아카이브 요약
이 페이지의 역할
2D치과의원의 네이버 블로그 원문을 보존한 아카이브 페이지입니다. 치아교정 카테고리의 강남역 치과에서 앞니부분 설측 2D(투디)교정으로 토끼앞니 탈출한 후기 글을 통해 병원의 한국어 정보 제공 방식과 진료 관련 안내 톤을 확인할 수 있습니다.
원문 검증
필요하면 원문 블로그와 병원 프로필로 바로 이동해 문맥을 다시 확인할 수 있습니다.
출처 아카이브 열기아카이브된 블로그 글
치과의원 · ✅ 앞니에 대한 장인정신. Since 2016. 2D치과 ✅
안녕하세요~ 2D치과 우디입니다 : ) 오늘 소개해드릴 교정이야기는 '토끼앞니' 2D교정 후기입니다! 토끼앞니는 미소를 지었을 때 앞니가 토끼처럼 톡 튀어나와 있는 치열을 말하는데요, 치아의 돌출감이 느껴지는 치열이기 때문에 옆모습이 예쁘지 않거나 입이 튀어나와 보이는 증상이 나타날 수 있습니다....
게시일
2020년 7월 10일
원문 기준으로 확인된 발행일입니다.
카테고리
치아교정
원문 블로그 카테고리를 정리해 함께 표시합니다.
이미지 수
20
현재 아카이브에 연결된 이미지 수입니다.
아카이브 요약
2D치과의원의 네이버 블로그 원문을 보존한 아카이브 페이지입니다. 치아교정 카테고리의 강남역 치과에서 앞니부분 설측 2D(투디)교정으로 토끼앞니 탈출한 후기 글을 통해 병원의 한국어 정보 제공 방식과 진료 관련 안내 톤을 확인할 수 있습니다.
원문 검증
필요하면 원문 블로그와 병원 프로필로 바로 이동해 문맥을 다시 확인할 수 있습니다.
출처 아카이브 열기
안녕하세요~
2D치과 우디입니다 : )
오늘 소개해드릴 교정이야기는
'토끼앞니'
2D교정 후기입니다!
토끼앞니는 미소를 지었을 때
앞니가 토끼처럼 톡 튀어나와 있는
치열을 말하는데요,
치아의 돌출감이 느껴지는 치열이기 때문에
옆모습이 예쁘지 않거나 입이 튀어나와 보이는
증상이 나타날 수 있습니다.
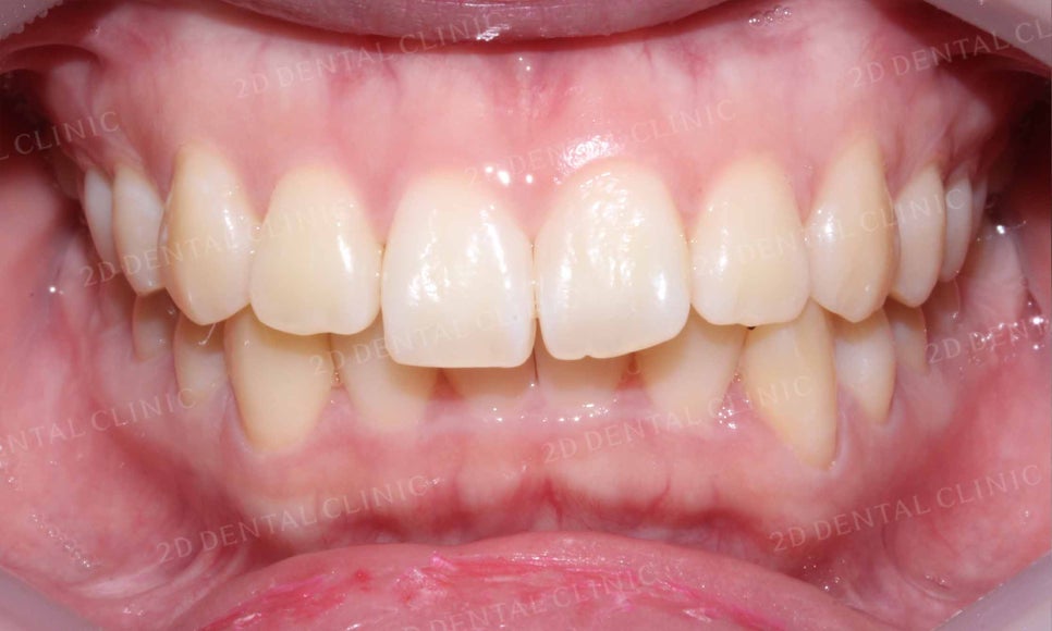
"토끼앞니 교정(Before)"
토끼앞니 2D교정 전
2D치과(투디치과)

토끼앞니 교정 전 입술의 모습을 보시면
앞니가 입술 방향으로 뻐드러져 있기 때문에
입술이 튀어나온 듯한 느낌이 듭니다.

미소를 지었을 때 보이는 앞니의 모습도
토끼처럼 앞니 2개가 눈에 띄는 모습인데요,
윗니와 아랫니의 중심도 잘 맞지 않아
앞니가 옆으로 삐뚤어진 모습입니다.

옆에서 바라 본 앞니 역시
유난히 돌출감이 많이 느껴지고
밖으로 뻐드러진 모습이네요.

전체적인 치열을 봤을 때
아랫니보다 윗니의 돌출감이 심하고
앞니가 입술 쪽으로 뻐드러진 모양인데요,
상악과 하악의 크기 또한 불균형한 모습으로
윗니에 의해 아랫니가 과도하게 많이 덮이는
'과개교합' 증상도 나타나는 모습입니다.

윗니의 치열을 보시면 앞니가
주변 치아들보다 바깥으로 뻗어져 있고
틀어짐도 심한 모습인데요,
흔히 토끼앞니 증상이 있으신 환자분들께서
앞니가 유난히 크다는 말씀을 하십니다.
그러나 이러한 치아의 크기차이는 치열이
흐트러짐으로 인해 발생하는 착시효과로
교정 후 정상적인 치열로 바뀌면
치아의 크기가 일정하게 보이게 됩니다.

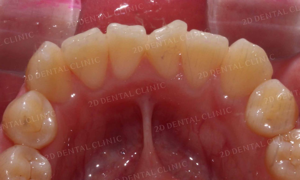
아랫니의 안쪽 면을 보시면
윗니보다 치열의 틀어짐이 심하고
삐뚤삐뚤한 모습인데요,
치아의 겉면이 아닌 안쪽면에
교정장치를 부착하는 2D교정을 통해
치아의 틀어짐(총생)을 바로잡는 계획을 세웠습니다.
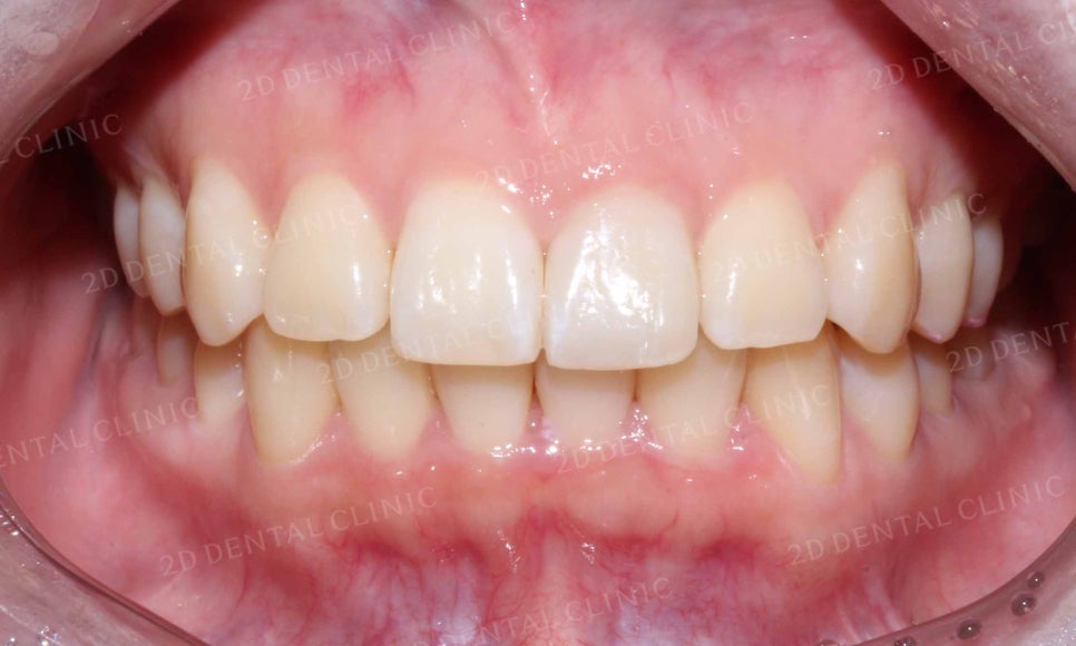
"토끼앞니 교정(After)"
토끼앞니 2D교정 전
2D치과(투디치과)
<Before> <After>


토끼앞니 교정 전 입술의 모습을 보시면
앞니의 돌출로 인해 입술이 튀어나와 보이는 모습인데요,
토끼앞니 교정 후 앞니의 돌출감이 완화되면서
입술의 돌출도 크게 사라진 모습입니다!
<Before> <After>


미소를 지었을 때 보이던 토끼앞니 역시
치열을 바로잡는 과정을 거치면서
돌출감이 완화되고, 윗니와 아랫니의
중심이 맞지 않았던 증상 역시 치아의 중심이
일직선으로 잘 맞춰진 모습이네요!
<Before> <After>


앞니가 유난히 크게 보여졌던 옆모습 역시
교정 후 치열이 가지런해지면서
치아의 크기도 일정하게 맞춰진 모습입니다.
<Before> <After>


전체적인 치열을 보시면 토끼앞니 교정 전
윗니에 의해 아랫니가 과도하게 많이 덮이고
상악과 하악의 크기도 부조화스러운 모습이었는데요,
교정 후 '과개교합' 증상이 사라지고
상하악의 크기도 조화롭게 바뀐 모습입니다.
<Before> <After>


앞니의 뻐드러짐이 잘 나타나던 윗니 또한
토끼 앞니 교정 후 틀어졌던 치열이 가지런하게 바뀌고
밖으로 뻗어있던 앞니도 정상적인 각도로 교정된 모습이네요~
<Before> <After>


삐뚤삐뚤한 치열이었던 아랫니 역시
토끼앞니 교정 후 치열의 총생이 사라지고
완만한 곡선의 형태로 교정된 모습입니다.
이번 환자분께서는
토끼앞니 증상을 교정하기 위해
약 7개월의 교정 기간이 소요되셨으며
교정기간 중 심미성을 고려하여
2D교정방식을 선택하셨습니다.
2D교정의 경우 교정장치가
겉으로 드러나지 않아 심미성이
우수하다는 장점이 있지만
일반적인 교정법보다 치아에 고정력이
비교적 약하게 주어지기 때문에
교정기간이 예상보다 오래 소요될 수 있습니다.
따라서 2D치과에서는 환자분들이
선호하시는 교정법에 맞는 최적의
교정 계획을 수립하여 안전하고
성공적인 교정 결과를 얻으실 수 있도록
진료하고 있습니다.
-2D치과(투디치과)는 일요일에도 교정합니다-

나만의 테마 마스터 위젯 미션에 연재중인 글입니다.