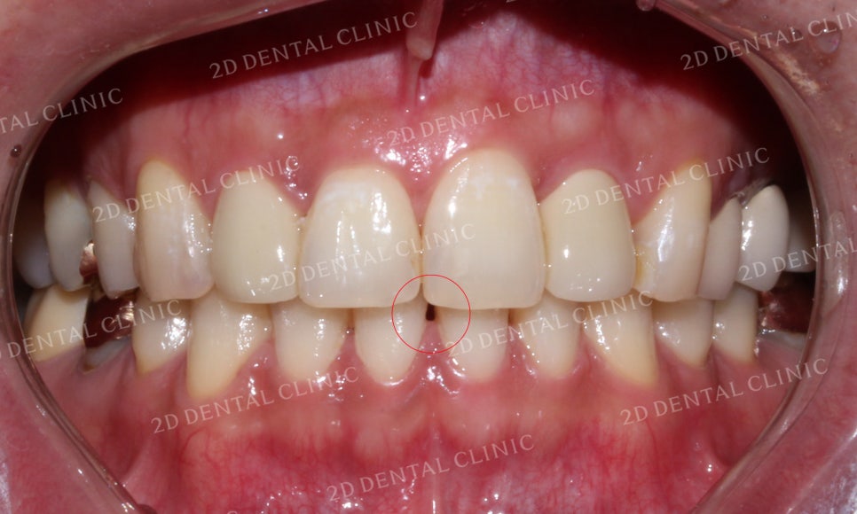
[2D교정] 나비치아교정을 2D교정 장치로 빠르게 완성하기! by.2D치과(투디치과)
나비치아 교정 전 윗니와 아랫니의 치열이 삐뚤고
정중선이 맞지 않았던 모습에서
나비치아 교정 후 치아와 안모의 중심이
바르게 잡힌 모습으로 바뀌었습니다!
미세한 치간이개(블랙트라이앵글)가 발생할 수 있습니다.
<Before> <After>
![[2D교정] 나비치아교정을 2D교정 장치로 빠르게 완성하기! by.2D치과(투디치과) 관련 이미지 11](https://pub-9f2bb3498faf4d1d8714b41df24753e3.r2.dev/content/clinics/archive/grb36g4zmx/naver_blog/dental2d/assets/by_hash/104f6082d24b37061b4c8087c2adcb835eaaf57b2cd7e31a17477538edfd0896.jpg)
![[2D교정] 나비치아교정을 2D교정 장치로 빠르게 완성하기! by.2D치과(투디치과) 관련 이미지 12](https://pub-9f2bb3498faf4d1d8714b41df24753e3.r2.dev/content/clinics/archive/grb36g4zmx/naver_blog/dental2d/assets/by_hash/ac73aa1b18df9f6481c5393fafd55b89e166cb1af8f7c8f00d78c1a7a3af806a.jpg)
[2D교정] 나비치아교정을 2D교정 장치로 빠르게 완성하기! by.2D치과(투디치과)
치아의 삐뚤어짐이 심했던 옆모습을 보시면
나비치아 교정 전 앞니가 껶여있던 모습에서
나비치아 교정 후 앞니의 배열이 고르게 바뀌었네요!
<Before> <After>
![[2D교정] 나비치아교정을 2D교정 장치로 빠르게 완성하기! by.2D치과(투디치과) 관련 이미지 13](https://pub-9f2bb3498faf4d1d8714b41df24753e3.r2.dev/content/clinics/archive/grb36g4zmx/naver_blog/dental2d/assets/by_hash/a3a27334bbf0e40c48d0f79f50c9c314e92873e20e573c5a5f7d6674af457f16.jpg)
![[2D교정] 나비치아교정을 2D교정 장치로 빠르게 완성하기! by.2D치과(투디치과) 관련 이미지 14](https://pub-9f2bb3498faf4d1d8714b41df24753e3.r2.dev/content/clinics/archive/grb36g4zmx/naver_blog/dental2d/assets/by_hash/3eac081863c182b30f118f63191d61f55cabe0b3aacfab4f3c5050532823553a.jpg)
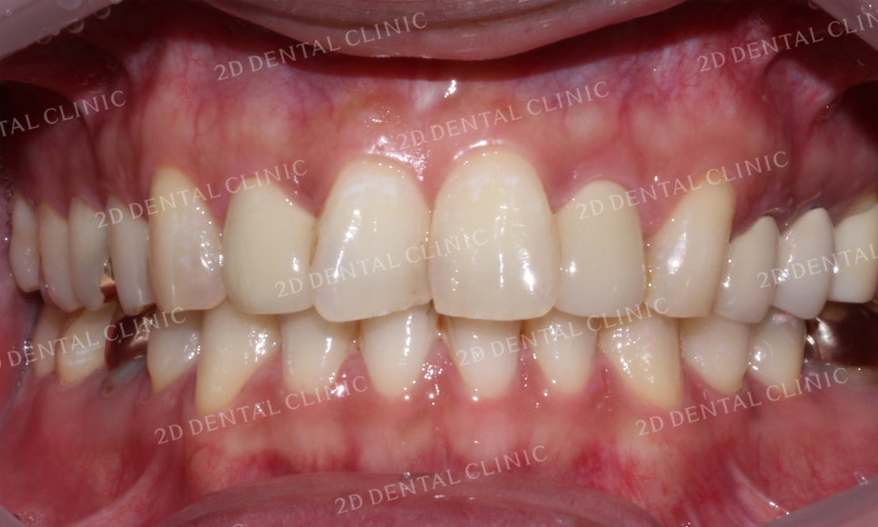
[2D교정] 나비치아교정을 2D교정 장치로 빠르게 완성하기! by.2D치과(투디치과)
전체적인 치열을 보시면
나비치아 교정 전 돌출이 심하고 윗니와 아랫니 모두
치열이 삐뚤삐뚤했다면 나비치아 교정 후 윗니와 아랫니 모두
깔끔하게 교정이 끝난 모습입니다!
*아랫니에 미세하게 블랙트라이앵글이 발생한 모습입니다.
치간이개의 가능성이 있는 경우 교정 전 환자분께
고지하고 있습니다. 이를 유의하시고 포스팅을 읽어주시기 바랍니다.
<Before> <After>
![[2D교정] 나비치아교정을 2D교정 장치로 빠르게 완성하기! by.2D치과(투디치과) 관련 이미지 15](https://pub-9f2bb3498faf4d1d8714b41df24753e3.r2.dev/content/clinics/archive/grb36g4zmx/naver_blog/dental2d/assets/by_hash/ba49b9531cfddaa41f712efeb2384188ae797e0ce69037a53067bc2436a3c952.jpg)
![[2D교정] 나비치아교정을 2D교정 장치로 빠르게 완성하기! by.2D치과(투디치과) 관련 이미지 16](https://pub-9f2bb3498faf4d1d8714b41df24753e3.r2.dev/content/clinics/archive/grb36g4zmx/naver_blog/dental2d/assets/by_hash/f811ccef64e28fb303d5d27489cfb6e3c0e3386d660a0f935f4146323adb296d.jpg)
[2D교정] 나비치아교정을 2D교정 장치로 빠르게 완성하기! by.2D치과(투디치과)
V자로 심하게 틀어져 있던
앞니의 치아 안쪽 면 모습입니다.
나비치아 교정 전 치아가 입술 방향으로
많이 틀어져 있던 모습에서
나비치아 교정 후 가지런한 치열로 정리된 모습이네요!
이번 환자분께서는
나비치아 증상을 교정하기 위해
약 9개월의 기간이 소요되었으며
교정기간 중 심미성을 고려하여
2D교정(설측교정)으로 진행하였습니다.
설측교정의 경우 순측교정보다
비교적 약한 교정력이 주어지기 때문에
교정기간이 길어질 수 있습니다.
따라서 2D치과(투디치과)는 환자분께 최적의 교정법과
교정장치를 선택하여 성공적인 교정 효과를
얻을 수 있도록 교정 전문의가 쳬계적으로
계획을 수립하고 있습니다.
-2D치과(투디치과)는 일요일에도 교정합니다-
![[2D교정] 나비치아교정을 2D교정 장치로 빠르게 완성하기! by.2D치과(투디치과) 관련 이미지 17](https://pub-9f2bb3498faf4d1d8714b41df24753e3.r2.dev/content/clinics/archive/grb36g4zmx/naver_blog/dental2d/assets/by_hash/18e0ef0476fba8da1f6ac62e5b177499afbfbcf2fc404c52cf5d7376a2ec523a.jpg)