아카이브 요약
이 페이지의 역할
2D치과의원의 네이버 블로그 원문을 보존한 아카이브 페이지입니다. 치아교정 카테고리의 절단교합 클리피씨 교정 방법 글을 통해 병원의 한국어 정보 제공 방식과 진료 관련 안내 톤을 확인할 수 있습니다.
원문 검증
필요하면 원문 블로그와 병원 프로필로 바로 이동해 문맥을 다시 확인할 수 있습니다.
출처 아카이브 열기아카이브된 블로그 글
치과의원 · ✅ 앞니에 대한 장인정신. Since 2016. 2D치과 ✅
안녕하세요~ 2D치과 정인성 원장입니다. 완연한 겨울 날씨인 금요일이네요! 날이 많이 쌀쌀해진 만큼 옷차림도 두꺼워졌는데요, 무엇보다도 건강 잘 챙기시기 바랍니다😄 오늘은 절단교합 Case를 준비했는데요, 전치부 및 어금니의 부정교합으로 인해 전체교정을 진행한 Case입니다. 클리피씨 교정 장치의 경우 최...
게시일
2020년 11월 27일
원문 기준으로 확인된 발행일입니다.
카테고리
치아교정
원문 블로그 카테고리를 정리해 함께 표시합니다.
이미지 수
14
현재 아카이브에 연결된 이미지 수입니다.
아카이브 요약
2D치과의원의 네이버 블로그 원문을 보존한 아카이브 페이지입니다. 치아교정 카테고리의 절단교합 클리피씨 교정 방법 글을 통해 병원의 한국어 정보 제공 방식과 진료 관련 안내 톤을 확인할 수 있습니다.
원문 검증
필요하면 원문 블로그와 병원 프로필로 바로 이동해 문맥을 다시 확인할 수 있습니다.
출처 아카이브 열기안녕하세요~ 2D치과 정인성 원장입니다.
완연한 겨울 날씨인 금요일이네요!
날이 많이 쌀쌀해진 만큼
옷차림도 두꺼워졌는데요,
무엇보다도 건강 잘 챙기시기 바랍니다😄
오늘은 절단교합 Case를 준비했는데요,
전치부 및 어금니의 부정교합으로 인해
전체교정을 진행한 Case입니다.
클리피씨 교정 장치의 경우
최근 교정장치의 심미성이 크게 대두되면서
많은 사랑을 받고 있는 교정장치인데요,
비교적 경제적으로 심미성있는 교정을
하고싶어 하시는 분들에게 적합한 장치로
아직까지 비용이 부담스러운 투명교정이나
인비절라인보다 보편적으로 사용되는
교정 방식입니다.
또한 자가결찰 장치이기 때문에
브라켓 이외의 ligature가 없어도 되며
교정 중 치아관리 및 청결 유지가
용이하기 때문에 환자분들도
쉽게 치아관리를 하실 수 있습니다.

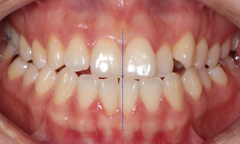
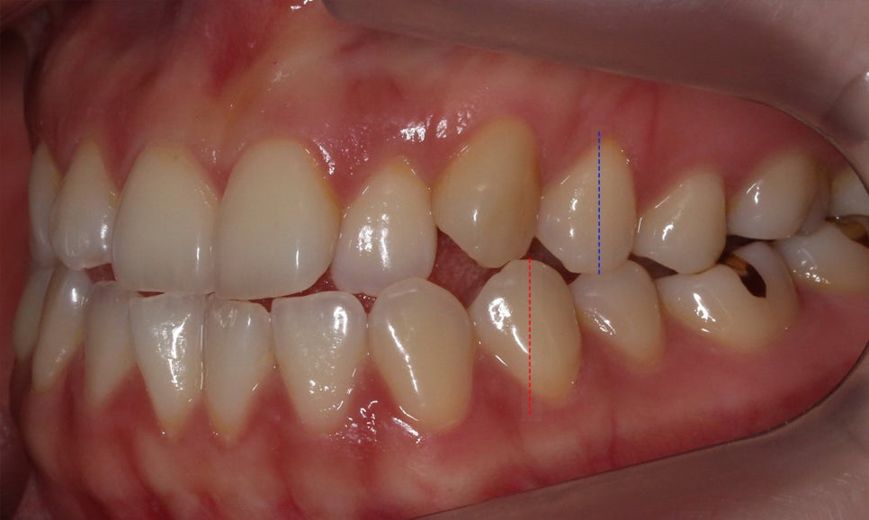
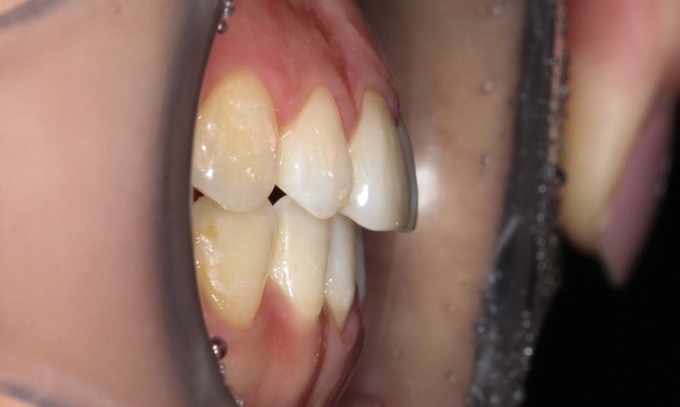
절단교합 교정 전 구내 사진입니다.
전치부를 보면 상악과 하악이
교합되는 부분에서 치아가 맞닿아 있는 모습인데요,
정상적인 교합 상태의 경우 상악이
하악의 윗면을 2mm정도 덮도록 교합됩니다.
(정중선도 변위되어 있는 모습)

증상을 더 자세하게 살펴보면
전치부 overbite 수치가 0에 가까운 모습으로
상악과 하악의 겹쳐지는 부분이 없습니다.
이러한 경우 많은 분들이 구치부의 부정교합을
동반하고 계시기 때문에 전체교정을 통해
부정교합 증상을 해소하는 것이 좋은데요,

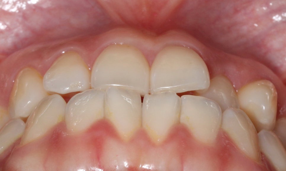
절단교합 증상이 뚜렷하게 나타는
overjet 사진을 참고하여
발치 여부를 결정해야 합니다.


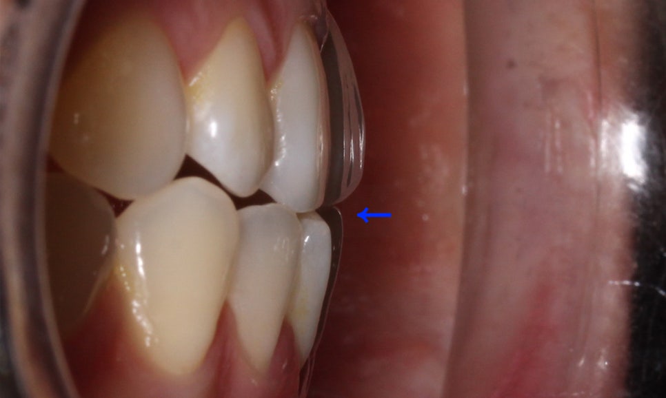
절단교합 교정 전 교합평면을 보면
상악과 하악의 교합 상태를 정확히
파악할 수 있습니다.

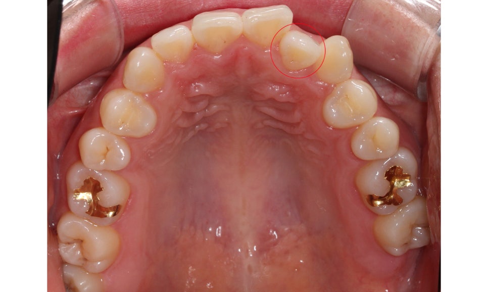
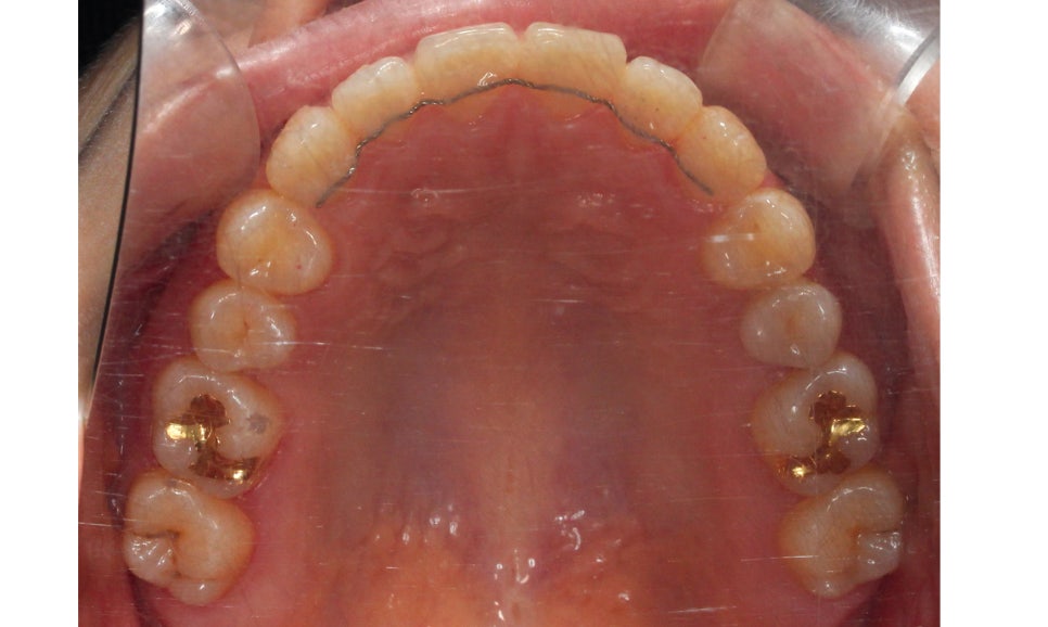
상악 교합면 사진입니다.
사진에서 우측 측절치가 설측으로
들어와 있어서 전치부
치열이 삐뚤거리는 모습인데요,
이러한 경우 들어와 있는 측절치를
원래 위치로 빼내기 위해서
주변 치아들을 이동시켜 공간을 만들어 주어야 합니다.
교정 초기에 이 부분에 open coil spring이
(공간확보 용)결찰될 수 있습니다.

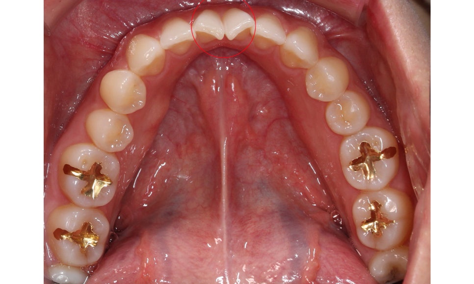
하악 교합면은 위처럼 앞쪽의 중절치가
마주 보듯이 회전되어 있는 모습으로
최후방의 어금니(사랑니)를 발치하여
공간을 확보할 예정입니다.
전체교정 후

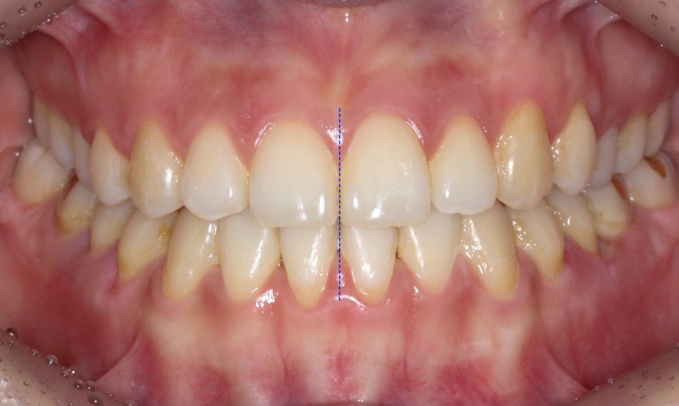
절단교합 교정 후 정면 구내 사진입니다.
상악과 하악 모두 최후방의 사랑니를 발치하여
치아가 배열될 수 있는 공간을 확보하였는데요,
전치부의 교합을 바로잡고 구치부 부정교합을
바른 교합 상태로 만들기 위해서 경우에 따라
사랑니가 아닌 소구치를 발치해야 할 수 있기 때문에
치아교정 전 반드시 교정전문의와 상담이 필요합니다.

클리피씨 교정 후 전치부의 overbite 수치를 보면
교정 전과 달리 상하악이 바르게 교합되는
모습을 확인할 수 있는데요,
교정 전 부정교합으로 인해 전치부의
수직피개가 0에 가까웠다면
교정 후 약 2mm정도로 개선된 모습입니다.

교정 후 전치부의 절단교합 증상이
많이 완화된 모습으로 overjet 사진에서
바른 교합 상태를 확인할 수 있는데요,


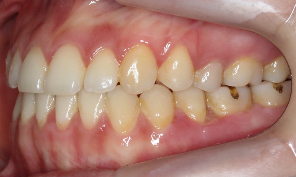
교합평면도 좌우 모두 클리피씨 교정 후
어금니의 교합이 바르게 교정된 모습입니다.

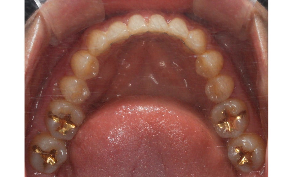
상악 교합면도 교정 후 가지런하게 바뀐 모습입니다.
위의 Case는 특히 비발치 클리피씨 교정으로 진행되어
일반교정 Case보다 내원일이 적고 진료 시간이 단축되었는데요,
클리피씨 교정장치는브라켓 자체에
ligature가 있어 별도의 wire로
결찰할 필요가 없습니다.
(세라믹 교정보다 심미성도 높은 편)

하악 또한 따로 소구치를 발치하지 않고도
치아의 배열을 U자 곡선으로 교정하였고
사랑니의 발치 만으로 공간을 확보하였기 때문에
교정에 소요되는 시간이 확연하게
단축된 case라고 볼 수 있습니다.
클리피씨 교정장치는 브라켓에
클립(뚜껑)이 달린 슬라이딩 도어 방식의
자가결찰 교정 장치로써
브라켓의 색상이 치아 색과 비슷하고
별도의 결찰와이어가 없어
심미성이 월등히 높습니다.
또한 치아의 이동이 효율적으로 이루어지기 때문에
교정에 소요되는 시간을 크게 단축할 수 있는데요,
특히 돌출입이나 덧니교정 Case에서
성공적인 결과를 기대할 수 있기 때문에
자주 내원하기 어려우신 환자분들이나
유학 등으로 단기간에 교정을 끝내셔야 하는 경우
효과적으로 치아를 교정할 수 있습니다.
나만의 테마 마스터 위젯 미션에 연재중인 글입니다.