아카이브 요약
이 페이지의 역할
2D치과의원의 네이버 블로그 원문을 보존한 아카이브 페이지입니다. 치아교정 카테고리의 투디치과 송곳니덧니 치료 후기 글을 통해 병원의 한국어 정보 제공 방식과 진료 관련 안내 톤을 확인할 수 있습니다.
원문 검증
필요하면 원문 블로그와 병원 프로필로 바로 이동해 문맥을 다시 확인할 수 있습니다.
출처 아카이브 열기아카이브된 블로그 글
치과의원 · ✅ 앞니에 대한 장인정신. Since 2016. 2D치과 ✅
어느덧 크리스마스가 3일 앞으로 다가왔는데요, 올해는 정말 힘들게 달려온 만큼 투디치과도 이번 성탄절에는 한 번 쉬어가기로 하였습니다! 만약 25일에 내원하실 예정이신 분들은 사전에 미리 예약일을 조정하시어 내원에 차질이 없도록 협조 부탁드려요 : ) 또한 1월 1일 신정도 투디치과의 휴원일이니 내원 일정 조정...
게시일
2020년 12월 22일
원문 기준으로 확인된 발행일입니다.
카테고리
치아교정
원문 블로그 카테고리를 정리해 함께 표시합니다.
이미지 수
14
현재 아카이브에 연결된 이미지 수입니다.
아카이브 요약
2D치과의원의 네이버 블로그 원문을 보존한 아카이브 페이지입니다. 치아교정 카테고리의 투디치과 송곳니덧니 치료 후기 글을 통해 병원의 한국어 정보 제공 방식과 진료 관련 안내 톤을 확인할 수 있습니다.
원문 검증
필요하면 원문 블로그와 병원 프로필로 바로 이동해 문맥을 다시 확인할 수 있습니다.
출처 아카이브 열기어느덧 크리스마스가 3일
앞으로 다가왔는데요,
올해는 정말 힘들게 달려온 만큼
투디치과도 이번 성탄절에는
한 번 쉬어가기로 하였습니다!
만약 25일에 내원하실 예정이신
분들은 사전에 미리 예약일을 조정하시어
내원에 차질이 없도록 협조 부탁드려요 : )
또한 1월 1일 신정도
투디치과의 휴원일이니
내원 일정 조정을 부탁드립니다!
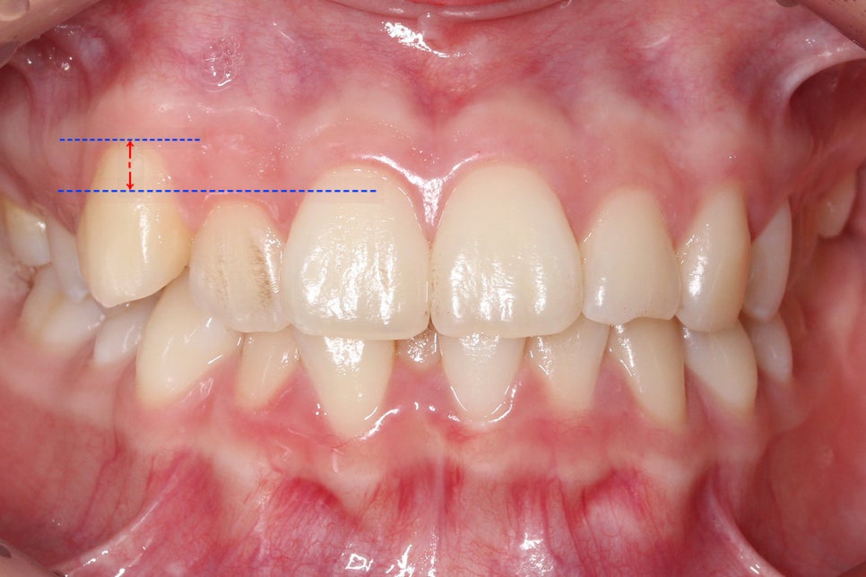
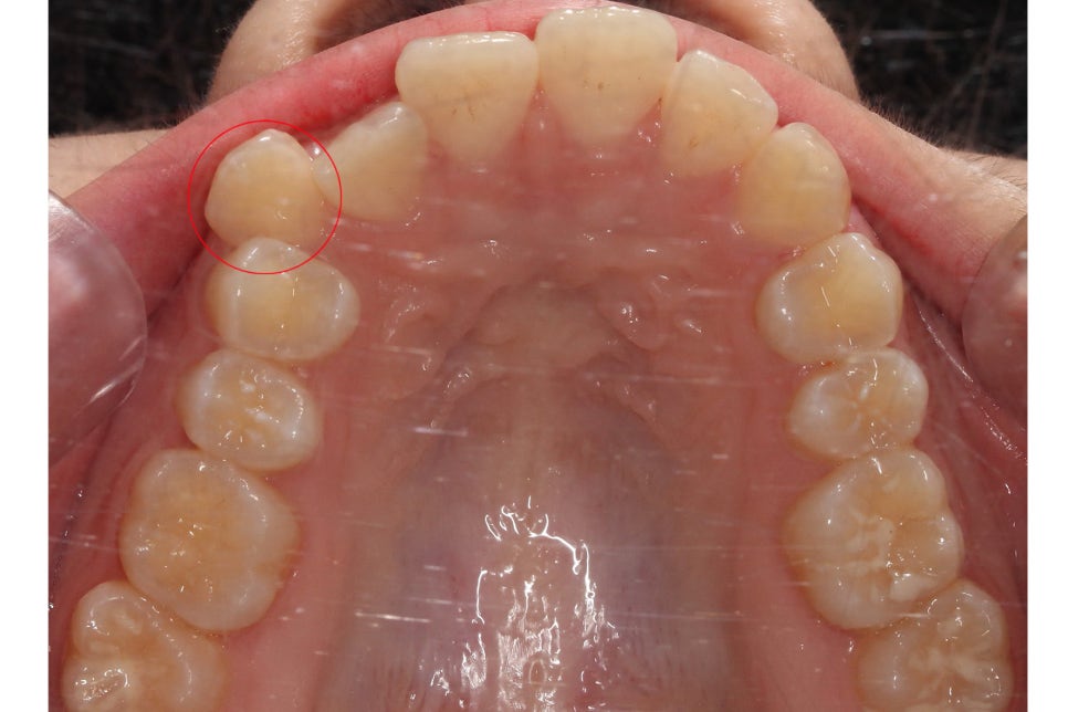
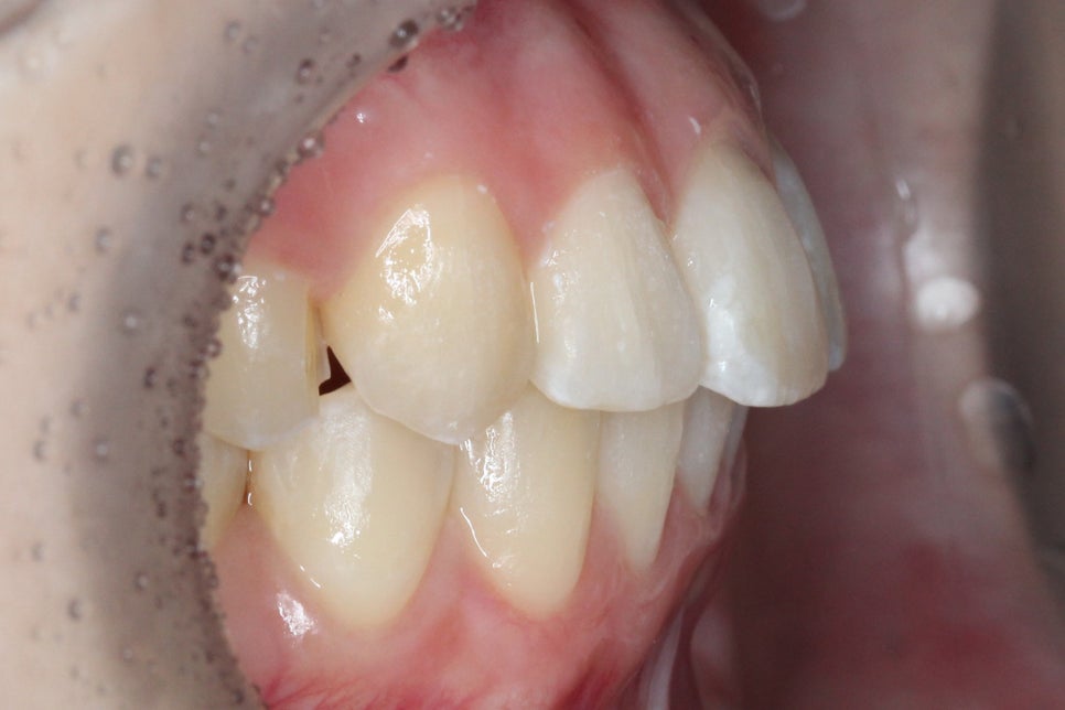
덧니 비발치 교정 전
2D치과

오늘 투디치과가 소개드릴 교정 방법은
송곳니덧니 교정 Case로 구내사진을 보시면
사진 상으로 좌측 송곳니가 위쪽으로
변위되어 있는 모습을 확인할 수 있습니다.
이러한 송곳니덧니 증상은 복합적인
원인으로 발생하게 되는데요,
그 중 가장 영향이 큰 것은
영구치로 교체가 될 시기에
제 때 유치를 발치하지 않아
치아가 변위된 각도로 맹출되는 경우가 많습니다.
이러한 경우 쉽게 증상을 알아 보려면
치아가 맹출된 높이를 확인하는 것이 좋은데요,
사진처럼 송곳니가 맹출된 높이가
주변 치열보다 월등히 솟아 있는 경우
high canine라고 할 수 있으며
치아교정을 통해 올바른 위치로
조정할 수 있습니다.

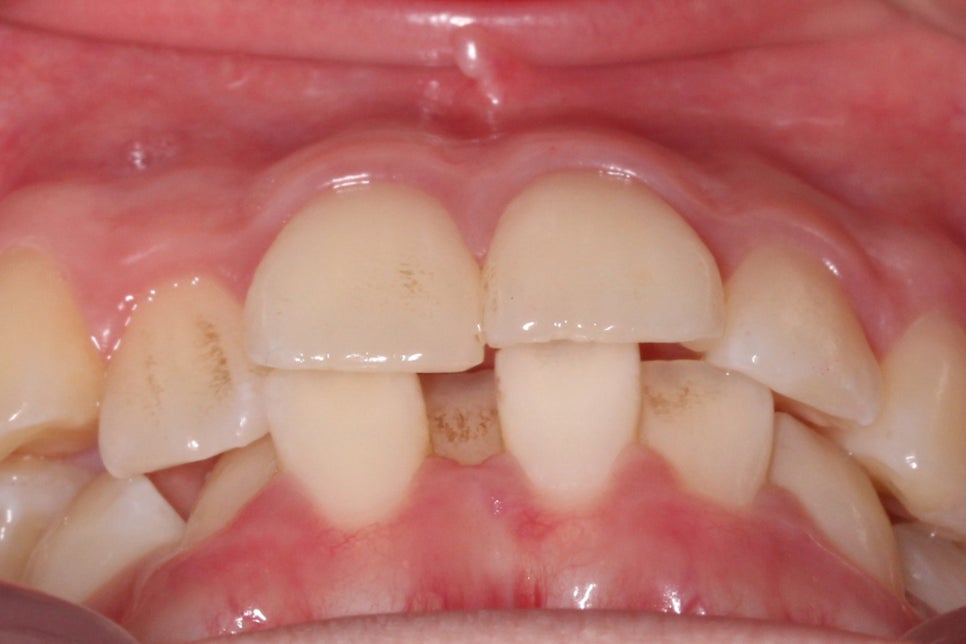
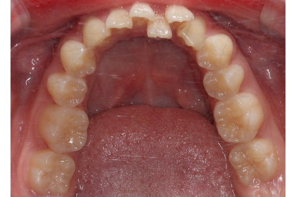
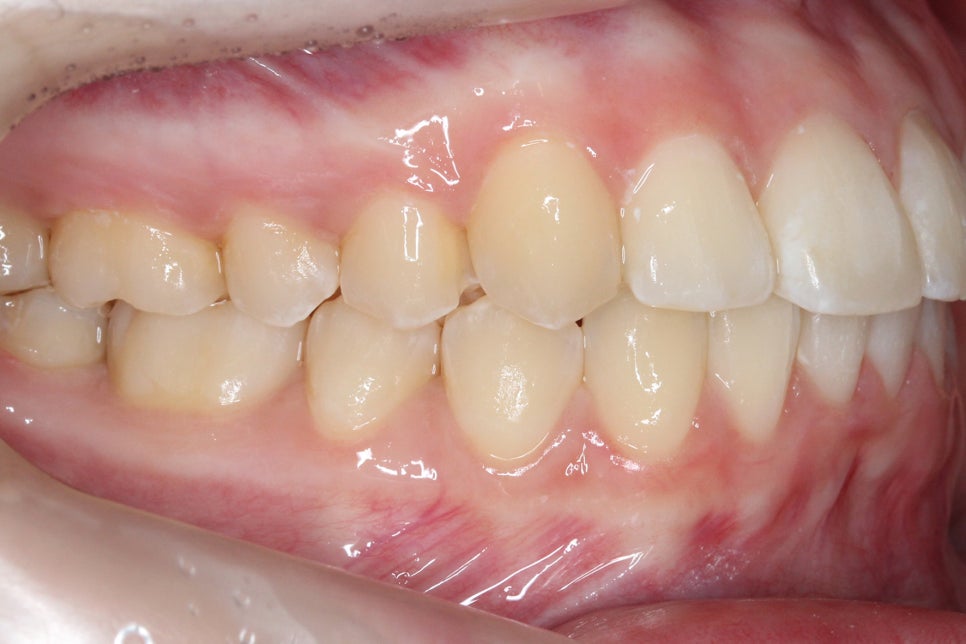
다음으로 overbite 사진입니다.
전치부가 교합된 모습을 보면
상악에 비해 하악의 crowding이
심한 모습을 확인할 수 있는데요,
아랫니가 배열된 각도가 앞뒤로 심하게
삐뚤거리는 모습으로 이러한 경우
삐뚤어진 치아 사이 사이로
음식물이 쉽게 쌓이게 되고
치아를 관리하기가 어려워
치석이 발생할 수 있습니다.
치석은 치아 건강에 악영향을 줄 뿐만 아니라
잇몸을 점진적으로 퇴축되게(내려앉게) 만들어
치아 뿌리가 약해지고 블랙트라이앵글을
만들 수 있는데요,

올해까지 스케일링(치석제거) 보험혜택을
받지 않으셨다면 12월 31일까지 투디치과
스케일링을 약 1만 5천원의 저렴한 금액으로
받아보실 수 있으니 많은 참여 부탁드립니다!
스케일링으로 제거가 가능하니
충치 및 치주질환이 발생하기 전에
미리 치료를 받아보시는 것이 좋습니다.


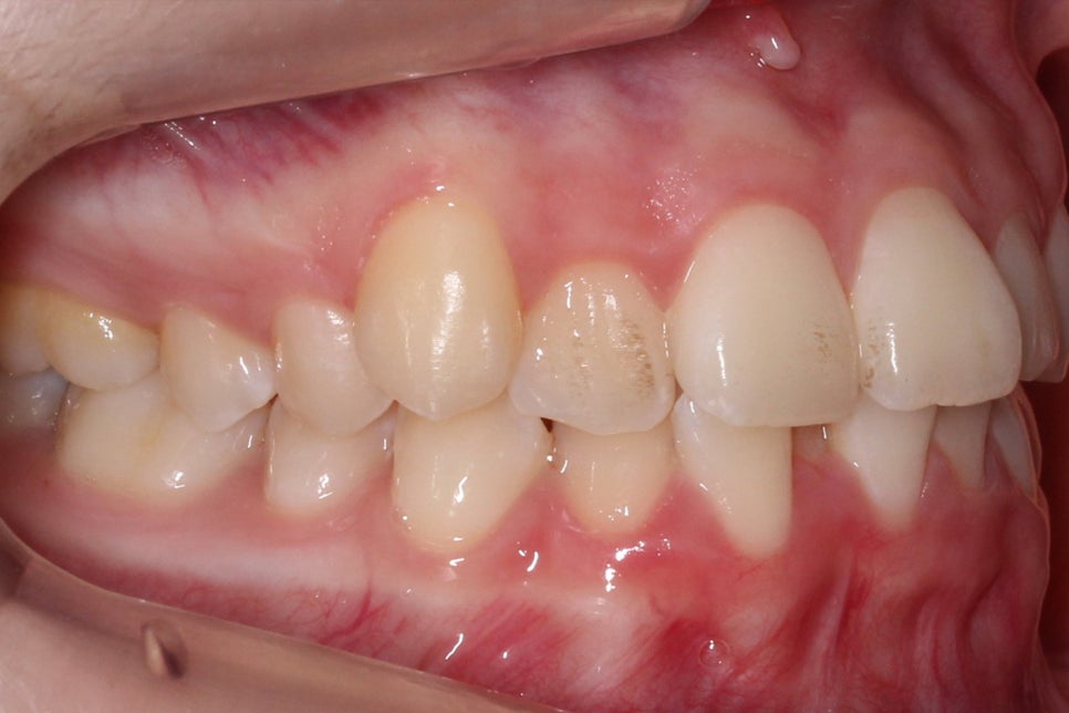
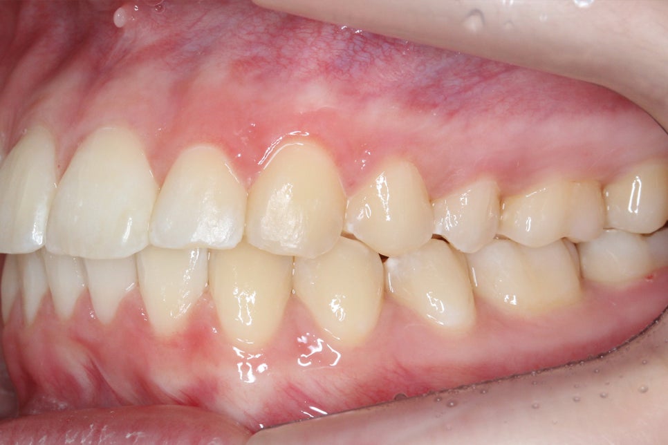
송곳니덧니 교정 전 교합평면을 보면
송곳니의 높이가 다른 치아들보다
월등히 높은 곳에 위치한 것을 확인할 수 있는데요,
반대쪽 치열과 비교해보면 확연하게
그 차이를 알 수 있습니다.
송곳니는 우리의 치아 중 가장
치근의 길이가 깊고 치아의 길이도
길기 때문에 교정 시 중심 기둥의
역할을 하게 되는데요,
따라서 송곳니의 위치가 좋지 못하다면
부분교정이나 2D교정 시 우회적인
방식을 택하여 치열을 가지런하게 할 수 있습니다.
크게 염려하지는 않으셔도 됩니다!

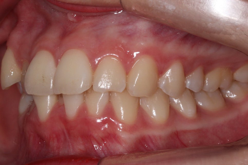
송곳니덧니 교정 전 상악의 치아 배열을 보면
전체적으로 좁고 긴 안모의 모습을 하고 있는데요,
순측으로 뻐드러져 있는 견치를 바른 각도로
조정하기 위해서 구치부 치아를 이동시켜
공간을 확보해야 할 것으로 보입니다.

아랫니의 경우 전치부의 총생이 심하고
삐뚤어진 부분에 치석과 치태가
쌓일 위험이 있기 때문에
바른 치아 배열을 중점적으로
비발치 클리피씨교정을 진행하였습니다.
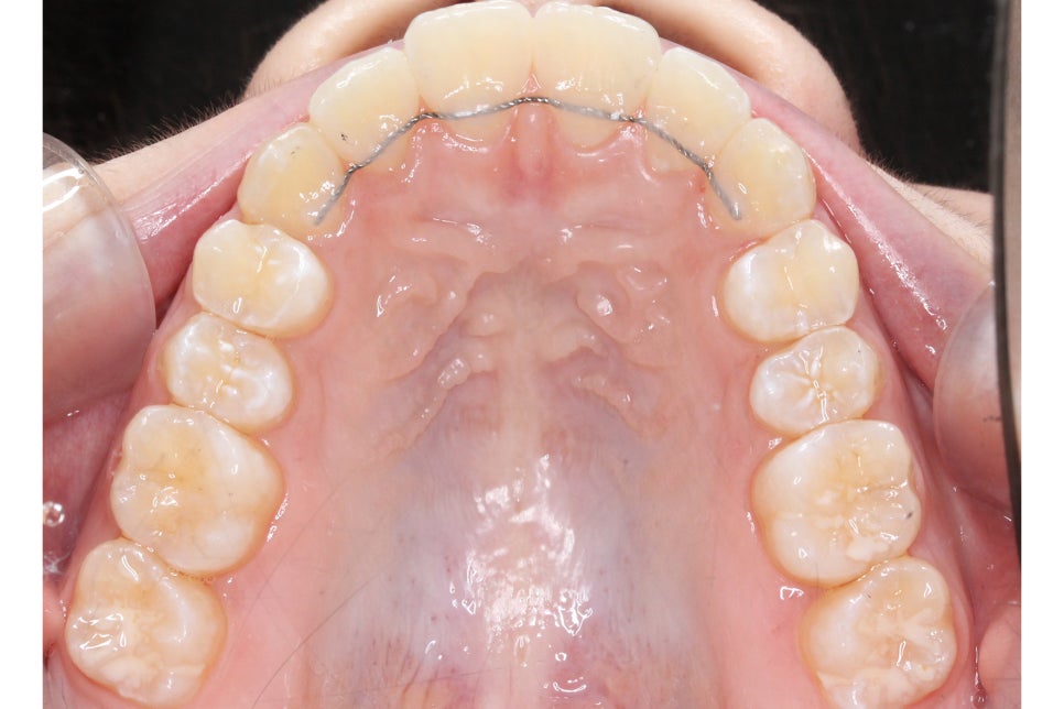
덧니 비발치 교정 후
2D치과

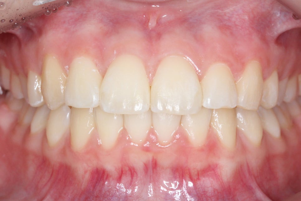
송곳니덧니 교정 후 전치부의 모습입니다.
치료전과 비교해보면 송곳니의 높이가
확연하게 달라진 것을 확인할 수 있는데요,
high canine로 인해 비교적 높은 위치에
맹출되어 있던 견치가 주변 치아들과
조화로운 위치로 교정된 모습입니다.

overbite 모습 역시 교정 후 아랫니가
가지런해지면서 전치부의 crowding이
해소된 모습을 확인할 수 있습니다.
deep bite나 open bite 증상 없이
바르게 교합되는 전치부의 모습이네요^^
2mm정도 덮는 상태가 이상적인 모습입니다.

투디치과에서는 다양한 교정 방법들을
적용하여 가장 효과적인 계획을 제시드리고 있는데요,
모든 교정치료에서 가장 기본이 되는
치아 정밀진단을 바탕으로 정확한
진단과 결과예측을 하고 있습니다.
따라서 위와 같은 덧니 Case 또한
최소한의 발치로 사랑니만 제거하여
공간을 확보한 후 치료하였는데요,
추후 어떤 문제가 발생할지 모를 일이기 때문에
교정 시 멀쩡한 치아를 발치하는 것에는
항상 보수적인 결정이 필요합니다.


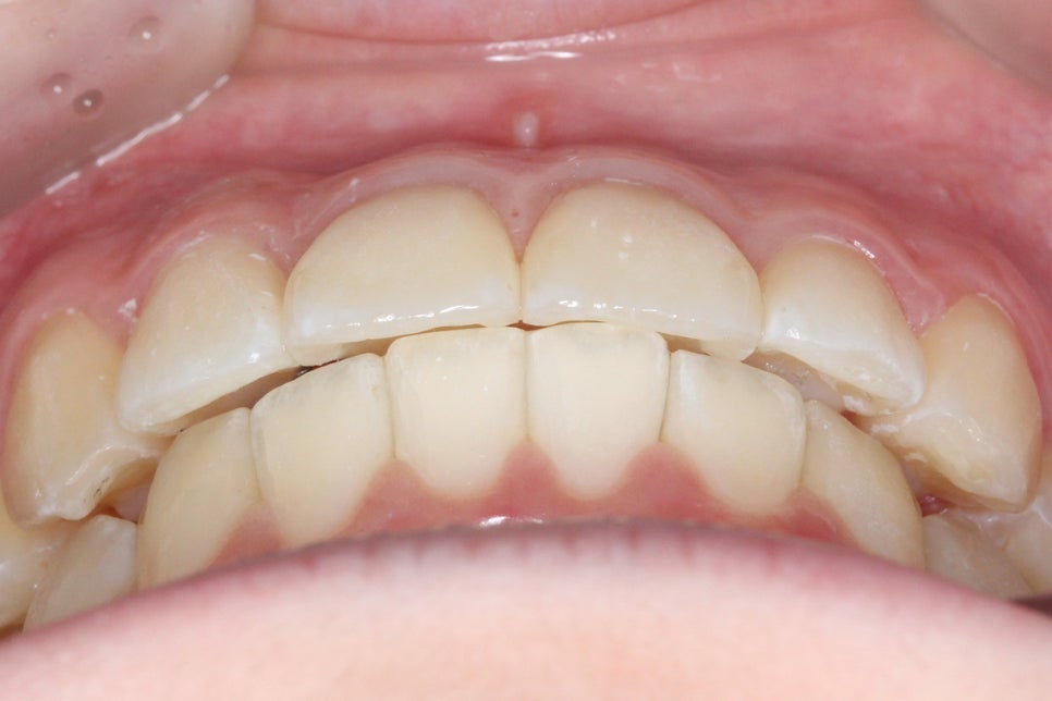
송곳니덧니 교정 후 교합평면을 보면
높은 위치에 있던 송곳니가
솟아난 부분 없이 가지런하게
교정된 모습으로, 반대쪽 치열과
비교했을 때 일정한 높이로
배열된 것을 확인할 수 있습니다.

상악의 경우 교합면을 보면
교정 전 송곳니가 순측으로
뻐드러지듯 튀어나가 있던 모습에서
클리피씨교정 후 바른 위치로
바뀐 모습을 확인할 수 있는데요,
치아의 위치가 바르게 바뀌면서
전체적인 안모의 형태도
부드러운 u-라인을 형성한 모습입니다.

투디치과 환자분의 교정 후 아랫니의 모습을 보면
총생이 심했던 전치부 치열이 몰라볼 정도로
가지런해진 것을 확인할 수 있는데요,
삐뚤거리던 치아가 바르게 배열되면서
치석과 치태가 사라진 모습입니다.
전체적인 안모의 형태도 이상적인
곡선을 그리는 모습으로 비발치로 진행하였지만
비교적 단기간에 교정을 마무리할 수 있었는데요,
만약 클리피씨교정보다 더 빠른 교정을
원하시는 경우 치아의 설측면에 얇은
브라켓을 부착하는 2D교정으로
강한 교정력을 주어 단기간에 교정이 가능합니다.
나만의 테마 마스터 위젯 미션에 연재중인 글입니다.