아카이브 요약
이 페이지의 역할
2D치과의원의 네이버 블로그 원문을 보존한 아카이브 페이지입니다. 치아교정 카테고리의 송곳니덧니 교정하는 방법! 글을 통해 병원의 한국어 정보 제공 방식과 진료 관련 안내 톤을 확인할 수 있습니다.
원문 검증
필요하면 원문 블로그와 병원 프로필로 바로 이동해 문맥을 다시 확인할 수 있습니다.
출처 아카이브 열기아카이브된 블로그 글
치과의원 · Naver Blog
안녕하세요^^ 2D치과 정인성 원장입니다! 오늘 알아볼 교정 포스팅은 "송곳니덧니" 를 교정하는 방법을 준비했는데요, 송곳니가 덧니로 자라나서 스마일라인의 심미성을 떨어뜨리는 경우 어떠한 방식으로 교정을 진행하는지 Case 사진을 통해 알아보도록 하겠습니다. 위의 사진은 상악 송곳니가 덧니로 자라난 Ca...
게시일
2020년 10월 12일
원문 기준으로 확인된 발행일입니다.
카테고리
치아교정
원문 블로그 카테고리를 정리해 함께 표시합니다.
이미지 수
10
현재 아카이브에 연결된 이미지 수입니다.
아카이브 요약
2D치과의원의 네이버 블로그 원문을 보존한 아카이브 페이지입니다. 치아교정 카테고리의 송곳니덧니 교정하는 방법! 글을 통해 병원의 한국어 정보 제공 방식과 진료 관련 안내 톤을 확인할 수 있습니다.
원문 검증
필요하면 원문 블로그와 병원 프로필로 바로 이동해 문맥을 다시 확인할 수 있습니다.
출처 아카이브 열기안녕하세요^^
2D치과 정인성 원장입니다!
오늘 알아볼 교정 포스팅은
"송곳니덧니"
를 교정하는 방법을
준비했는데요,
송곳니가 덧니로 자라나서
스마일라인의 심미성을
떨어뜨리는 경우
어떠한 방식으로 교정을 진행하는지
Case 사진을 통해 알아보도록 하겠습니다.

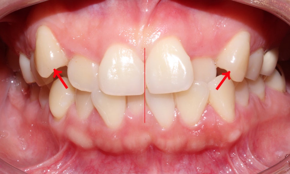
위의 사진은 상악 송곳니가
덧니로 자라난 Case로 덧니의
치아 높이를 보시면 주변 치열과 달리
확연하게 높은 위치로 벗어나 맹출된 것을
확인할 수 있습니다.
이러한 송곳니덧니의 경우 유치를
제 때 발치하지 못하여 발생하는 증상으로
치아가 제대로 배열될 수 있는 공간을
확보하지 못하여 치아를 밀어내며
자라나게 되는데요,

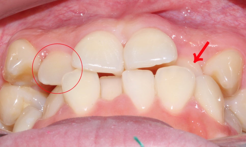
위처럼 송곳니덧니가 제대로 맹출될 자리가 부족하여
측절치를 중절치 뒤로 밀어낸 모습입니다.
이로 인해 상악과 하악의 치아 정중선도
삐뚤어져 보이는 모습인데요,
전치부의 치열이 전체적으로 삐뚤어진
상태이기 때문에 전체교정을 통해
치아를 바르게 배열하는 것이 좋습니다.

전치부의 측면 사진을 보시면
전치부 치아의 크라우딩으로 인해
안모가 약간 돌출되어 보이는 모습으로
전치부 치열을 가지런하게 교정한다면
이러한 돌출감이 크게 개선될 것으로 예상됩니다.

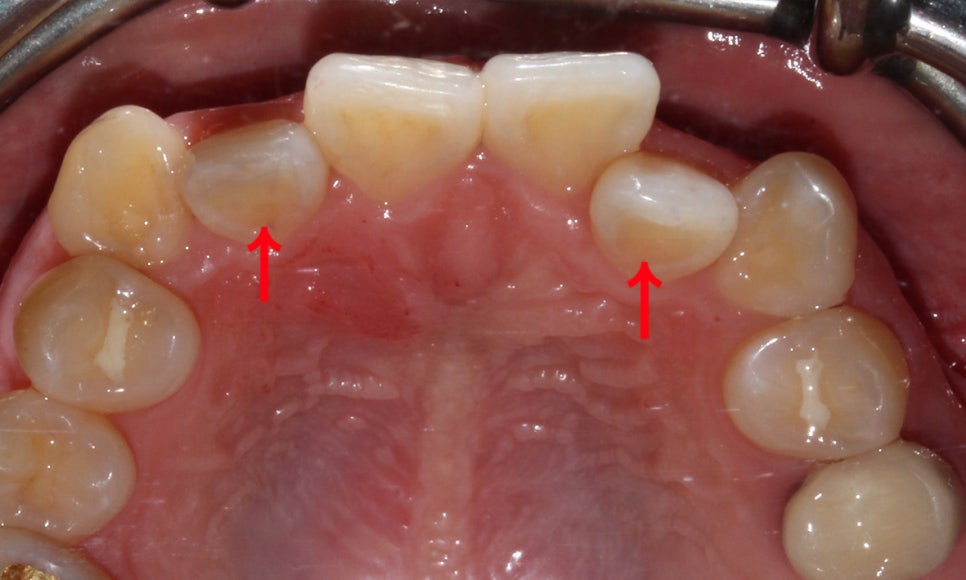
송곳니덧니 증상으로 인해 상악의
측절치가 크게 삐뚤어진 모습인데요,
측절치가 이상적인 안모의 형태를
갖추지 못하고 치아 안쪽으로 뻐드러진 모습입니다.

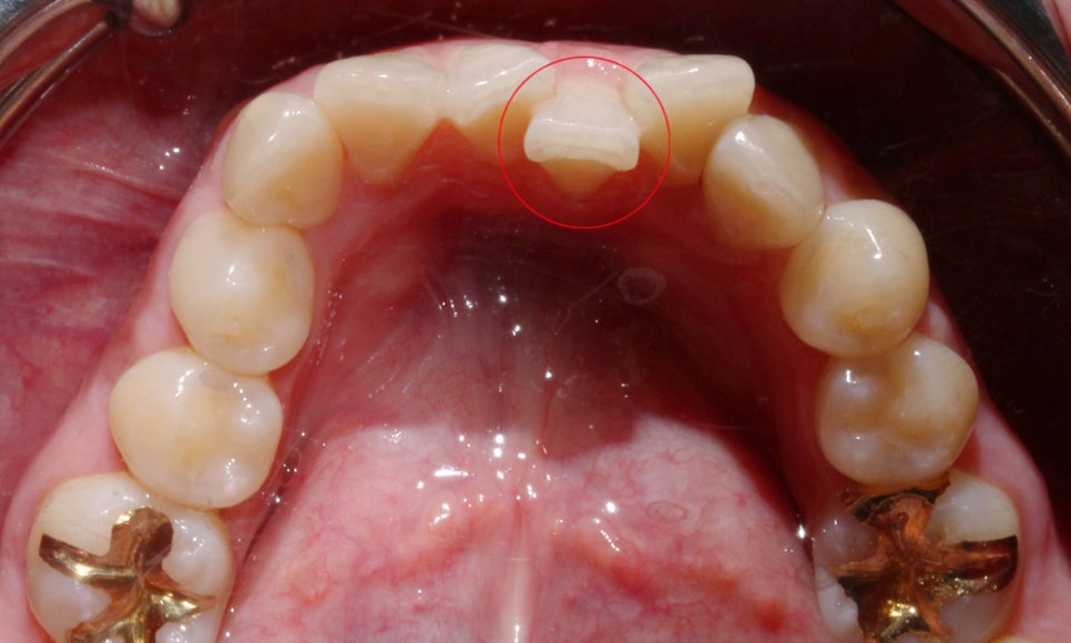
하악의 경우에도 전치부의 치열이
삐뚤삐뚤한 모습을 확인할 수 있는데요,
송곳니덧니 Case에서 전체적인 안모의 형태가
이상적인 안모의 모양인 U-라인을
그리지 못하는 모습으로 전체교정을 통해
치열을 바로잡고 삐뚤어진 안모의 모양을
바로잡는 교정 계획을 수립하였습니다.
송곳니덧니 Case 후기를
만나보실 분들은 '이웃추가' 후
다음 포스팅을 읽어주시기 바랍니다^^





송곳니덧니 Case의 클리피씨 교정 후기
사진을 확인하실 분은 이웃추가 후
다음 포스팅을 감상해 주시기 바랍니다~
We shape Beauty
──────────────────────────
원칙을 지키는, 진심을 다하는, 진료철학
"2D DENTAL CLINIC"
나만의 테마 마스터 위젯 미션에 연재중인 글입니다.