아카이브 요약
이 페이지의 역할
2D치과의원의 네이버 블로그 원문을 보존한 아카이브 페이지입니다. 치아교정 카테고리의 토끼앞니교정, PFM크라운 재보철을 동시에 치료하는 방법? 글을 통해 병원의 한국어 정보 제공 방식과 진료 관련 안내 톤을 확인할 수 있습니다.
원문 검증
필요하면 원문 블로그와 병원 프로필로 바로 이동해 문맥을 다시 확인할 수 있습니다.
출처 아카이브 열기아카이브된 블로그 글
치과의원 · ✅ 앞니에 대한 장인정신. Since 2016. 2D치과 ✅
안녕하세요^^ 2D치과 김현모 원장입니다. 오늘 이야기 할 주제는 "토끼앞니 교정"과 "PFM크라운 재보철"을 동시에 진행하는 방법에 대해 준비했는데요, 보철치료와 교정을 동시에 하시는 경우 치아교정에 영향을 주지 않고 치아를 수복하는 방식을 아래의 토끼앞니 교정 Case를 통해 알이보겠습니다. 토끼앞니...
게시일
2020년 10월 4일
원문 기준으로 확인된 발행일입니다.
카테고리
치아교정
원문 블로그 카테고리를 정리해 함께 표시합니다.
이미지 수
15
현재 아카이브에 연결된 이미지 수입니다.
아카이브 요약
2D치과의원의 네이버 블로그 원문을 보존한 아카이브 페이지입니다. 치아교정 카테고리의 토끼앞니교정, PFM크라운 재보철을 동시에 치료하는 방법? 글을 통해 병원의 한국어 정보 제공 방식과 진료 관련 안내 톤을 확인할 수 있습니다.
원문 검증
필요하면 원문 블로그와 병원 프로필로 바로 이동해 문맥을 다시 확인할 수 있습니다.
출처 아카이브 열기안녕하세요^^
2D치과 김현모 원장입니다.
오늘 이야기 할 주제는
"토끼앞니 교정"과
"PFM크라운 재보철"을
동시에 진행하는 방법에 대해
준비했는데요,
보철치료와 교정을 동시에 하시는 경우
치아교정에 영향을 주지 않고
치아를 수복하는 방식을 아래의
토끼앞니 교정 Case를 통해
알이보겠습니다.
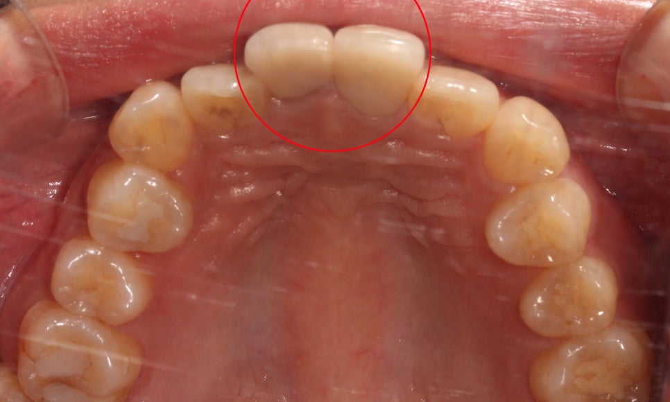
토끼앞니, PFM크라운 재보철

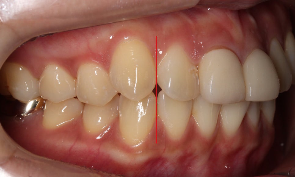
위의 토끼앞니 case는
상악 중절치에 PFM크라운
치료를 진행한 모습으로
정면에서 봤을 때 중절치의
돌출감이 있고 전체적인 치열이
삐뚤삐뚤한 모습입니다.

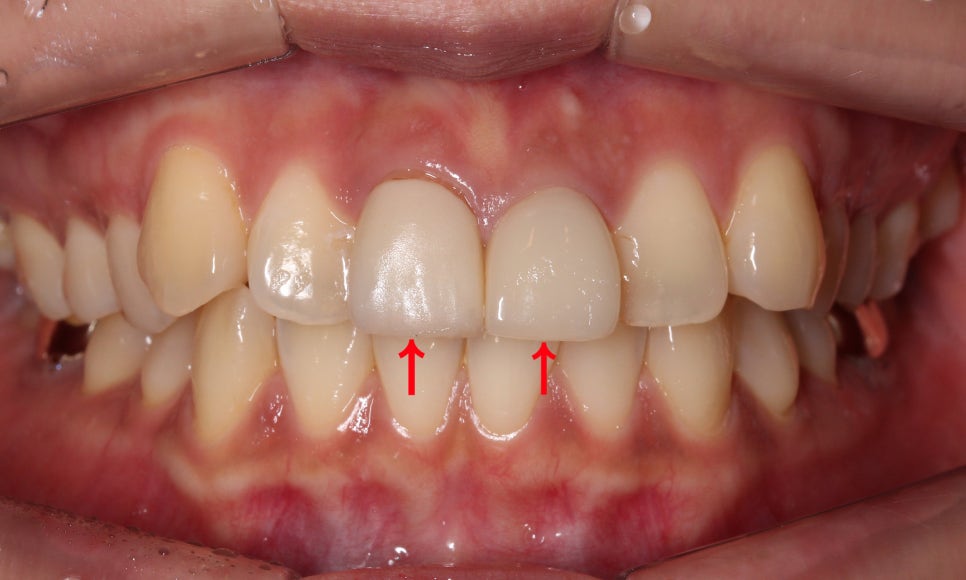
상악의 절단연을 보시면
중절치가 뻐드러지듯
돌출되어 있는 모습인데요,
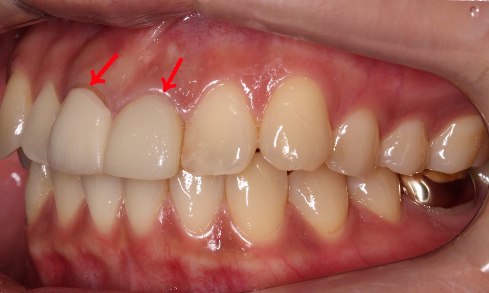
측절치의 경우 중절치 옆으로
삐뚤게 맹출되어 있어
전치부의 심미성을 해치는 모습입니다.

전치부의 측면 사진을 보시면
중절치의 토끼앞니 증상을
더 명확하게 확인할 수 있는데요,
특히 중절치와 잇몸 사이의 경계가
PFM크라운 치료 후 패여있는 느낌이 있어
크라운 보철의 재수복이 필요한 모습입니다.

어금니 교합의 경우
치열의 삐뚤어짐으로 인해
상하악 어금니가 같은 위치로
맞닿아 물리는 모습인데요,
정상적인 치아교합의 경우
어금니가 톱니바퀴처럼
맞물리는 모습을 보이게 됩니다.

반대쪽 구치부 교합의 경우
비교적 양호한 교합 상태임을
확인할 수 있는데요,
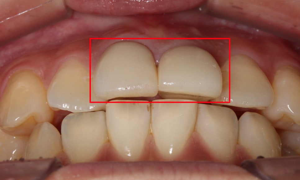
전치부의 보철치료 후
치아착색으로 인해 자연치와
PFM크라운 사이의 경계가
명확하게 나누어져 보이는 모습입니다.

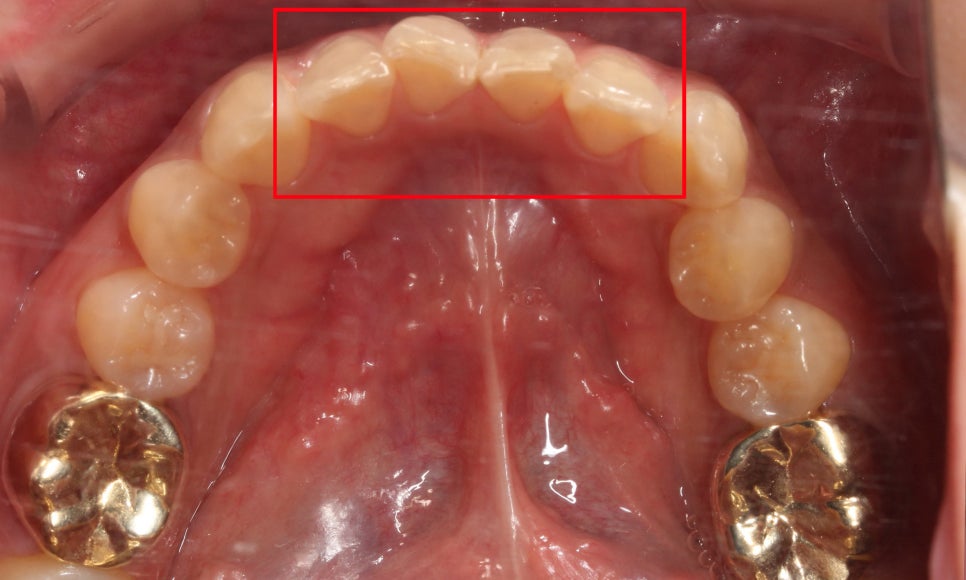
상악의 치아 배열을 보시면
중절치가 토끼앞니 증상으로
뻐드러져 있는 것을 볼 수 있는데요,
PFM크라운으로 수복된 앞니가
주변 자연치 부분과 어울리지 못하고
이질적인 느낌이 드는 모습입니다.

아랫니의 경우 전치부의 총생으로 인해
치아가 삐뚤어 보이는 모습인데요,
위의 토끼앞니 증상과 더불어
중절치의 PFM크라운의
재보철 치료를 진행하기 위해
비발치 클리피씨교정과
무삭제 라미네이트
세라필름을 상악 전치부에
부착하는 치료 과정을 진행하였습니다.
위와 같이 보철치료와 교정치료를
동시에 진행하는 경우
치조골과 잇몸라인에 맞춰
보철재를 제작하기 때문에
교정으로 치아가 이동하게 된다면
재보철 치료를 진행할 수 있습니다.
그러나 세라필름의 경우
자연치의 삭제 없이 그대로
치아 겉면에 세라믹 필름이
부착되는 방식이기 때문에
교정 후에도 문제 없이
보철 치료가 가능하다는 장점이 있습니다.
토끼앞니+재보철 Case 후기를
만나보실 분들은 '이웃추가' 후
다음 포스팅을 읽어주시기 바랍니다^^







토끼앞니+재보철 Case의 진료후기
사진을 확인하실 분은 이웃추가 후
다음 포스팅을 감상해 주시기 바랍니다~
2D치과의 세라필름은 모든 과정을
수작업으로 진행하고 있습니다.
따라서 첫 내원 후 약 14일 가량
작업시간이 소요됩니다.
이 점 유의하시기 바랍니다.
'최초'의 무삭제 라미네이트
'최고'의 무삭제 기술
2D치과의 세라필름(TheraFilm)은
자연치를 훼손하지 않습니다.
자연치 그대로 아름다워지세요.

나만의 테마 마스터 위젯 미션에 연재중인 글입니다.