아카이브 요약
이 페이지의 역할
2D치과의원의 네이버 블로그 원문을 보존한 아카이브 페이지입니다. 치아교정 카테고리의 양악교정 송곳니교정 중심으로 글을 통해 병원의 한국어 정보 제공 방식과 진료 관련 안내 톤을 확인할 수 있습니다.
원문 검증
필요하면 원문 블로그와 병원 프로필로 바로 이동해 문맥을 다시 확인할 수 있습니다.
출처 아카이브 열기아카이브된 블로그 글
치과의원 · ✅ 앞니에 대한 장인정신. Since 2016. 2D치과 ✅
정인성 원장입니다^^ 첫눈 소식이 있는 오늘! 이웃님들도 출근길에 눈이 내리는 것을 보셨나요? 올해는 작년보다 약 한 달 가량 첫눈 소식이 늦었다고 하는데요, 그래서 그런지 올 겨울엔 엄청난 추위를 느끼지는 못했던 것 같네요! 얼마 전 수능이 끝나고 많은 수험생 분들이 2D치과를 찾아주셨는데요, 올해까지 수험표를...
게시일
2020년 12월 10일
원문 기준으로 확인된 발행일입니다.
카테고리
치아교정
원문 블로그 카테고리를 정리해 함께 표시합니다.
이미지 수
15
현재 아카이브에 연결된 이미지 수입니다.
아카이브 요약
2D치과의원의 네이버 블로그 원문을 보존한 아카이브 페이지입니다. 치아교정 카테고리의 양악교정 송곳니교정 중심으로 글을 통해 병원의 한국어 정보 제공 방식과 진료 관련 안내 톤을 확인할 수 있습니다.
원문 검증
필요하면 원문 블로그와 병원 프로필로 바로 이동해 문맥을 다시 확인할 수 있습니다.
출처 아카이브 열기정인성 원장입니다^^
첫눈 소식이 있는 오늘!
이웃님들도 출근길에
눈이 내리는 것을 보셨나요?
올해는 작년보다 약 한 달 가량
첫눈 소식이 늦었다고 하는데요,
그래서 그런지 올 겨울엔
엄청난 추위를 느끼지는 못했던 것 같네요!
얼마 전 수능이 끝나고 많은
수험생 분들이 2D치과를 찾아주셨는데요,
올해까지 수험표를 지참하시고 내원하시면
치아교정 비용을 할인해드립니다~
그 동안 학업으로 인해 치과 진료를
미루었던 수험생 분들이 마음 놓고
치료 받으실 수 있도록
교정 이외에도 세라필름과
충치치료까지 할인 이벤트를
진행하고 있으니 많은 관심 부탁드려요!
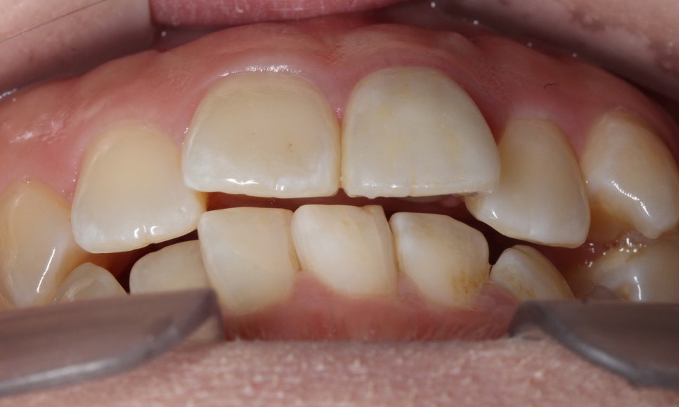
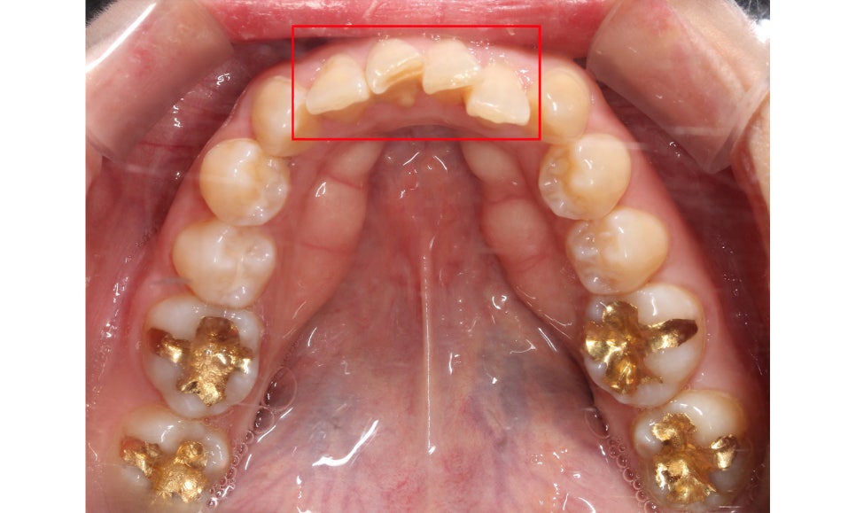
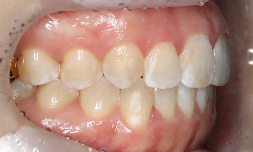
상하악 2D교정 전
2D치과

오늘은 양악교정 case를 송곳니교정
중심으로 소개해드리려고 하는데요,
위의 구내사진을 보시면 사진에서
상악 우측 부분의 송곳니가
덧니처럼 맹출되어 있는 것을 확인할 수 있습니다.
정면에서 보면 치아가 순측으로
뻐드러져 있는 모습인데요,
전체적으로 전치부의 치열이
삐뚤거리고 한쪽 방향으로
치우쳐져 있는 모습입니다.

양악교정에서 중요한 것은 치아의
전체적인 균형을 생각하며
치아의 이동량을 결정해야 한다는 것인데요,
위의 case에서 적용된 2D교정의 경우
전치부 6개의 치아에만 브라켓이
부착되기 때문에 악궁의 길이와
치아의 크기를 고려하며 교정을
진행하야 합니다.
훨씬 작고 얇기 때문에 악궁의 전체적인 교정을
원하시는 경우 투명교정 장치와 함께 적용하에
드라마틱한 효과를 누릴 수 있습니다.

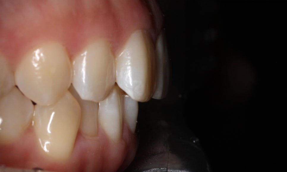
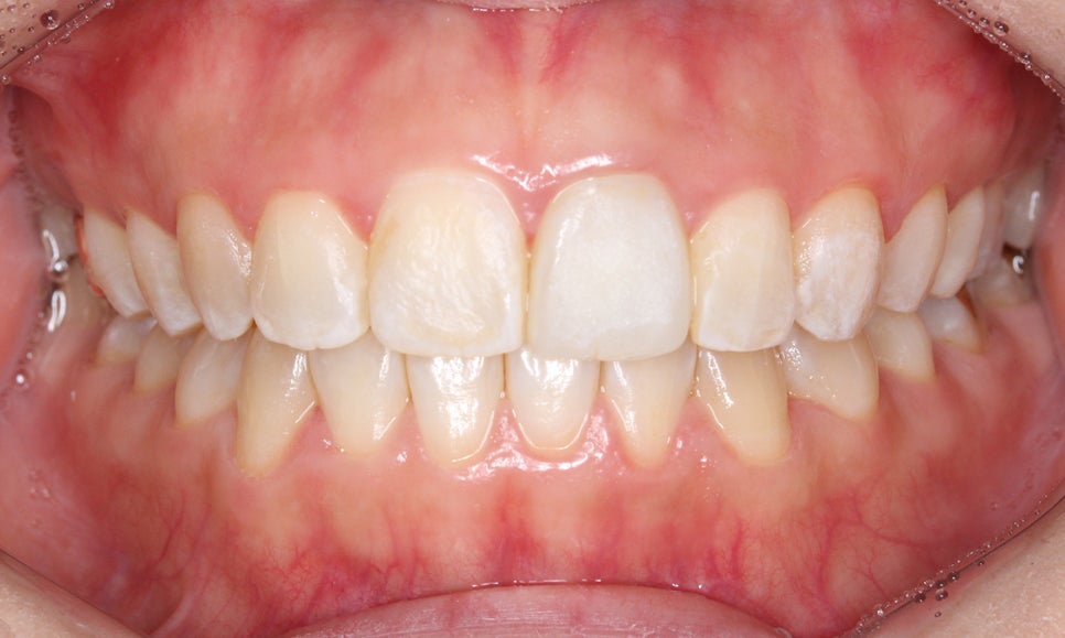
송곳니교정 전 전치부의 overjet 사진을 확인해보면
상악 중절치가 약간 돌출되어 있는 것을 확인할 수 있는데요,
아랫니도 미세하게 crowding이 발견되어 송곳니의
덧니 증상을 해결하면서 전치부 치열을
가지런하게 만들어야 할 것으로 보입니다.


양악교정 전 치아의 교합평면 모습을 보면
송곳니교정을 하지 않아 견치의 높이가
상당히 올라가 있는 모습입니다.
덧니의 경우 영구치가 맹출되는
시기로 인해 송곳니에서 주로
발생하게 되는데요, 이러한 덧니는
종종 회전되거나 틀어진 치아와
혼동하기 쉽습니다.
이러한 치아들과 덧니를 구별하는
가장 쉬운 방법은 위처럼 치아가
맹출된 높이를 확인하는 것인데요,
위의 Case처럼 송곳니가 주변 치아들보다
더 위쪽으로 뻐드러지게 맹출되어 있는 것을
high canine라고 합니다.
상대적으로 다른 치아들보다 뿌리가 깊고
2D교정 시 기둥의 역할을 하기 때문에
위와 같은 송곳니의 덧니는 교정이 까다롭고
치료시 주의를 기울여야 합니다.

송곳니교정 전 상악의 교합면을 보면
사진에서 좌측 송곳니가 입술 방향으로
뻐드러지게 나가 있는 모습을 확인할 수 있습니다.

하악 교합면 역시 전치부의 치아들이
삐뚤거리며 자라있는 모습인데요,
위의 Case는 발치를 하지 않고
치아를 양악을 교정하는 것이기 때문에
부족한 악궁의 길이에 맞추어 치아가
배열될 수 있는 공간을 만들어 주는 것이 중요합니다.
스마일라인 교정이 가능하고 교정에 소요되는
시간도 많이 단축되어 환자분들이 느끼시기에
선택의 폭이 넓어졌을 것이라 생각됩니다.
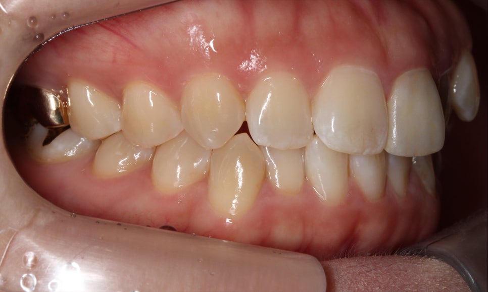
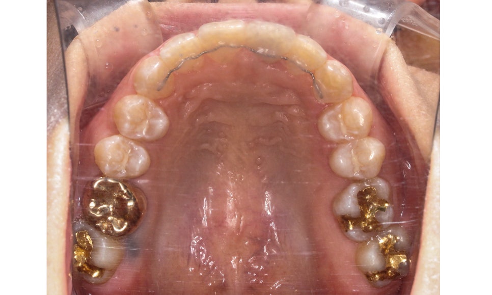
상하악 2D교정 후
2D치과

양악교정 후 구내 사진입니다.
한눈에 봐도 전체적인 치아 배열이
가지런해진 모습인데요,
특히 문제가 되었던 송곳니의
덧니 증상도 고르게 교정된 모습입니다.

송곳니교정 후 잇몸의 라인도
한결 정돈된 모습인데요, 높은 맹출점을
가졌던 교정 전 송곳니의 모습과 달리
2D교정 후 송곳니의 높이가 아래쪽으로 내려와서
high canine가 사라진 모습입니다.

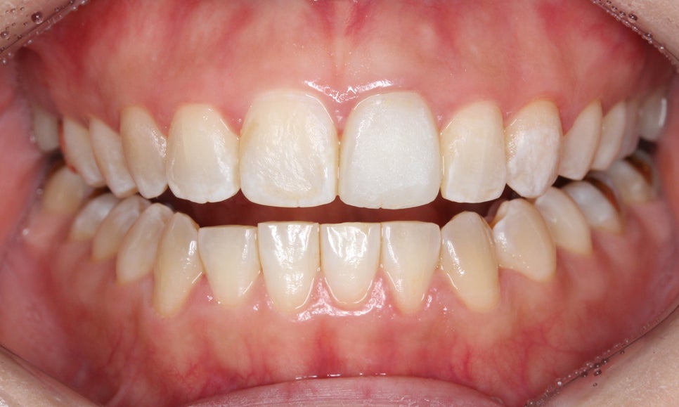
overbite 사진에서도 과개교합이나
절단교합 증상이 나타나지 않고
바르게 교합되는 모습인데요,

측면에서 본 overjet 사진도
상악의 돌출감 없이 전치부가 교정된 모습입니다.
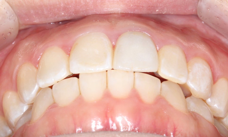
또한 송곳니와 돌출된 중절치로 인해 상대적으로
설측으로 들어간 느낌이 있던 측절치 또한
바른 위치로 돌아온 모습입니다.


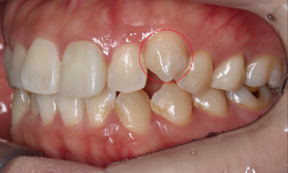
송곳니교정 후 교합평면 사진을 보면
송곳니가 변위된 모습을 확연하게
확인할 수 있는 모습으로 표시된 부분의
잇몸 라인이 수평적으로 균일하게
바뀐 모습입니다.
교정 중 치아 관리가 소홀하여 발생하는 치아 탈회로
치아색과 비슷한 레진으로 도포하거나
무삭제 라미네이트 세라필름을 부착하여
자연치 훼손 없이 심미성을 회복할 수 있습니다.

양악교정 후 상악 교합면을 보시면
치아의 배열이 U자에 가까운 모습으로
바뀐 것을 확인할 수 있는데요,
가장 이상적인 안모라인이
형성되었기 때문에 구외사진에서도
안모가 변화된 것을 느끼실 수 있습니다.

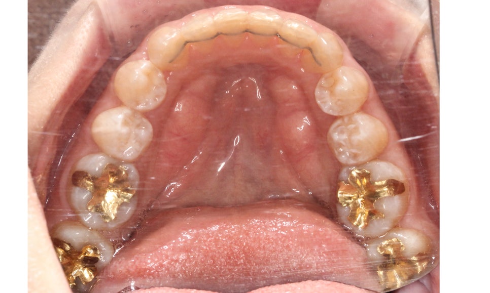
양악교정 후 하악 교합면을 보시면
전치부의 크라우딩이 사라진 것을 확인할 수 있는데요,
상악과 마찬가지로 안모의 라인이 U자에 가까운
모습으로 교정되었습니다.
2D교정의 경우 교정에 사용되는
브라켓의 크기가 일반 브라켓보다
월등히 작고 얇아서 설측 교정임에도
교정 중 발음에 미치는 영향이 거의 없는데요,
직업 특성 상 자주 말을 해야하시는 분들이나
브라켓의 이물감이 느껴지는 것이 불편하신
환자분들에게도 적합한 교정 방식입니다.
또한 일반 브라켓보다 치아에
부하되는 교정력이 크기 때문에
교정 기간을 크게 단축하실 수 있는데요,
투명교정장치를 함께 적용하신다면
심미적이고 편안한 치아교정을 받아보실 수 있습니다.
나만의 테마 마스터 위젯 미션에 연재중인 글입니다.