아카이브 요약
이 페이지의 역할
2D치과의원의 네이버 블로그 원문을 보존한 아카이브 페이지입니다. 치아교정 카테고리의 앞니돌출 급속교정 Case feat. 2D교정 글을 통해 병원의 한국어 정보 제공 방식과 진료 관련 안내 톤을 확인할 수 있습니다.
원문 검증
필요하면 원문 블로그와 병원 프로필로 바로 이동해 문맥을 다시 확인할 수 있습니다.
출처 아카이브 열기아카이브된 블로그 글
치과의원 · ✅ 앞니에 대한 장인정신. Since 2016. 2D치과 ✅
이웃님들 한주간 잘 지내셨나요? 2D치과 정인성 원장입니다~ 오늘은 10월 30일 할로윈이에요! 2D치과도 할로윈을 맞아 조금은 들뜬 분위기가 되었는데요, 예전처럼 마냥 신나게 즐기지 못하는 상황이라 조금 아쉬운 마음이 들기도 합니다ㅠ.ㅠ 아무튼...오늘도! 이웃님들과 함께 치아 교정에 대한 이야기를 풀어보고자...
게시일
2020년 10월 30일
원문 기준으로 확인된 발행일입니다.
카테고리
치아교정
원문 블로그 카테고리를 정리해 함께 표시합니다.
이미지 수
15
현재 아카이브에 연결된 이미지 수입니다.
아카이브 요약
2D치과의원의 네이버 블로그 원문을 보존한 아카이브 페이지입니다. 치아교정 카테고리의 앞니돌출 급속교정 Case feat. 2D교정 글을 통해 병원의 한국어 정보 제공 방식과 진료 관련 안내 톤을 확인할 수 있습니다.
원문 검증
필요하면 원문 블로그와 병원 프로필로 바로 이동해 문맥을 다시 확인할 수 있습니다.
출처 아카이브 열기이웃님들 한주간 잘 지내셨나요?
2D치과 정인성 원장입니다~
오늘은 10월 30일 할로윈이에요!
2D치과도 할로윈을 맞아 조금은
들뜬 분위기가 되었는데요,
예전처럼 마냥 신나게 즐기지
못하는 상황이라 조금 아쉬운
마음이 들기도 합니다ㅠ.ㅠ
아무튼...오늘도! 이웃님들과 함께
치아 교정에 대한 이야기를 풀어보고자
앞니돌출 급속교정 Case를 가져왔는데요,
최근에는 치아교정에 대한
심미성 뿐만 아니라 단기간에
교정을 마무리할 수 있는 방법들이
꾸준히 연구되면서 다양한 방법들이
도입되고 있는 추세입니다.
이러한 흐름에 맞춰 2D치과 에서도
짧은 시간 동안 심미성을 보완하여
교정을 완성하는 급속교정
"2D교정"
방식을 도입하여 보다 만족도 높은
교정 결과를 제공하고 있는데요,
오늘 소개해드릴 Case도
전치부의 crowding을 해결하기 위해
2D교정 장치를 적용하였습니다.
그럼 구강 사진을 보시며 이야기를 이어가보죠~

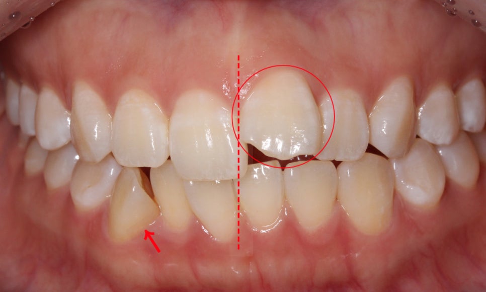
정면 구내사진을 보시면 위와 같이
상악과 하악을 교합하였을 때
전치부의 치아들이 제대로 교합되지 못하는 모습인데요,
상악 전치부의 경우 21번 중절치가 위쪽으로 들려있는 모습으로
덧니라고는 보기 어렵지만 앞니돌출 이 있는 모습입니다.
하악의 경우에는 전치부 치아들이 한쪽 방향으로
쏠려 있는 모습을 확인할 수 있는데요,
안모의 midline을 기준으로 좌측을 향해
삐뚤어져 있는 모습입니다.
또한 하악 43번 송곳니의 경우 측면이
보이는 방향으로 회전되어 있기 때문에
올바른 방향으로 교정 후 치열을
가지런하게 만드는 과정이 필요할 것으로 보입니다.

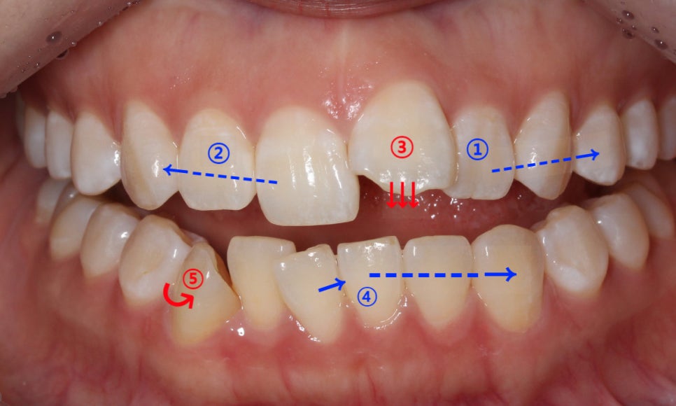
앞니돌출 급속교정 case의 치아의 이동 계획을 보면
상악 20번대 치아의 crowding을 해결하여 공간확보
상악 10번대의 치아의 각도조절
뻐드러진 21번 치아를 설측으로 당겨 앞니돌출 해결
하악의 틀어진 치아들을 바른 각도로 교정
4번으로 확보한 악궁 길이에 맞춰 회전된 송곳니를 바르게 배열함
와 같은 순서로 급속교정 치료가 진행될 예정입니다.
(치료과정을 간략히 설명한 것으로 치아의 이동 상황에 따라
급속교정 계획이 변동될 수 있습니다.)

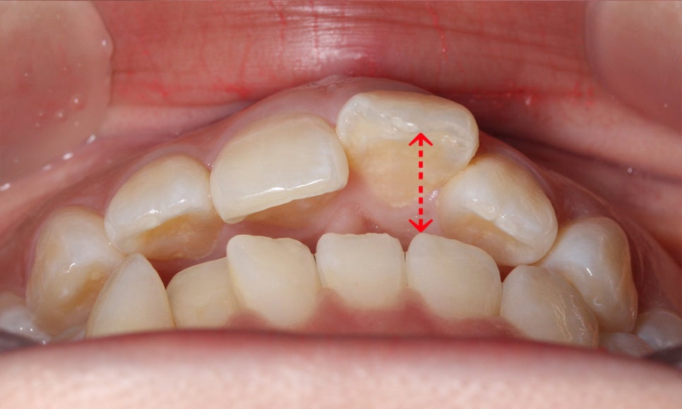
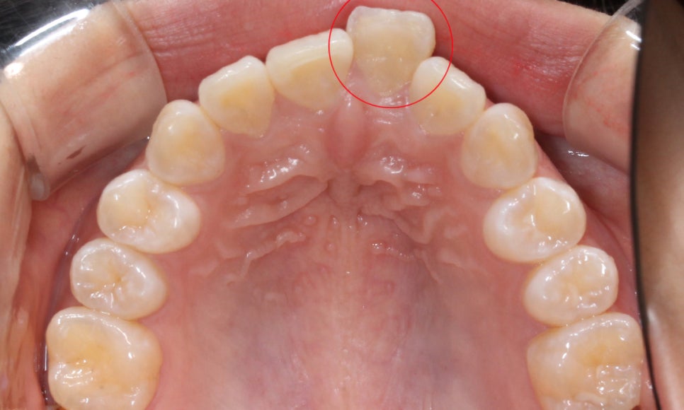
다음으로 상악과 하악의 교합면을 보시면
상악과 하악이 맞닿지 못하고 떨어져 있는 모습으로
구치부가 교합되고 있음에도 전치부 치열은 정확히
물리지 않는 모습인데요,
21번 치아가 순측으로 돌출되어 있기 때문에
앞니돌출 증상을 해결하고 전치부의 절단능력을
바르게 사용할 수 있도록 교정해야 합니다.


구치부에서 전치부로 이어지는 좌우의
교합평면을 확인해보면 양쪽 교합평면 모두
전치부의 앞니돌출 증상으로 인해 스마일라인이
가지런하지 못한 것으로 보이는데요,
이러한 증상들을 급속교정 으로 해결하기 위해
2D교정장치를 사용하여 설측에 브라켓을
부착하는 교정 계획을 수립하였습니다.
2D교정의 경우 설측면에 부착되는 브라켓의 크기가
일반적인 브라켓보다 월등히 작고 얇기 때문에
교정 중 착용감이 우수한 편인데요,
특히 대화를 많이 하시거나 미소를 지어야 하는
직업군에 속하시는 경우 발음의 부자연스러움 없이
티가 나지 않는 교정을 진행하실 수 있습니다.

상악의 경우 교합면을 보시면
중절치의 뻐드러짐으로 인해
안모의 형태가 삐뚤어진 모습을 확인할 수 있습니다.
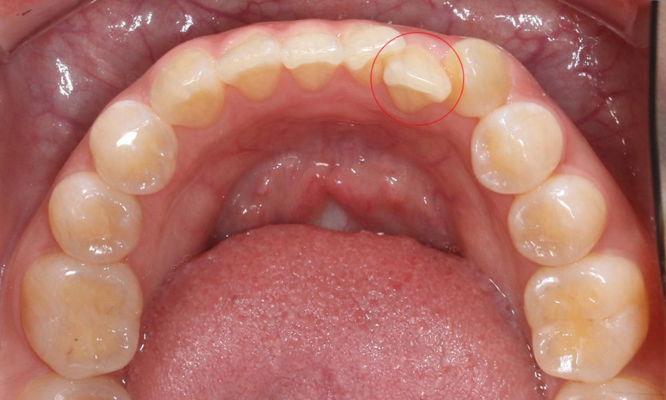
2D교정을 시작하시면 위와 같이 치아의 안쪽면에
브라켓이 부착되기 때문에 겉으로 보여지는 부분은
내 치아 그대로 자연스러운 교정이 가능합니다.
구치부에는 브라켓이 부착되지 않습니다.
따라서 전체교정을 원하시는 경우 인비절라인(투명교정) 등을
혼합하여 교정을 진행하실 수 있습니다.

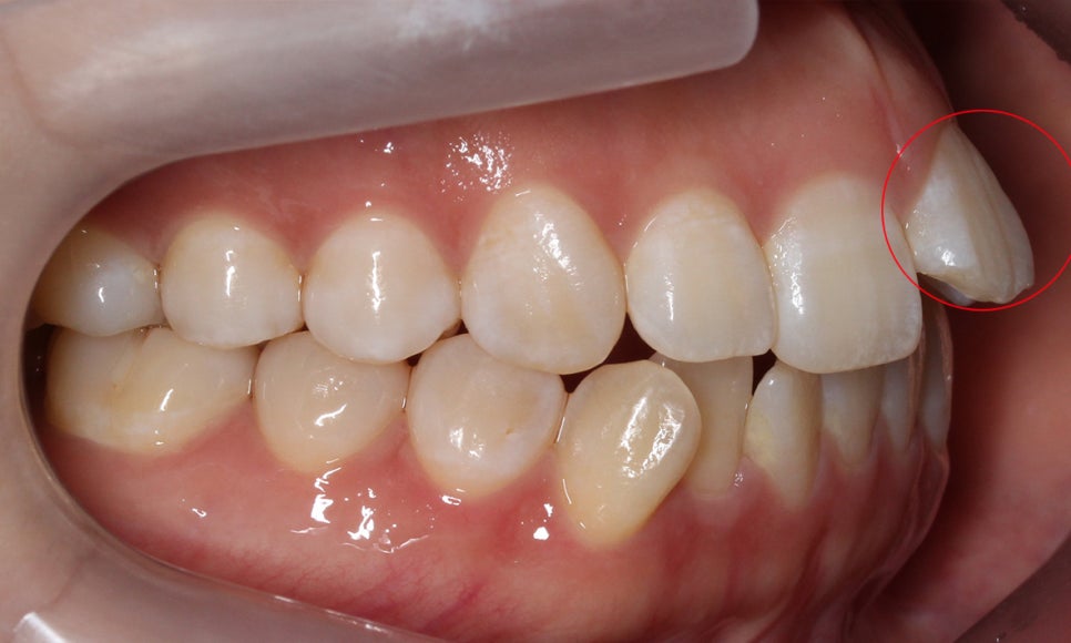
하악 또한 전치부의 크라우딩을 해결한 후
회전되어 있는 송곳니를 바른 각도로
조절해야 할 것으로 예상되는데요,
표시된 부분의 측절치가 설측으로 꺾여 있기 때문에
이를 해결함과 동시에 전치부에 강한 교정력을 주는
2D장치로 단기간에 교정을 마무리 할 수 있습니다.
After 사진을 확인하실 분들은
이웃추가 후 다음 포스팅을 읽어주시기 바랍니다^^








더 많은 진료 후기를 원하시는 경우
블로그 이웃추가 후 포스팅을 감상해주세요^^
"We shape Beauty"
-2D DENTAL CLINIC-
2D치과는 일요일에도 진료합니다.
나만의 테마 마스터 위젯 미션에 연재중인 글입니다.