아카이브 요약
이 페이지의 역할
2D치과의원의 네이버 블로그 원문을 보존한 아카이브 페이지입니다. 치아교정 카테고리의 톱니모양 치아를 매끄러운 치아모양으로 개선하는 방법! (마멜론치아) 글을 통해 병원의 한국어 정보 제공 방식과 진료 관련 안내 톤을 확인할 수 있습니다.
원문 검증
필요하면 원문 블로그와 병원 프로필로 바로 이동해 문맥을 다시 확인할 수 있습니다.
출처 아카이브 열기아카이브된 블로그 글
치과의원 · ✅ 앞니에 대한 장인정신. Since 2016. 2D치과 ✅
안녕하세요! 2D치과 우디입니다^^ 오늘은 영구치가 자라나면서 발생하는 톱니모양의 치아를 교정으로 개선하는 방법에 대해 알아보려고 합니다~ 치아의 끝 모양이 톱니처럼 울퉁불퉁한 것을 마멜론이라고 하는데요, 이러한 마멜론은 영구치가 자라나오는 과정에서 잇몸 속의 3등분 된 치아구조가 하나로 합쳐지면서 발생...
게시일
2020년 8월 12일
원문 기준으로 확인된 발행일입니다.
카테고리
치아교정
원문 블로그 카테고리를 정리해 함께 표시합니다.
이미지 수
11
현재 아카이브에 연결된 이미지 수입니다.
아카이브 요약
2D치과의원의 네이버 블로그 원문을 보존한 아카이브 페이지입니다. 치아교정 카테고리의 톱니모양 치아를 매끄러운 치아모양으로 개선하는 방법! (마멜론치아) 글을 통해 병원의 한국어 정보 제공 방식과 진료 관련 안내 톤을 확인할 수 있습니다.
원문 검증
필요하면 원문 블로그와 병원 프로필로 바로 이동해 문맥을 다시 확인할 수 있습니다.
출처 아카이브 열기안녕하세요!
2D치과 우디입니다^^
오늘은 영구치가 자라나면서
발생하는 톱니모양의 치아를
교정으로 개선하는 방법에 대해
알아보려고 합니다~
치아의 끝 모양이 톱니처럼
울퉁불퉁한 것을
마멜론이라고 하는데요,
이러한 마멜론은
영구치가 자라나오는 과정에서
잇몸 속의 3등분 된 치아구조가
하나로 합쳐지면서
발생하게 됩니다!

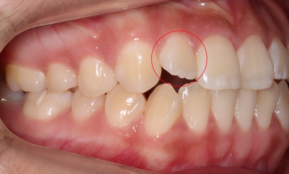
이렇게 환자분의 작은앞니(측절치)처럼
치아 끝이 울퉁불퉁하게 남아 있는 모습을
확인할 수 있는데요,
일반적인 경우 마멜론(톱니치아)은
시간이 지나면서 치아 끝이 마모되어
사라지게 됩니다.
그러나 환자분처럼 치아의
교합 상태가 좋지 않거나
왜소치로 인해 치아 끝이
마모되지 않는 경우
성인이 된 이후에도
마멜론이 남아있기도 합니다!

작은앞니(측절치)의 길이가
짧아 아랫니에 닿지 않는 모습입니다.
환자분의 Case는 왜소치로 인한
마멜론으로 볼 수 있겠죠?

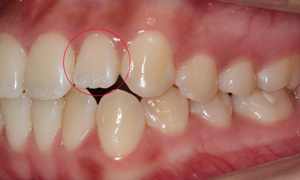
반대쪽 측절치 역시
길이가 짧아서 치아 끝이
거의 마모되지 않은 모습입니다~

윗니의 안쪽 면을 보면
작은 앞니(측절치)의 크기가
주변 치아보다 확실히 작은 모습인데요,

아랫니를 보시면
왜소치가 아님에도 치아 끝이
톱니처럼 울퉁불퉁한 것을 확인할 수 있습니다!
이렇게 왜소치가 원인이 아닌 경우
부정교합으로 인해 치아 끝이 맞물리지 않아
마멜론이 남아있을 수 있을 수 있습니다.
부정교합에 의한 마멜론은
교정치료를 통해 교합 상태를
정상적으로 바꿔주면 자연스럽게
해소될 수 있는데요,

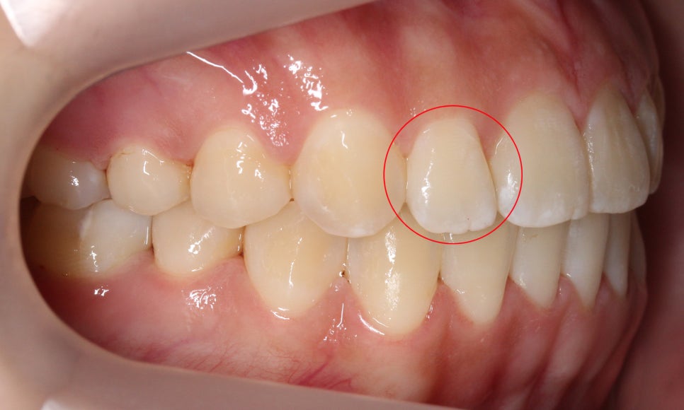
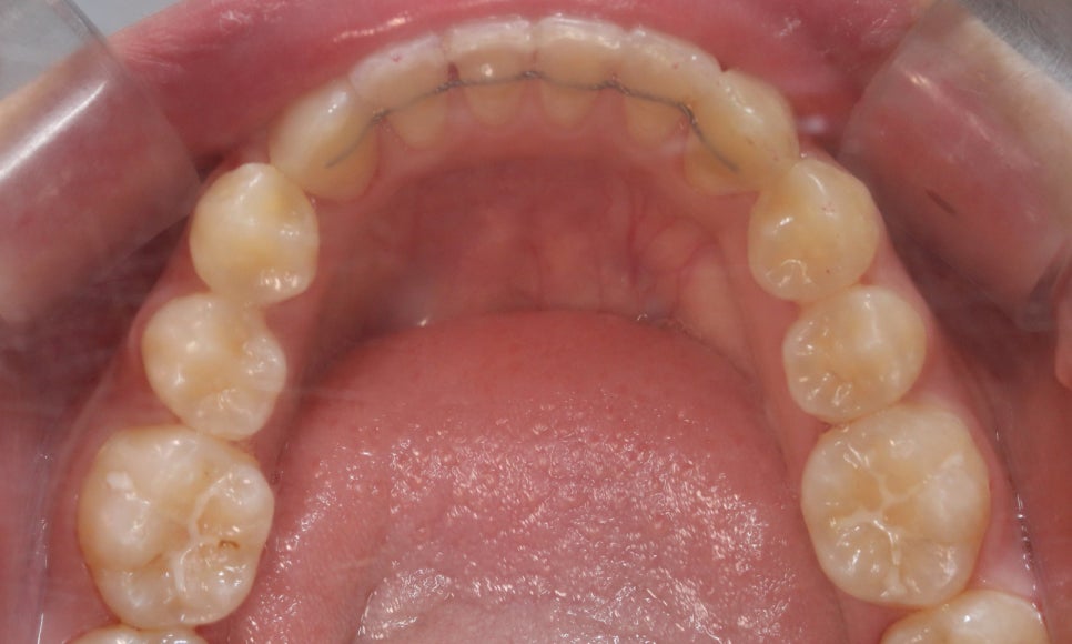
환자분께서도 교정이 끝난 뒤
치아의 끝 모양이 많이 매끄러워진 것을
확인할 수 있습니다~

앞쪽으로 뻐드러져 있던
작은앞니(측절치)도 교정이
마무리 되고 가지런해지면서
톱니같던 끝 모양이
매끈해진 모습인데요!

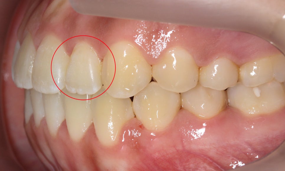
반대쪽 치아의 경우 아직
마모가 많이 진행되지 않아
마멜론이 미세하게 남아있는 모습입니다.

환자분께서는 발치과정 없이
비발치로 교정을 진행하셨는데요,
비발치로 교정할 경우 치아의 이동량이
크기 않아 드라마틱한 변화가
없을 수 있습니다.
또한 치아의 위치를 크게 움직일 수 없기 때문에
교정치료에 소요되는 시간도 발치교정보다
오래걸릴 수 있습니다.
이 점 유의하시어 교정치료 시
참고하시기 바랍니다.

삐뚤거리던 아랫니 역시
비발치 교정이 끝나고
가지런해진 모습인데요,
이번 환자분께서는
비발치 클리피씨 교정으로
약 19개월의 교정기간이 소요되셨습니다!
-2D치과는 일요일에도 진료합니다-
갑작스럽게 발생한 응급상황에 대비하여
언제든지 내원하실 수 있도록 주말진료와
주간 야간진료를 운영하고 있습니다.

나만의 테마 마스터 위젯 미션에 연재중인 글입니다.