아카이브 요약
이 페이지의 역할
2D치과의원의 네이버 블로그 원문을 보존한 아카이브 페이지입니다. 치아교정 카테고리의 2D교정으로 아랫니 부분교정 빠르게 완성하기! 글을 통해 병원의 한국어 정보 제공 방식과 진료 관련 안내 톤을 확인할 수 있습니다.
원문 검증
필요하면 원문 블로그와 병원 프로필로 바로 이동해 문맥을 다시 확인할 수 있습니다.
출처 아카이브 열기아카이브된 블로그 글
치과의원 · ✅ 앞니에 대한 장인정신. Since 2016. 2D치과 ✅
안녕하세요 : ) 2D치과의 우디에용 오늘은 삐뚤거리는 아랫니를 깔-끔하게 부분교정하는 2D교정 후기를 준비했는데요! 아랫니는 윗니에 비해 대합치와의 간섭이 없기 때문에 비교적 수월하게 2D교정을 진행할 수 있습니다! 환자분의 아랫니 상태를 보시면 위처럼 앞쪽의 치아들이 심하게 삐뚤거리는 모습인데요, ...
게시일
2020년 8월 7일
원문 기준으로 확인된 발행일입니다.
카테고리
치아교정
원문 블로그 카테고리를 정리해 함께 표시합니다.
이미지 수
11
현재 아카이브에 연결된 이미지 수입니다.
아카이브 요약
2D치과의원의 네이버 블로그 원문을 보존한 아카이브 페이지입니다. 치아교정 카테고리의 2D교정으로 아랫니 부분교정 빠르게 완성하기! 글을 통해 병원의 한국어 정보 제공 방식과 진료 관련 안내 톤을 확인할 수 있습니다.
원문 검증
필요하면 원문 블로그와 병원 프로필로 바로 이동해 문맥을 다시 확인할 수 있습니다.
출처 아카이브 열기안녕하세요 : )
2D치과의 우디에용
오늘은 삐뚤거리는 아랫니를
깔-끔하게 부분교정하는
2D교정 후기를 준비했는데요!
아랫니는 윗니에 비해
대합치와의 간섭이 없기 때문에
비교적 수월하게 2D교정을
진행할 수 있습니다!

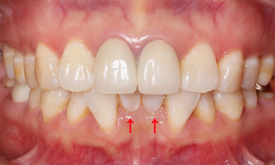
환자분의 아랫니 상태를 보시면
위처럼 앞쪽의 치아들이
심하게 삐뚤거리는 모습인데요,
치아 사이의공간이 좁아서
작은앞니(측절치)의 각도가
심하게 회전된 모습입니다ㅠㅠ

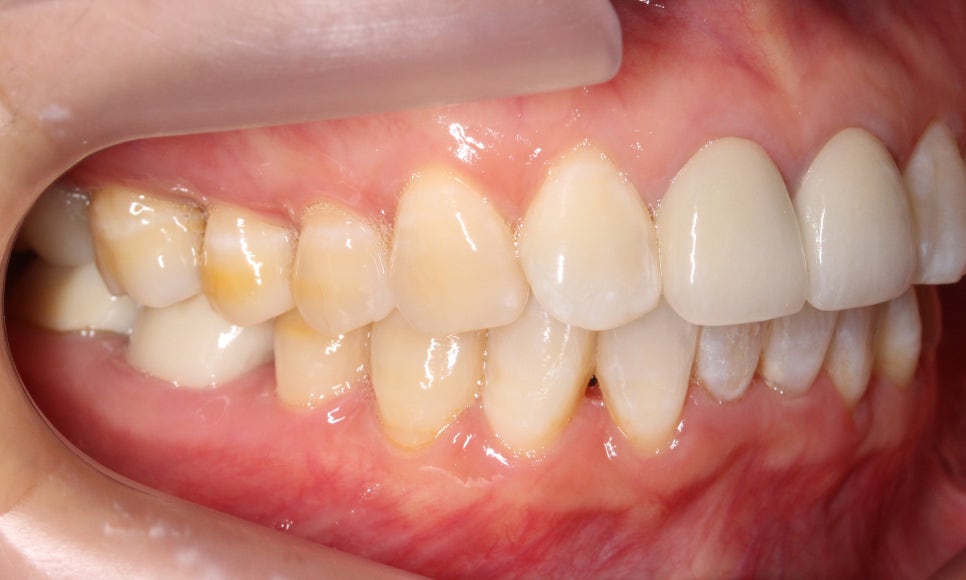
측면의 모습을 보면 아랫니의 앞쪽이
윗니의 뒷쪽으로 많이 들어가 있는 것을
확인할 수 있습니다!

반대쪽도 같은 모습인데요,
이렇게 아랫니가 윗니를 향해
깊숙히 물린다면 아랫니의 절단연에 의해
윗니의 잇몸이 상처를 입을 수 있습니다.

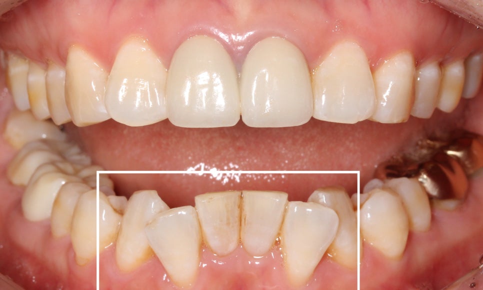
윗니는 아랫니에 비해
비교적 가지런한 모습이죠?
+앞니(중절치)가 약간 불투명하고
잇몸 부분이 까맣게 보이는 것은
보철치료를 진행하셨기 때문입니다!

아랫니의 총생(삐뚤어짐)이 심하신 상태셔서
교정 정밀진단을 통해 아랫니만
2D교정(설측교정)을 진행하기로 하셨는데요,
2D교정의 경우 브라켓의 크기가 매우 작고
얇기 때문에 교정 중 착용감이 다른 장치들에 비해
월등히 나은 편입니다!
또한 교정 기간도 다른 장치들과 비교하여
단기간에 마무리될 수 있기 때문에
심미적인 부분과 기능적인 부분 모두
만족할 수 있는 교정장치에요^^

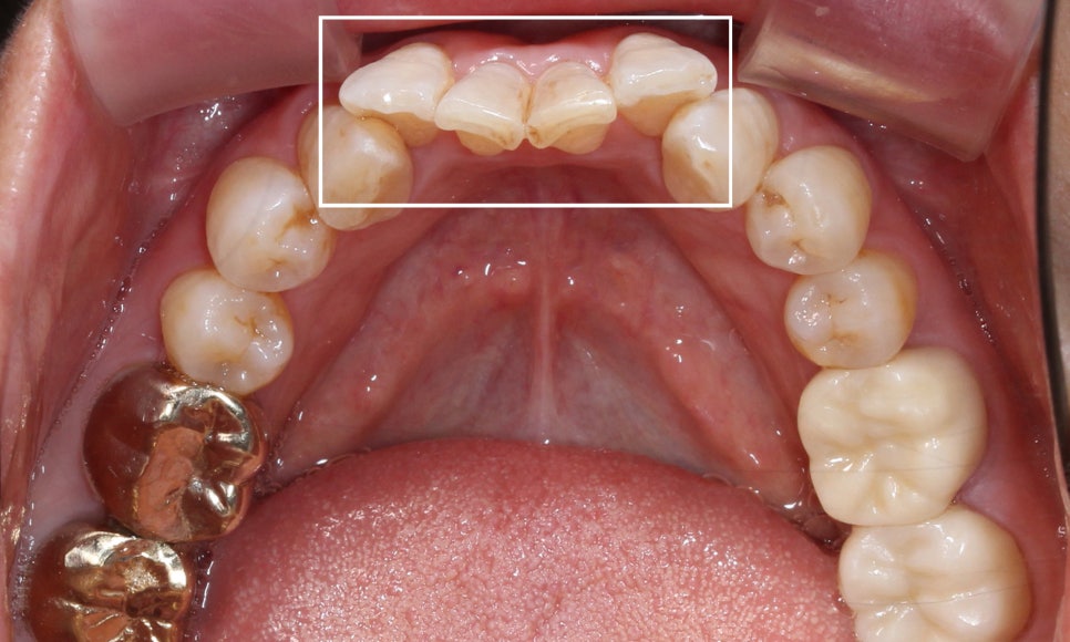
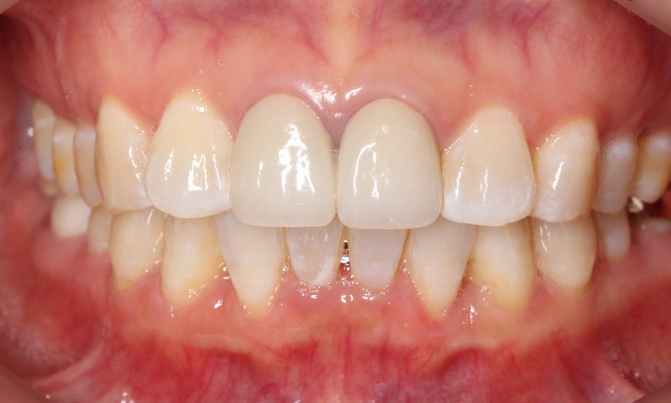
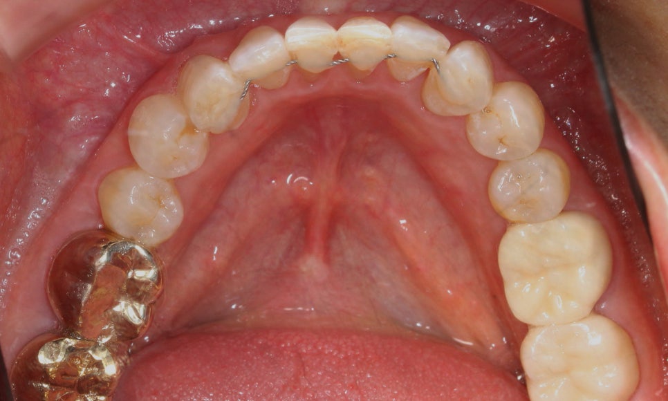
약 9개월의 아랫니 부분교정이 끝난 뒤
치아의 모습입니다~

삐뚤거리던 아랫니가 많이 정리된 모습이죠?
들쭉날쭉하던 아랫니의 전치부도
아랫니 부분교정(2D교정)으로
고르게 맞춰진 모습입니다!

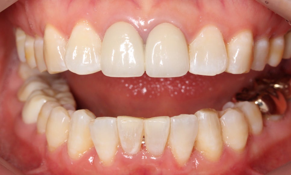
윗니에 가려져서 거의 보이지 않았던
아랫니도 아랫니 부분교정(2D교정)을 통해
정상적인 교합상태로 바뀐 모습입니다~

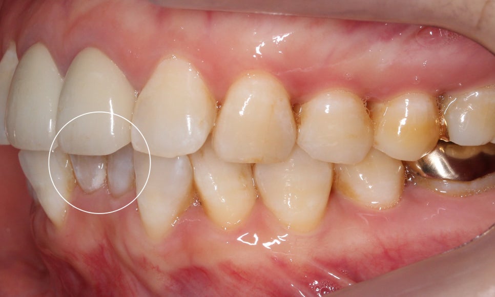
반대쪽 모습도 과하게 물리는 모습 없이
깔끔하게 교정되었어요 : )

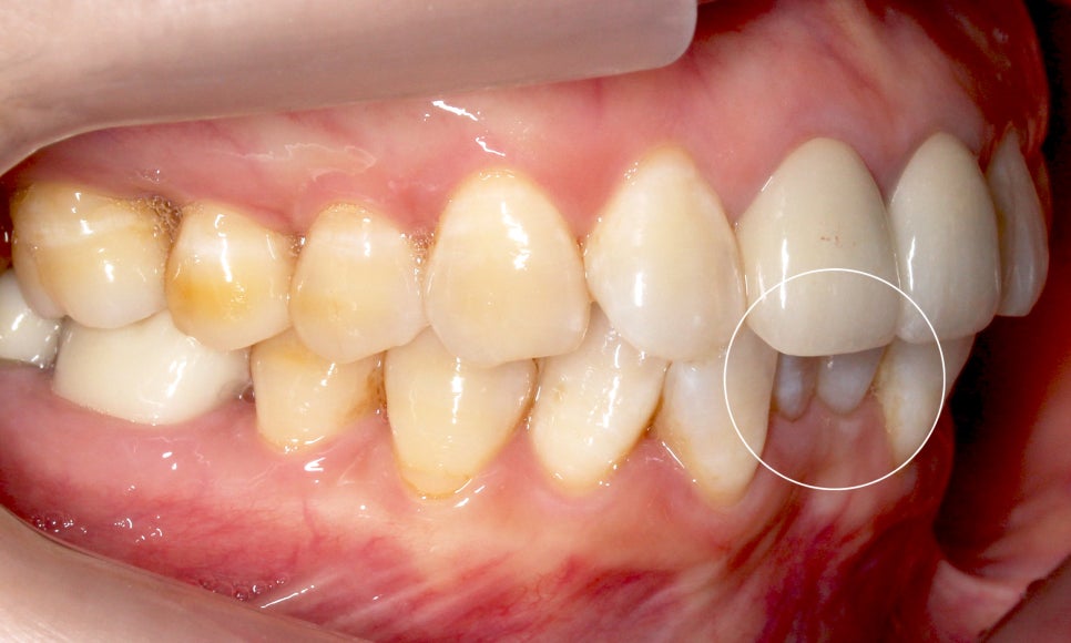
전체적인 아랫니의 치열도
심하게 삐뚤거렸던 처음 모습과 달리
아랫니 부분교정(2D교정)으로
이상적인 치아의 배열인 U-자 곡선의
형태로 바뀐 모습인데요!
2D교정은 아주 작고
얇은 브라켓이 사용되고 있어서
교정장치의 노출과
발음 상의 문제들로 인해
교정치료를 걱정하시는 경우
추천해드리고 있습니다^^
실제로 많은 승무원 분들과
서비스직에 종사하시는 환자분들,
그리고 아나운서 및 강사직을 하시는
환자분들도 2D교정을 선택하십니다~
"2D교정은 2D치과가 가장 잘하는 교정입니다"
일반적인 교정보다 교정방법이 정교하고
세밀하기 때문에 시술자의 숙련도와
임상 노하우에 따라 결과가 크게 달라지기도 합니다.
"아무나 시도할 수 있는 교정이 아닙니다"
따라서 꾸준한 연구와
교육을 통해 실력을 높이는 것이 중요한데요,
2D치과는 수 많은 2D교정 임상증례를 통해
2D교정을 가장 잘한다고 자신할 수 있습니다.
-2D치과(투디치과)는 일요일에도 교정합니다-

나만의 테마 마스터 위젯 미션에 연재중인 글입니다.