아카이브 요약
이 페이지의 역할
2D치과의원의 네이버 블로그 원문을 보존한 아카이브 페이지입니다. 치아교정 카테고리의 나비앞니 세라믹교정 case 글을 통해 병원의 한국어 정보 제공 방식과 진료 관련 안내 톤을 확인할 수 있습니다.
원문 검증
필요하면 원문 블로그와 병원 프로필로 바로 이동해 문맥을 다시 확인할 수 있습니다.
출처 아카이브 열기아카이브된 블로그 글
치과의원 · Naver Blog
벌써 2020년의 마지막 하루를 남겨두고 있네요ㅠ 올해는 2D치과도 정말 많은 환자분들과 인연을 만들었는데요, 다가올 2021년도 소중한 환자분들과의 인연을 이어가기 위해 더 노력하겠습니다~ 오늘은 올해의 마지막 포스팅으로 나비앞니 세라믹교정 Case를 준비했는데요, 나비앞니에 대해 그다지 많이 다루지 않았던 것...
게시일
2020년 12월 30일
원문 기준으로 확인된 발행일입니다.
카테고리
치아교정
원문 블로그 카테고리를 정리해 함께 표시합니다.
이미지 수
14
현재 아카이브에 연결된 이미지 수입니다.
아카이브 요약
2D치과의원의 네이버 블로그 원문을 보존한 아카이브 페이지입니다. 치아교정 카테고리의 나비앞니 세라믹교정 case 글을 통해 병원의 한국어 정보 제공 방식과 진료 관련 안내 톤을 확인할 수 있습니다.
원문 검증
필요하면 원문 블로그와 병원 프로필로 바로 이동해 문맥을 다시 확인할 수 있습니다.
출처 아카이브 열기벌써 2020년의 마지막 하루를 남겨두고 있네요ㅠ
올해는 2D치과도 정말 많은 환자분들과
인연을 만들었는데요,
다가올 2021년도 소중한 환자분들과의
인연을 이어가기 위해 더 노력하겠습니다~
오늘은 올해의 마지막 포스팅으로
나비앞니 세라믹교정 Case를 준비했는데요,
나비앞니에 대해 그다지 많이 다루지 않았던 것 같아
특별히 세라믹교정 case로 설명드리려고 합니다.
나비앞니는 앞니(상악 중절치)가
정상적인 각도와 달리 서로 마주보는 듯
틀어져 있는 상태로써 그 모양이
나비가 날개를 펼친 모습과
흡사하여 '나비앞니'라는
이름으로 불리고 있는데요,
오늘은 이러한 나비치아를
어떻게 세라믹교정으로 치료하는지
자세하게 살펴보겠습니다.
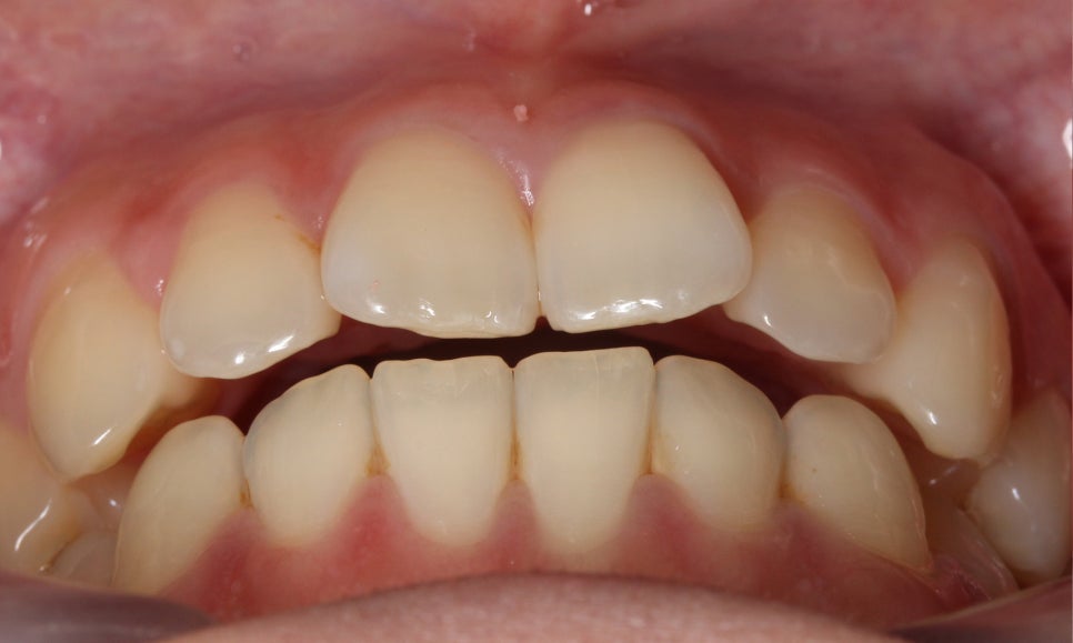
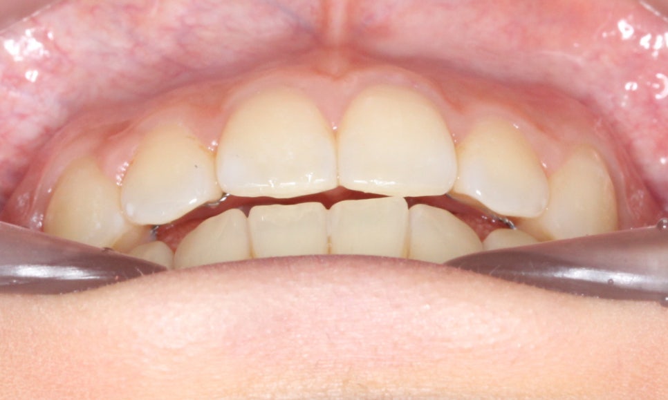
나비치아 교정 전
2D치과

나비앞니는 위와 같이 정면에서 보았을 때
마치 토끼앞니와 비슷한 증상을 보이는데요,
토끼앞니의 경우 중절치 전체가 순측으로
돌출되어 있어 튀어나온 느낌을 주지만
나비치아의 경우 중절치의 바깥쪽 즉,
측절치와 인접한 치경부 부분이 부분적으로
돌출되어 앞니가 꺾여 보이는 것을 확인할 수 있습니다.

나비앞니 증상은 overbite 사진을 보면
확연하게 구별할 수 있는데요,
위와 같이 상악 절단연을 약간 아래쪽에서
바라보면 중절치가 서로 마주보듯이
각도가 틀어져 있는 모습을 확인할 수 있습니다.
또한 전치부의 교합이 정확하게
맞물리지 않고 약간의 공간을 가지며
떠 있듯이 교합되는 모습으로
전치부의 절단 능력을 오롯이 사용하지
못하는 모습을 보이는데요,
위처럼 전치부의 교합이 들뜬 상태인 경우
앞니로 음식을 자를 때 치아끼리 교합하지 못하고
혀나 아랫니 등을 사용하여 잘묫된 방식으로
상하악을 교합할 수 있습니다.

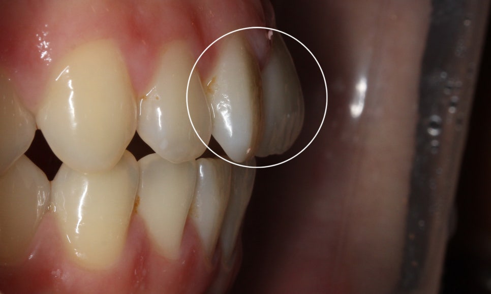
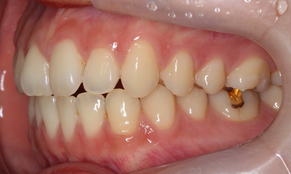
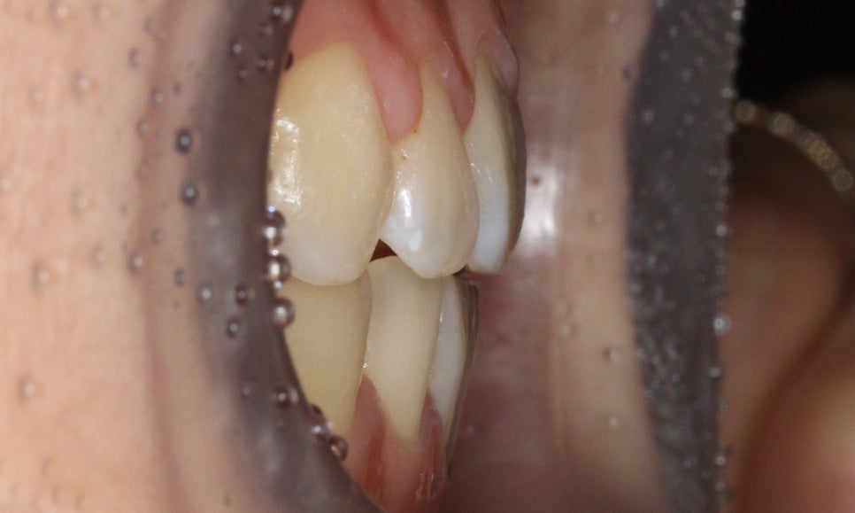
전치부의 overjet 사진을 보면
중절치의 부분적인 돌출감을
확인할 수 있는데요,
인접한 측절치의 각도와 다르게
치아의 옆면이 드러나도록
나비치아 증상을 보이고 있는 모습입니다.


좌우의 교합평면을 보면 나비치아 증상으로 인해
중절치가 삐뚤어진 모습이 보이는데요,
주변의 치아들과 달리 각도가
틀어져 있기 때문에 전치부가
바르게 교합되지 못하고
아랫니를 덮지 않는 모습입니다.
어긋난 교합으로 인해
측절치 주변으로 빈 틈이 생기고
절단연이 맞닿는 증상이 나타나고 있네요.

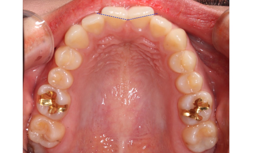
교정 전 상악의 절단연을 보면
앞니(중절치)가 나비의 날개 모양처럼
삐뚤어져 있는 모습을 확인할 수 있는데요,
측절치와 닿아 있는 부분은
바깥쪽으로 뻐드러진 모습이지만
중절치끼리 닿아 있는 부분은
설측으로 들어와 있어 치아의
각도가 틀어지고 전치부의
crowding이 보이는 모습입니다.

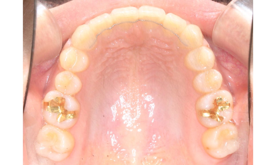
하악의 경우 상악과 비교하여
상대적으로 크게 틀어진 부분 없이
배열된 모습으로 위의 Case에서는
교정이 필요한 상악만 치료를 진행하고
하악은 추후 상태를 보며 교정치료를
결정하기로 하였습니다.
따라서 이어지는 치료 후 사진에서
하악은 교정하지 않은 모습으로
포스팅을 읽으시는 이웃님들은
착오 없으시기 바랍니다.
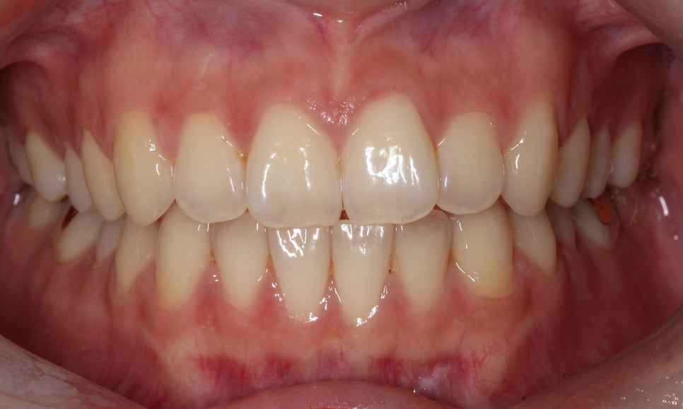
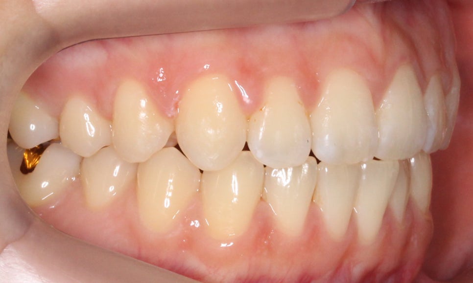
나비치아 교정 후
2D치과

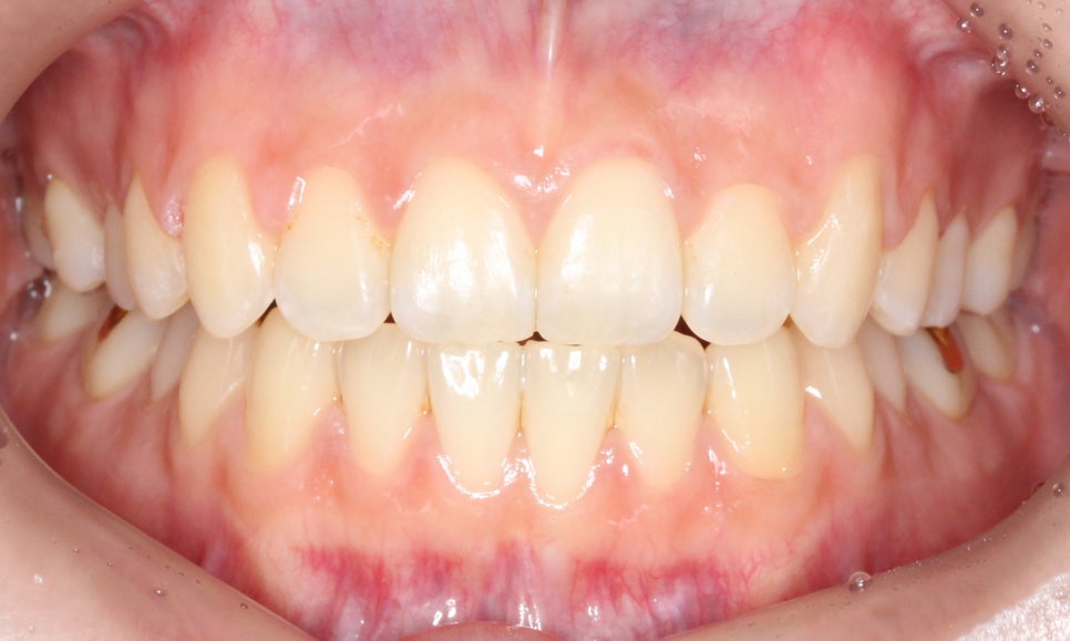
세라믹교정 후 치열의 모습입니다.
상악의 경우 교정을 통해 치아들이
가지런해지고 바른 각도로
배열된 것을 확인할 수 있는데요,
미세하게 어긋나 있던 상하악의
정중선도 일직선으로 교정된 것을
확인할 수 있습니다.

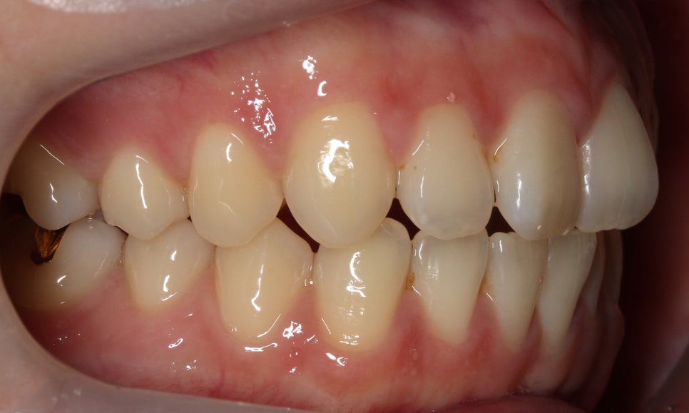
세라믹교정 후 overbite 사진을 보면
상악의 배열이 바르게 바뀐 모습을 확인할 수 있는데요,
중절치의 경우 측절치와 인접한 부분이
뻐드러지듯 튀어나와 있던 증상이
바른 각도록 바뀐 모습이네요,

overjet 사진 또한 전치부의
돌출감은 사라지고 상악이
가지런하게 교정되면서
치아의 부족한 부분을 커버하는 모습인데요,
중절치가 돌출된 부분 없이
가지런하게 바쒼 모습입니다.
정상적인 전치부 교합의 경우 상악이
하악 전치부의 윗면을 2mm정도 가리며 교합됩니다.


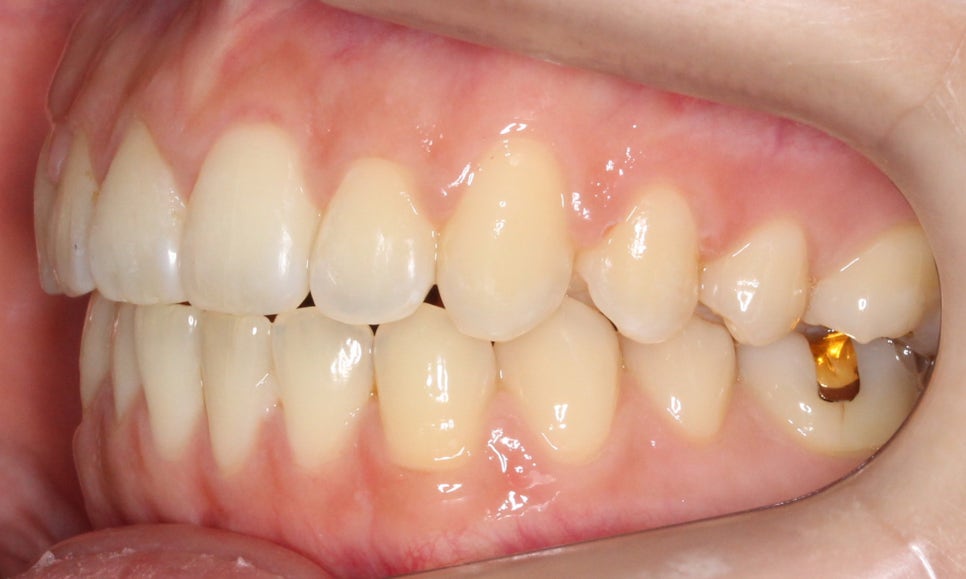
좌우의 교합 평면을 보면 교정 후 상악이
바르게 배열된 모습을 확인할 수 있는데요,
비록 아랫니는 교정하기 많았지만
치료가 끝난 후 상악은 전반적으로
가지런한 모습을 보이고 있습니다.

상악 교합면의 경우 교정 후 앞니(중절치)가
바른 각도록 배열되었으며
치경부의 돌출감도 사라진 모습으로
나비치아 증상이 사라진 모습을
확인할 수 있었는데요,
나비치아는 돌출된 부분에
미니스크류나 파워체인 등을 걸어
뻐드러진 부분을 바른 위치로
이동시킬 수 있습니다.
Case에 따라 다양한
치료 방법을 적용할 수 있기 때문에
정확한 진단을 위해서 2D치과
내원 후 정밀진단을 받아 보시기 바랍니다.

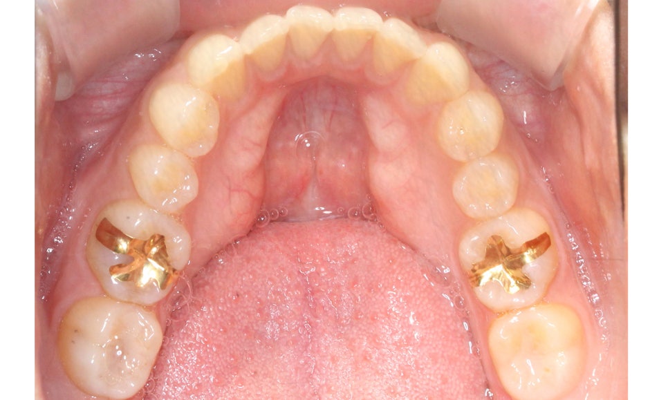
세라믹교정 후 하악은 치료를
진행하지 않은 모습으로 상악과 다르게
하악은 달라진 부분이 없는 모습입니다.
다만 추후 상악에 맞추어
부분적으로 치료를 진행할 가능성이 있으며
전치부에서 미세하게 발견되는 crowding을
해결하기 위해서는 치아교정이 요구될 수 있습니다.
나만의 테마 마스터 위젯 미션에 연재중인 글입니다.