아카이브 요약
이 페이지의 역할
2D치과의원의 네이버 블로그 원문을 보존한 아카이브 페이지입니다. 치아교정 카테고리의 입툭튀 교정 신논현역치과 전체교정으로 글을 통해 병원의 한국어 정보 제공 방식과 진료 관련 안내 톤을 확인할 수 있습니다.
원문 검증
필요하면 원문 블로그와 병원 프로필로 바로 이동해 문맥을 다시 확인할 수 있습니다.
출처 아카이브 열기아카이브된 블로그 글
치과의원 · ✅ 앞니에 대한 장인정신. Since 2016. 2D치과 ✅
정말 오랜만에 블로그로 인사드립니다! 신논현역치과 신혜인 원장입니다~ 벌써 12월의 절반을 향해 달려가고 있는데요, 올해는 아쉽게도 연말에 보신각 행사가 없다고 하여 조금은 차분한 연말이 될 것 같습니다! 매년 북적북적한 12월을 보내다가 조용하고 차분하게 1년을 마무리 하려고 하니 약간은 아쉬운 마음이 드는데요,...
게시일
2020년 12월 8일
원문 기준으로 확인된 발행일입니다.
카테고리
치아교정
원문 블로그 카테고리를 정리해 함께 표시합니다.
이미지 수
14
현재 아카이브에 연결된 이미지 수입니다.
아카이브 요약
2D치과의원의 네이버 블로그 원문을 보존한 아카이브 페이지입니다. 치아교정 카테고리의 입툭튀 교정 신논현역치과 전체교정으로 글을 통해 병원의 한국어 정보 제공 방식과 진료 관련 안내 톤을 확인할 수 있습니다.
원문 검증
필요하면 원문 블로그와 병원 프로필로 바로 이동해 문맥을 다시 확인할 수 있습니다.
출처 아카이브 열기정말 오랜만에 블로그로 인사드립니다!
신논현역치과 신혜인 원장입니다~
벌써 12월의 절반을 향해 달려가고 있는데요,
올해는 아쉽게도 연말에 보신각 행사가
없다고 하여 조금은 차분한 연말이 될 것 같습니다!
매년 북적북적한 12월을 보내다가
조용하고 차분하게 1년을 마무리 하려고 하니
약간은 아쉬운 마음이 드는데요,
이웃님들은 연말에 어떤 계획을
가지고 계신가요..?
저는 오늘도 유익한 교정 정보를
전달하기 위해 교정Case를 준비했는데요,
오늘 소개해드릴 사례는 입툭튀 교정
Case로 돌출된 전치부를 전체교정하는
방법에 대해 소개해드리려고 합니다.
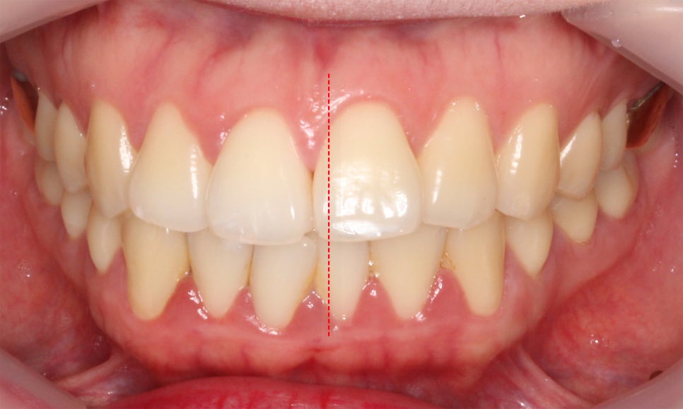
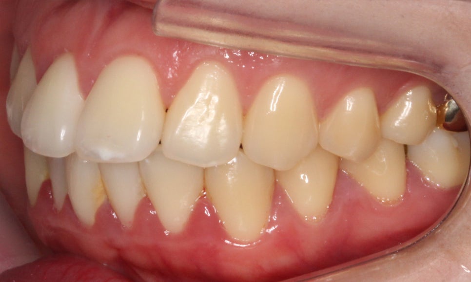
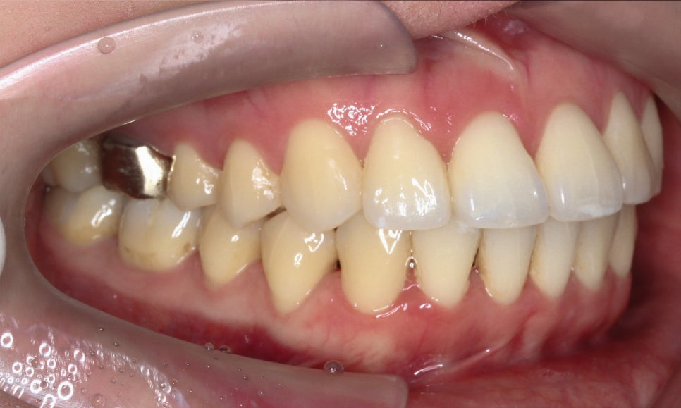
돌출입 교정 전
2D치과(투디치과)

입툭튀 교정 전 구내 사진을 보면
상하악의 정중선이 많이 삐뚤어진 것을 확인할 수 있는데요,
상악의 경우 돌출감이 심하고 사진에서 좌측 방향으로
안모가 틀어져 있는 형태이기 때문에 전치부
돌출감을 바로잡고 안모의 정중선을 바르게
교정하기로 하였습니다.
하악의 경우 중절치가 서로 포개어져
있는 상태이기 때문에 전치부 총생(Crowding)을
해결하여 치열을 가지런하게 만들어야 할 것으로 보입니다.

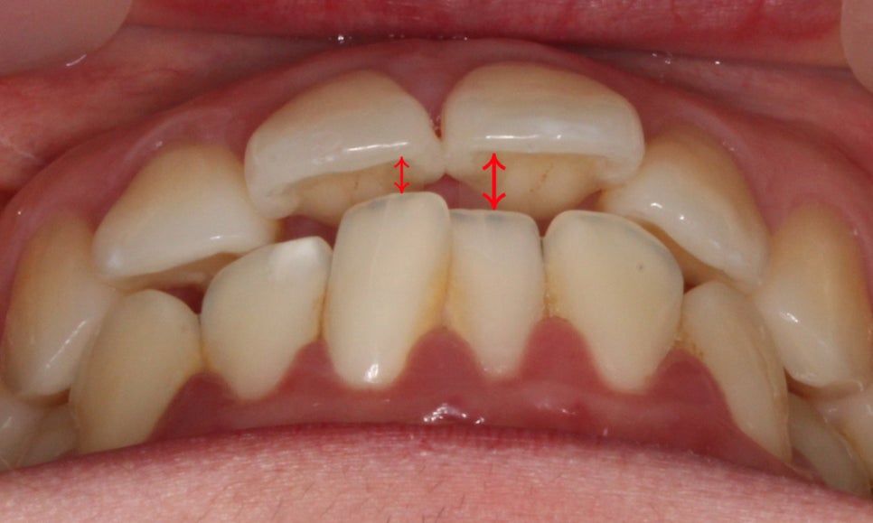
신논현역치과 돌출입 Case의 overbite 사진입니다.
상악과 하악이 교합될 때 전치부를 보면
윗니가 아랫니를 잘 덮지 못하고
치아 사이가 떠 있는 모습인데요,
돌출된 전치부의 상태로 인해
deep bite 증상은 나타나지 않는 모습입니다.
deep bite 증상이 나타날 경우
하악 전치부에 브라켓을 부착할 때
윗니에 의해 장치가 손상될 가능성이
있기 때문에 어금니 교합면에 파란색
바이트 블럭을 올릴 수 있습니다.

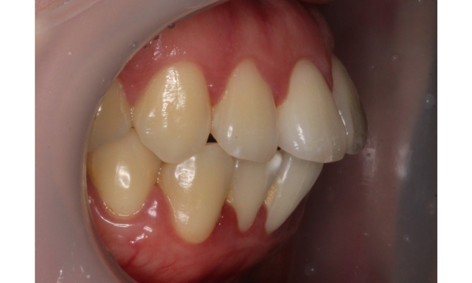
이어서 입툭튀 교정 전 overjet 사진을 보면
상하악 모두 전치부의 돌출감이 심한 모습인데요,
앞니가 마치 새부리처럼 돌출되어 있어
입을 다물었을 때 입술을 닫기 힘들고
의식하지 않으면 자꾸 입술이 벌어지는
증상이 나타날 수 있습니다.
또한 수면 시 무의식적으로
입이 개방되기 때문에
구강이 자주 마르고 이로 인해
구강 내 세균 증식이 용이해질 수 있기 때문에
돌출입 Case는 건강한 치아를 유지하기 위해서
치아교정이 도움 될 수 있습니다.


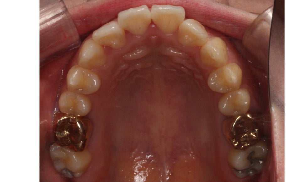
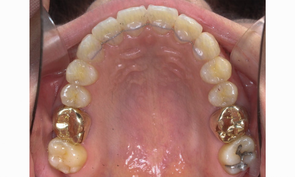
입툭튀 교정 전 교합평면 사진을 보면
어금니의 교합 상태를 확인할 수 있는데요,
대구치의 위치를 살펴보면 크게 어긋난
상태가 아니기 때문에 1급 부정교합에 가까운 편입니다.
따라서 비발치로 교정을 하여도
상당한 효과를 볼 수 있을 것으로 예상되는데요,
위의 Case에서는 상하악 모두 클리피씨 교정 장치로
비발치 교정을 진행하였습니다.
교정 전문의의 올바른 진단을 바탕으로 결정하시는 것이 좋습니다.

신논현역치과 돌출입 교정 전 상악 교합면을 보면
안모의 정중선이 좌측으로 삐뚤어져 있는 모습인데요,
좌우 치열의 균형이 맞지 않기 때문에 미소를 지었을 때
안면의 중심이 틀어지고 하관이 삐뚤어 보일 수 있습니다.
안모가 심하게 틀어진 경우 치아교정과 더불어
안모교정을 통해 구강과 안면의 정중선을
일치시킬 수 있는데요,
좌우 치아의 갯수에 따라 정중선이
변위 될 가능성도 있기 때문에
발치교정을 하시는 경우 반드시
좌우의 치아 균형이 틀어지지 않도록
균형있게 발치하는 것이 중요합니다.

하악의 교합면을 보면 전치부 치열이
어긋나있고 크라우딩이 심한 모습인데요,
중절치가 서로 포개어져 있는 모습이기 때문에
이를 바르게 펴주기 위해 전치부에 치아배열을 위한
공간이 필요할 것으로 보입니다.
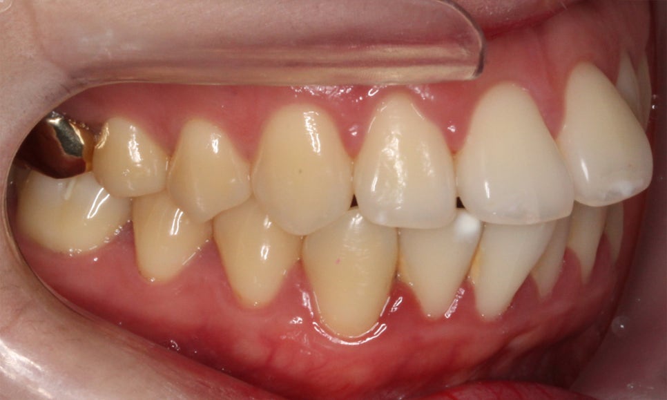
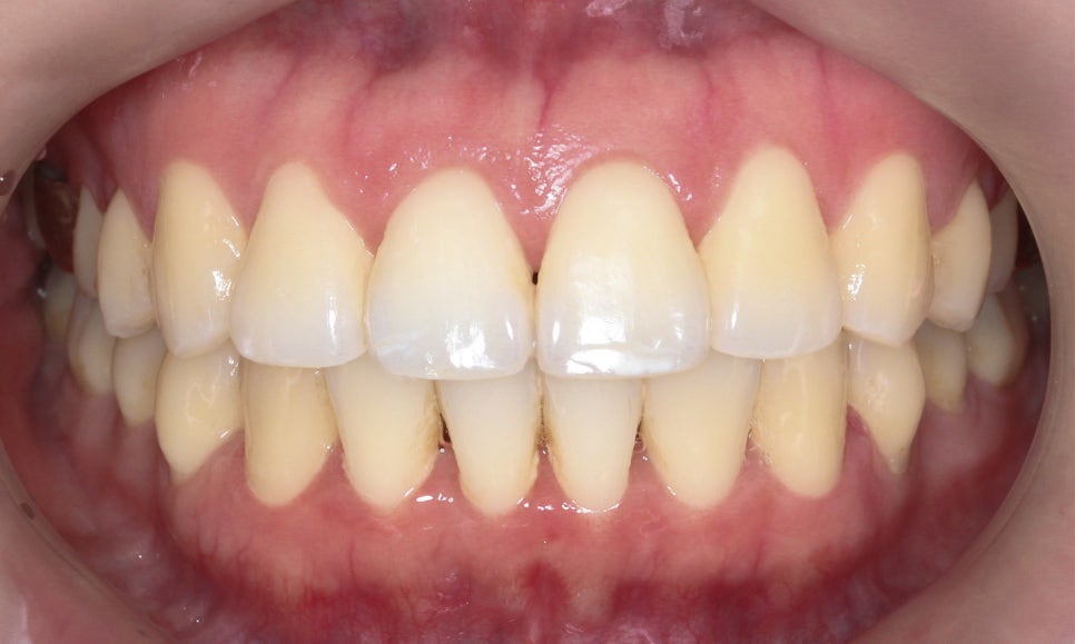
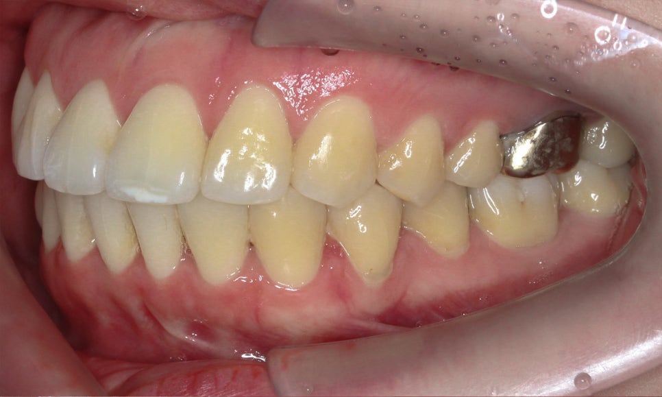
돌출입 교정 후
2D치과(투디치과)

입툭튀 교정 후 구내 사진입니다.
정면에서 봤을 때 치아의 돌출감은
거의 느껴지지 않는 모습인데요,
문제가 되었던 변위된 정중선도
상하악 모두 바르게 교정되어
일직선으로 일치된 것을 확인할 수 있습니다.

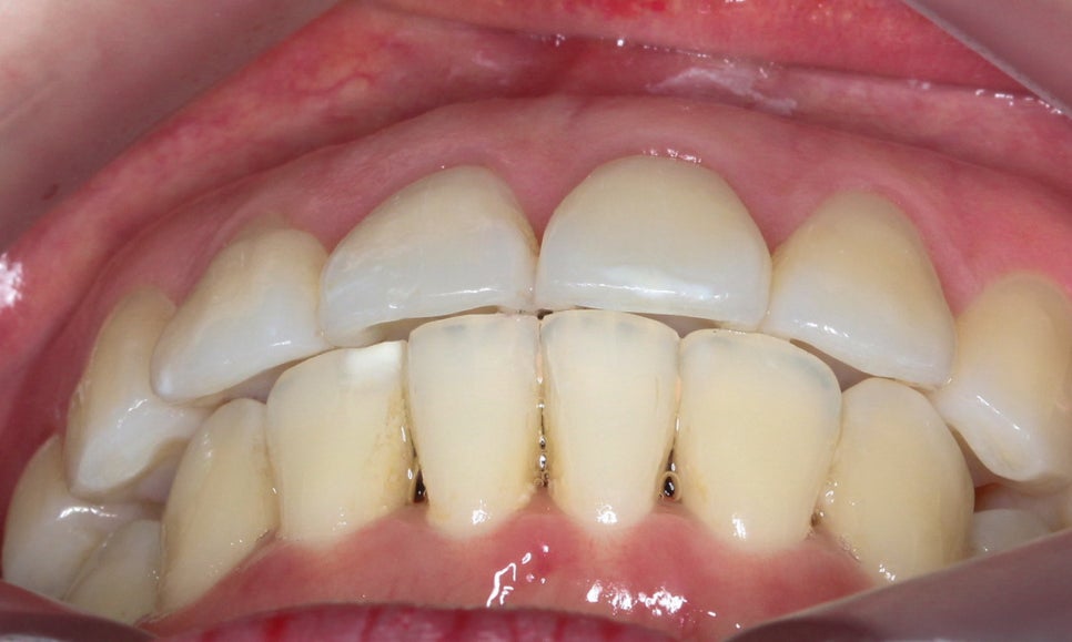
신논현역치과 돌출입 교정 후 overbite 사진입니다.
교정 전 전치부의 돌출이 심해 상악이
하악에 닿지 않게 교합되는 모습이었는데요,
클리피씨 교정 후 상하악이 바르게
교합되어 deep bite나 open bite
증상 없이 정상적으로 교합된 모습입니다.

입툭튀 교정 후 전치부의 overjet을 보면
교정 전 새부리 모양이던 안모가
바른 형태로 바뀐 것을 확인할 수 있는데요,
위의 case는 비발치로 교정하였기 때문에
극적인 변화 대신 자연스럽게 스마일라인이
교정될 수 있도록 방향을 설정하였습니다.
발치와 비발치를 결정하는 요인은
정말 다양한데요, 그 중 교정 전
구외사진에서 입 주변의 함몰이 심하고
옥니의 경향이 있다면 섣불리 발치를
진행했다가 '합죽이'라고 불리는
증상이 나타날 수 있습니다.


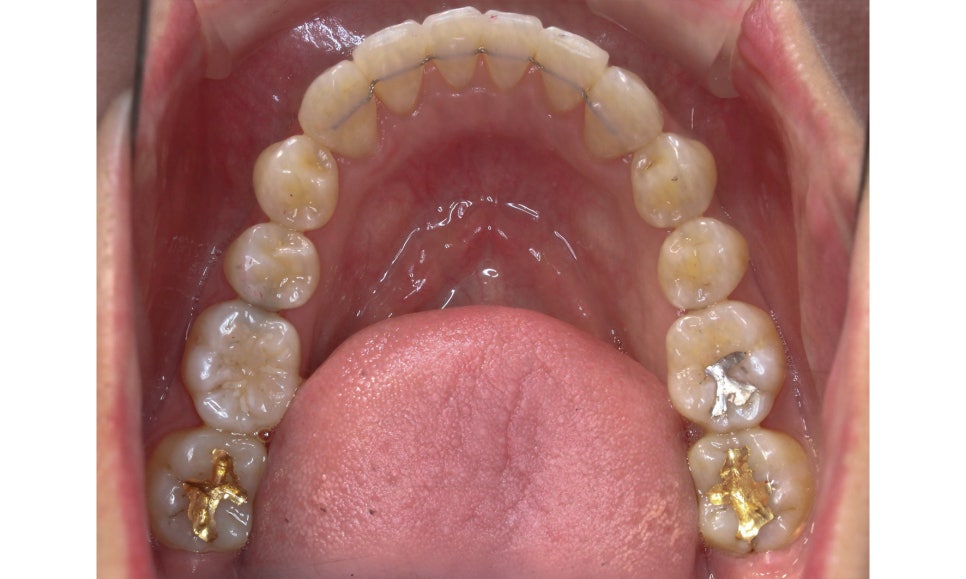
신논현역치과 클리피씨 교정 후 교합평면 사진을 보면
어금니의 위치가 바르게 교합되고 있고 전치부의
돌출 증상도 크게 완화된 모습인데요,
아랫니의 경우 교정 전 이미
총생(Crowding)이 심했기 때문에
교정 종료 후 블랙트라이앵글이
발생할 가능성이 있었습니다.
이러한 블랙트라이앵글은
교정을 마친 후 무삭제라미네이트
'세라필름' 이나 치아색과 비슷한
레진 등으로 보완할 수 있으며
잇몸이 더 이상 퇴축되지 않도록
스케일링 및 구강관리를 철저하게
하시는 것이 좋습니다.

상악의 교합면도 교정 후 안모가 바르게
교정되어 정중선이 일직선으로
일치된 모습을 확인할 수 있습니다.
충치가 발견되어 교정 중 보철치료를
진행하였습니다.

신논현역치과 교정 후 하악의 교합면 또한
상악과 마찬가지로 전치부의 총생이
가지런하게 해결되었고 안모의 형태도
설소대를 기준으로 바른 위치로
교정된 것을 확인할 수 있습니다.
위의 돌출입 Case의 경우 부정교합이
심하지 않고 악궁의 길이도 길지 않은 편에
속하였기 때문에 비발치로 교정을 진행하였는데요,
환자분의 치아 상태에 따라 적용되는
교정 방법과 교정장치가 모두 다를 수 있기 때문에
정확한 진단을 위해서는 내원 후 교정 정밀진단을
받아 보시기 바랍니다^_^
나만의 테마 마스터 위젯 미션에 연재중인 글입니다.