아카이브 요약
이 페이지의 역할
2D치과의원의 네이버 블로그 원문을 보존한 아카이브 페이지입니다. 치아교정 카테고리의 앞니틀어짐 2D교정으로 한번에 끝내는 방법! 글을 통해 병원의 한국어 정보 제공 방식과 진료 관련 안내 톤을 확인할 수 있습니다.
원문 검증
필요하면 원문 블로그와 병원 프로필로 바로 이동해 문맥을 다시 확인할 수 있습니다.
출처 아카이브 열기아카이브된 블로그 글
치과의원 · Naver Blog
안녕하세요 '^' 2D치과 신혜인 원장입니다~ 블로그로 인사드리는건 처음인데요~ 오늘은 덧니처럼 보여서 문제인 "앞니틀어짐" Case에 대해 이야기 해보려고 합니다~ 앞니틀어짐은 덧니와 비슷하여 종종 덧니라고 여기시는 분들이 많은데요, 덧니는 치아와 치아 사이에 맹출될 자리를 확보하지 못하여 이탈된 위치...
게시일
2020년 10월 8일
원문 기준으로 확인된 발행일입니다.
카테고리
치아교정
원문 블로그 카테고리를 정리해 함께 표시합니다.
이미지 수
10
현재 아카이브에 연결된 이미지 수입니다.
아카이브 요약
2D치과의원의 네이버 블로그 원문을 보존한 아카이브 페이지입니다. 치아교정 카테고리의 앞니틀어짐 2D교정으로 한번에 끝내는 방법! 글을 통해 병원의 한국어 정보 제공 방식과 진료 관련 안내 톤을 확인할 수 있습니다.
원문 검증
필요하면 원문 블로그와 병원 프로필로 바로 이동해 문맥을 다시 확인할 수 있습니다.
출처 아카이브 열기안녕하세요 '^'
2D치과 신혜인 원장입니다~
블로그로 인사드리는건 처음인데요~
오늘은 덧니처럼 보여서 문제인
"앞니틀어짐"
Case에 대해 이야기 해보려고 합니다~
앞니틀어짐은 덧니와 비슷하여
종종 덧니라고 여기시는 분들이 많은데요,
덧니는 치아와 치아 사이에
맹출될 자리를 확보하지 못하여
이탈된 위치에 자라난 치아로
유치를 제 때 발치하지 않으셨던
환자분들에게서 주로 발견됩니다.
그러나 앞니틀어짐은 이러한 덧니와
양상이 조금 다른데요
겉으로 봤을 때 둘 다 정해진 위치에
가지런하게 나지 않았으니
앞니틀어짐을 덧니로
오인하는 경우가 많습니다.

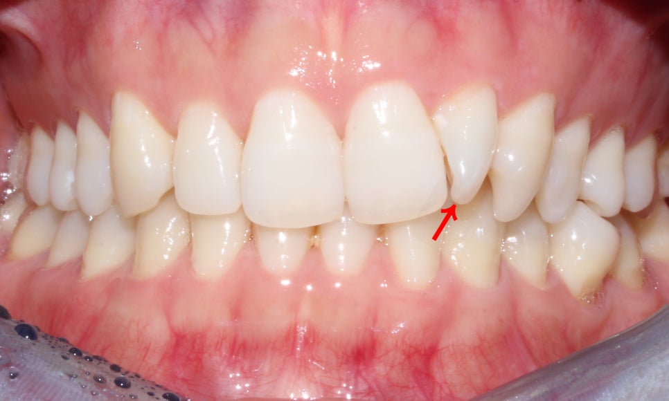
위의 Case는 상악 좌측 측절치가
회전된 Case로 앞니틀어짐 증상으로
판단할 수 있는데요,
제대로 보지 않았을 땐 치아가
삐뚤게 맹출되어 있으니 덧니라고
오해할 수 있습니다.
측절치가 맹출된 각도도 거의
90˚에 가까운 모습으로
정면에서 봤을 때 치아의 앞면이 아닌
측면이 보이는 상태입니다.

앞니틀어짐 증상이 있는 전치부의
측면 사진을 보시면 우측 사진에서
보이지 않아야 할 좌측의 측절치가
튀어나와 보이는 모습인데요,
치아의 각도가 틀어져 있고 뻐드러짐도 있어
스마일라인의 심미성을 떨어트리는 요인이 되고 있습니다.

입을 다물고 있을 때 보이는
입술의 모양과 균형을 보시면
측절치의 각도가 삐뚤어져 있고
입술 방향으로 뻐드러져 있기 때문에
이에 영향을 받은 입술의 모양도
좌우의 균형이 맞지 않는 모습입니다.

치아의 전체적인 배열을 보시면
상악 전치부의 Crowding(삐뚤거림)을
확인할 수 있는데요,
이러한 전치부의
Crowding은 구강 내 공간이 좁거나
치아가 올바로 배열되기에 충분한 공간을
확보하지 못했을 때 발생하게 됩니다.

설측면에서 치아의 배열을 확인해보면
측절치의 삐뚤어진 각도를 확인할 수 있는데요,
정상적인 치아의 각도와
거의 수직을 이루는 각도로
삐뚤어져 있기 때문에
이를 순측에서 봤을 때
덧니로 오인할 수 있습니다.
그러나 치아가 맹출된 잇몸 라인을 보시면
덧니 Case와 다르게 일정한 높이를
유지하고 있기 때문에 스마일라인의
덧니 증상이 의심되시는 경우
치아의 높이를 통해 덧니와
앞니틀어짐 증상을 구별할 수 있습니다.
위와 같은 앞니틀어짐 Case는
2D교정 장치를 통해 단기간 안에
교정이 가능한 증상인데요,
2D교정 장치의 경우 부착되는 브라켓의
크기가 매우 작고 얇기 때문에 교정기간 중
브라켓으로 인한 불편함이 일반 장치보다
덜하다는 것이 장점입니다.
또한 치아의 설측면(안쪽)에
부착되는 방식으로 교정장치가
노출되어 심미성을 떨어트릴 걱정이 없는데요,
그마저도 약 6개월 전후로 단기간에
교정이 마무리되기 때문에
빠른시간 내에 극적인 효과를
기대하시는 경우 적합한
교정 방법이 될 수 있습니다.
앞니틀어짐 Case 후기를
만나보실 분들은 '이웃추가' 후
다음 포스팅을 읽어주시기 바랍니다^^





앞니틀어짐 Case의 2D교정 후기
사진을 확인하실 분은 이웃추가 후
다음 포스팅을 감상해 주시기 바랍니다~
We shape Beauty
──────────────────────────
원칙을 지키는, 진심을 다하는, 진료철학
"2D DENTAL CLINIC"
나만의 테마 마스터 위젯 미션에 연재중인 글입니다.