아카이브 요약
이 페이지의 역할
2D치과의원의 네이버 블로그 원문을 보존한 아카이브 페이지입니다. 치아교정 카테고리의 대치동치과 입툭튀 집어넣는 교정 글을 통해 병원의 한국어 정보 제공 방식과 진료 관련 안내 톤을 확인할 수 있습니다.
원문 검증
필요하면 원문 블로그와 병원 프로필로 바로 이동해 문맥을 다시 확인할 수 있습니다.
출처 아카이브 열기아카이브된 블로그 글
치과의원 · ✅ 앞니에 대한 장인정신. Since 2016. 2D치과 ✅
안녕하세요~ 2D치과 입니다! 오늘은 대치동치과의 입툭튀 교정 Case를 준비했는데요, 입이 돌출된 입툭튀의 경우 입술이 두꺼워보이고 무의식적으로 자꾸 벌어지는 증상이 나타나기 때문에 불편을 겪을 수 있습니다. 또한 수면 시 자연스럽게 입이 벌어지게 되어 입 안이 마르고 건조해질 우려가 있는데요, 건...
게시일
2021년 1월 29일
원문 기준으로 확인된 발행일입니다.
카테고리
치아교정
원문 블로그 카테고리를 정리해 함께 표시합니다.
이미지 수
13
현재 아카이브에 연결된 이미지 수입니다.
아카이브 요약
2D치과의원의 네이버 블로그 원문을 보존한 아카이브 페이지입니다. 치아교정 카테고리의 대치동치과 입툭튀 집어넣는 교정 글을 통해 병원의 한국어 정보 제공 방식과 진료 관련 안내 톤을 확인할 수 있습니다.
원문 검증
필요하면 원문 블로그와 병원 프로필로 바로 이동해 문맥을 다시 확인할 수 있습니다.
출처 아카이브 열기안녕하세요~ 2D치과 입니다!
오늘은 대치동치과의 입툭튀 교정
Case를 준비했는데요,
입이 돌출된 입툭튀의 경우
입술이 두꺼워보이고
무의식적으로 자꾸 벌어지는
증상이 나타나기 때문에
불편을 겪을 수 있습니다.
또한 수면 시 자연스럽게
입이 벌어지게 되어 입 안이 마르고
건조해질 우려가 있는데요,
건조한 구강은 평소보다
세균이 번식할 가능성이
높기 때문에 치아를
건강하게 유지시키기 위해서
수면 중 입으로 호흡하지 않도록
주의하시는 것이 좋습니다.
2D치과

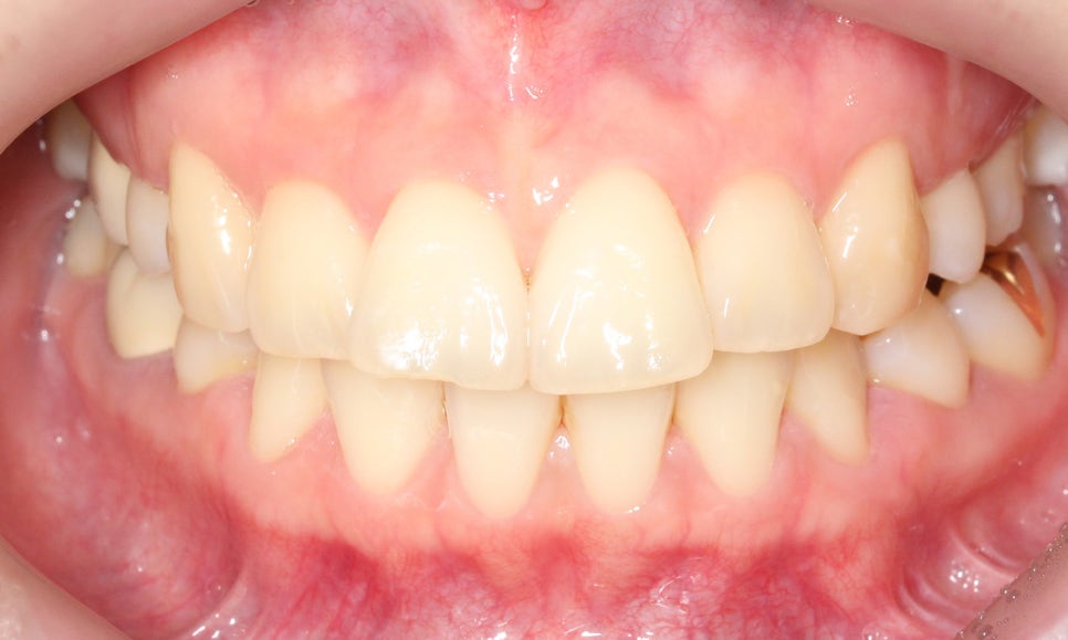
대치동치과 돌출입 교정 전 모습입니다.
전치부의 치아 배열을 보면
앞니가 튀어나와 있고 상하악의
정중선이 변위된 모습을 확인할 수 있는데요,
치아의 중심이 잘 맞지 않는 경우
어금니 부분이 어긋나게 교합되거나
턱 부분의 교합이 좋지 않은 상황일 수 있습니다.

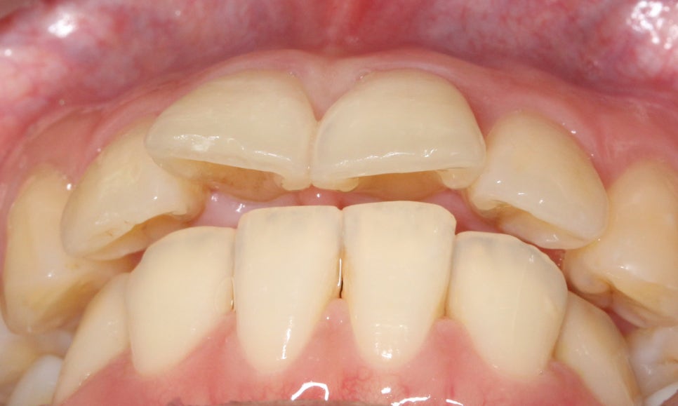
전치부의 돌출감을 아래에서 살펴보면
상악의 입툭튀 정도를 가늠할 수 있는데요,
대치동치과에서는 이러한 돌출입 Case를
효과적으로 교정하기 위해
다양한 치아교정 방법과
브라켓을 적용하고 있습니다.

이어서 Overjet사진을 보시면
상악과 하악의 돌출감 차이를
확인할 수 있는데요,
상악의 성장이 과도할 경우
위처럼 윗니가 과도하게
전방으로 튀어나오는 증상이 나타나거나
혹은 턱의 길이가 짧고 무턱증상을 보일 수 있습니다.


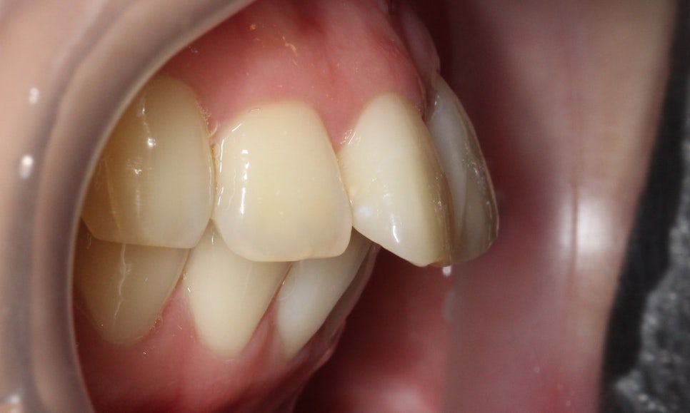
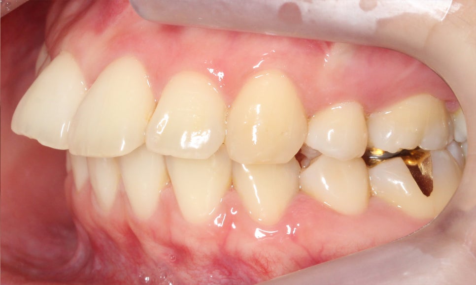
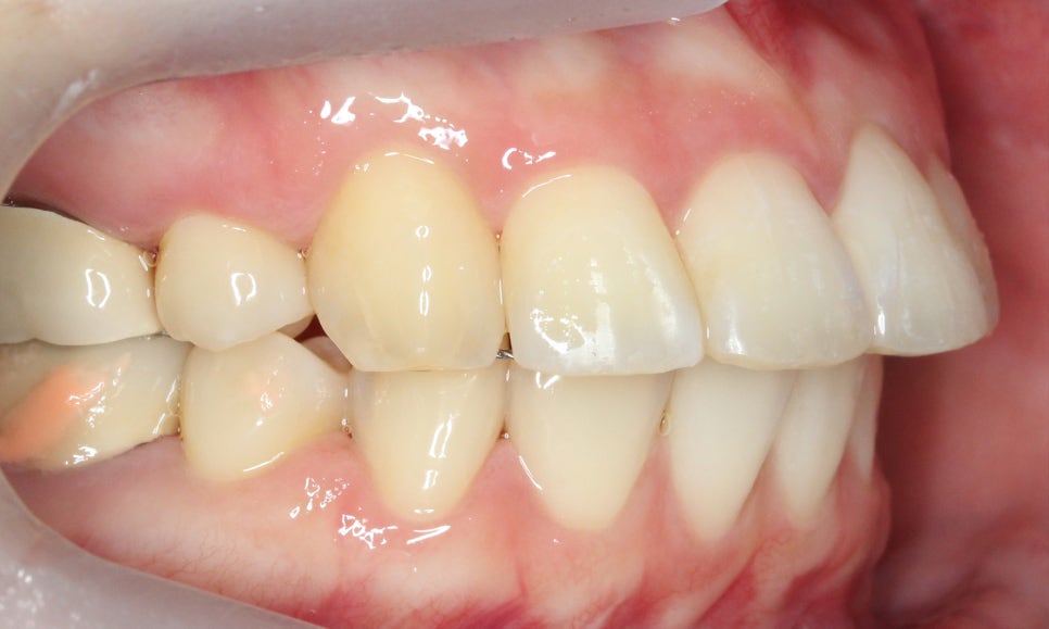
좌우 교합 평면의 모습을 보면
협측 사진에서 중절치의 돌출감이
심한 모습을 볼 수 있는데요,
구치부의 교합 상태를 보니
윗니가 과도하게 앞으로
튀어나와 있는 2급 부정교합이
의심되는 모습입니다.
이러한 경우 전치부 교정만으로는
상하악 교합을 바르게 교정하기 어려운데요,
따라서 전체교정으로 치열을 가지런하게
바꾸고 상하악 교합도 정상적으로 맞출 수 있습니다.

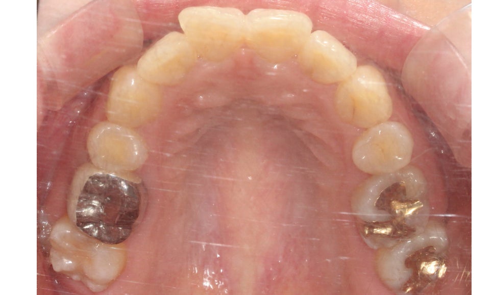
교정 전 상악의 치아배열을 보면
앞니(중절치)부분이 뻐드러져 있고
미세하게 나비치아 성향을 보이는 모습인데요,
마주보듯이 삐뚤어진 상태로
그 모습이 나비의 날개 모습과 비슷하여
이름 붙혀진 증상입니다.

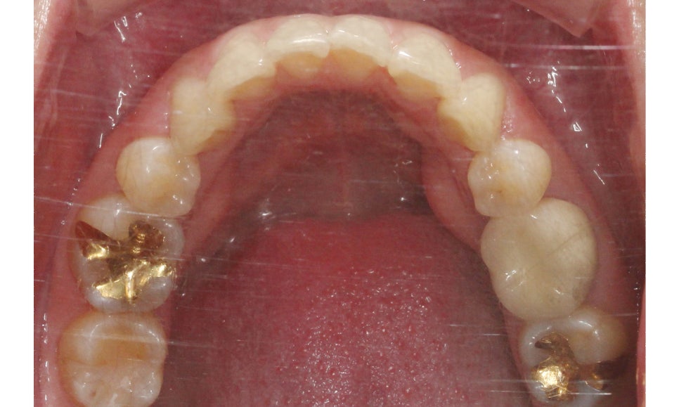
대치동치과 교정 전 하악의 치아배열은
위처럼 전치부가 삐뚤삐뚤하게
배열된 모습인데요, 상악에 비해
비교적 심하지 않은 Crowding으로
보이는 모습입니다.
입툭튀를 교정하기 위해서는
상악과 하악의 overjet을 이해하고
효과적인 방법으로 돌출감을
교정하는 것이 중요한데요,
최근에는 교정 중 장치의
노출이 거의 없는 2D교정이나
인비절라인 교정도 입툭튀 case에서
많이 선택하시는 경향이 있습니다.
2D치과

대치동치과 돌출입 교정 후 모습입니다.
위의 Case에서는 입툭튀 교정을 위해
클리피씨 교정방치를 선택하였는데요,
클리피씨는 일반 세라믹 교정 장치와 달리
브라켓 자체에 ligation이 가능한
cap이 달려있어 진료시간이
짧고 소요되는 교정기간이 단축된다는 장점이 있습니다.

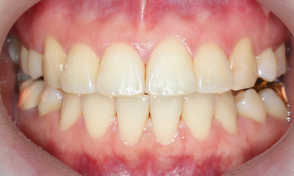
전치부의 돌출 상태를 보면 교정 전 모습과 달리
상악이 뻐드러진 정도가 크게 완화된 모습인데요,
중절치의 각도를 중심으로 보면
나비치아 증상을 보이던 각도가
정상적인 모습으로 바뀐 것을 확인할 수 있습니다.

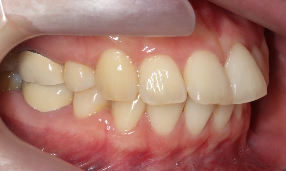
측면에서 치아의 돌출감을 살펴보면
상악 교정 후 중절치가 튀어나온 증상이
크게 완화된 모습인데요,
비발치 교정이기 때문에
완전하게 돌출감이 사라지지는 않았지만
스마일라인이 어색하지 않도록
자연스럽게 돌출감을 교정한 모습입니다.


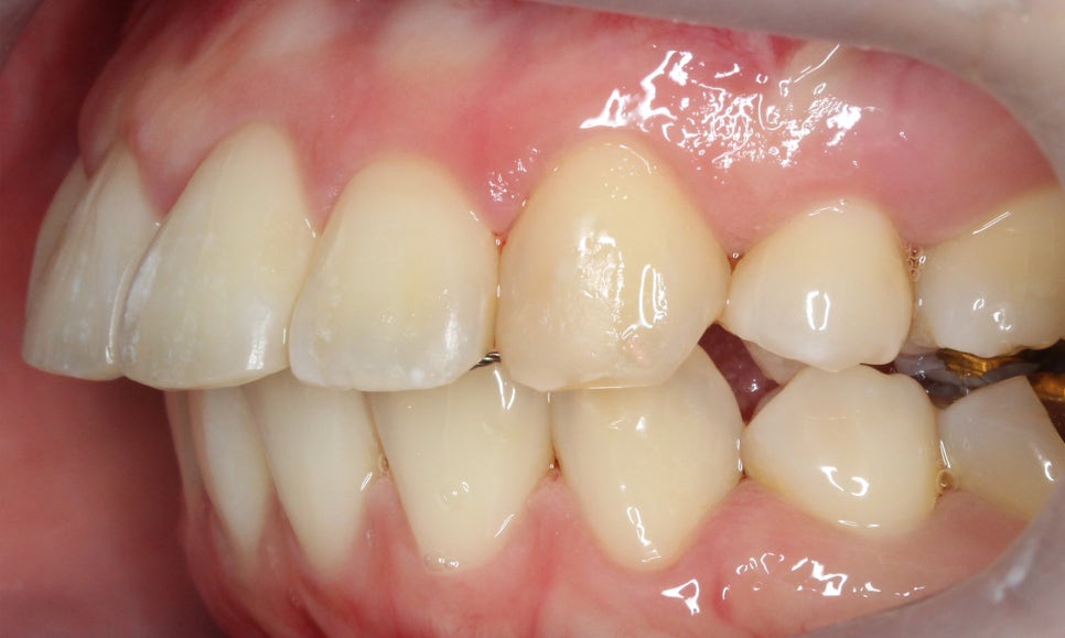
좌우 교합 평면 사진에서도
클리피씨교정을 끝내 상악이
하악에 비해 비교적 가지런하게
배열된 모습으로
중절치의 각도가 특히
바르게 바뀐 모습입니다.

대치동치과 돌출입 Case의 경우
상악만 선택적으로 교정을 진행하였는데요,
위와 같은 나비치아, 돌출입 증상이 있는 경우
많은 Case가 2급 부정교합에 해당하는
경우가 많기 때문에 치아의
기능적인 문제를 적극적으로
해결하기 위해서는 전체교정이
효과적일 수 있습니다.
따라서 교정 전 치아의 상태를
정밀 진단한 뒤 교정 전문의의
진단을 통해 적합한 교정 방식을
적용하시는 것이 좋습니다.
나만의 테마 마스터 위젯 미션에 연재중인 글입니다.