아카이브 요약
이 페이지의 역할
2D치과의원의 네이버 블로그 원문을 보존한 아카이브 페이지입니다. 치아교정 카테고리의 세라믹교정 앞니틀어짐 교정 사례 글을 통해 병원의 한국어 정보 제공 방식과 진료 관련 안내 톤을 확인할 수 있습니다.
원문 검증
필요하면 원문 블로그와 병원 프로필로 바로 이동해 문맥을 다시 확인할 수 있습니다.
출처 아카이브 열기아카이브된 블로그 글
치과의원 · Naver Blog
2D치과 신혜인 원장입니다. 오랜만에 교정글로 인사 드리는데요, 오늘은 가장 보편적이고 대중화된 교정장치인 세라믹교정 에 대한 교정 사례를 포스팅 하려고 합니다. 세라믹교정 장치는 과거와 달리 심미적인 교정 방법에 대한 관심이 높아지면서 도입된 교정 장치 중 하나로 세라믹 재질의 브라켓을 사용하여 치아와 비...
게시일
2020년 10월 29일
원문 기준으로 확인된 발행일입니다.
카테고리
치아교정
원문 블로그 카테고리를 정리해 함께 표시합니다.
이미지 수
14
현재 아카이브에 연결된 이미지 수입니다.
아카이브 요약
2D치과의원의 네이버 블로그 원문을 보존한 아카이브 페이지입니다. 치아교정 카테고리의 세라믹교정 앞니틀어짐 교정 사례 글을 통해 병원의 한국어 정보 제공 방식과 진료 관련 안내 톤을 확인할 수 있습니다.
원문 검증
필요하면 원문 블로그와 병원 프로필로 바로 이동해 문맥을 다시 확인할 수 있습니다.
출처 아카이브 열기2D치과 신혜인 원장입니다.
오랜만에 교정글로 인사 드리는데요,
오늘은 가장 보편적이고 대중화된
교정장치인 세라믹교정 에 대한
교정 사례를 포스팅 하려고 합니다.
세라믹교정 장치는 과거와 달리
심미적인 교정 방법에 대한 관심이 높아지면서
도입된 교정 장치 중 하나로 세라믹 재질의
브라켓을 사용하여 치아와 비슷한 색깔을
유지한다는 장점이 있습니다.
또한 약간의 투명도도 있기 때문에
기존의 메탈 브라켓보다 심미성이 뛰어나고
치아와 결합되는 강도도 높아 교정 시
치아에 교정력을 보다 지속적으로 전달할 수 있습니다.
레진과 달리 브라켓 자체의 변색도 잘 일어나지 않기 때문에
교정 중 음식을 섭취하실 때 부담이 적은 편이며
보다 경제적인 비용으로 심미성까지 챙길 수 있는
대중적인 교정 장치라고 볼 수 있습니다.
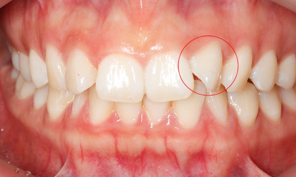
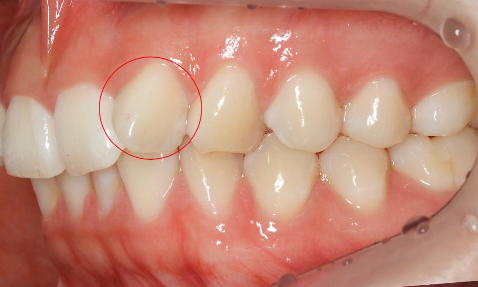
아래의 Case는 세라믹교정 을 진행한
앞니틀어짐 사례로 보시는 것처럼
상악 측절치의 각도가 틀어져 있어
교정이 필요한 모습인데요,
교정 전 정밀진단 1차

세라믹교정 전 정밀진단을 통해
치아의 상태를 확인한 결과
상악 측절치의 각도가 약 90도 가량
틀어져 있는 것을 확인하였습니다.
정면에서는 보이는 것 처럼
치아의 앞면이 아닌 측면이 보이는 모습으로
이러한 앞니틀어짐 증상을 흔히 덧니라고
오인하고 내원하시는 분들이 많은데요

덧니와 앞니틀어짐을 구분하는 방법은
잇몸라인과 치아가 맹출된 높이를
확인하시면 쉽게 파악하실 수 있습니다.
위의 앞니 틀어짐 case의 경우
상악 측절치가 맹출된 높이를 보시면
치아의 각도를 제외하고 주변 치열과
크게 이질적인 느낌은 들지 않는데요,
잇몸 라인도 일정하게 구치부까지
이어지는 모습으로 해당 치아는
덧니라고 보기에는 어려움이 있습니다.

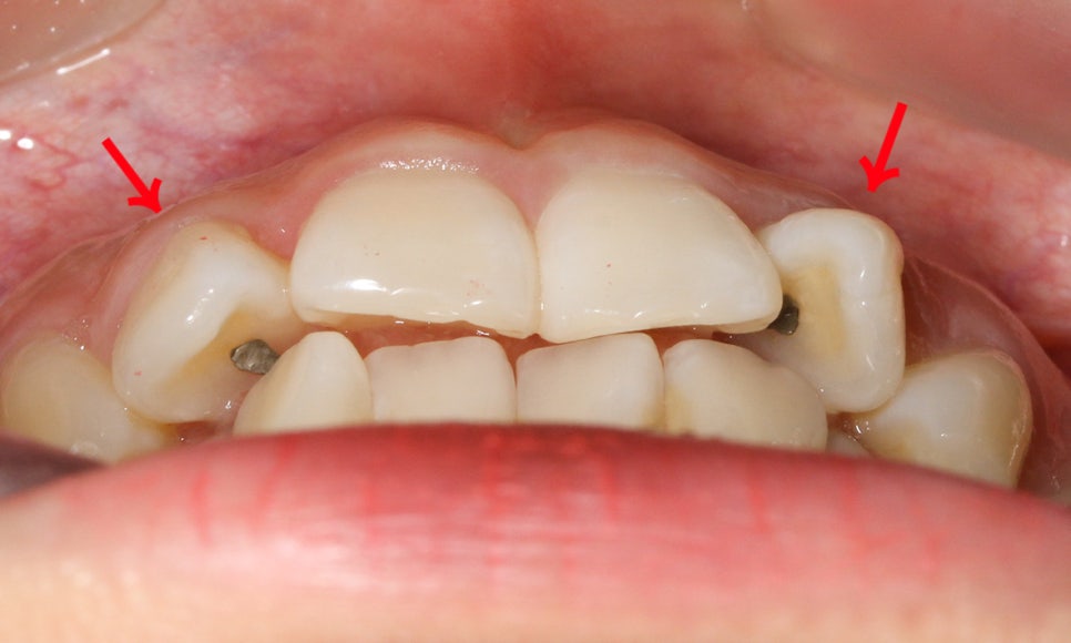
다음으로 상하악의 교합부를 보시면
상악과 하악이 교합되는 부위가
전치부 crowding으로 인해 약간
삐뚤거리는 모습을 확인할 수 있는데요,
특히 앞니틀어짐 있는 22번 측절치로 인해
전치부의 교합이 바르지 못한 모습입니다.

전치부의 돌출 정도를 파악할 수 있는
측면 사진을 보시면 측절치의 틀어짐으로 인해
미세하게 overjet(수평피개) 증상이 나타나는 모습으로
전치부 치열을 가지론하게 교정한다면
위와 같은 돌출감이 해결될 것으로 보입니다.

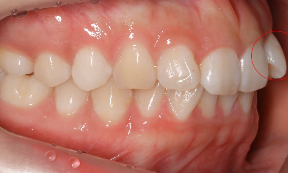
10~40번대 치아들의 교합 평면을 보시면
구치부쪽 교합은 비교적 틀어지지 않은 모습으로
전치부의 앞니틀어짐과 crowding을 해결한다면
성공적인 교정 결과를 기대해 볼 수 있는데요,

반대쪽 교합평면 또한 하악의
curve of spee가 깊지 않은 것으로 보아
전체적으로 치아의 삐뚤어짐을 중심으로
교정 계획을 수립해야 할 것으로 보입니다.
후치의 협측 교두를 따라 이어지는하악 교합면의 곡률

상악 전치부의 치아 배열을 확인하면
위처럼 중절치가 설측으로 미세하게 뻐드러져 있고
측절치의 각도는 대략 90도 정도로 틀어진 모습인데요,
위와 같은 case의 경우 1급 부정교합에
해당하거나 혹은 부정교합 증상 없이
몇 개의 치아만 회전되어 있다면 (앞니틀어짐)
문제가 있는 치아들을 부분적으로
교정할 수 있습니다.
상악 부분 세라믹교정 후
상악 전치부 세라믹교정 후
모습을 확인하실 분들은 이웃추가 후
다음 포스팅을 읽어 주시기 바랍니다.







"We shape Beauty"
-2D DENTAL CLINIC-
2D치과는 일요일에도 진료합니다.
나만의 테마 마스터 위젯 미션에 연재중인 글입니다.