아카이브 요약
이 페이지의 역할
2D치과의원의 네이버 블로그 원문을 보존한 아카이브 페이지입니다. 치아교정 카테고리의 crowding 송곳니덧니 세라믹교정 방법 글을 통해 병원의 한국어 정보 제공 방식과 진료 관련 안내 톤을 확인할 수 있습니다.
원문 검증
필요하면 원문 블로그와 병원 프로필로 바로 이동해 문맥을 다시 확인할 수 있습니다.
출처 아카이브 열기아카이브된 블로그 글
치과의원 · Naver Blog
이웃님들 안녕하세요~^^ 2D치과 신혜인 원장입니다. 벌써 겨울이 온 듯 너무 추워진 화요일 저녁이에요, 올해는 그다지 덥지 않은 날씨 때문에 겨울이 더 추운 느낌이 들어요 : ( 이웃님들도 빨리 찾아온 겨울 날씨에 감기걸리지 않도록 따뜻한 옷차림으로 외출하시기 바랍니다~ 오늘은 심한 전치부 crowding c...
게시일
2020년 11월 3일
원문 기준으로 확인된 발행일입니다.
카테고리
치아교정
원문 블로그 카테고리를 정리해 함께 표시합니다.
이미지 수
14
현재 아카이브에 연결된 이미지 수입니다.
아카이브 요약
2D치과의원의 네이버 블로그 원문을 보존한 아카이브 페이지입니다. 치아교정 카테고리의 crowding 송곳니덧니 세라믹교정 방법 글을 통해 병원의 한국어 정보 제공 방식과 진료 관련 안내 톤을 확인할 수 있습니다.
원문 검증
필요하면 원문 블로그와 병원 프로필로 바로 이동해 문맥을 다시 확인할 수 있습니다.
출처 아카이브 열기이웃님들 안녕하세요~^^
2D치과 신혜인 원장입니다.
벌써 겨울이 온 듯 너무
추워진 화요일 저녁이에요,
올해는 그다지 덥지 않은 날씨 때문에
겨울이 더 추운 느낌이 들어요 : (
이웃님들도 빨리 찾아온 겨울 날씨에
감기걸리지 않도록 따뜻한 옷차림으로
외출하시기 바랍니다~
오늘은 심한 전치부 crowding case의
송곳니덧니 세라믹교정 방법을 준비했는데요,
이제는 많이 보편화된 세라믹교정 장치로
효과적인 교정을 할 수 있는 방법에 대해
송곳니덧니 Case를 중심으로 알아보도록 해요!
우선 주제로 선정한 crowding에 대한
설명부터 시작하겠습니다.
crowding 이란?
crowding 이란 치아가 정상적으로
배열되지 못하고 삐뚤삐뚤하게 맹출된 상태를 말하며
좁은 악궁의 길이에 맞지 않게 치아가 밀집되어 있는 것입니다.
이러한 치아 크라우딩(총생)은 발치를 통해
치아가 바른 자리에 배열될 수 있도록 공간을 마련하여
삐뚤거림을 해결할 수 있습니다.

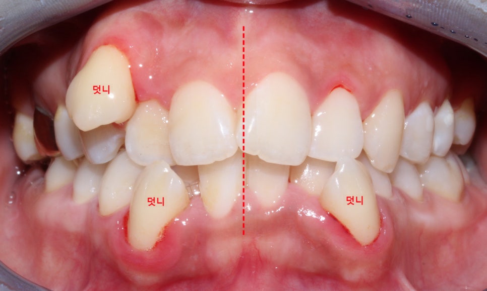
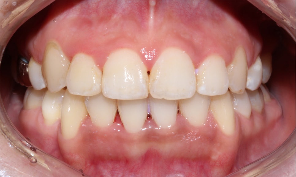
위의 송곳니덧니 교정 Case 정면 사진을 보시면
전치부의 crowding 증상과 송곳니덧니
모습을 확인할 수 있는데요,
전치부의 크라우딩으로 인해 치아가 빼곡하게
배열되어 있고 상악과 하악의 송곳니(견치) 덧니 증상도
심한 모습을 확인할 수 있습니다.
하악의 경우 측절치가 설측으로 밀려들어가 있는 모습으로
치조골과 안모의 정중선을 바르게 맞추기 위해서 틀어진
치열을 바로잡는 것이 중요할 것으로 예상되는데요,

전체적인 세라믹교정 계획을 그려보면
위와 같은 방식으로 접근할 수 있을 것 같습니다.
바르게 배열하기 위해 송곳니를 기준으로
안쪽으로 들어간 중절치와 측절치에
open coil spring 을 연결하여
치아 사이가 충분히 벌어질 수 있도록 공간을 마련한 후
치아를 후방으로 당겨 발치된 공간을 폐쇄합니다.
스크류에 연결하여 공간폐쇄를 진행할 수 있습니다.

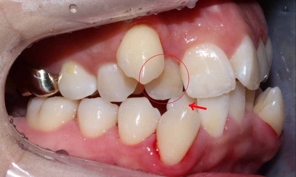
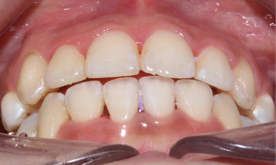
다음은 overbite 증상을 확인할 수 있는
전치부 정면 하방 사진입니다.
일반적인 치아의 교합과 다르게
전치부 크라우딩과 송곳니덧니 증상으로 인해
상하악이 바르게 교합되지 못하고 삐뚤거리는 모습인데요,
midline을 중심으로 안모가 삼각형 형태를
그리며 틀어진 것을 확인할 수 있습니다.

overjet 사진을 보면 상악과 하악의
돌출 정도가 크게 차이나는 모습이 보입니다.
하악의 경우 악궁의 길이가 상악과 비교하여
상대적으로 짧고 치아의 크기가 조화롭지 못하기 때문에
이처럼 상악이 돌출되어 보이는 증상과
전치부 총생 증상이 나타나는 것인데요,
이를 해결하기 위해서는 발치 과정을 통해
악궁의 공간을 충분히 확보한 후 치아를
이동시키는 것이 효과적일 수 있습니다.


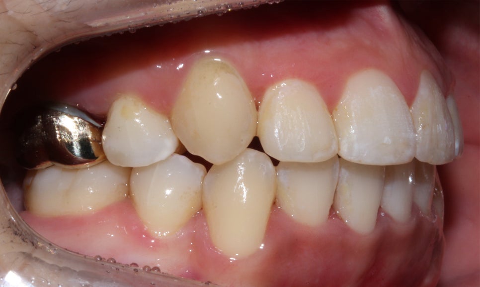
다음은 좌우 교합평면 사진입니다.
치아가 배열된 모습을 보면
송곳니덧니 증상으로 인해 측절치가
설측으로 들어가 있는 모습을 확인할 수 있는데요,
이러한 경우 위에서 설명한 오픈코일 스프링을 걸어
들어간 치아가 빠져나올 수 있도록 주변 치아에 텐션을 주며
교정을 진행하는 것이 효과적일 수 있습니다.

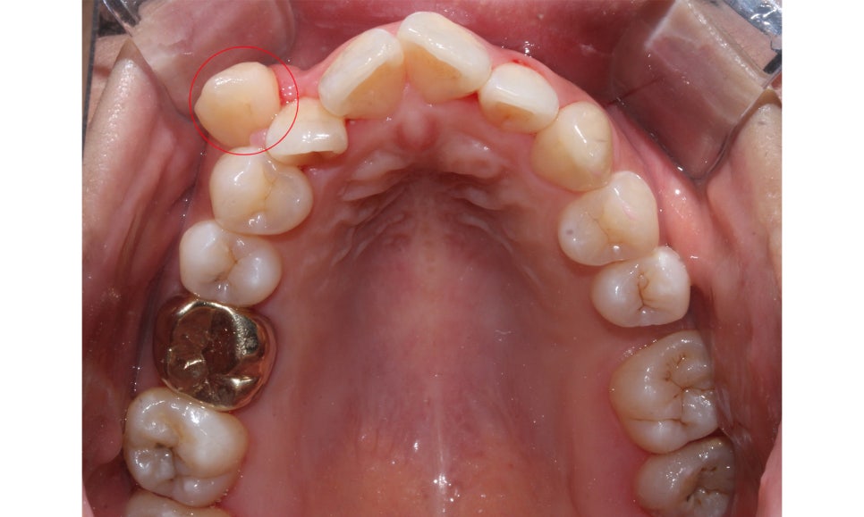
상악의 교합면을 보시면 송곳니가 뻐드러진 증상을
명확하게 확인할 수 있는데요, 안모의 형태가
정중선을 기준으로 ㅅ자 형태로 모여있어
안모를 u라인으로 교정하는 동시에
삐뚤어진 치열을 바로잡는 것이 중요합니다.
부착되기 어렵기 때문에 금속밴딩을 끼워 치아를 이동시킬 수 있습니다.
보철치료가 된 치아에 임의로 브라켓을 부착할 경우
약한 충격에도 브라켓이 탈락될 수 있으므로
보철치료의 유형에 따라 적절한 교정장치를 적용하는 것이 좋습니다.

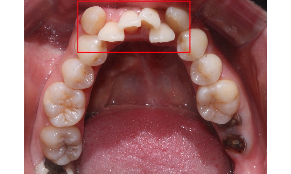
하악의 교합면을 보면 전치부쪽 치아들이
총생으로 인해 심하게 삐뚤거리는 모습인데요,
가장 안쪽의 어금니를 보시면 치아의 우식이 많이 진행된 모습이라
교정치료 전 발치를 한 후 치아를 이동시키기로 하였습니다.
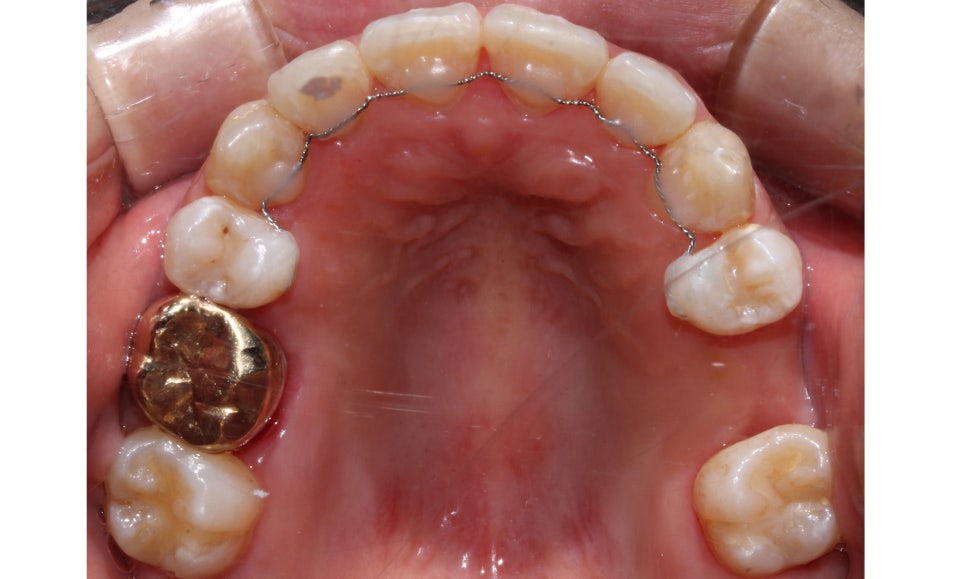
덧니치아 case 세라믹 교정 장치 제거

세라믹교정 후 장치를 제거한 모습입니다.
정면 구내사진을 보시면 가장 큰 변화는 송곳니의
위치가 변위되었다는 것인데요,
교정 전 송곳니가 심한 덧니 증상을
보이고 있었고 high canine도 심하 모습이었지만
교정 후 높았던 송곳니의 맹출지점을 아래로 끌어와
치열을 가지런하게 맞추었습니다.

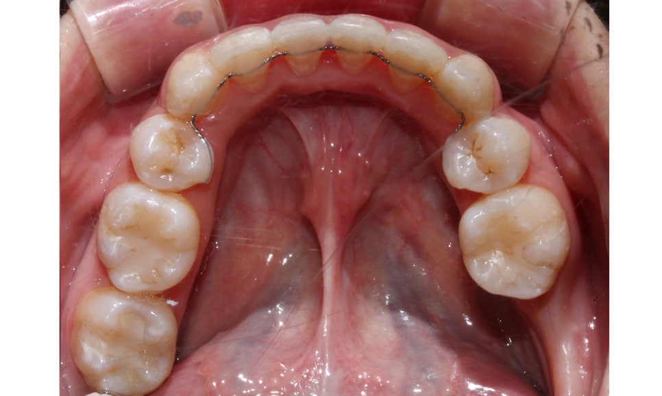
overbite 사진에서도 스마일라인의 치아들이
고르고 가지런하게 배열된 모습을 확인할 수 있는데요,


좌우 교합평면도 스피만곡이 평행하게 배열되어
상하악이 바르게 교합되고 있는 모습입니다.

상악의 교합면을 보시면 좌측의 대구치 1개가
발치된 공간을 확인할 수 있는데요, 이 공간은
교정 후 닫지 않고 추후 임플란트를 식립하여
공간을 채울 예정입니다.

하악 또한 대구치 1개가 발치된 상태이기 때문에
대합치의 정출을 예방하고 바른 상하악 교합을 위해서
임플란트를 반드시 식립하여야 하는데요,
대구치가 없이 치아가 교합될 경우 정해진 위치보다
치아가 더 튀어나오는 증상이 나타날 수 있으니
빠른시일 내에 대합치를 만들어 정출을 예방해야 합니다.
더 많은 진료 후기를 원하시는 경우
블로그 이웃추가 후 포스팅을 감상해주세요^^
"We shape Beauty"
-2D DENTAL CLINIC-
2D치과는 일요일에도 진료합니다.
나만의 테마 마스터 위젯 미션에 연재중인 글입니다.