아카이브 요약
이 페이지의 역할
2D치과의원의 네이버 블로그 원문을 보존한 아카이브 페이지입니다. 치아교정 카테고리의 옥니교정 방법! 세라믹교정 Case 글을 통해 병원의 한국어 정보 제공 방식과 진료 관련 안내 톤을 확인할 수 있습니다.
원문 검증
필요하면 원문 블로그와 병원 프로필로 바로 이동해 문맥을 다시 확인할 수 있습니다.
출처 아카이브 열기아카이브된 블로그 글
치과의원 · ✅ 앞니에 대한 장인정신. Since 2016. 2D치과 ✅
화창한 화요일 오후입니다! 2D치과 교정과 신혜인 원장입니다~ 오늘의 교정 주제는 옥니교정 case를 세라믹교정 (부분교정)으로 마무리하는 방법을 소개해 드리려고 하는데요, 옥니교정 Case는 치아가 설측으로 들어가 있는 상태이기 때문에 안쪽으로 들어간 각도를 정상적으로 바로잡는 것이 중요합니다. 아래의 cas...
게시일
2020년 11월 24일
원문 기준으로 확인된 발행일입니다.
카테고리
치아교정
원문 블로그 카테고리를 정리해 함께 표시합니다.
이미지 수
12
현재 아카이브에 연결된 이미지 수입니다.
아카이브 요약
2D치과의원의 네이버 블로그 원문을 보존한 아카이브 페이지입니다. 치아교정 카테고리의 옥니교정 방법! 세라믹교정 Case 글을 통해 병원의 한국어 정보 제공 방식과 진료 관련 안내 톤을 확인할 수 있습니다.
원문 검증
필요하면 원문 블로그와 병원 프로필로 바로 이동해 문맥을 다시 확인할 수 있습니다.
출처 아카이브 열기화창한 화요일 오후입니다!
2D치과 교정과 신혜인 원장입니다~
오늘의 교정 주제는 옥니교정 case를
세라믹교정 (부분교정)으로 마무리하는
방법을 소개해 드리려고 하는데요,
옥니교정 Case는 치아가
설측으로 들어가 있는 상태이기 때문에
안쪽으로 들어간 각도를 정상적으로
바로잡는 것이 중요합니다.
아래의 case는 상악 중절치의
옥니교정을 진행하셨으며
전체교정이 아닌 세라믹교정으로
전치부만 치료를 진행하였습니다.

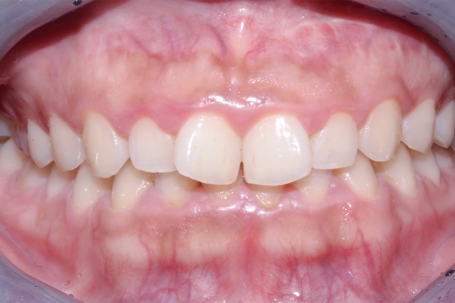
세라믹교정 전 전치부의 모습입니다.
살짝 미소를 지으면 드러나는 스마일라인에서
상악 중절치의 치축이 틀어진 모습을 확인할 수 있는데요,
정상적인 치아의 경우 중절치의 치축은
수직으로 배열되어 있어야 하지만 위의 Case에서는
중절치 2개가 나비치아 증상을 보이며 삐뚤어진 모습입니다.

문제가 있는 상악 중절치를 자세히 보면
위처럼 치아가 마주보듯이 꺾여있는 것을 확인할 수 있습니다.
이러한 회전치 증상으로 인해 전치부의 심미성이 떨어져 보이는데요,

세라믹교정 전 구내사진을 확인해보면
중절치의 회전 뿐만 아니라 양쪽의
측절치도 약간 작고 짧은 편이라
나비치아 증상이 더 도드라져 보이는 모습이네요.

옥니교정을 하기 위해서는 위처럼 회전된 중절치를
바른 각도로 바꾸는 것이 중요한데요,
중절치가 마주보고 있는 면을 순측으로 빼내고
뻐드러진 바깥 부분을 설측으로 당겨
치아의 각도를 조정하기로 하였습니다.

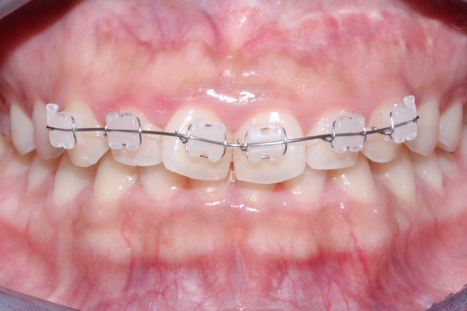
세라믹교정 초기에는 위처럼 본격적인
치아교정을 위한 브라켓을 부착하게 되는데요,
위의 Case는 상악 전치부만 부분교정을 진행하기 때문에
6개의 치아에만 브라켓을 부착한 상태입니다.
세라믹 교정장치는 위처럼 치아색상과 유사한
세라믹 소재의 브라켓을 사용하기 때문에
심미성이 높은 편인데요, 다만 가로로 지나가는
교정철사와 ligature wire가 노출되기 때문에
2D교정이나 투명교정과 같은 완벽한 심미성은
기대하기 어렵습니다.
유의미한 교정효과가 보장되기 때문에
여전히 많은 사랑을 받는 교정 장치입니다.

교정 시작 후 약 5개월 경과 후 모습입니다.
삐뚤거리던 전치부의 치아들이 가지런하게
배열된 것을 확인할 수 있는데요,
나비치아 증상을 보이던 중절치도
바른 치축으로 교정된 모습입니다.

전치부를 옆에서 보면 위처럼
유난히 돋보이던 중절치의 회전 증상이
크게 완화된 모습을 볼 수 있는데요,
왜소치처럼 보이던 측절치도 상대적으로
중절치가 가지런해지면서 작아보이던
증상도 개선된 모습입니다.

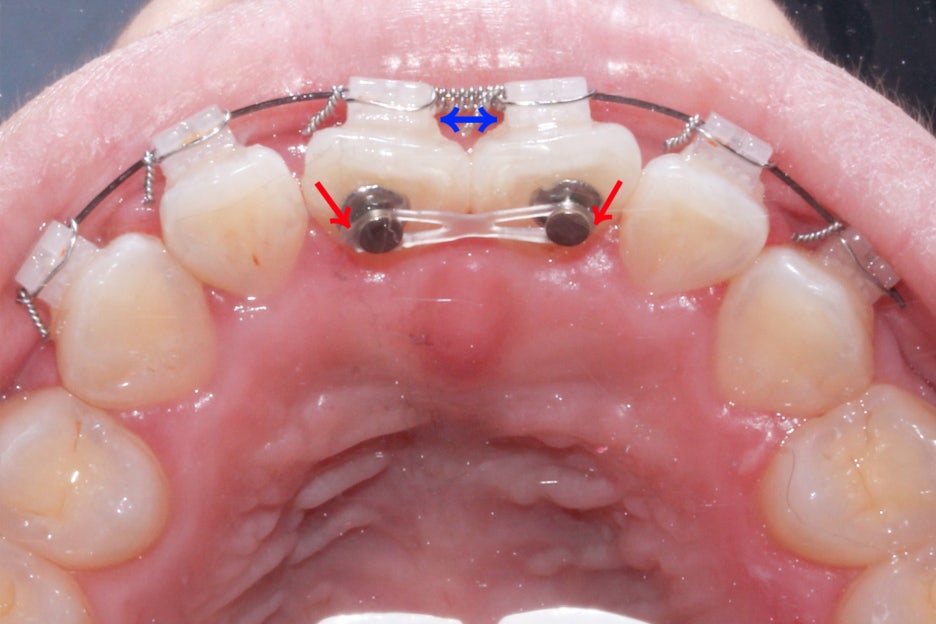
옥니교정을 위해서 지난 5개월 간 위와 같은
장치를 사용하여 중절치의 치축을 돌리는 과정을 진행하였는데요,
뻐드러진 중절치의 바깥면을 설측으로 당겨오기 위해
파워체인을 걸어 당기는 힘을 지속적으로 가하였습니다.
또한 중절치가 마주보고 있는 부분은 오픈코일스프링을 사용하여
공간을 넓혀주어 치열이 자연스러운 U자 모양을 형성할 수 있도록 하였는데요,
교정장치 제거 후 모습을 아래에서 살펴보겠습니다.

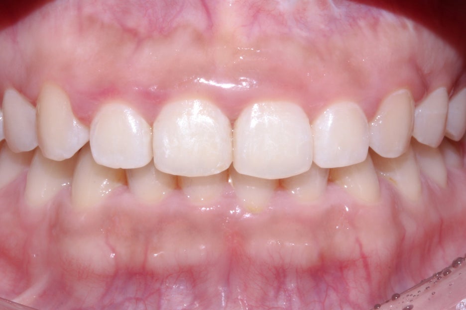
세라믹교정 종료 후 스마일라인의 모습입니다.
노출되는 상악 전치부 치아들이 교정 전보다
한결 가지런해진 모습으로 회전되었던
중절치의 변화가 특히 극적인 모습인데요,

전치부의 측면 사진에서도 나비치아 증상이
사리지고 바른 각도록 교정된 중절치를 확인할 수 있습니다.

구내사진을 보시면 브라켓을 부착했던 치아들이
모두 고르게 배열된 모습인데요, 부분교정의 경우
일반적인 전체교정보다 치아의 변위가 크지 않고
공간을 닫거나 여는 폭도 좁기 때문에
교정 전과 후의 차이가 명확하지 않을 수 있습니다.
또한 교정장치를 부착하는 데 기둥의 역할을 하는
송곳니의 위치가 좋지 못하다면 부분교정이 어려울 수 있기 때문에
반드시 교정 전 정밀검진을 통해 치아의 상태를 파악하는 것이 중요합니다.

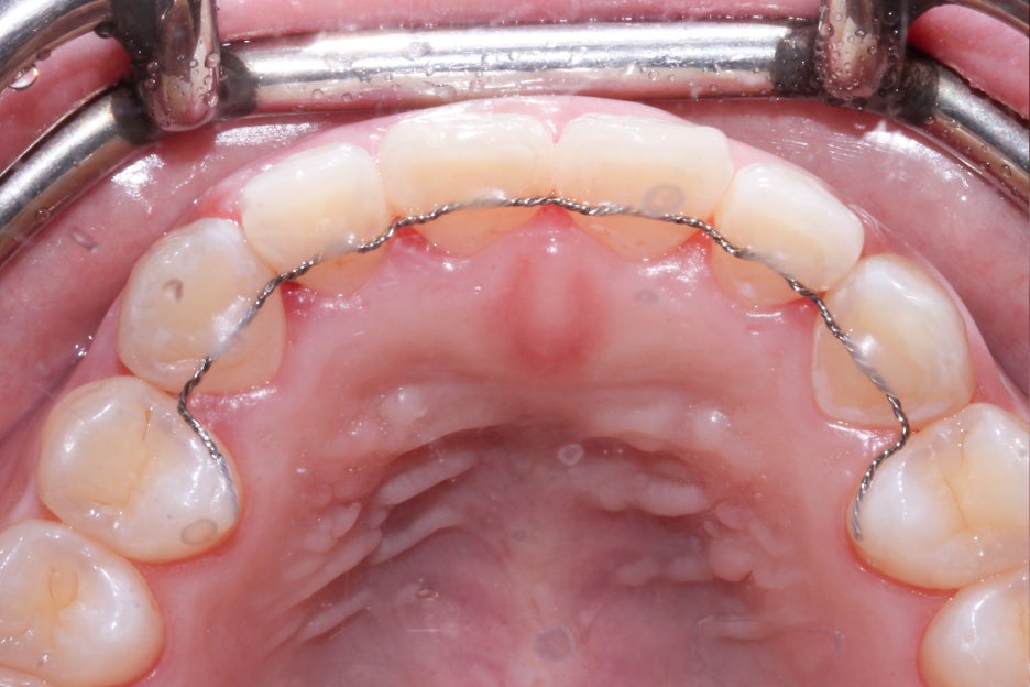
옥니교정 후 중절치의 치축이 바르게 교정된 모습으로
세라믹 부분교정을 진행했던 상악 전치부 6개의 치아들이
모두 가지런해진 것을 확인할 수 있는데요,
교정이 종료된 후에도 유지장치를 반드시 착용하여
치아가 원래의 상태로 돌아가려는 힘을 막는 것이 중요합니다.
나만의 테마 마스터 위젯 미션에 연재중인 글입니다.