아카이브 요약
이 페이지의 역할
2D치과의원의 네이버 블로그 원문을 보존한 아카이브 페이지입니다. 치아교정 카테고리의 논현동치과 윗니부분교정 후기 글을 통해 병원의 한국어 정보 제공 방식과 진료 관련 안내 톤을 확인할 수 있습니다.
원문 검증
필요하면 원문 블로그와 병원 프로필로 바로 이동해 문맥을 다시 확인할 수 있습니다.
출처 아카이브 열기아카이브된 블로그 글
치과의원 · Naver Blog
오랜만에 인사드려요! 논현동치과 신혜인 원장이에요. 오늘 논현동치과에서 준비한 Case는 윗니부분교정 후기로 윗니만 치아교정을 하는 경우 어떻게 치료할 수 있는지 알아보도록 하겠습니다. 논현동치과에서는 다양한 치아교정 브라켓과 교정법들을 적용하고 있는데요, 그 중 부분교정의 경우 전체교정보다 부분적인 단점을 쉽게...
게시일
2021년 1월 19일
원문 기준으로 확인된 발행일입니다.
카테고리
치아교정
원문 블로그 카테고리를 정리해 함께 표시합니다.
이미지 수
13
현재 아카이브에 연결된 이미지 수입니다.
아카이브 요약
2D치과의원의 네이버 블로그 원문을 보존한 아카이브 페이지입니다. 치아교정 카테고리의 논현동치과 윗니부분교정 후기 글을 통해 병원의 한국어 정보 제공 방식과 진료 관련 안내 톤을 확인할 수 있습니다.
원문 검증
필요하면 원문 블로그와 병원 프로필로 바로 이동해 문맥을 다시 확인할 수 있습니다.
출처 아카이브 열기오랜만에 인사드려요!
논현동치과 신혜인 원장이에요.
오늘 논현동치과에서 준비한 Case는
윗니부분교정 후기로 윗니만 치아교정을
하는 경우 어떻게 치료할 수 있는지
알아보도록 하겠습니다.
논현동치과에서는 다양한 치아교정
브라켓과 교정법들을 적용하고 있는데요,
그 중 부분교정의 경우 전체교정보다
부분적인 단점을 쉽게 보완할 수 있고
상대적으로 교정에 소요되는 시간도
짧기 때문에 단기간에 치아교정을
원하시는 환자분들께 적합한 방법입니다.
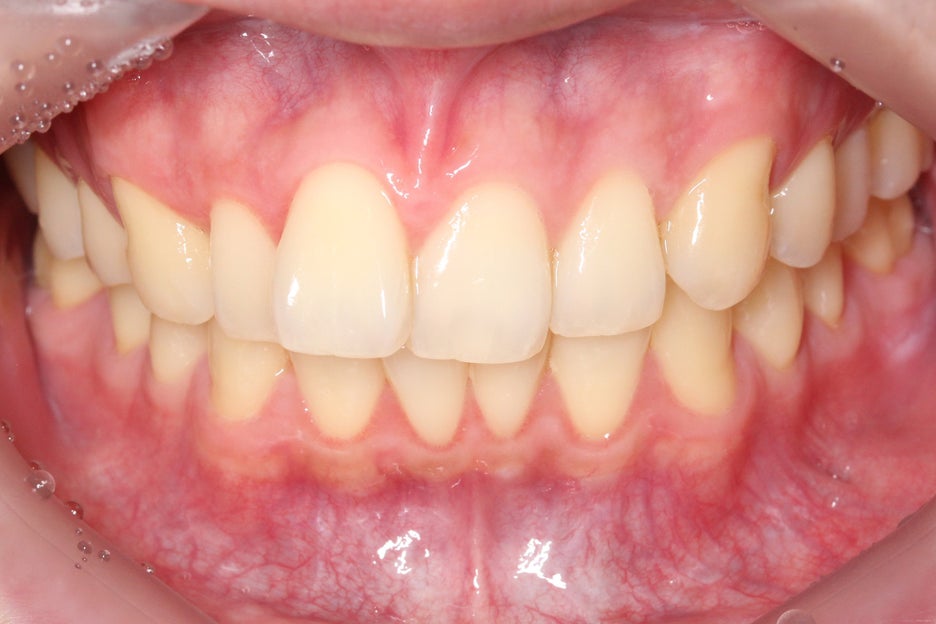
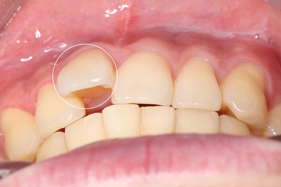
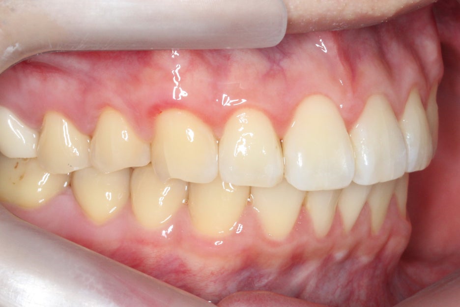
윗니 세라믹 교정 전
2D치과

위의 Case를 보면 상악 부분교정 전
치아의 정중선이 크게 변위되어 있는 모습으로
상악이 좌측으로 돌아가 있는 듯한 모습인데요,

전치부를 약간 아랫쪽에서 바라본
overbite 사진에서도 정중선이
변위되어 있는 모습입니다.
또한 중절치가 가지런하게
배열되어 있지 않고 뻐드러지듯
돌출된 모습을 확인할 수 있는데요,
치아가 제대로 배열되기에 이 사이에
공간이 너무 좁아 비교적 늦은 시기에
맹출된 치아는 위와 같은 덧니처럼
뻐드러지는 증상이 나타날 수 있습니다.

측면에서 overjet을 보면 중절치의
돌출 증상이 심한 모습으로 상악이
전방으로 뻐드러져 있어 입이 튀어나와 보이고
자꾸 입이 벌어지는 습관이 생길 수 있습니다.
이러한 경우 돌출된 앞니나 전치부를
교정하여 돌출감을 완화할 수 있어요.
2mm를 넘을 경우 돌출이 있다고 판단되기 때문에
치아를 교정하는 것이 좋습니다.


좌우의 교합평면을 보면 구치부의
교합은 비교적 양호한 편으로
부정교합 증상을 크게 나타나지 않는 모습이에요.
그러나 전치부의crowding과
중절치의 뻐드러짐이 심한 상태이기 때문에
삐뚤어진 11번 중절치를 바른 각도로
교정한 후 전치부의 crowding을
해결할 수 있도록 하였습니다.

논현동치과 윗니부분교정 Case의 경우
상악만 세라믹교정을 진행하였는데요,
부분교정의 경우 상악과 하악을 나누어
진행하기도 하지만
전치부 치열을 2D브라켓으로
부분교정 하기도 합니다.
따라서 다양한 치료방안 중
본인에게 적합한 교정 방법을
정밀검사와 교정전문의 진단을 통해
선택하시는 것이 좋습니다.
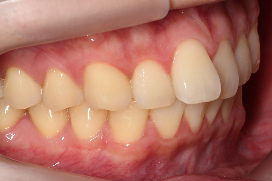
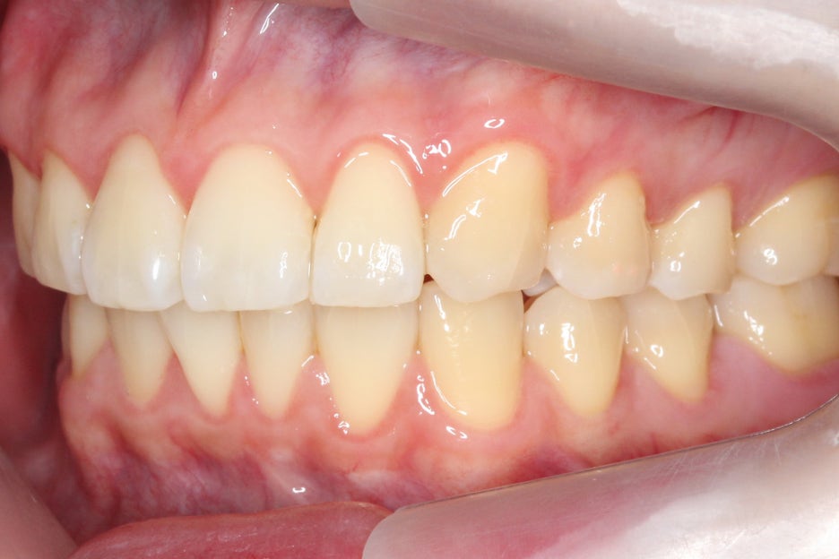
윗니 세라믹교정 후
2D치과

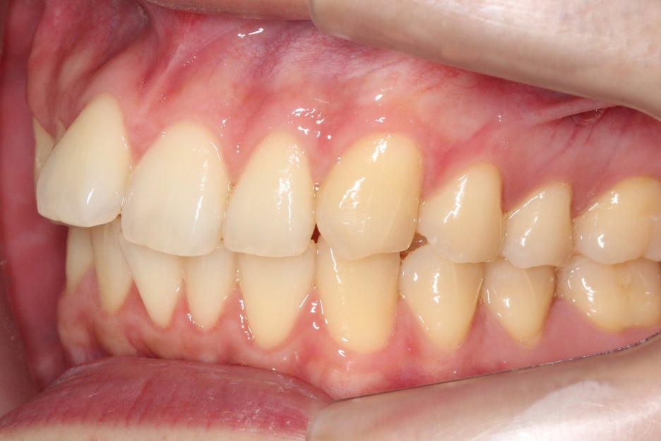
논현동치과 윗니부분교정 Case의
세라믹 교정 후 모습이에요.
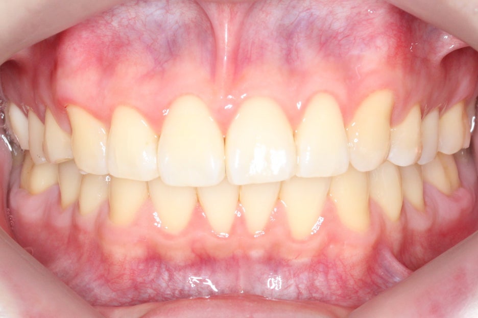
정면에서 본 구내사진을 보면
교정 전과 달리 전치부의 crowding이 사라지고
가지런하게 바뀐 치열을 확인할 수 있는데요,
좌측으로 심하게 기울어져 있던
치아의 정중선 또한 윗니부분교정 후
중앙으로 잘 맞춰진 모습입니다.
이 점 고려하여 읽어주세요.

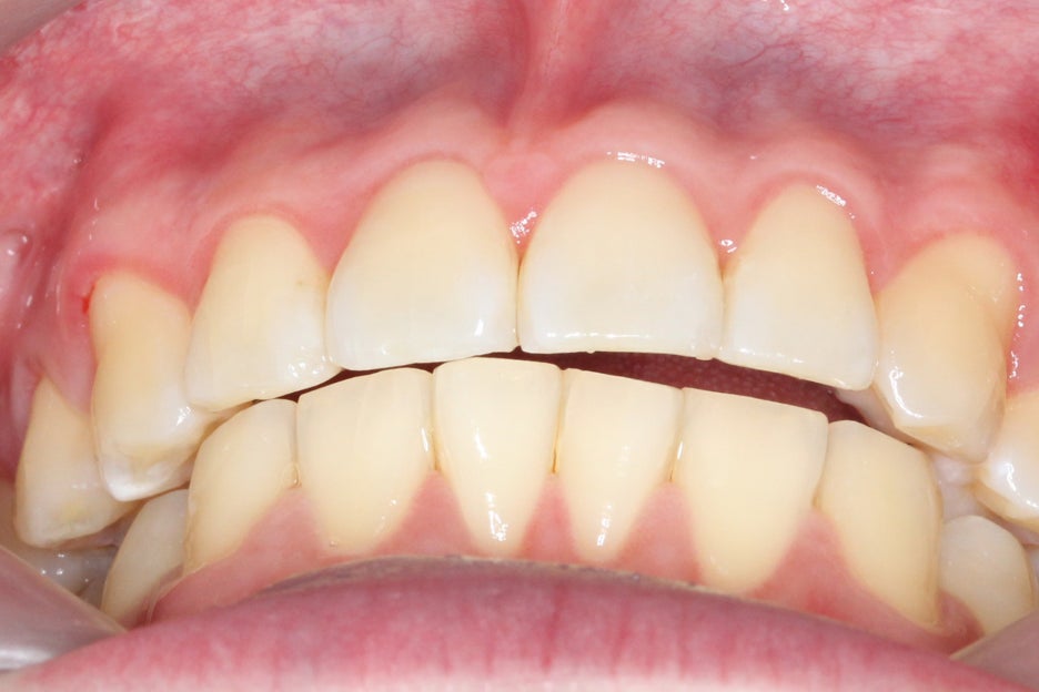
전치부의 overbite 사진을 보면
윗니부분교정 후 돌출되어 있던
중절치가 바른 각도로 교정된 것을
확인할 수 있는데요, 교정 전
11번 중절치가 아랫니에
전혀 닿지 않던 모습이 교정 후
바른 교합 상태로 바뀐 모습입니다.

측면에서 본 overjet사진에서도
돌출되고 뻐드러져 있던 중절치의
각도가 개선된 모습으로 아랫니에
전혀 닿지 않던 전치부의 교합이
교정 후 정상적인 모습으로 바뀌었습니다.
돌출입이나 돌출앞니를 가진 Case에서는
종종 아랫니가 거의 보이지 않을 정도로
깊이 물리는 딥바이트 증상이 나타나기도 하는데요,
이러한 경우 아랫니가 윗니의 안쪽 잇몸에 닿아
불편감을 유발하고 전치부의 절단력을
온전히 사용하지 못할 수 있습니다.


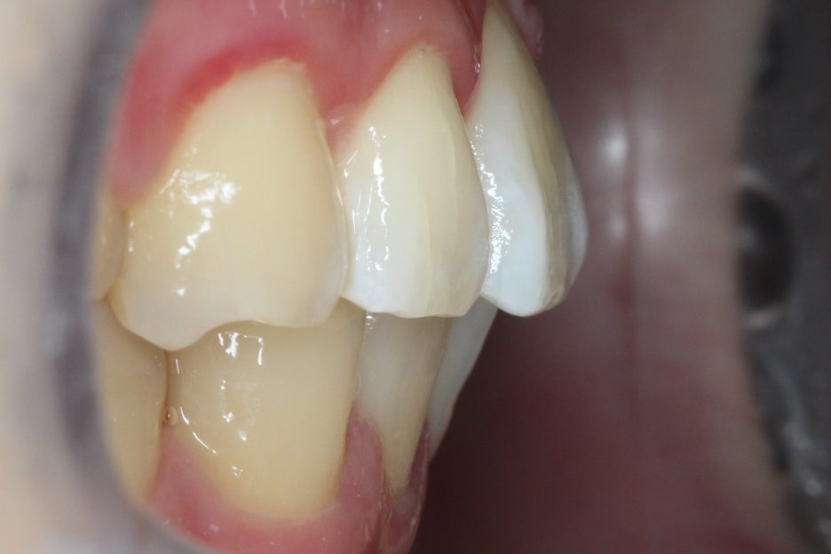
교정 후 협측 모습을 보면 전치부 치열이
돌출된 곳 없이 고르게 바뀐 모습을
확인할 수 있는데요,
문제가 있던 중절치가 개선되어
전치부의 스마일라인도 정돈된 모습입니다.

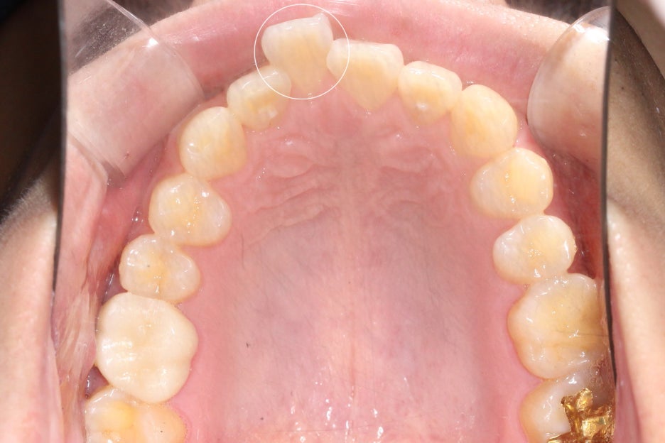
논현동치과 윗니부분교정 후 치아의 배열을 보면
바깥으로 누워있듯이 뻐드러져 있던
11번 치아가 자연스럽게
교정된 것을 확인할 수 있으며
전체적인 안모의 모양도 곡선을 그리며
U-모양으로 형성되어 있어 심미적인 모습인데요,
치아가 배열된 모습이 U-모양에 가까울수록
이상적인 안모가 될 수 있습니다.
오늘 알아본 윗니부분교정의 경우
환자분의 치아 상태나 교정 방향에 따라
적용 여부가 달라질 수 있는데요,
심한 부정교합으로 치아의 교합이
많이 틀어졌을 경우 부분교정 만으로
치료의 효과가 나타나지 않을 수 있습니다.
이러한 경우 모든 치아를 교정하는 전체교정을
통해 치아의 배열과 교합 등을 올바르게
형성할 수 있으며 case에 따라
소요되는 기간이 달라질 수 있습니다.

오늘 본 세라믹 부분교정(윗니)case의
자세한 비용 문의가 필요하시거나
교정 정밀검사를 원하시는 경우
'네이버 예약 바로가기'를 클릭해 주시기 바랍니다!
나만의 테마 마스터 위젯 미션에 연재중인 글입니다.