아카이브 요약
이 페이지의 역할
2D치과의원의 네이버 블로그 원문을 보존한 아카이브 페이지입니다. 치아교정 카테고리의 뻐드렁니 교정, 강남역치과에서 앞니 부분 교정한 후기! 글을 통해 병원의 한국어 정보 제공 방식과 진료 관련 안내 톤을 확인할 수 있습니다.
원문 검증
필요하면 원문 블로그와 병원 프로필로 바로 이동해 문맥을 다시 확인할 수 있습니다.
출처 아카이브 열기아카이브된 블로그 글
치과의원 · ✅ 앞니에 대한 장인정신. Since 2016. 2D치과 ✅
안녕하세요! 우디에요 (@´∀`@) 오늘은 강남역치과, 2D치과에서 뻐드렁니를 교정하신 환자분의 교정 후기 포스팅을 준비헸어요~ 오늘 환자분께서는 앞니의 뻐드렁니 증상을 교정하기 위해 '2D교정'을 선택하셨는데요! 2D교정은 2D치과가 자랑하는 심미+기능 2마리 토끼를 다 잡는 설측부분교정입니다^^ ...
게시일
2020년 7월 20일
원문 기준으로 확인된 발행일입니다.
카테고리
치아교정
원문 블로그 카테고리를 정리해 함께 표시합니다.
이미지 수
14
현재 아카이브에 연결된 이미지 수입니다.
아카이브 요약
2D치과의원의 네이버 블로그 원문을 보존한 아카이브 페이지입니다. 치아교정 카테고리의 뻐드렁니 교정, 강남역치과에서 앞니 부분 교정한 후기! 글을 통해 병원의 한국어 정보 제공 방식과 진료 관련 안내 톤을 확인할 수 있습니다.
원문 검증
필요하면 원문 블로그와 병원 프로필로 바로 이동해 문맥을 다시 확인할 수 있습니다.
출처 아카이브 열기
안녕하세요! 우디에요 (@´∀`@)
오늘은 강남역치과, 2D치과에서
뻐드렁니를 교정하신 환자분의
교정 후기 포스팅을 준비헸어요~
오늘 환자분께서는
앞니의 뻐드렁니 증상을
교정하기 위해 '2D교정'을
선택하셨는데요!
2D교정은 2D치과가 자랑하는
심미+기능 2마리 토끼를 다 잡는
설측부분교정입니다^^
2D교정은 일반적인 설측교정 장치보다
훨씬 작고 얇기 때문에 교정장치의 착용감,
혹은 발음 상의 문제를 걱정하시는 경우
추천드리는 교정 장치입니다~
'뻐드렁니 교정 전(Before)'
뻐드렁니 부분교정 전
2D치과(투디치과)

뻐드렁니 교정 전 입술을 보시면
앞니의 돌출감으로 인해 입술이
튀어나와 있는 모습인데요,

앞니가 입술 방향으로 뻐드러져 있어
아랫니가 윗니에 많이 가려져 있는 모습입니다.
(+과개교합 증상이 보이는 모습이에요)

아랫니의 경우에는 삐뚤삐뚤한 치열로 인해
치아 사이에 치석이 많이 끼어있고 지저분한 모습입니다ㅠ0ㅠ

이렇게 치아에 총생(삐뚤거림)이 있는 경우
가지런한 치열보다 치아를 깨끗하게 관리하기 어렵고
칫솔이 닿지 않는 부분에 치석이 쌓일 가능성이 높습니다!

앞니의 경우 뻐드러짐이 심해서
바깥 방향으로 치아들이 누워있는 모양인데요,

아랫니는 치열이 고르지 못하고
들쭉날쭉하게 배열되어 있어
이를 교정하기 위해 2D교정을 시작했습니다!
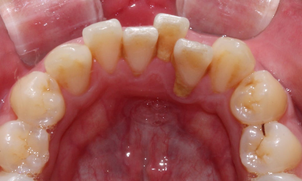
'뻐드렁니 교정 후(After)'
뻐드렁니 부분교정 후
2D치과(투디치과)

뻐드렁니 교정 후 입술의 모습을 보시면
교정 전과 달리 입술에서 돌출감이 사라진 모습인데요,
아무래도 앞니가 둘어가다 보니 입술도 튀어나온 부분 없이
바르게 자리잡힌 모습입니다.

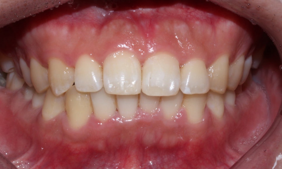
미소를 지었을 때 보이는 앞니 역시
뻐드렁니 교정 후 돌출된 부분 없이
깔끔하게 교정된 모습입니다~

뻐드러짐이 가장 잘 보였던 측면의 사진 역시
교정 후 돌출감이 많이 완화된 모습입니다!
(+치아 사이에 끼어있던 치석도 깨끗하게 제거되었어요)

윗니가 아랫니를 많이 덮고 있어
과개교합 증상이 보였던 치아교합 역시
뻐드렁니 교정 후 바르게 교정된 모습입니다!
(+부분교정의 경우 전체교정보다 치아의 이동량이
적기때문에 드라마틱한 변화가 없을 수 있습니다)

앞니가 입술 방향으로 뻐드러져 있었던
교정 전 윗니와 달리 교정 후
치열이 가지런해지고 돌출감도 사라진 모습이에요^^

총생으로 들쭉날쭉하게 배열되었던
아랫니 역시 교정 후 치열이 가지런하고
바르게 교정된 모습입니다!
부분 교정에 사용되고 있으며 환자분께서는
상하악 전치부만 2D교정을 진행하셨습니다!
이 점 유의하여 포스팅을 읽어주세요^^
"2D교정은 2D치과가 가장 잘하는 교정입니다"
일반적인 교정보다 교정방법이 정교하고
세밀하기 때문에 시술자의 숙련도와
임상 노하우에 따라 결과가 크게 달라지기도 합니다.
"아무나 시도할 수 있는 교정이 아닙니다"
따라서 꾸준한 연구와
교육을 통해 실력을 높이는 것이 중요한데요,
2D치과는 수 많은 2D교정 임상증례를 통해
2D교정을 가장 잘한다고 자신할 수 있습니다.
-2D치과(투디치과)는 일요일에도 교정합니다-

나만의 테마 마스터 위젯 미션에 연재중인 글입니다.