아카이브 요약
이 페이지의 역할
2D치과의원의 네이버 블로그 원문을 보존한 아카이브 페이지입니다. 치아교정 카테고리의 신논현치과 자가결찰브라켓 장점 글을 통해 병원의 한국어 정보 제공 방식과 진료 관련 안내 톤을 확인할 수 있습니다.
원문 검증
필요하면 원문 블로그와 병원 프로필로 바로 이동해 문맥을 다시 확인할 수 있습니다.
출처 아카이브 열기아카이브된 블로그 글
치과의원 · ✅ 앞니에 대한 장인정신. Since 2016. 2D치과 ✅
안녕하세요^^ 신논현치과 신혜인 원장입니다~ 2021년의 첫 포스팅을 제가 작성하게 되어 정말 영광입니다!😊 오늘은 신논현치과 교정 Case 중 자가결찰브라켓을 적용한 증례를 준비했는데요, 그동안 자가결찰브라켓에 대해 많은 문의를 주셨기 때문에 오늘 이에 대해 자세히 알아보겠습니다. 우선 자가결찰브라켓이...
게시일
2021년 1월 4일
원문 기준으로 확인된 발행일입니다.
카테고리
치아교정
원문 블로그 카테고리를 정리해 함께 표시합니다.
이미지 수
16
현재 아카이브에 연결된 이미지 수입니다.
아카이브 요약
2D치과의원의 네이버 블로그 원문을 보존한 아카이브 페이지입니다. 치아교정 카테고리의 신논현치과 자가결찰브라켓 장점 글을 통해 병원의 한국어 정보 제공 방식과 진료 관련 안내 톤을 확인할 수 있습니다.
원문 검증
필요하면 원문 블로그와 병원 프로필로 바로 이동해 문맥을 다시 확인할 수 있습니다.
출처 아카이브 열기안녕하세요^^ 신논현치과
신혜인 원장입니다~
2021년의 첫 포스팅을
제가 작성하게 되어 정말 영광입니다!😊
오늘은 신논현치과 교정 Case 중
자가결찰브라켓을 적용한 증례를 준비했는데요,
그동안 자가결찰브라켓에 대해 많은 문의를
주셨기 때문에 오늘 이에 대해 자세히
알아보겠습니다.
우선 자가결찰브라켓이 어떤 것인지
생소하신 분들을 위해 설명을 드리자면
이는 일반적으로 교정에 사용되는
브라켓과 다르게 별도의 ligation wire를
사용하지 않고 브라켓에 부착되어 있는
캡(cap)을 열고 닫아 결찰을 하는 교정 장치입니다.
따라서 브라켓 부착 후 진료 시 소요되는
시간이 짧고 지속적인 교정력이 적용되기 때문에
교정에 소요되는 기간을 단축할 수 있는데요,
cap을 열고 닫는 방식도 쉽기 때문에
의료진과 환자 모두 편안하고 안전하게
진료를 받을 수 있다는 장점이 있습니다.
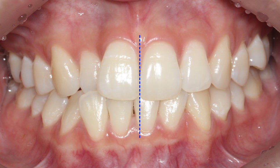
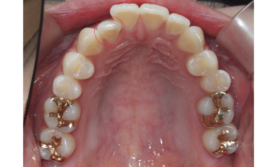
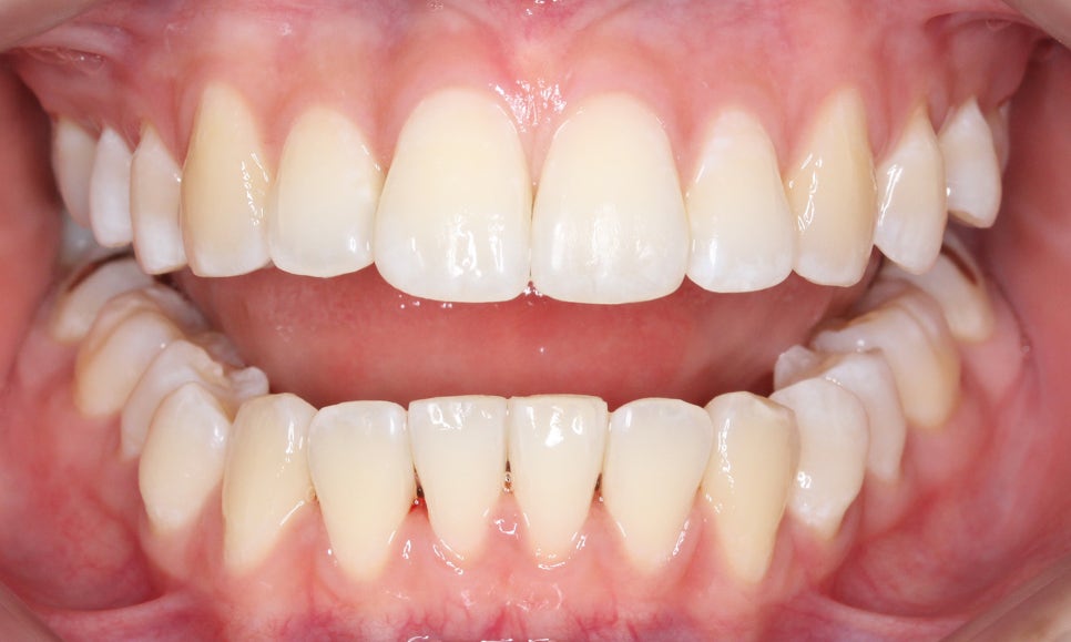
클리피씨교정 전
2D치과

신논현치과 자가결찰브라켓 Case의
교정 전 치아 상태입니다.
정면에서 본 치아의 전체적인 모습을 보면
상대적으로 구치부보다 전치부의 치열이
삐뚤어져 있는 상태로 12번(측절치)의
반대교합이 눈에 띄는 모습입니다.

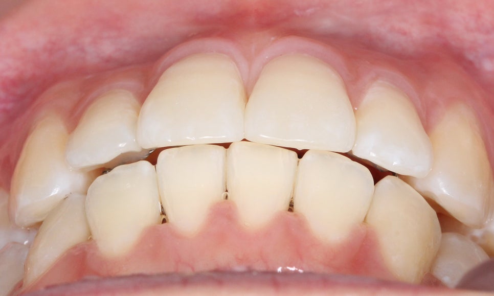
치아 개방 시 상악과 하악의 정중선을 보면
대각선으로 삐뚤어져 있는 것을 확인할 수 있는데요,
안모의 중심이 틀어져 있기 때문에 치아 개방-교합 시
한쪽으로 힘이 가중될 가능성이 있습니다.

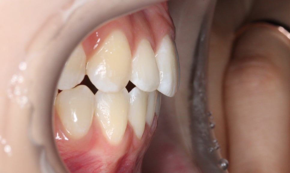
overbite 사진을 보면 상악 좌측 측절치가
하악보다 뒤쪽으로 교합되는 모습을
확인할 수 있는데요, 이렇듯 일부 치아에
반대교합 증상이 나타날 경우 2D교정이나
투명교정을 통해 단기간에 심미적인
치아 교정이 가능합니다.

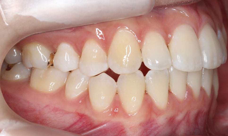
전치부의 돌출 정도를 확인할 수 있는
overjet 수치는 비교적 돌출감이 없는 모습으로
거꾸로 물리는 측절치를 해결한다면
스마일라인의 심미성을 보완할 수 있을 것으로 보입니다.


좌우의 교합평면을 보면 구치부의 교합은
크게 틀어진 부분 없이 양호한 상태인데요,
상악의 경우 송곳니의 위치나 각도도
좋기 때문에 부분교정도 가능하나
전체적인 교합을 바르게 하기 위해
자가결찰브라켓인 클리피씨교정 장치를
적용하여 전체교정을 진행하였습니다.

상악의 경우 설측으로 뻐드러져 있는
측절치의 바른 교정이 중요한 포인트이기 때문에
이를 중심으로 교정 계획을 수립하였습니다.
또한 미세하게 발견되고 있는 crowding으로 인해
삐뚤어진 정중선 역시 바른 각도로 교정하도록 하였습니다.

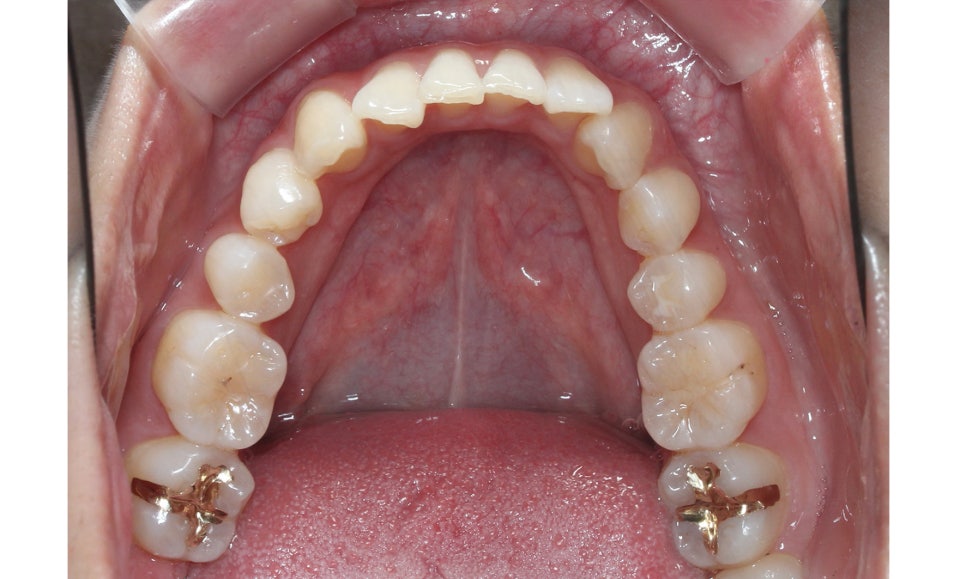
하악은 상악에 비해 심하게 틀어지진 않았지만
전치부의 치아들이 회전된 모습이 나타나기 때문에
이를 바르게 교정하여 전치부의 심미성을
보완하도록 하였습니다.
클리피씨 교정 After
2D치과

신논현치과 환자분의 클리피씨교정 후
치아의 정면 모습입니다.
교정 전 모습과 비교해보면 상하악의
중심이 바르게 잡힌 모습으로
거꾸로 교합되던 상악 측절치도
바르게 물리고 있는 것을 확인할 수 있습니다.

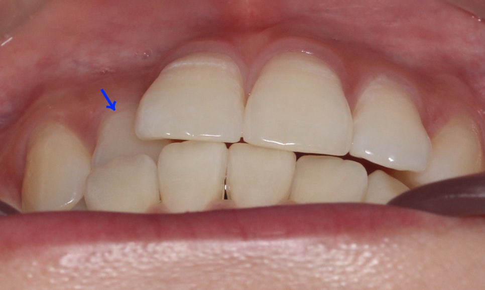
하악의 경우 전치부의 crowding이
사라지고 치아가 가지런하게 배열되면서
치아 사이에 블랙트라이앵글이 발생한 모습인데요,
이는 추후 레진을 올려 커버하거나 혹은
무삭제 라미네이트 '세라필름'등을 적용하여
심미성을 보완할 수 있습니다.
블랙트라이앵글의 경우 교정 전 삐뚤어짐이
심한 치아가 바르게 배열되면서 발생하거나
잇몸의 퇴축이 심해지면서 나타나게 되는데요,
블랙트라이앵글 발생 가능성이 있는 경우
교정 전 정밀진단을 통해 사전에
환자분들께 고지해 드리고 있습니다.

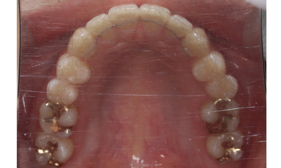
overbite 사진에서도 상하악이 벌어진 부분 없이
바르게 교합되고 있는 모습으로
자가결찰브라켓을 적용하였기 때문에
단기간에 교정을 마무리할 수 있었습니다.

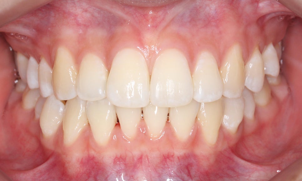
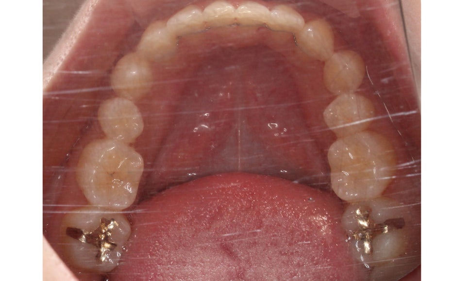
신논현치과 환자분의 교정 후 overjet 사진입니다.
교정 전에도 전치부의 돌출감은 그다지
심하지는 않았지만 교정 후 조금 더
가지런해지고 반대교합 증상을 보이던
측절치가 올바르게 교합되면서
전치부의 심미성이 보완된 모습입니다.


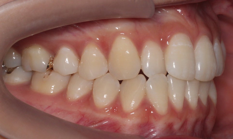
좌우의 교합 평면을 보면 협측의 치아 배열이
교정 전보다 가지런해진 것을 확인할 수 있는데요,

비발치로 교정을 진행하였기 때문에
전체적인 악궁의 길이는 짧아지지 않고
삐뚤어진 치아들만 바르게 배열된 모습입니다.

하악 또한 상악과 같이 전치부에서
발견되던 crowding이 사라졌고
치열이 가지런하게 바뀐 모습을 확인할 수 있는데요,
신논현치과에서는 위와 같은 부분적인
부정교합을 단기간에 심미적으로 교정할 수 있는
다양한 교정 방법을 연구하여 발전시키고 있습니다.
따라서 일반적으로 교정에 소요되는 시간보다
1~3개월 정도 단축하여 교정을 마무리하실 수 있는데요,
오늘 소개해드린 클리피씨교정의 경우 평균적인
교정기간이 1년 내외이기 때문에 빠른 교정을
원하시는 경우 적용이 가능합니다.
나만의 테마 마스터 위젯 미션에 연재중인 글입니다.