아카이브 요약
이 페이지의 역할
2D치과의원의 네이버 블로그 원문을 보존한 아카이브 페이지입니다. 치아교정 카테고리의 역삼역치과 송곳니덧니 crowding Case 글을 통해 병원의 한국어 정보 제공 방식과 진료 관련 안내 톤을 확인할 수 있습니다.
원문 검증
필요하면 원문 블로그와 병원 프로필로 바로 이동해 문맥을 다시 확인할 수 있습니다.
출처 아카이브 열기아카이브된 블로그 글
치과의원 · ✅ 앞니에 대한 장인정신. Since 2016. 2D치과 ✅
안녕하세요! 역삼역치과 2D치과의 정인성 원장입니다~ 정말 오랜만에 블로그에 인사를 드리는데요, 그동안 이웃님들께 다양한 치과 이야기와 case를 소개해드리기 위해 열심히 자료를 준비하고 있었습니다! 많이 기다려주신 오늘의 주제는 송곳니덧니 crowding Case의 교정 후기 포스팅입니다. 덧니는 바른인상...
게시일
2020년 11월 17일
원문 기준으로 확인된 발행일입니다.
카테고리
치아교정
원문 블로그 카테고리를 정리해 함께 표시합니다.
이미지 수
14
현재 아카이브에 연결된 이미지 수입니다.
아카이브 요약
2D치과의원의 네이버 블로그 원문을 보존한 아카이브 페이지입니다. 치아교정 카테고리의 역삼역치과 송곳니덧니 crowding Case 글을 통해 병원의 한국어 정보 제공 방식과 진료 관련 안내 톤을 확인할 수 있습니다.
원문 검증
필요하면 원문 블로그와 병원 프로필로 바로 이동해 문맥을 다시 확인할 수 있습니다.
출처 아카이브 열기안녕하세요! 역삼역치과
2D치과의 정인성 원장입니다~
정말 오랜만에 블로그에
인사를 드리는데요,
그동안 이웃님들께 다양한
치과 이야기와 case를 소개해드리기 위해
열심히 자료를 준비하고 있었습니다!
많이 기다려주신 오늘의 주제는
송곳니덧니 crowding Case의
교정 후기 포스팅입니다.
덧니는 바른인상과 스마일라인의
심미성을 저해하는 요소로
삐뚤거리는 치열을 가지고 있거나
돌출된 구강 구조를 가진 경우
크게 스트레스를 받으시는데요,
덧니가 생기는 원인은 여러가지가 있지만
영구치가 자라나기 시작할 무렵부터 주의를 기울여
관리한다면 바른 치열을 만들 수 있습니다.
덧니는 유전적인 요인으로 인해 발생하기도 하는데요,
영구치가 맹출될 시기에 턱뼈의 골격이 균형있게 성장하지 못하여
치조골과 치아의 크기가 조화롭지 않게 자라날 경우
덧니가 생길 수 있습니다.

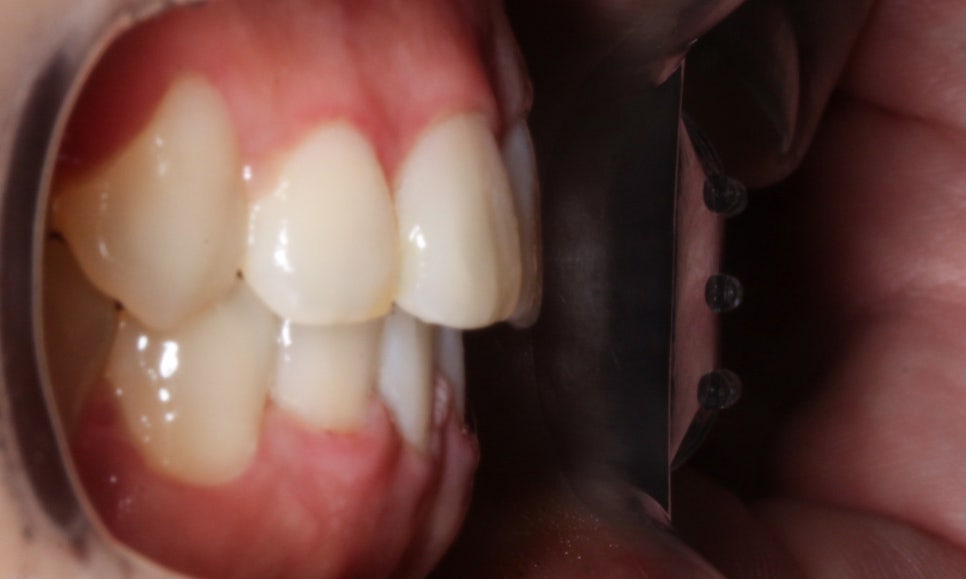
위의 Case는 역삼역치과의 송곳니덧니 증례로
정면 구내사진을 확인해보면 덧니의 전형적인
증상인 'high canine' 를 확인할 수 있습니다.
high canine란 위처럼 송곳니가 정상적인 치열에서부터
위쪽으로 멀리 튕겨져나간 것처럼 맹출된 모습을 말하며
이러한 경우에는 대부분 어금니까지
교정장치를 부착하는 전체교정을 통해
치열을 바로잡을 수 있습니다.
이러한 high canine는 기준이 되는 송곳니의
위치가 그다지 좋지 않기 때문에 억지로
전치부 부분교정을 하는 것보다
치아가 배열될 수 있는 충분한 공간을 확보한 후
전체교정으로 치열을 가지런하게 만드는 것이 중요합니다.

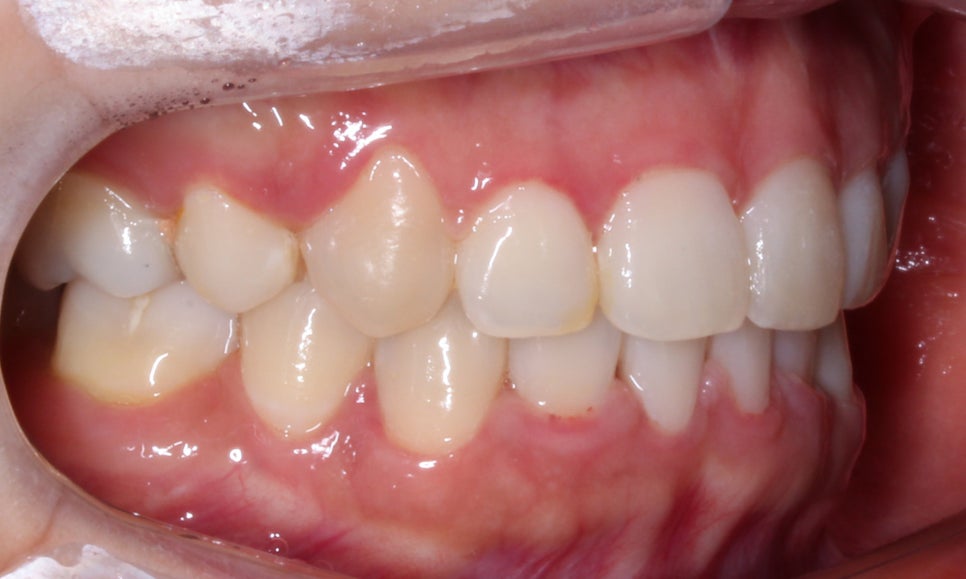
위의 overbite 사진에서도 송곳니덧니 증상으로
전치부의 치열이 심하게 삐뚤거리는 것을 확인할 수 있는데요,
좌우의 송곳니 위치가 좋지 않기 때문에
일반적인 부분교정 만으로는 스마일라인을
심미적으로 교정하기에는 무리가 있습니다.

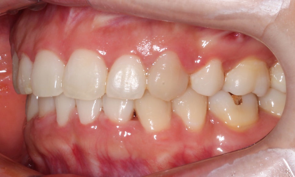
역삼역치과 덧니교정 case의 전치부
overjet 사진을 보면 하악 측절치가
주변 치아들보다 설측으로 강하게
들어가 있는 모습을 볼 수 있습니다.
이러한 경우 들어가 있는 치아를 정상적인
위치로 꺼내기 위해 교정 초기에 open coil spring을
사용하여 전치부의 공간을 마련하는 과정이 필요할 수 있습니다.


송곳니덧니 case의 좌우 교합평면 사진입니다.
측면에서 치아의 높이를 보면 보다
명확하게 high canine 증상을 확인할 수 있는데요,
송곳니는 우리의 치아 가운데 가장 길이가 긴
치근을 가지고 있기 때문에 성공적인 교정
결과를 기대하시는 경우 이 송곳니의 위치를
올바른 위치로 이동시키는 것이 중요합니다.
또한 사진에서 작은어금니와 잇몸 사이의
경계 부분에 나타나는 치아의 파임 증상은
치경부마모증이 일부 진행된 것으로 보이는데요,
위처럼 법랑질만 미세하게 손상된 초기일 경우
레진이나 Gi 치료만으로 수복이 가능하나
상아질까지 손상된 경우에는 크라운 등
넓은 범위의 보철치료가 필요할 수 있습니다.

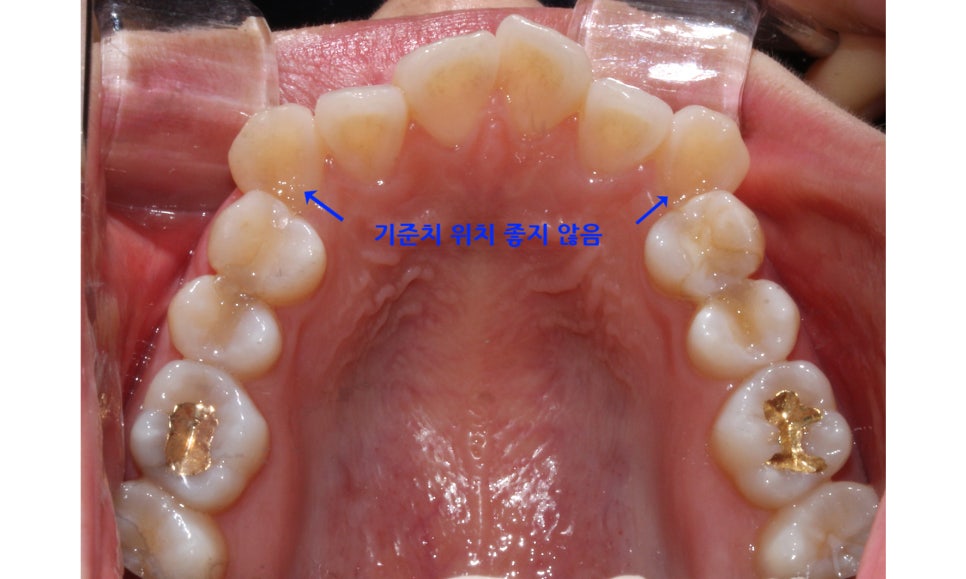
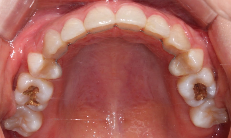
송곳니덧니 case의 상악 교합면 사진을 보시면
송곳니의 위치가 심하게 어긋나 있는 모습을 볼 수 있습니다.
부분교정의 경우 교정장치 부착의 기준이 되는
송곳니(견치)의 위치가 큰 영향을 받기 때문에
위의 Case처럼 기준치의 위치가 틀어진 경우
부분교정보다는 전체교정을 추천드립니다.

역삼역치과 덧니교정 Case의 하악 교합면 사진입니다.
양쪽 측절치의 각도를 보시면 설측으로
밀려 들어와 있는 느낌이 강한데요,
이러한 경우 악궁의 길이와 치아의 크기가
조화롭지 못하여 발생하는 문제일 가능성이
크기 때문에 모든 치아에 ligature wire를
결찰하기 전 open coil spring으로
치아 사이의 공간을 충분히 넓혀준 뒤
치아 배열을 바로잡는 것이 좋습니다.
덧니교정 After

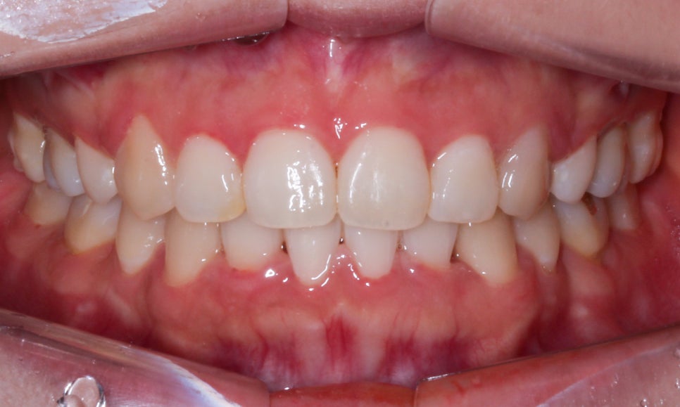
송곳니덧니 case의 교정 후 모습입니다.
치아의 정면 구내사진을 보면 교정 전
송곳니의 위치가 주변 치아보다 상당히 높게
맹출된 모습을 확인할 수 있었는데요,
교정 후 이러한 high canine 증상이
사라지면서 전치부의 스마일라인이
확연하게 정돈된 느낌으로 바뀌었습니다.

역삼역치과 덧니 case의 교정 후 overbite 사진입니다.
상악과 하악 사이가 깊게 물리는 deep bite 증상이
완화되었고 상하악의 midline도 일직선으로 바르게
교정된 모습을 확인할 수 있습니다.

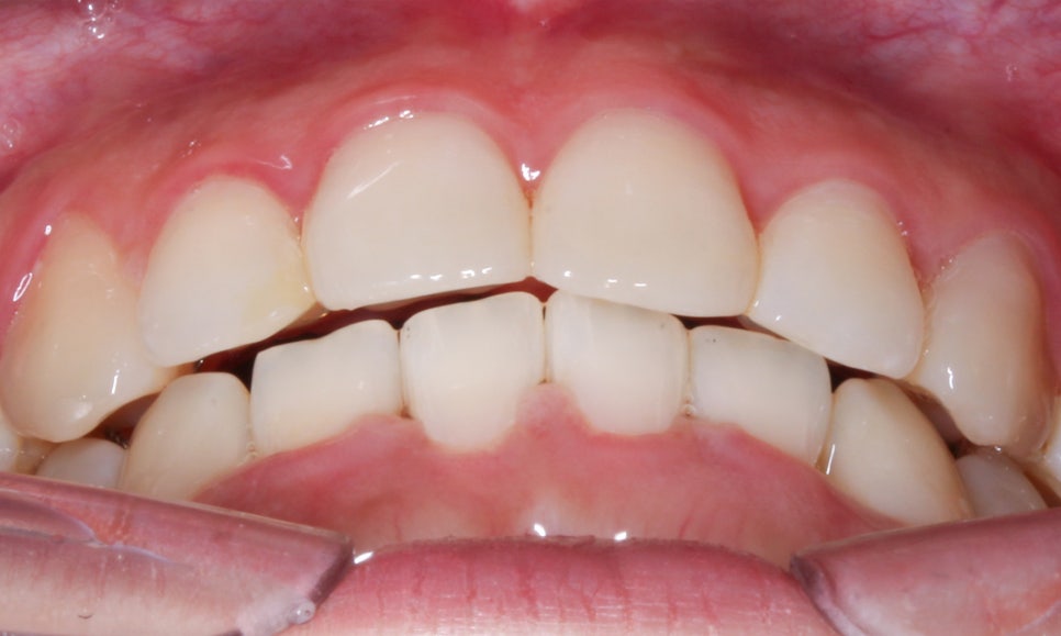
교정 후 overjet 사진을 보면 돌출감이 심하고
전치부의 뻐드러짐이 컸던 교정 전 모습과 달리
덧니 증상과 중절치의 돌출이 사라진 모습인데요,
하악 측절치가 설측으로 들어가 있던 모습도
교정 후 바른 위치로 치아가 꺼내져
하악 전치부 치열이 가지런해진 모습입니다.


좌우의 교합평면을 보시면 교정 전
덧니로 인해 상악의 high canine가
도드라져 보였는데요,
교정 후 기준치가 되는 송곳니의 위치가
바르게 교정되면서 측면에서 본 치아의 배열이
가지런하게 바뀐 것을 확인할 수 있습니다.

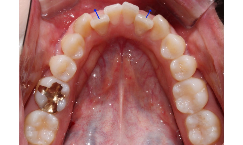
교정 후 상악 교합면의 모습입니다.
위의 case의 경우 기준치 위치가
바르지 못하였기 때문에 전치부를
바르게 배열하기 위해서는 발치로
공간을 확보해야 했는데요,
상악은 좌우 소구치 1개씩 총 2개의
치아를 발치하여 악궁의 길이를 확보하였습니다.

역삼역치과 덧니교정 Case의 하악 교합면 또한
상악과 마찬가지로 악궁의 길이를 확보하기 위해
소구치를 2개 발치하였습니다.
이러한 과정으로 인해 전치부의 Crowding을
해결할 수 있는 공간이 마련되었으며
성공적인 교정 결과를 도출할 수 있었습니다.
나만의 테마 마스터 위젯 미션에 연재중인 글입니다.