아카이브 요약
이 페이지의 역할
2D치과의원의 네이버 블로그 원문을 보존한 아카이브 페이지입니다. 치아교정 카테고리의 왜소치 뻐드렁니 교정 신논현역치과에서 글을 통해 병원의 한국어 정보 제공 방식과 진료 관련 안내 톤을 확인할 수 있습니다.
원문 검증
필요하면 원문 블로그와 병원 프로필로 바로 이동해 문맥을 다시 확인할 수 있습니다.
출처 아카이브 열기아카이브된 블로그 글
치과의원 · Naver Blog
가을비가 그치고 쌀쌀해진 목요일입니다. 오늘 포스팅은 신논현역치과 왜소치 및 뻐드렁니 교정 방법에 대해 알아보려고 하는데요, 왜소치 증상은 전에도 많이 설명드렸던 것처럼 치아의 크기가 주변 정상적인 크기보다 작거나 짧은 치아이며 주로 상악 측절치에서 발견됩니다. 치아의 크기가 상당히 왜소하다보니 치열이 가지...
게시일
2020년 11월 19일
원문 기준으로 확인된 발행일입니다.
카테고리
치아교정
원문 블로그 카테고리를 정리해 함께 표시합니다.
이미지 수
14
현재 아카이브에 연결된 이미지 수입니다.
아카이브 요약
2D치과의원의 네이버 블로그 원문을 보존한 아카이브 페이지입니다. 치아교정 카테고리의 왜소치 뻐드렁니 교정 신논현역치과에서 글을 통해 병원의 한국어 정보 제공 방식과 진료 관련 안내 톤을 확인할 수 있습니다.
원문 검증
필요하면 원문 블로그와 병원 프로필로 바로 이동해 문맥을 다시 확인할 수 있습니다.
출처 아카이브 열기가을비가 그치고 쌀쌀해진 목요일입니다.
오늘 포스팅은 신논현역치과 왜소치 및
뻐드렁니 교정 방법에 대해 알아보려고 하는데요,
왜소치 증상은 전에도 많이 설명드렸던 것처럼
치아의 크기가 주변 정상적인 크기보다 작거나
짧은 치아이며 주로 상악 측절치에서 발견됩니다.
치아의 크기가 상당히 왜소하다보니
치열이 가지런하여도 이 사이가
벌어져 보이거나 틈이 생길 수 있는데요,
이는 교정치료 만으로 해결하기에는
한계가 있기 때문에 case에 따라
추가적인 보철치료
(세라필름, 블링스 등)가 필요할 수 있습니다.

신논현역치과 뻐드렁니 case의 구외 사진입니다.
교정 전 입술과 입 주변의 형태를 보면
좌우의 대칭이 잘 맞지 않고 돌출된 느낌이 있는 모습인데요,

상악 좌측 측절치가 왜소치 증상이 있고
앞니(중절치)가 주변 치열보다 뻐드러져 있어
입술을 다물었을 때도 돌출감이 느껴지는 모습입니다.
특히 스마일라인의 치아가 측절치 및 탈회가 있는
중절치로 인해 심미성이 떨어져 보이기 때문에
교정 및 보철치료를 통해 이를 보완하려고 하는데요,

뻐드렁니 교정 전 중절치의 돌출 상태를 보시면
위처럼 중절치가 맹출된 각도가 지나치게
튀어나온 것을 확인할 수 있습니다.

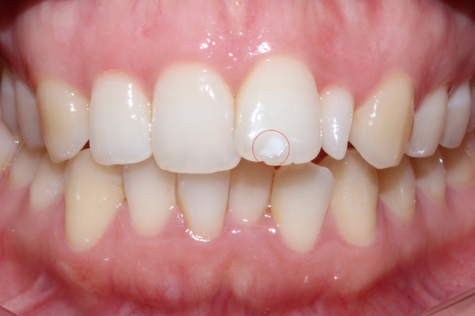
왜소치 외에도 상악 왼쪽 중절치의 표면에
흰 반점이 있는 반상치 증상이 나타나기 때문에
이 부분은 추후 치아색과 비슷한 resin으로
보완하여야 하는데요, 이러한 반상치 증상이
부분적으로 나타나는 것이 아닌 치아 표면에
전체적으로 발생하여 resin 치료가 불가능한 경우
무삭제 라미네이트 '세라필름'을 부착하여
치아의 표면을 매끈하고 균일하게 보완할 수 있습니다.

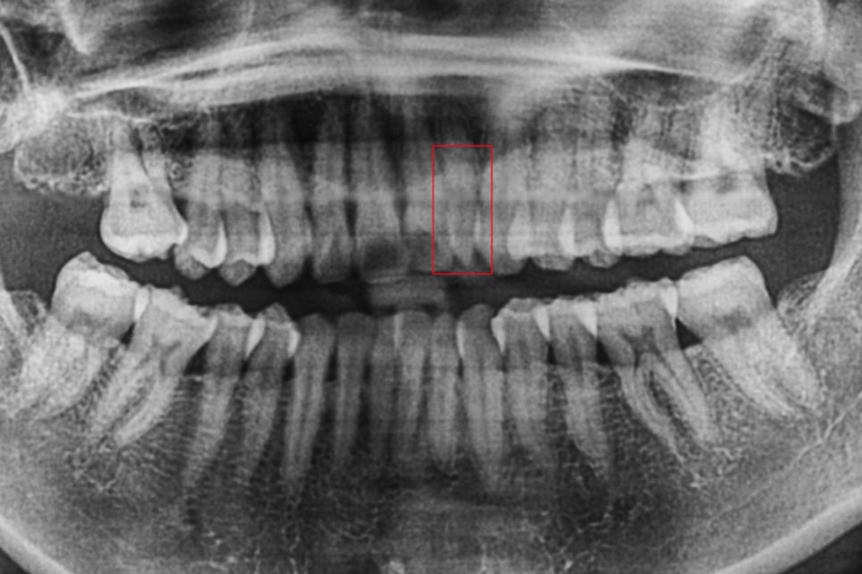
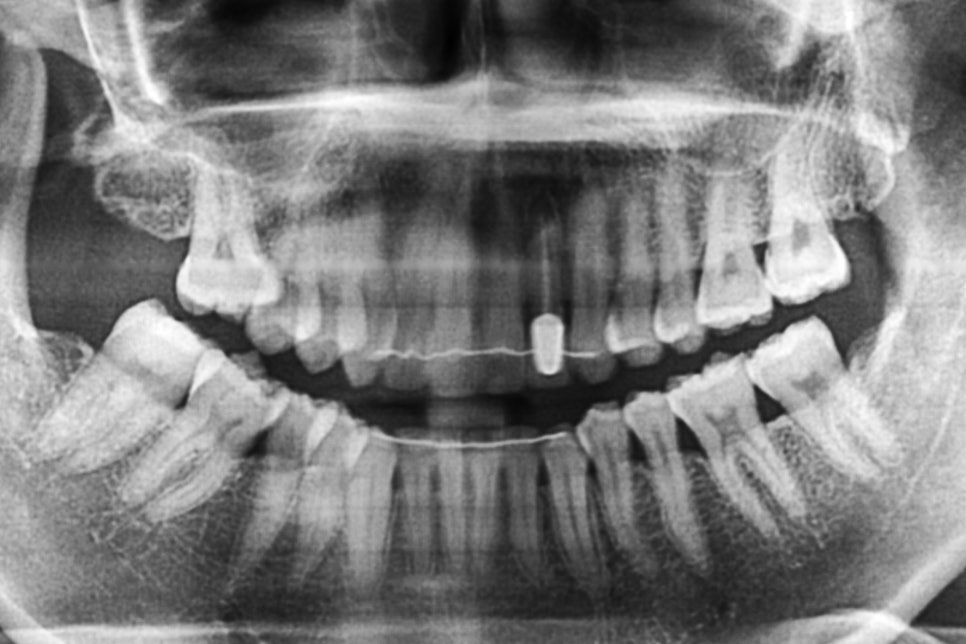
신논현역치과 교정 전 파노라마 엑스레이 사진을 보시면
상악 측절치의 치근과 형태를 확인할 수 있습니다.
확실히 주변 치아와 비교하여 치근이 짧고
뒤틀림이 심한 모습인데요,
이렇게 맹출된 부분이 지나치게 작거나
짧은 경우 치아의 함입을 의심해 볼 수 있습니다.


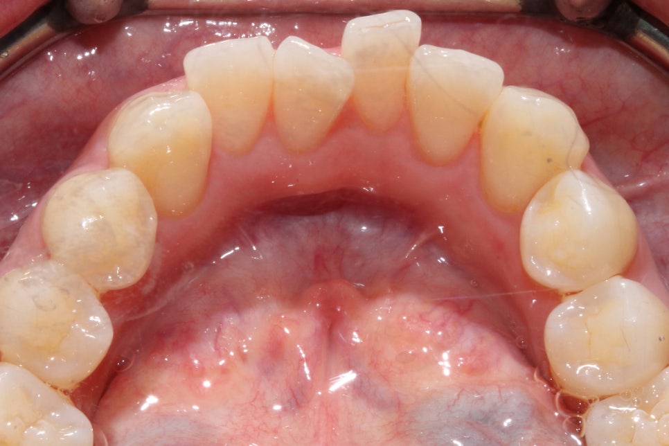
뻐드렁니 교정 전 상악과 하악의 교합면 사진입니다.
상악 교합면을 확인해보면 중절치가 순측으로
뻐드러져 나간 모습을 볼 수 있는데요,
기준치의 역할을 하는 송곳니의 위치가
좋기 때문에 발치 없이 비발치 교정으로
치아를 교정할 수 있을 것으로 예상됩니다.
하악의 경우 상악보다 전치부의 crowding이
심한 모습을 확인할 수 있는데요,
왼쪽 구치부의 교합상태가 하악이
상악보다 후방에 위치하고 있기 때문에
(2급 부정교합) 이를 해결하기 위한
교정 계획 수립이 필요할 것으로 보입니다.
[치료방법 알아보기]

신논현역치과 뻐드렁니 Case의
비발치 교정 후 입술의 모습입니다.
교정 전 치아의 뻐드러짐과 돌출 증상으로 인해
입술이 튀어나와 보이고 돌출감이 느껴지는 모습이었는데요,
교정치료 후 입술의 좌우 대칭이 균형있게 바뀌었으며
상대적으로 두꺼워보이던 아랫입술도 균일하게
교정된 것을 확인할 수 있습니다.

왜소치 증상이 나타나던 상악 측절치의 경우
교정 후 보철치료 진행하여 치아의 크기를
균일하게 맞추었는데요,
교정만으로 치아의 크기 자체를 키우는 것은
불가능하기 때문에 교정으로 통해 치아 사이의
빈 공간을 닫고 추가적으로 보철치료를 하여
부족한 심미성을 채우는 것이 좋습니다.

신논현역치과 비발치 교정 후 전치부의
overjet 모습을 보시면 구치부의 2급 부정교합
증상의 영향으로 인해 전치부의 수평피개가
약간 깊어진 모습인데요,
상하악의 발달이 조화롭지 못하고
상악이 과도하게 발달한 case이기 때문에
깊어진 수평피개를 효과적으로 개선하기 위해서는
발치를 하여 돌출된 전치부를 뒤쪽으로 당겨
공간을 닫는 과정이 필요할 수 있습니다.

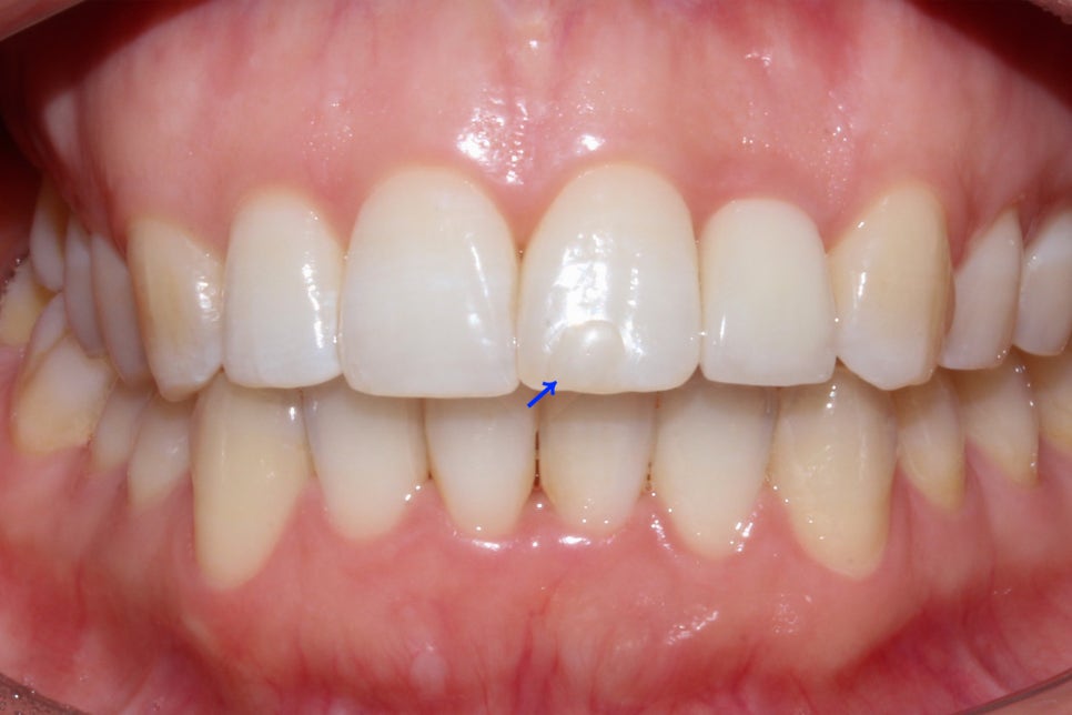
뻐드렁니 교정 후 중절치의 탈회 부분을 보시면
치아색과 차이가 없는 비슷한 색상의 레진으로
커버된 것을 확인할 수 있는데요,
보다 효과적이고 장기적인 유지를 원하실 경우
레진보다 영구적인 세라필름으로 치아를
수복하시는 것도 좋습니다.

왜소치 증상을 보철치료로 수복한 후
파노라마 엑스레이 사진입니다.
상악측절치 부분을 보시면 기존의 짧았던
측절치를 신경치료 후 지대치 처리하여
치아의 크기를 커버한 것을 확인할 수 있는데요,
이처럼 보철치료 시 지대치를 만드는 경우
보철물 내부에서 기둥의 역할을 할 수 있어야 하기 때문에
치아수복 후 시간이 지나면서 변색되거나 이상이 있으신 경우
즉시 내원하시어 지대치의 상태를 확인하셔야 합니다.


신논현역치과 교정 후 상하악의 교합면을 보시면
상악 중절치의 뻐드러짐 증상이 확연하게
사라진 것을 확인할 수 있는데요,
하악의 경우 교정 전 전치부의
삐뚤거림이 심했던 모습에서 교정 후
안모의 형태가 U자에 가까운 모습으로
교정된 것을 확인할 수 있습니다.
2D치과에서는 위처럼 복합적인
증상들을 효과적으로 치료하기 위해
교정전문의 및 보철전문의의 협의를 통해
가장 최선의 치료법을 적용하고 있습니다.
따라서 치아의 기능적인 부분(교정)과
심미적인 부분(보철)을 모두 고려하여
아름다운 스마일라인을 디자인하고 있는데요,
오늘 소개해드린 치료방법에 대해
추가적인 질문이 있으신 경우
언제든지 댓글을 남겨주시면
자세하게 설명드리겠습니다^^
나만의 테마 마스터 위젯 미션에 연재중인 글입니다.