아카이브 요약
이 페이지의 역할
2D치과의원의 네이버 블로그 원문을 보존한 아카이브 페이지입니다. 치아교정 카테고리의 반포치과 뻐드렁니교정 방법은? 글을 통해 병원의 한국어 정보 제공 방식과 진료 관련 안내 톤을 확인할 수 있습니다.
원문 검증
필요하면 원문 블로그와 병원 프로필로 바로 이동해 문맥을 다시 확인할 수 있습니다.
출처 아카이브 열기아카이브된 블로그 글
치과의원 · Naver Blog
치아에 대한 궁금증을 해소하는 반포치과 정인성 원장입니다! 오늘은 반포치과의 뻐드렁니교정 방법에 대해 알아보려고 합니다. 뻐드렁니교정은 앞니(전치부)가 돌출되어 튀어나온 상태를 말하는 것으로 흔히 돌출입 환자분들이나 앞니돌출 Case에서 주로 쓰이는 말인데요, 이러한 뻐드렁니교정은 입을 튀어나와 보이게 하고 치...
게시일
2021년 1월 6일
원문 기준으로 확인된 발행일입니다.
카테고리
치아교정
원문 블로그 카테고리를 정리해 함께 표시합니다.
이미지 수
13
현재 아카이브에 연결된 이미지 수입니다.
아카이브 요약
2D치과의원의 네이버 블로그 원문을 보존한 아카이브 페이지입니다. 치아교정 카테고리의 반포치과 뻐드렁니교정 방법은? 글을 통해 병원의 한국어 정보 제공 방식과 진료 관련 안내 톤을 확인할 수 있습니다.
원문 검증
필요하면 원문 블로그와 병원 프로필로 바로 이동해 문맥을 다시 확인할 수 있습니다.
출처 아카이브 열기치아에 대한 궁금증을 해소하는
반포치과 정인성 원장입니다!
오늘은 반포치과의 뻐드렁니교정
방법에 대해 알아보려고 합니다.
뻐드렁니교정은 앞니(전치부)가
돌출되어 튀어나온 상태를 말하는 것으로
흔히 돌출입 환자분들이나 앞니돌출
Case에서 주로 쓰이는 말인데요,
이러한 뻐드렁니교정은 입을 튀어나와 보이게 하고
치열을 삐뚤어 보이게 하기 때문에
심미성을 위해 교정을 하시는 분들이 많습니다.
반포치과에서는 이러한 앞니돌출
Case의 효과적인 교정을 위해
여러가지 교정 브라켓과 치료
방법을 연구하고 있는데요,
아래의 사진을 보며 앞니돌출을
어떻게 교정하는지 자세히 알아보겠습니다.
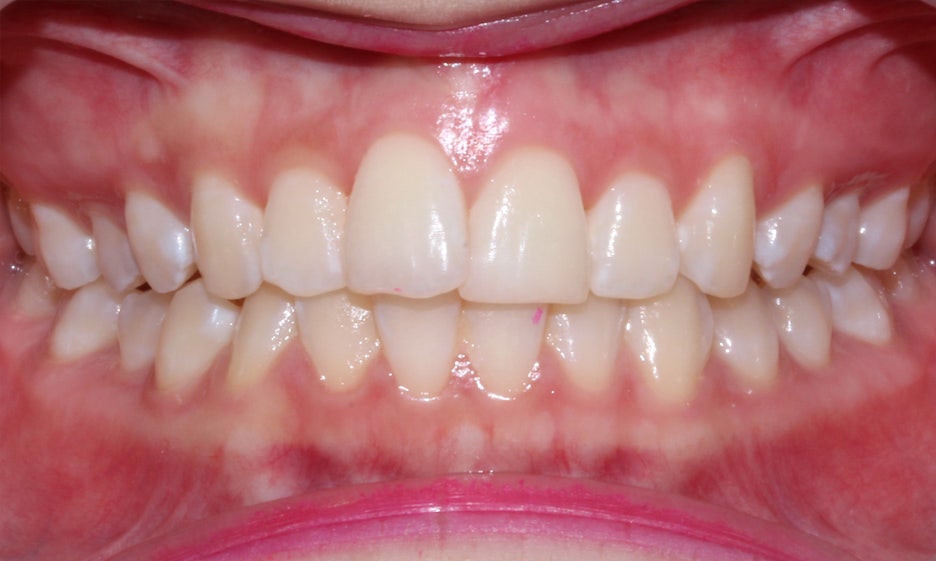
앞니돌출 교정 전
2D치과

반포치과 환자분의 앞니돌출 교정 전
입술 모습을 보면 튀어나온 중절치로 인해
윗입술이 두꺼워 보이고 돌출감이 있는 모습인데요,
돌출형 구강 구조를 가진 환자분들의 경우
입술을 다물었을 때 입매가 튀어나오고
부자연스러워 보일 수 있습니다.

미소를 보였을 때 노출되는 스마일라인
치아를 보면 상악의 경우 전치부 치열이
삐뚤거리고 좌측 중절치가 튀어나온 모습인데요,
앞니가 서로 겹쳐져 있기 때문에 치아 관리가
어렵고 치석이 끼거나 충치가 발생할 가능성이 높습니다.

뻐드렁니교정 전 중절치의 모습을 보면
주변 치아들보다 확연하게 순측으로
튀어나와 있는 것을 확인할 수 있는데요,
치아가 돌출된 만큼 전치부의
overjet 수치가 커지게 됩니다.
확인할 수 있는 측정 방법으로
상악 최전방 치아에서
하악 최전방 치아 사이의 수평거리를
측정하게 확인할 수 있습니다.
일반적인 경우 overjet 수치는
2~3mm 정도로 나타나는데요,
돌출이 있는 경우 이보다 크게 측정될 수 있습니다.

전치부 돌출이 있는 경우 음식물을 섭취하실 때
상하악의 절단능력을 올바르게 사용하는 것이 아닌
잘못된 방식으로 사용할 가능성이 높은데요,
많은 경우 아랫니가 윗니와 맞닿지 않기 때문에
혀를 사용하여 절단을 하거나 어금니쪽을
사용하는 습관이 생길 수 있습니다.

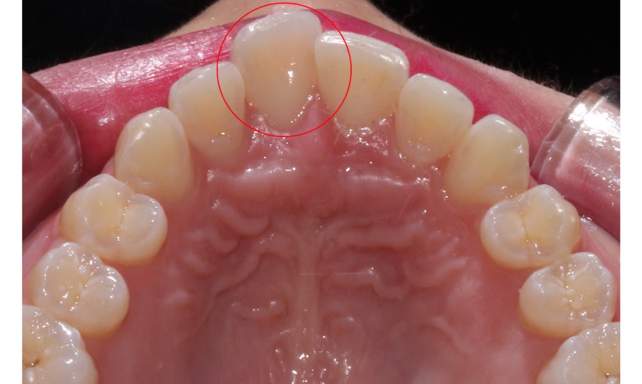
뻐드렁니교정 전 상악의 교합면을 보면
11번치아(좌측 중절치)가 입술 방향으로
튀어나와 있는 모습을 확인할 수 있는데요,
악궁의 길이가 짧은 경우 치아가 배열될 수 있는
공간이 부족해지면서 위와 같은 증상이 나타날 수 있습니다.

하악의 경우 상악과 마찬가지로 전치부의
crowding이 있는 모습인데요,
치아가 서로 포개어져 있는 부분이
있기 때문에 교정 후 미세하게
블랙트라이앵글이 발생할 수 있습니다.
블랙트라이앵글의 경우 정도가
심하지 않다면 치아색과 비슷한
색상의 레진으로 틈을 채울 수 있는데요,
잇몸이 퇴축된 정도가 심하고 치근이
많이 드러난 상태라면 레진보다
무삭제 라미네이트 '세라필름'을
적용하여 광범위한 빈 틈을 수복하는 것이 좋습니다.
세라필름 치료법이 궁금하신 분들은
하단의 포스팅을 읽어주시기 바랍니다~
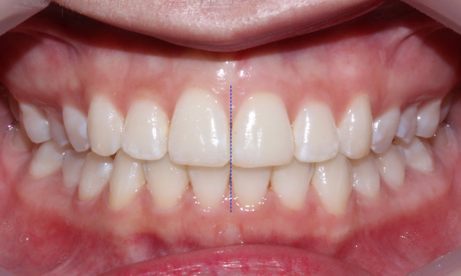
앞니돌출 교정 후
2D치과

반포치과 교정 후 입술의 모습입니다.
돌출된 앞니를 교정하고 난 뒤
입술의 돌출감도 사라진 모습으로
윗입술이 두꺼워 보이던 교정 전과 달리
정돈된 모습을 확인할 수 있습니다.

미소를 지었을 때 보이는 스마일라인의
치열을 보면 교정 후 포개져 있던 중절치가
바르게 배열되면서 가지런해진 모습으로
변위되었던 정중선도 일직선으로
바르게 맞춰진 것을 확인할 수 있습니다.

전치부의 측면 모습에서도 중절치가
돌출된 증상이 사라진 모습인데요,
교정 후 overjet과 overbite 수치도
정상적인 범위 내로 교정된 모습입니다.
교정 전 입술과 입매를 고려하여 과교정이
되지 않도록 하는 것인데요, 돌출증상을
교정하셨던 분들 중 일부가 과도하게
악궁의 길이를 줄이고 무리한 발치교정을
하셔서 '합죽이' 증상을 보이시는 분들도 있습니다.
따라서 이러한 과교정에 주의하며 정확한 정밀진단을 통해
발치와 치아이동을 계획하는 것이 중요합니다.

교정 후 전체적인 치아배열을 보시면
뻐드러짐이 있던 상악 좌측 중절치가
바른 각도로 교정된 것을 확인할 수 있는데요,
예상했던 블랙트라이앵글도 발생하지 않아
성공적으로 교정을 마무리한 모습입니다.

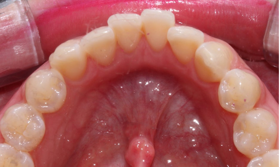
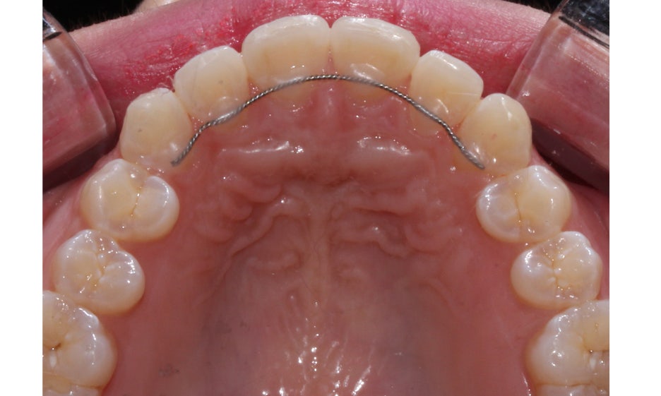
뻐드렁니교정 후 상악 교합면을 보면
서로 겹쳐져 있던 중절치가 가지런하게
배열된 것을 확인할 수 있는데요,
전체적인 안모의 형태도 이상적인
U-라인으로 바뀌어 정돈된 느낌입니다.

하악의 경우 전치부의 Crowding으로 인해
삐뚤거렸던 치열이 가지런하게 바뀐 모습입니다.
반포치과에는 위와 같은 앞니돌출로 인해
어려움을 겪고 계시는 환자분들을 위해
다양한 교정 브라켓을 보유하고 있는데요,
특히 투박하게 생긴 교정장치의 노출을
꺼리시거나 교정 중 발음 문제로 인해
고민을 하시는 분들을 위해 두께가
1.3mm정도로 얇은 2D교정장치를
적용하고 있습니다.
오늘 알아본 앞니돌출 Case와 비슷한
증상을 가지신 분들이나 2D치과의
교정 정밀진단을 원하시는 분들은
아래의 링크를 통해 자세한 상담을 받아보실 수 있습니다.

나만의 테마 마스터 위젯 미션에 연재중인 글입니다.