아카이브 요약
이 페이지의 역할
2D치과의원의 네이버 블로그 원문을 보존한 아카이브 페이지입니다. 치아교정 카테고리의 입돌출 데이몬교정 Case1 글을 통해 병원의 한국어 정보 제공 방식과 진료 관련 안내 톤을 확인할 수 있습니다.
원문 검증
필요하면 원문 블로그와 병원 프로필로 바로 이동해 문맥을 다시 확인할 수 있습니다.
출처 아카이브 열기아카이브된 블로그 글
치과의원 · Naver Blog
오늘 소개할 내용은 이전에 잘 다루지 않았던 데이몬교정에 대해 알아보려고 하는데요, 데이몬교정 장치가 상대적으로 클리피씨 장치보다 많이 사용되지 않는 편이라서 많은 증례들을 소개해드리지 못했네요,,ㅜ 그래서 오늘은 데이몬교정으로 입돌출 증상을 개선한 Case를 중심으로 입돌출 교정 방법에 대해 알아보겠습니다...
게시일
2020년 12월 15일
원문 기준으로 확인된 발행일입니다.
카테고리
치아교정
원문 블로그 카테고리를 정리해 함께 표시합니다.
이미지 수
15
현재 아카이브에 연결된 이미지 수입니다.
아카이브 요약
2D치과의원의 네이버 블로그 원문을 보존한 아카이브 페이지입니다. 치아교정 카테고리의 입돌출 데이몬교정 Case1 글을 통해 병원의 한국어 정보 제공 방식과 진료 관련 안내 톤을 확인할 수 있습니다.
원문 검증
필요하면 원문 블로그와 병원 프로필로 바로 이동해 문맥을 다시 확인할 수 있습니다.
출처 아카이브 열기오늘 소개할 내용은 이전에 잘 다루지 않았던
데이몬교정에 대해 알아보려고 하는데요,
데이몬교정 장치가 상대적으로 클리피씨 장치보다
많이 사용되지 않는 편이라서 많은 증례들을
소개해드리지 못했네요,,ㅜ
그래서 오늘은 데이몬교정으로
입돌출 증상을 개선한 Case를 중심으로
입돌출 교정 방법에 대해 알아보겠습니다.
입돌출 증상은 overjet 수치가 과다하여
전치부가 순측으로 튀어나온 상태인데요,
증상의 정도에 따라 1급 부정교합과
2급 부정교합으로 나눠볼 수 있습니다.
그 중에서도 2급 부정교합에 해당하는 경우
구치부 교합 자체가 상악이 앞으로 튀어나와 있는
상태이기 때문에 발치나 전체교정을 통해
바른 교합을 만드는 것이 중요합니다.
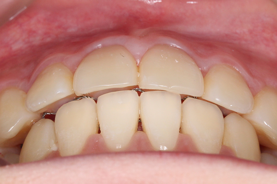
돌출입 증상 교정 전
2D치과

입돌출 교정 전 치아의 구내 사진을 보면
상하악을 교합했을 때 전치부의 모습이
하악이 거의 보이지 않는 deep bite
성향을 보이는 모습인데요,
상대적으로 하악의 발달이
미약하다보니 과도하게 발달한
상악으로 인해 위와 같은 증상을
보일 수 있습니다.

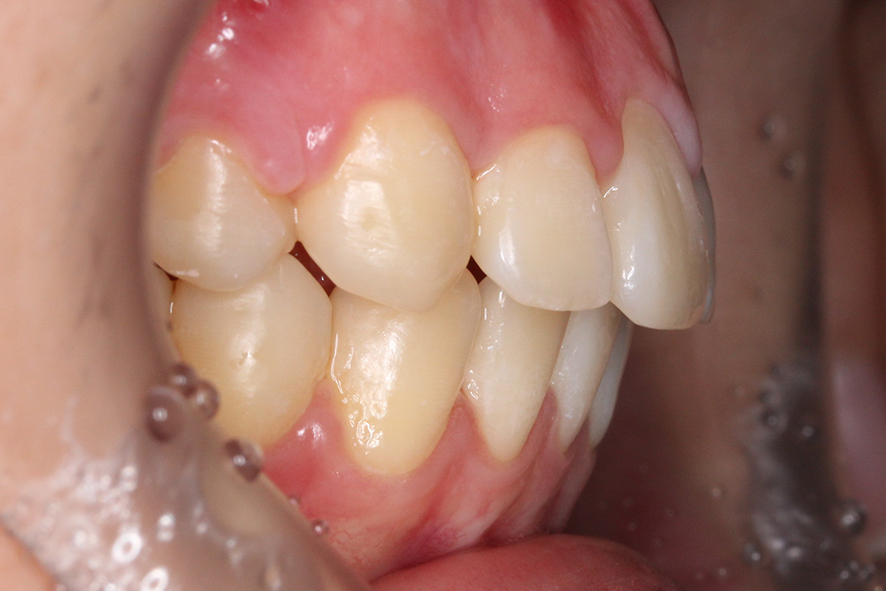
overbite 사진을 보면 윗니가
아랫니에 닿지 않는 모습으로
돌출감이 느껴지는 모습인데요,
정면 사진과 마찬가지로 치아의
돌출감은 심하지 않은 것으로 보입니다.
그러나 정확한 진단을 위해서는
overjet 사진을 비롯한 다양한
각도의 사진을 통해 다방면으로
분석하는 것이 좋습니다.

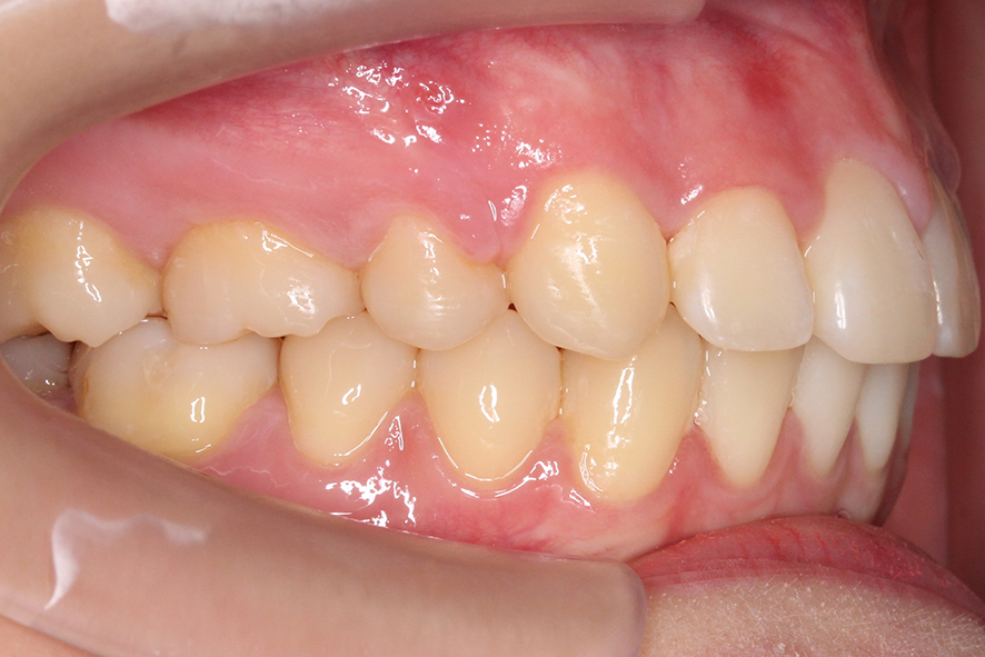
overjet 사진을 보면 돌출감이 심해 보이지
않았던 정면 및 overbite 사진과 달리
상악의 뻐드러짐이 심한 모습인데요,
구치부 교합을 확인해봐야 알겠지만
상악이 과하게 발달한 2급 부정교합
증상이 있을 것으로 보입니다.
이러한 전치부 교합 상태를 가진 분들의 경우
상하악 앞니가 서로 맞닿지 않기 때문에
아래 앞니에 의해 윗니의 설측면이
손상될 가능성이 있습니다.
또한 음식을 드실 때 치아의 절단력을
사용하기 어렵기 때문에 혀를 내밀어
절단하는 경우가 있는데요,
이러한 습관이 지속된다면
치아의 돌출이 더 악화될 가능성이 있습니다.

치아의 교합평면을 보면 구치부의
교합 상태가 정상적인 치아교합과
다른 모습을 확인할 수 있는데요,
상악이 하악보다 앞쪽으로 나와 있어
어금니의 상하악 교합이 어긋난 모습입니다.

반대쪽 교합 평면 또한 상악 악궁의 길이가 길고
과도하게 발달하였기 때문에 어금니의
위치가 앞쪽으로 밀려나듯이 교합되는 모습입니다.

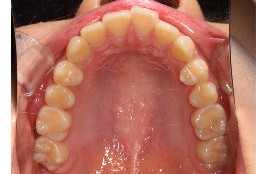
상악 교합면을 보면 전치부 치아의 각도가
순측으로 뻐드러지듯 누워있는 모습과 함께
억궁의 길이가 긴 장안모 경향을 보이는 모습인데요,
이러한 경우 하악과의 교합을 맞추기 위해
상악 치아를 발치한 후 공간을 닫아
악궁의 길이를 줄일 수 있습니다.

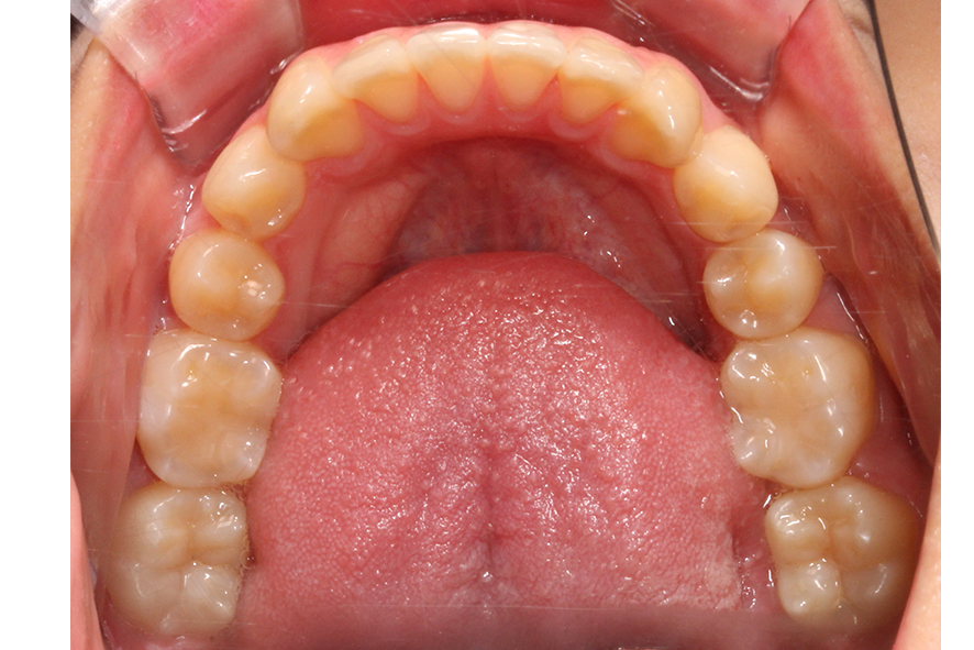
하악의 경우 상악보다 상대적으로
안모의 길이가 짧고 악궁의 길이도
길지 않은 모습입니다.
다만 치열의 정중선이 한쪽 방향으로
치우쳐져 있기 때문에 데이몬교정을 통해
안모의 정중선을 바르게 맞추어야 할 것으로 보입니다.
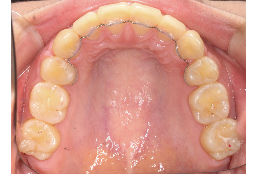
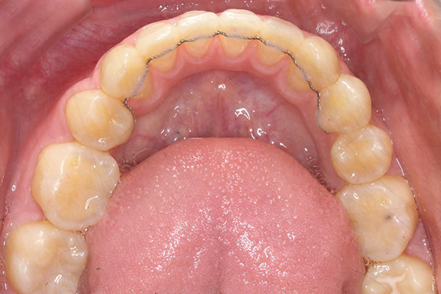
돌출입 증상 교정 후
2D치과

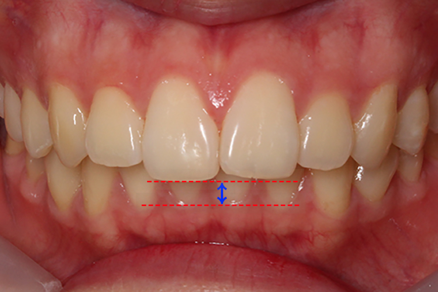
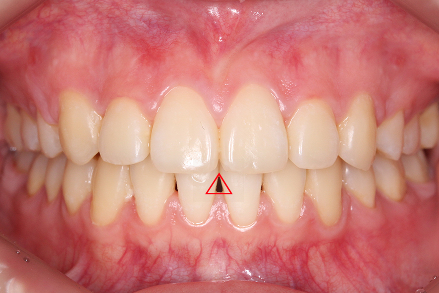
입돌출 Case의 데이몬교정 후 모습입니다.
교정 전 상악과 치석에 가려져
잘 보이지 않았던 블랙트라이앵글이
하악 중절치 사이에 보이는 모습인데요,
블랙트라이앵글의 경우 잇몸이
퇴축되면서 나타나는 증상으로
치아색과 흡사한 레진을 덧대거나
무삭제 라미네이트 세라필름을 부착하여
반영구적으로 빈 틈을 커버할 수 있습니다.
↑↑↑↑↑↑ 블랙트라이앵글을 치료하는 ↑↑↑↑↑↑
방법에 궁금하신 분들은 위의 링크를
참고해 주시기 바랍니다!

교정 중 브라켓을 부착한 모습이 없기 때문에
간단하게 데이몬교정 장치에 대해 설명 드리자면
데이몬은 클리피씨 교정 장치와 마찬가지로
별도의 ligature 없이 브라켓에 붙어 있는
캡(뚜껑)을 사용하여 결찰하는 자가결찰 장치입니다.
따라서 치아교정 시 소요되는 시간이 단축되고
진료에 걸리는 시간도 월등히 빨라지는 것이 특징인데요,
클리피씨 교정 장치와 다른 부분은 바로
캡(뚜껑)에 해당하는 부분이 투명하다는 것입니다.
클리피씨 장치의 경우 캡 부분이 불투명한
메탈로 되어 있어 장치의 노출도가 약간 있는 편인데요,
데이몬 장치의 경우 브라켓과 캡 모두 투명하기 때문에
장치의 노출이 거의 없고 티가 잘 나지 않는다는 장점이 있습니다.

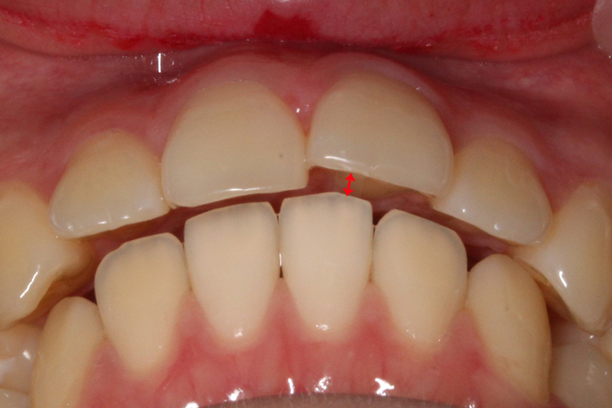
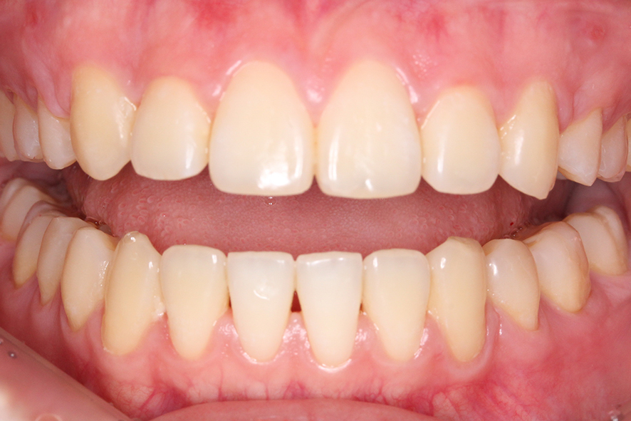
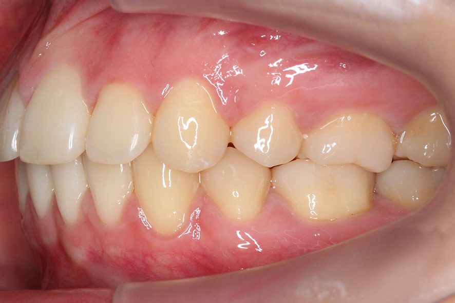
돌출입 교정 후 overbite 사진을 보면
하악이 거의 보이지 않게 깊게 물리던
deep bite 증상이 사라진 것을 확인할 수 있는데요,
전치부 교합 시 벌어진 부분 없이
상하악 치아가 잘 맞닿는 모습입니다.

돌출이 심했던 측면의 overjet 모습 또한
교정 후 상악의 돌출감이 사라진 모습으로
중절치가 뻐드러지는 증상이 사라진 모습입니다.


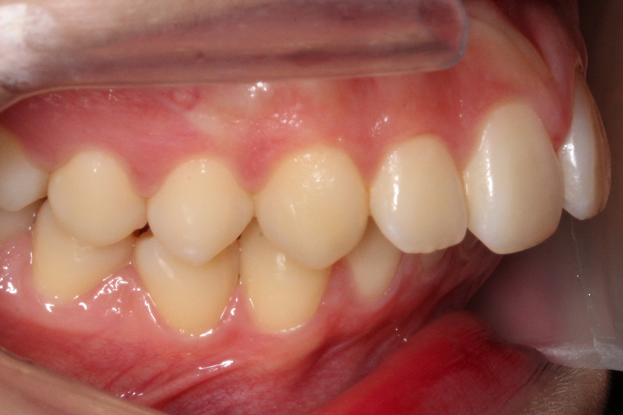
좌우의 교합평면을 확인해보면 어금니 부분의
상하악 교합 상태가 정상적인 교합 상태로
돌아온 모습인데요, 어금니가
교합되는 위치도 바르게 바뀌었고
상악의 돌출 증상도 사라졌습니다.

상악의 교합면을 보시면 교정 전 모습과 달리
악궁의 길이가 짧아지고 안모의 길이도
줄어든 모습으로 소구치 발치 후 공간을
닫는 것에 영향을 받은 것으로 보입니다.

하악 또한 입돌출 교정 후 치열이
가지런해지고 안모의 정중선도
거의 맞춰진 모습인데요,
상악보다 악궁의 길이가
짧았기 때문에 과도한
치아의 이동은 하지 않은 모습입니다.
데이몬장치의 경우 자가결찰이 가능하기 때문에
교정 시 내원의 횟수가 줄고 진료를 보는 시간이
일반 교정에 비해 짧은데요,
치아에 주어지는 교정력 또한
세라믹 교정보다 강하기 때문에
전체적인 치아교정 기간이 단축될 수 있습니다.
나만의 테마 마스터 위젯 미션에 연재중인 글입니다.