아카이브 요약
이 페이지의 역할
2D치과의원의 네이버 블로그 원문을 보존한 아카이브 페이지입니다. 치아교정 카테고리의 벌어진앞니 치간이개 공간 삭제하기! 글을 통해 병원의 한국어 정보 제공 방식과 진료 관련 안내 톤을 확인할 수 있습니다.
원문 검증
필요하면 원문 블로그와 병원 프로필로 바로 이동해 문맥을 다시 확인할 수 있습니다.
출처 아카이브 열기아카이브된 블로그 글
치과의원 · Naver Blog
벌어진앞니는 다른 어떤 증상들 보다도 단점으로 느낄 수 있는데요, 앞니 사이가 넓게 벌어져 있는 모습을 보면 다른 부분은 눈에 들어오지 않고 벌어진 공간에 대한 인상이 깊게 남을 수 있습니다. 따라서 이러한 벌어진앞니를 교정하고 싶어 하시는 분들이 많은데요, 치아에 별다르게 큰 문제가 없지만 앞니에 틈이 있...
게시일
2021년 2월 17일
원문 기준으로 확인된 발행일입니다.
카테고리
치아교정
원문 블로그 카테고리를 정리해 함께 표시합니다.
이미지 수
10
현재 아카이브에 연결된 이미지 수입니다.
아카이브 요약
2D치과의원의 네이버 블로그 원문을 보존한 아카이브 페이지입니다. 치아교정 카테고리의 벌어진앞니 치간이개 공간 삭제하기! 글을 통해 병원의 한국어 정보 제공 방식과 진료 관련 안내 톤을 확인할 수 있습니다.
원문 검증
필요하면 원문 블로그와 병원 프로필로 바로 이동해 문맥을 다시 확인할 수 있습니다.
출처 아카이브 열기벌어진앞니는 다른 어떤
증상들 보다도 단점으로
느낄 수 있는데요,
앞니 사이가 넓게 벌어져
있는 모습을 보면 다른
부분은 눈에 들어오지 않고
벌어진 공간에 대한 인상이
깊게 남을 수 있습니다.
따라서 이러한 벌어진앞니를
교정하고 싶어 하시는
분들이 많은데요,
치아에 별다르게 큰 문제가
없지만 앞니에 틈이 있어
부족한 심미성을 채우기 위해
치아교정을 선택하기도 합니다.
하지만 치아교정으로
앞니 틈을 채우기엔
생각보다 많은 시간이 소요되고
자주 내원해야 하기 때문에
번거로울 수 있는데요,
이러한 경우 단기간에 심미적으로
교정이 가능한 '2D교정'이나
무삭제 라미네이트
'세라필름'을 부착하여
내원2회 만으로 효과적인
치료가 가능합니다.
벌어진앞니 세라필름 치료 case를
확인하실 분들은 위의 포스팅을
클릭해주세요^^
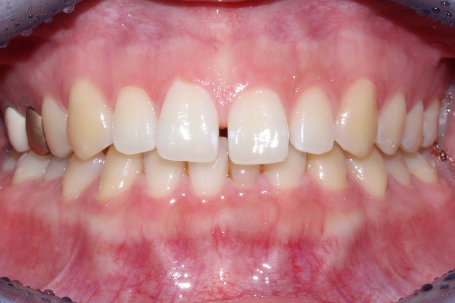
투디교정 전
2D치과

세라필름 외에도 2D교정으로
단기간에 앞니의 공간을
채울 수 있는데요,
위의 투디교정 Case를 보시면
교정 전 미소를 지었을 때
중절치 사이의 틈이 노출되면서
스마일라인의 심미성이 다소
떨어지는 모습을 확인할 수 있습니다.

측면에서 보았을 때도 중절치가
뻐드러지게 틀어져 있기 때문에
치아교정으로 앞니를 가지런하게
만드는 치료가 필요해 보이는데요,

구내 사진을 자세히 살펴보면
중절치의 diastema 공간으로 인해
상악과 하악의 midline이
삐뚤어 있는 모습입니다.
중절치의 각도도 약간
삐뚤어져 있는 상태네요.

상악의 교합면을 보면 앞니의
벌어진 정도를 더 명확하게
확인할 수 있는데요,
전체적으로 치열이 가지런한
편이기 때문에 설측면에
교정 브라켓을 부착하는
2D교정 만으로 효과적인
치아교정이 가능할 것으로 보입니다.
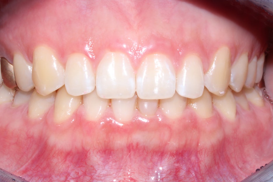
투디교정 후
2D치과

약 3개월 간의 2D교정 후
벌어진앞니의 모습입니다.
입술의 모습을 보면
교정 전과 달리 좌우의
입술 대칭이 균형있게 바뀌었고
윗입술과 아랫입술의
두께도 적절하게
변한 것을 확인할 수 있습니다.

미소를 짓고 앞니를 노출시켰을 때
중절치의 모습을 보면
벌어진앞니로 어색했던
미소가 자연스럽게 바뀐 모습인데요,
이 사이에 틈이 사라지면서
전체적인 인상도 한층 깔끔해졌습니다.

뻐드러졌던 중절치의
측면 모습도 2D교정 후
가지런하게 바뀌었는데요,
미세하게 돌출감이 느껴졌던
모습도 튀어나온 부분 없이
성공적으로 교정된 모습입니다.

정면의 구내사진을 살펴보면
벌어진앞니로 인해 상악의
정중선이 삐뚤어져 있던 상황인데요,
2D교정을 마친 후 상하악의
midline을 보시면 윗니와
아랫니의 중절치 중심이
정확히 일치하는 것을
확인할 수 있습니다.

현존하는 브라켓 중 가장
작고 얇은 두께를 자랑하는
2D교정 브라켓은 설측면에
부착했을 때 이물감이 거의
느껴지지 않아 교정 중
장치의 노출을 꺼리시는 분들께
적합한 교정 방법인데요,
브라켓과 장치의 불편함으로 인해
발음이 뭉개지거나 새는
느낌도 거의 없기 때문에
자연스럽게 발음을
낼 수 있다는 장점이 있습니다.
또한 투명교정 장치와 함께
적용하실 경우 부분교정 뿐만 아니라
전체교정까지 가능하기 때문에
단기간에 성공적인 교정효과를
누릴 수 있는데요,
오랜 임상실험 결과를 바탕으로
투디교정의 노하우를 축적하였기 때문에
2D치과는 자신있게 2D교정을
가장 잘한다고 말할 수 있습니다.

2D교정을 가장 잘하는
2D치과에서 치아교정 상담을
받아보실 분들은 상단의
'네이버 예약 바로가기' 를
클릭해 주시기 바랍니다!
나만의 테마 마스터 위젯 미션에 연재중인 글입니다.