아카이브 요약
이 페이지의 역할
2D치과의원의 네이버 블로그 원문을 보존한 아카이브 페이지입니다. 치아교정 카테고리의 덧니교정 2D교정 (부분교정) 후기 글을 통해 병원의 한국어 정보 제공 방식과 진료 관련 안내 톤을 확인할 수 있습니다.
원문 검증
필요하면 원문 블로그와 병원 프로필로 바로 이동해 문맥을 다시 확인할 수 있습니다.
출처 아카이브 열기아카이브된 블로그 글
치과의원 · ✅ 앞니에 대한 장인정신. Since 2016. 2D치과 ✅
신논현역치과 2D치과 원장 정인성입니다~^^ 오랜만에 블로그로 인사드리는데요, 오늘 알아볼 포스팅은 덧니교정 Case로 신논현역치과 2D치과가 가장 잘하는 2D교정 방법을 바탕으로 덧니를 교정하는 방법에 대해 알아보겠습니다~ 덧니교정에 대해 알아보기에 앞서 덧니란 무엇인지 알아볼까요? 덧니란 무엇인가? 덧니...
게시일
2020년 10월 20일
원문 기준으로 확인된 발행일입니다.
카테고리
치아교정
원문 블로그 카테고리를 정리해 함께 표시합니다.
이미지 수
13
현재 아카이브에 연결된 이미지 수입니다.
아카이브 요약
2D치과의원의 네이버 블로그 원문을 보존한 아카이브 페이지입니다. 치아교정 카테고리의 덧니교정 2D교정 (부분교정) 후기 글을 통해 병원의 한국어 정보 제공 방식과 진료 관련 안내 톤을 확인할 수 있습니다.
원문 검증
필요하면 원문 블로그와 병원 프로필로 바로 이동해 문맥을 다시 확인할 수 있습니다.
출처 아카이브 열기신논현역치과 2D치과 원장
정인성입니다~^^
오랜만에 블로그로 인사드리는데요,
오늘 알아볼 포스팅은 덧니교정 Case로
신논현역치과 2D치과가 가장 잘하는
2D교정 방법을 바탕으로 덧니를
교정하는 방법에 대해 알아보겠습니다~
덧니교정에 대해 알아보기에 앞서
덧니란 무엇인지 알아볼까요?
덧니란 유아기에 유치가 빠지고 영구치가
맹출될 시기에 유치가 제 때 빠지지 않아
치아가 겹치듯 포개져 나온 치아를 뜻하는데요,
정해진 시기에 유치를 발치하지 않은 채
새로운 영구치가 같은 자리에 자라면서
덧니가 발생하게 됩니다.
이러한 덧니는 미소를 지을 때
치열을 삐뚤어보이게 만들고
치아 관리도 까다롭기 때문에
치석이 끼이거나 칫솔이 닿지 않는 부분에서
충치가 발생할 수 있는데요,
영구치의 가지런한 치열을 위해서는
유치를 늦지 않는 시기에 발치하여
덧니가 생기는 것을 방지하는 것이 좋습니다.
그렇다면 이제 신논현역치과의 실제 덧니교정 사례를 통해
덧니증상을 파악하고 교정하는 방법에 대해
알아보겠습니다.
아래의 Case는 상악 송곳니에 덧니증상이 나타난 경우로
송곳니는 치아의 맹출 순서에 영향을 받아 덧니로 자랄
가능성이 높다고 볼 수 있습니다.

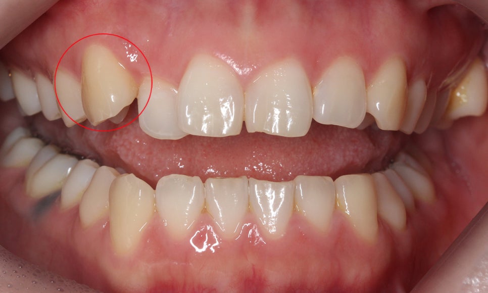
정면에서 바라본 치아의 모습을 보시면
상악 우측 송곳니가 주변 치아들보다 높은
위치에 뻐드러져 자라난 것을 확인할 수 있는데요,
덧니를 확인하는 가장 간단한 방법인
치아가 자라난 높이를 확인하는 방법으로
송곳니 양쪽의 치아들보다 높은 위치에서
맹출된 모습을 볼 수 있습니다.
이러한 덧니의 높이를 확인하는 방법은
자칫 덧니교정으로 착각할 수 있는
치아틀어짐과 확실하게 구별되는 증상으로
환자분들도 육안으로 손쉽게 확인하실 수 있습니다.

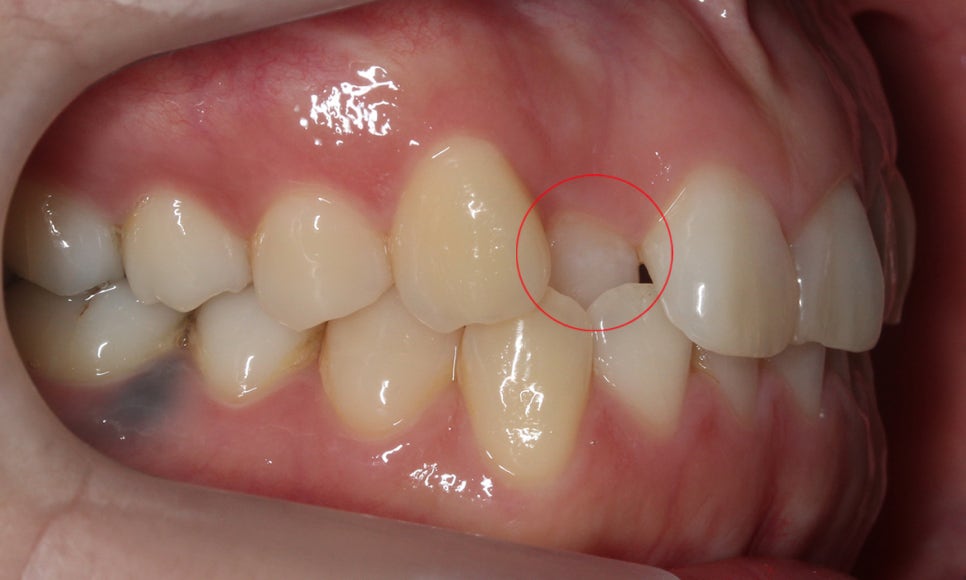
다음으로 전치부의 돌출감을 확인할 수 있는
측면 사진을 보시면 overbite 증상과
overjet 증상 정도를 알 수 있는데요,
overbite(수직피개)의 경우 상악이
하악을 얼마나 많이 덮고 있는지를 기준으로
과개교합 및 절단교합을 진단할 수 있습니다.
일반적인 경우 overbite는 약 10~20%정도가 적절하며
이보다 작으면 절단교합, 반대교합, 개방교합 등일 수 있으며
이보다 크면 과개교합 증상이 있다고 볼 수 있습니다.
overjet(수평피개)의 경우 상악과 하악 사이의 수평 거리를 뜻하며
전치부가 돌출될수록 overjet 수치가 크게 측정됩니다.
정상적인 overjet 수치는 2~3mm로 이보다 작거나 크면
문제가 있다고 볼 수 있습니다.
위의 덧니교정 Case에서는 overbite 경향이
나타나고 있는 모습으로 교합 시 상악이
과하게 물리는 것을 확인할 수 있습니다.

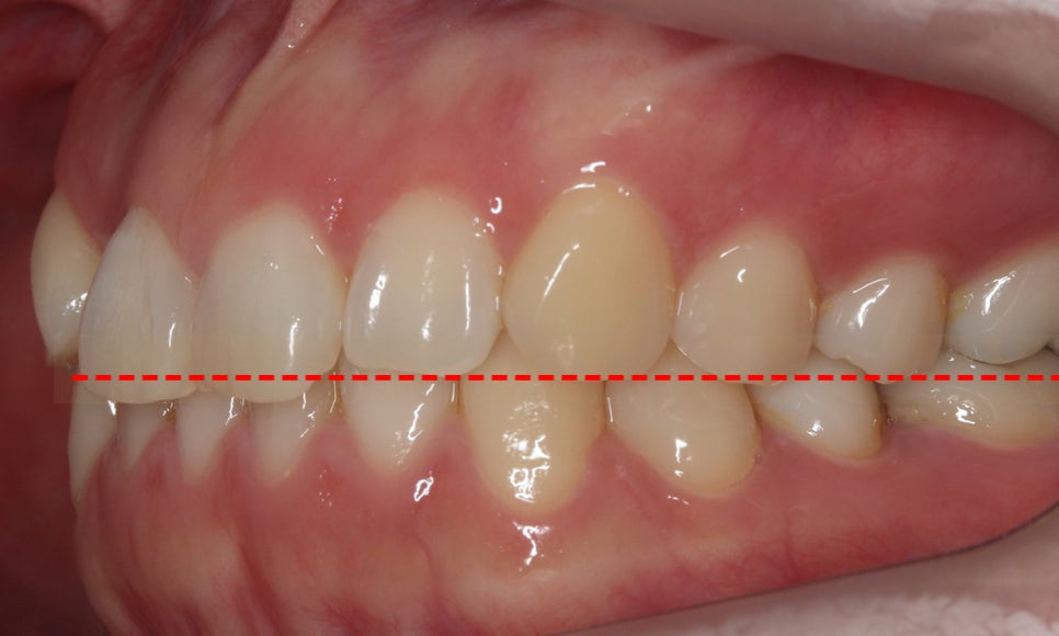
교합평면을 확인해보면 덧니교정 전 구치부에서
전치부까지 치아의 높이가 일정하지 않고
상악 측절치의 경우 설측으로 밀려 들어가서
반대로 교합되고 있는 모습인데요,
안쪽으로 뻐드러진 측절치를 바르게
배열하기 위해서는 구치부 치아들을
뒤로 당겨 공간을 확보한 후 각도를 조정하거나
소구치를 발치하여 치아가 배열될 수 있는
공간을 확보해야 합니다.

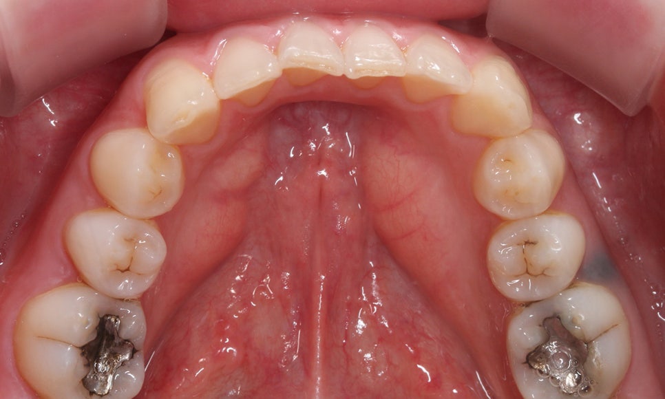
반대쪽 교합평면 또한 덧니교정 전
치아의 높이가 일정하지 않고
삐뚤거리는 모습을 확인할 수 있습니다.

상악의 치아 배열을 보시면 우측 측절치가
설측으로 틀어져 있는 모습인데요,
안쪽으로 뻐드러진 측절치를 정상각도로
교정하고 튀어나온 송곳니를 덧니교정하여
상악의 치열을 바로잡기로 하였습니다.

하악의 경우 전치부에서 약간의
Crowding이 발견되는 모습입니다.
위의 덧니교정 Case는 덧니 증상이 심한
상악의 교정을 위주로 부분교정을 진행하였습니다~
또한 교정 중 심미적인 부분을 고려하고
교정 기간을 단축하기 위해서 설측면에
교정장치를 부착하는 2D교정을 진행하였는데요,
시간적인 여유가 충분하신 경우
위처럼 부분교정만 진행하기 보다는
전체교정을 통해 전체적인 치열을
바로잡는 것이 장기적인 치아건강에
더 도움이 될 수 있습니다.
자신에게 알맞는 교정 방법을 선택하시는 것이 중요합니다.
덧니교정 Case의 교정후기 사진을 확인하실 분들은
이웃추가 후 다음 포스팅을 읽어주시기 바랍니다.







We shape Beauty
──────────────────────────
원칙을 지키는, 진심을 다하는, 진료철학
"2D DENTAL CLINIC"
나만의 테마 마스터 위젯 미션에 연재중인 글입니다.