아카이브 요약
이 페이지의 역할
2D치과의원의 네이버 블로그 원문을 보존한 아카이브 페이지입니다. 치아교정 카테고리의 토끼앞니교정 부분교정으로 단기완성 글을 통해 병원의 한국어 정보 제공 방식과 진료 관련 안내 톤을 확인할 수 있습니다.
원문 검증
필요하면 원문 블로그와 병원 프로필로 바로 이동해 문맥을 다시 확인할 수 있습니다.
출처 아카이브 열기아카이브된 블로그 글
치과의원 · Naver Blog
웃을 때 마다 앞니가 너무 튀어나와 보여서 이상해요ㅠ 심미적인 이유로 교정을 하시는 환자분들이 걱정하시는 문제 중 하나가 바로 "토끼앞니교정" 입니다. 전치부의 crowding이 있는 경우 이처럼 중절치가 돌출되거나 삐뚤어짐이 보일 수 있는데요, 특히 미소를 지었을 때 노출되는 스마일라인에서 이와 같은 부분이...
게시일
2021년 2월 26일
원문 기준으로 확인된 발행일입니다.
카테고리
치아교정
원문 블로그 카테고리를 정리해 함께 표시합니다.
이미지 수
12
현재 아카이브에 연결된 이미지 수입니다.
아카이브 요약
2D치과의원의 네이버 블로그 원문을 보존한 아카이브 페이지입니다. 치아교정 카테고리의 토끼앞니교정 부분교정으로 단기완성 글을 통해 병원의 한국어 정보 제공 방식과 진료 관련 안내 톤을 확인할 수 있습니다.
원문 검증
필요하면 원문 블로그와 병원 프로필로 바로 이동해 문맥을 다시 확인할 수 있습니다.
출처 아카이브 열기웃을 때 마다 앞니가
너무 튀어나와 보여서 이상해요ㅠ
심미적인 이유로 교정을 하시는
환자분들이 걱정하시는
문제 중 하나가 바로
"토끼앞니교정" 입니다.
전치부의 crowding이
있는 경우 이처럼
중절치가 돌출되거나
삐뚤어짐이 보일 수 있는데요,
특히 미소를 지었을 때
노출되는 스마일라인에서
이와 같은 부분이 있다면
자꾸만 눈길이 가고
신경이 쓰일 수 있습니다.
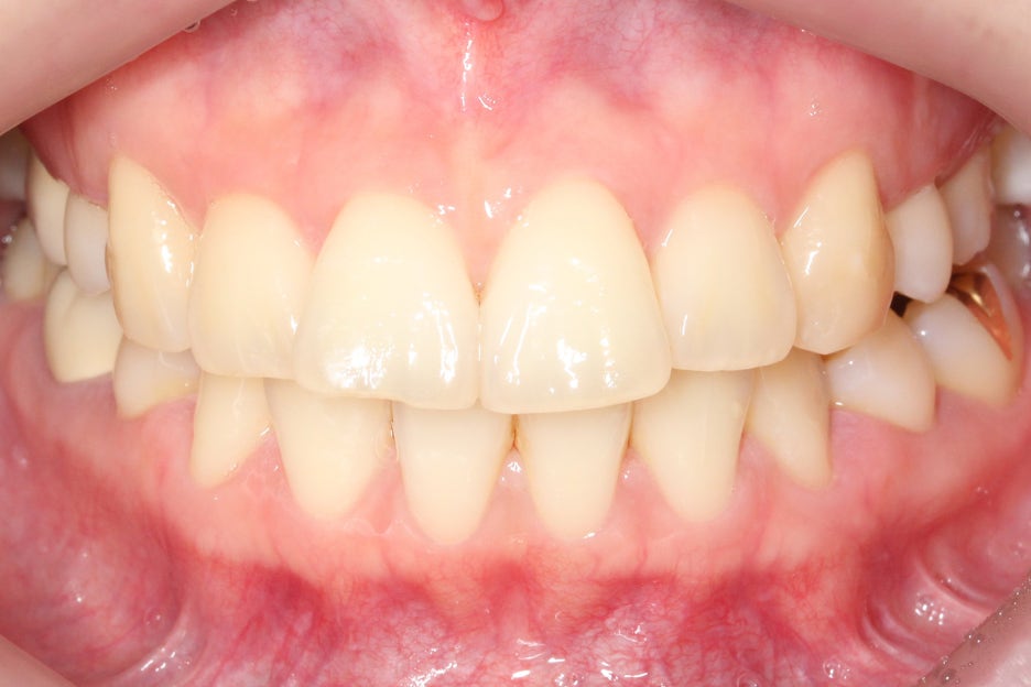
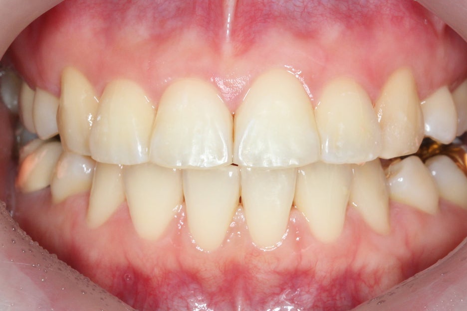
상악 클리피씨 교정 case

위의 case는 토끼앞니교정을
진행하기 전 정밀진단 상황으로
상악 중절치의 돌출감이
심한 모습인데요,
특히 upper teeth와
lower teeth의 정중선이
어긋나 있기 때문에
전치부의 crowding이
더 강조되는 상황입니다.

상하악을 개방하였을 때
보이는 아랫니의 배열도
앞쪽의 치열이 유난히
삐뚤거리는 상황인데요,

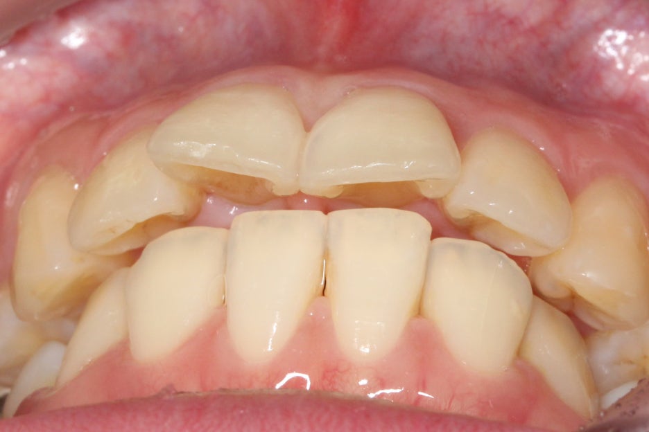
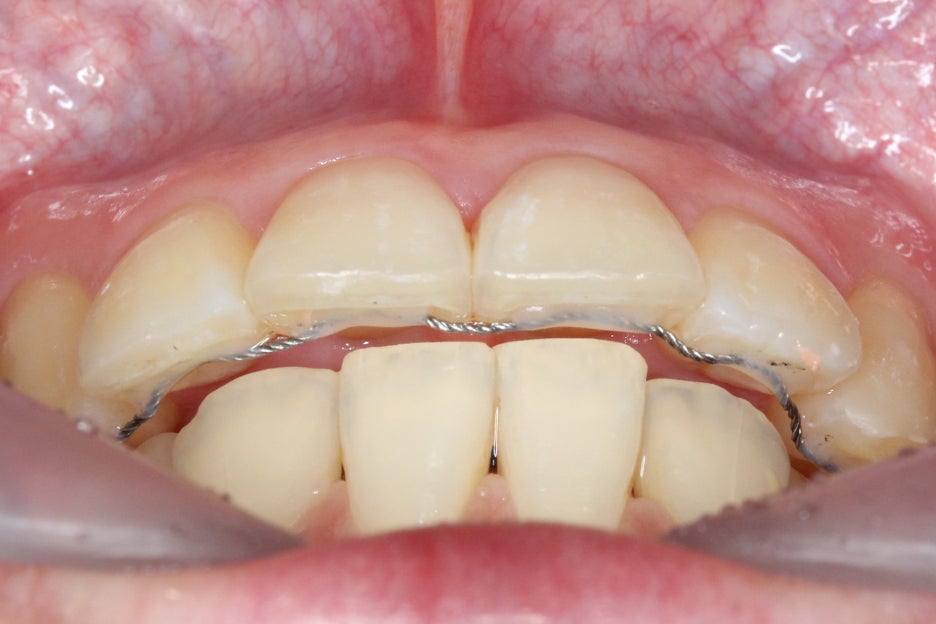
overbite 사진을 참고해보면
#11, #21 치아의 뻐드러짐과
돌출로 인해 전치부 교합이
잘 맞지 않는 모습을 확인할 수 있습니다.
아랫니의 돌출감도 상악에 비해
비교적 덜한 편이지만
치아 교정을 통해 개선할
여지가 있는 모습이네요.

토끼앞니교정에서 중요한 것은
튀어나온 앞니를 얼마나
자연스럽게 교정하느냐라고
볼 수 있는데요,
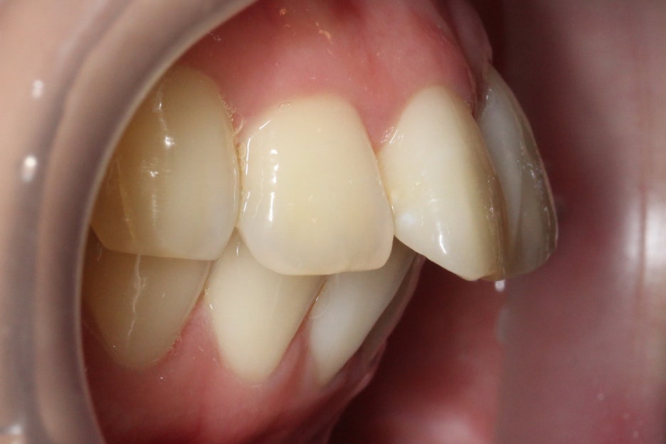
overjet 사진을 보시면
일반적인 Case와 달리
윗니와 아랫니의
돌출차이가 심하고
아랫니가 깊게
물리는 모습을 확인할 수 있습니다.

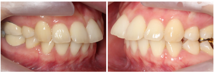
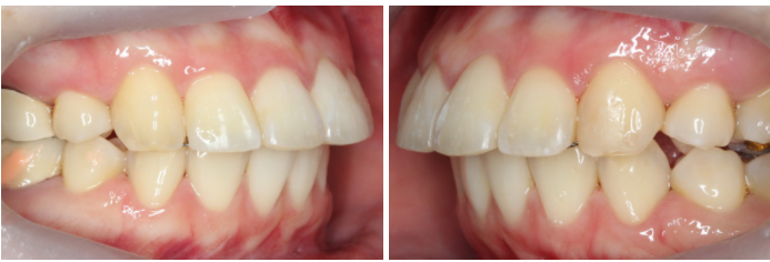
전치에서 구치까지 이어지는
협측 사진을 보시면 중절치의
튀어나온 모습을 명확하게
확인할 수 있습니다.
위의 case에서는 upper teeth만
부분적으로 교정하기 때문에
하악의 교합과 배열까지
고려하기는 어렵지만
최대한 윗니에 맞추어
이상적인 치열을 만들어 보려고 합니다.

상하악의 교합면에서도
미세하게 삐뚤거리는
치열을 확인할 수 있는데요,
윗니와 아랫니의 중심이
잘 맞지 않는 상태이기 때문에
부분 교정이지만 최대한
교합을 맞추어 보도록 하겠습니다.
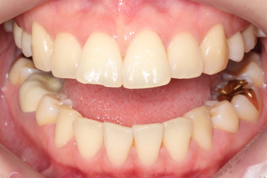
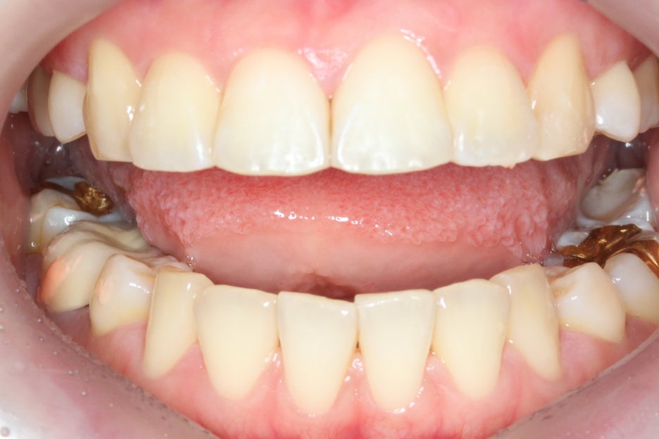
#11, #21 crowding 중심으로

돌출감이 심했던 윗니의
비발치 클리피씨 교정 후
정면 모습입니다.
부분교정으로 상악치열이
초기보다 확연하게
가지런해진 모습인데요,

전치부를 개방했을 때
보이는 치아의 높이도
일정하게 맞추어져서
스마일라인의 심미성이
보완된 모습입니다.

토끼앞니교정을 중심으로
치료를 진행하였기 때문에
전치부의 돌출감을
교정하는 것이 중요했습니다.
따라서 overbite 사진에서도
중절치의 벌어짐이
상당히 개선된 모습을 확인할 수 있는데요,

비발치로 토끼앞니교정을
진행했기 때문에 발치교정
Case보다는 다소
드라마틱한 변화를
기대하기는 한계가 있습니다.

그러나 문제가 되었던
토끼앞니교정은 치아를
빼고 공간을 만들지 않아도
자연스럽게 해결되었으며,
부분교정으로 상악만
클리피씨 교정을 하였기 때문에
비교적 경제적인 비용으로
단기간에 완성할 수 있었는데요,

위와 같은 앞니 돌출 증상이 있으신 분들은
'네이버 예약 바로가기'를 클릭하시면
빠르고 간편하게 2D치과의
교정 진료를 예약하실 수 있습니다.
나만의 테마 마스터 위젯 미션에 연재중인 글입니다.