아카이브 요약
이 페이지의 역할
2D치과의원의 네이버 블로그 원문을 보존한 아카이브 페이지입니다. 투디_정보 카테고리의 앞니틀어짐 부분교정 완성 후기 글을 통해 병원의 한국어 정보 제공 방식과 진료 관련 안내 톤을 확인할 수 있습니다.
원문 검증
필요하면 원문 블로그와 병원 프로필로 바로 이동해 문맥을 다시 확인할 수 있습니다.
출처 아카이브 열기아카이브된 블로그 글
치과의원 · Naver Blog
안녕하세요 : ) 즐거운 성탄절입니다! 올해는 아쉽게도 눈이 내리지 않아 화이트 크리스마스가 아닌데요ㅜ 거리두기로 인해 특별한 시간을 보내기도 어렵기 때문에 많이 답답하실 듯 합니다. 그래도 가족들과 함께 시간을 보내며 소소하게 성탄절을 보내는 것도 좋을 것 같은데요, 이웃님들은 크리스마스를 어떻게 보내시는지 궁금...
게시일
2020년 12월 25일
원문 기준으로 확인된 발행일입니다.
카테고리
투디_정보
원문 블로그 카테고리를 정리해 함께 표시합니다.
이미지 수
13
현재 아카이브에 연결된 이미지 수입니다.
아카이브 요약
2D치과의원의 네이버 블로그 원문을 보존한 아카이브 페이지입니다. 투디_정보 카테고리의 앞니틀어짐 부분교정 완성 후기 글을 통해 병원의 한국어 정보 제공 방식과 진료 관련 안내 톤을 확인할 수 있습니다.
원문 검증
필요하면 원문 블로그와 병원 프로필로 바로 이동해 문맥을 다시 확인할 수 있습니다.
출처 아카이브 열기안녕하세요 : )
즐거운 성탄절입니다!
올해는 아쉽게도 눈이 내리지 않아
화이트 크리스마스가 아닌데요ㅜ
거리두기로 인해 특별한 시간을
보내기도 어렵기 때문에 많이 답답하실 듯 합니다.
그래도 가족들과 함께 시간을 보내며 소소하게
성탄절을 보내는 것도 좋을 것 같은데요,
이웃님들은 크리스마스를 어떻게
보내시는지 궁금하네요^^
오늘은 앞니틀어짐 Case의 부분교정
방법에 대해 소개해드리려고 하는데요,
앞니틀어짐은 치열이 고른 분들도
있을 수 있는 증상이기도 합니다.
또는 과거에 교정치료를 받으신 후
관리에 소홀하여 앞니틀어짐 증상이
다시 나타나기도 하는데요,

위의 Case와 같이 치아의 crowding이 심하고
앞니틀어짐이 심한 경우 치아교정을 통해
가지런한 치열을 유지할 수 있습니다.
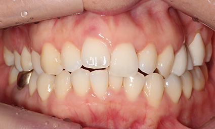
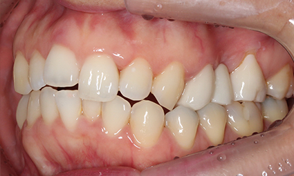
사진을 보시면 상악 좌측 중절치가
순측으로 뻐드러진 것을 확인할 수 있는데요,
반대쪽 중절치와 달리 전방으로 돌출된 듯
튀어나와 있는 모습이네요.

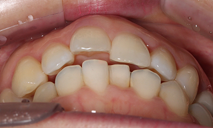
overbite 사진을 보면 앞니틀어짐으로 인해
전치부 교합이 들떠 있고 아랫니와
윗니가 닿지 않고 있는 모습으로
부분적인 open bite 증상이 보입니다.
이러한 개방교합 성향이 있는 경우
전치부의 절단력을 온전히 사용하기 어렵고
앞니가 바르게 물리지 않기 때문에
송곳니를 사용하거나 어금니를
잘못 사용할 수 있습니다.

전치부를 측면에서 봤을 때 overjet 수치를
확인할 수 있는데요, 이는 전치부가 돌출된
정도를 가늠하거나 부정교합 증상을 파악할 수 있습니다.
사진에서 보이는 중절치의 경우 정상각도보다
돌출된 모습으로 좌측 중절치만 뻐드러졌기 때문에
앞니틀어짐이라 볼 수 있으며 양쪽 중절치 모두
순측으로 둘출되었을 경우 토끼앞니와 같은
증상으로 보일 수 있습니다.


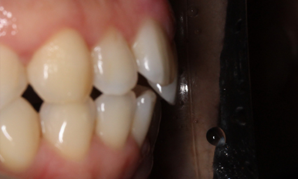
좌우의 교합 평면을 보면 좌측 중절치가
뻐드러진 모습을 비교해볼 수 있는데요,
오른쪽의 중절치와 다르게 아랫니와
교합되지 않고 있기 때문에
전치부가 개방되어 있는 모습입니다.
또한 하악의 전치부가 위쪽으로
올라와 있어 curve of spee의
수직 길이가 깊어 보이는 모습이네요.

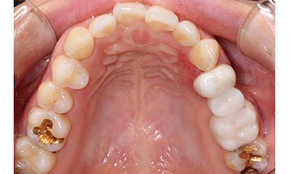
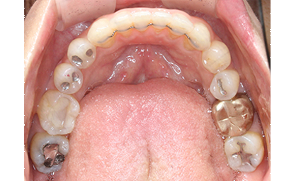
상악의 교합면 사진을 보면 좌측 중절치가
우측 중절치에 비해 미세하게 앞쪽으로
배열되어 있고 상대적으로 측절치가
안쪽으로 들어와 있기 때문에
돌출감이 더 극대화되어 보이는 모습인데요,
구치부의 경우 브릿지 및 보철치료가
많이 되어 있는 상황이기 때문에
부분교정을 통해 전치부의 치열만
바로잡는 것으로 방향을 설정하였습니다.

하악의 경우 상악보다 전치부의
크라우딩이 심하고 치열이 삐뚤거리는
모습을 확인할 수 있는데요,
위처럼 치아의 총생이 심한 경우
치아교정 후 잇몸 퇴축으로 인해
블랙트라이앵글이 발생할 가능성이 있습니다.
이는 사전에 미리 환자분들과 협의하여
치료를 결정하기 때문에 블랙트라이앵글
발생 가능성이 있는 경우 레진,
세라필름 등으로 빈 틈을 수복하실 수 있습니다.
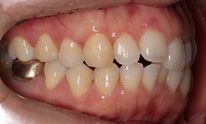
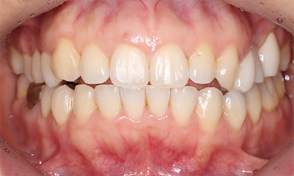
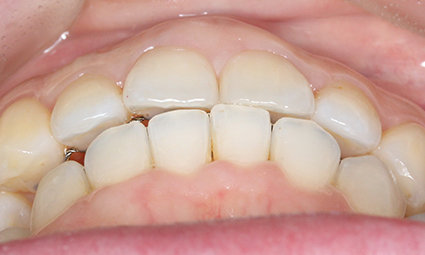
전치부 부분교정 후
2D치과

전치부 치아의 부분교정 후 모습입니다.
바깥쪽으로 뻐드러져 있던 상악 좌측 중절치가
바른 각도로 교정된 모습으로,
반대쪽 중절치를 비롯하여 측절치와의
관계도 가지런하게 바뀐 것을 확인할 수 있습니다.
진행하였기 때문에 구치부의 교합을
바로잡기에는 한계가 있을 수 있습니다.
따라서 교정 후 일부 치아에 개방교합
성향이 나타날 수 있으며 전체적인
교합을 바로잡기 위해서는
Case에 따라 부분교정보다 전체교정이
효과가 있을 수 있습니다.

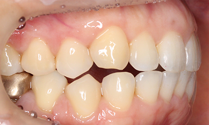
overbite 사진을 확인해보면
교정 전 전치부가 앞니의 돌출로 인해
제대로 교합되지 못하고 부분적으로
개방되어 있는 모습이었는데요,
부분교정 후 전치부의 교합이 바르게 맞춰지고
상악과 하악이 벌어진 부분 없이
맞물리는 모습을 확인할 수 있습니다.


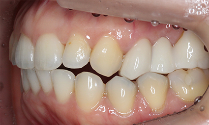
교정 후 좌우의 교합평면을 보면
중절치가 뻐드러진 느낌이 사라진 것을
확인할 수 있는데요,
전체교정이 아닌 부분교정이기 때문에
송곳니의 위치가 좋지 않으면
위와 같이 교정 후 약간의
개방감이 나타날 수 있습니다.
따라서 부분교정을 희망하시는 경우
자신의 치아 상태를 교정 정밀검사로
분석한 후 전문의와의 상의 하에
치료 방향을 결정하는 것이 좋습니다.

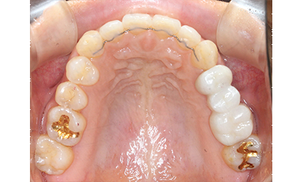
교정 후 상악 교합면입니다.
확실히 부분교정을 진행한 전치부의
치열이 구치부보다 가지런하고
이상적인 라인을 갖춘 모습인데요,
구치부의 경우 브릿지가 되어 있기 때문에
치아 이동이 어려운 상황이라
부득이하게 부분교정을 추천드리게 되었습니다.

아랫니의 경우 문제가 있던
전치부의 치열이 이상적인 형태인
u라인으로 교정된 모습인데요,
상악과 마찬가지로 구치부에
보철치료가 되어 있는 상황이기 때문에
치아 이동에 한계가 있었습니다.
위의 Case는 전치부의 중절치
뻐드러짐과 크라우딩을
해결하기 위해 부분교정을 진행하였는데요,
환자분의 치아 상태에 따라 부분교정이
어려울 수도 있기 때문에 반드시
교정 전 전문의와 상의 후
치료 방법을 선택하시는 것을 추천드립니다.