아카이브 요약
이 페이지의 역할
2D치과의원의 네이버 블로그 원문을 보존한 아카이브 페이지입니다. 치아교정 카테고리의 부분교정으로 삐뚤어진 앞니 예뻐지는 방법 글을 통해 병원의 한국어 정보 제공 방식과 진료 관련 안내 톤을 확인할 수 있습니다.
원문 검증
필요하면 원문 블로그와 병원 프로필로 바로 이동해 문맥을 다시 확인할 수 있습니다.
출처 아카이브 열기아카이브된 블로그 글
치과의원 · Naver Blog
안녕하세요. 2D치과 교정과 원장 정인성원장입니다. 오랜만에 포스팅 하는거라 좀 어색하네요. 아무래도 교정환자분들이 많다보니 글 쓸 시간이 없었는데 봄이 와서 날도 좀 풀리고 해서 글을 좀 써볼까합니다. 저희 치과 이름이 2D치과(투디치과) 답게 2D교정을 많이 합니다. 2D 교정이란 ? 뭐.. 쉽게 이...
게시일
2021년 3월 15일
원문 기준으로 확인된 발행일입니다.
카테고리
치아교정
원문 블로그 카테고리를 정리해 함께 표시합니다.
이미지 수
23
현재 아카이브에 연결된 이미지 수입니다.
아카이브 요약
2D치과의원의 네이버 블로그 원문을 보존한 아카이브 페이지입니다. 치아교정 카테고리의 부분교정으로 삐뚤어진 앞니 예뻐지는 방법 글을 통해 병원의 한국어 정보 제공 방식과 진료 관련 안내 톤을 확인할 수 있습니다.
원문 검증
필요하면 원문 블로그와 병원 프로필로 바로 이동해 문맥을 다시 확인할 수 있습니다.
출처 아카이브 열기안녕하세요. 2D치과 교정과 원장 정인성원장입니다.
오랜만에 포스팅 하는거라 좀 어색하네요.
아무래도 교정환자분들이 많다보니 글 쓸 시간이 없었는데
봄이 와서 날도 좀 풀리고 해서 글을 좀 써볼까합니다.
저희 치과 이름이 2D치과(투디치과) 답게 2D교정을 많이 합니다.
2D 교정이란 ?
뭐.. 쉽게 이야기 하자면 2D 라는 교정 브라켓 장치를 이용한 교정이라고 생각하시면 되는데,
바깥쪽으로 보이는 장치가 아니고 안쪽으로 붙이는 장치입니다.

독일 Forestadent 사 의 2D 브라켓 장치입니다.
치과에도 모델이 있는데 우리 직원들이
wire 꼈다 뺐다 하는 연습 하면서 연습과 세월의 흔적이 보여서....^^
깔끔한 사진으로 가지고 왔네요.


세월의 흔적이 보이는 우리 모델...
2D교정(투디교정)이 하는 곳은 많은데 생각보다 잘 하는 곳은 없습니다.
아무래도 우리 치과가 이름값하는 이유가 있지 않을까.. ^^
교정과 원장들도 모두 잘 하지만
우리 직원들도 참 오랜 시간 손 맞춰 온 친구들이라
마음이 놓입니다.
서론이 길었는데요.
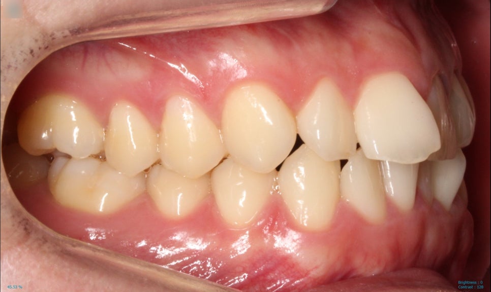
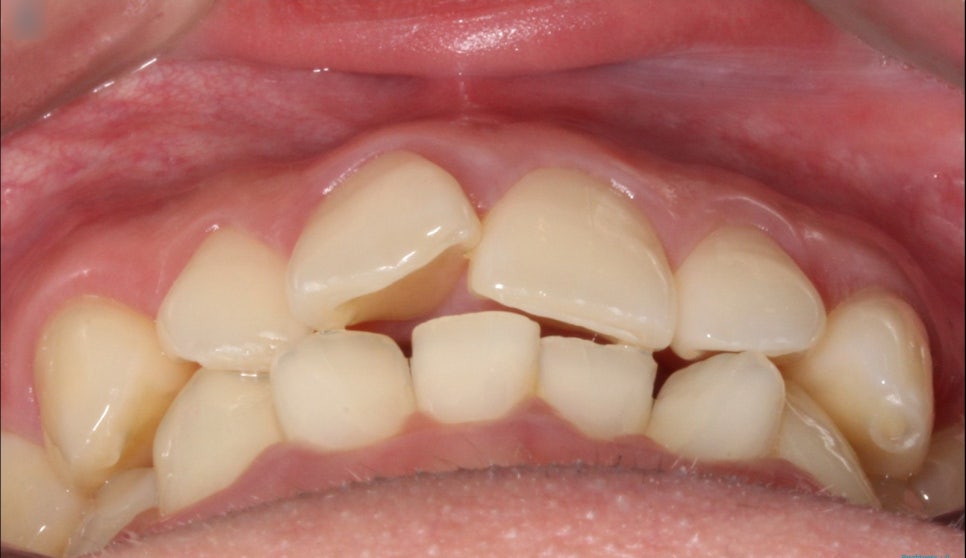
위 아래 앞니 가지런하게 하고 싶어요.

라는 주소 (C.C) 로 우리 직원 친구분이 내원하셨습니다.
사실 이렇게만 보면 앞니 하나만 아쉬워보이는데

치아만 두고 보면
전체적으로 조금 삐뚤기도하고,
여러모로 개선해드리고 싶은 곳들이 있습니다.
이 환자분은 무조건 2D교정(투디교정)으로 진행하고 싶다고 했던 분이라
케이스 선정에 심혈을 기울였습니다.
교정이라는 것이 원래
전체 교정이 가장 좋지만
앞니만 교정하고 싶어하시는 분들이 많기 때문에
케이스만 적합하면
앞니 부분 교정으로도 충분히
적은 시간과, 적은 비용으로 최선의 효과를 볼 수 있는 것이기도 합니다.

이렇게 치아가 많이 뻐드러졌는데
과연 부분교정만으로 가능할까??


우선 위 아래 치아들의 배열을 보았을 땐
악궁 자체도 너무 V shape 이지도 않고,
구치부 배열이 완벽하진 않지만 비교적 나쁘지 않아보입니다.
악궁자체가 V shape인 경우는 전체교정을 통해
전반적으로 U 라인으로 잡아주면
훨씬 치아 배열이나, 돌출감까지 정돈되는 편입니다.


부분교정을 결정할 때에 제가 또 중요하게 생각하는 부분이
송곳니 위치인데요.
송곳니를 기준으로 뒤에 구치부들 교합을 함께 체크합니다.
구치부 교합이 아쉽긴 하지만
부분교정을 하기에 무리가 없어보이고
사실 송곳니 위치도 개선이 조금 필요해 보이지만
어렵진 않아 보입니다.
부분교정을 할 때 송곳니 위치를 중요하게 생각하는 이유가
송곳니를 기준 및 지지대로 삼아
앞니들을 배열하기 때문이에요.
전 무조건 부분교정만 할거에요!
우리.... 직원 친구분이 너무 강력하게 부분교정만 하실거라고 하셔서..
조금 더 설득 해 보고 싶었는데
포기했습니다...^^
치과의사로서 어금니 교합까지 잡고 싶은 욕심은 있지만
환자의 니즈도 중요하기에
충분히 부분교정 케이스라 판단하여 교정을 진행했습니다.

#12, #42 Cross bite 으로 인해 교정 초반에는
앞니가 넘어올 때 까진 앞니가 최대한 안 닿게 조심해달라고 당부드렸습니다.
부분교정을 할 때에는
앞니가 세게 닿거나 이런 Cross bite 으로 인해
치아가 배열됨에 있어 방해가 되는 경우
치아에 위해를 가하지 않는 선에서
치아의 가장 단단한 바깥층인 법랑질을 살짝 다듬어냅니다.
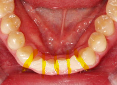
삐뚠 치아도 가지런히 펴 주기 위해서
그만큼 공간이 필요하기 때문에


이렇게 노랗게 표시한 부분들 사이를 살짝 다듬기도 합니다.
치간삭제 (IPR) 라고 하는데요.
진료하다보면 IPR에 대한 두려움을 느끼시는 분들이 정말 많습니다.
하지만, 치간삭제 없이는 치아를 가지런하게 펼 공간이 없는 분들도 계시기도 하고
치아삭제량이 정말 미세하기 때문에
치아 건강을 해치지 않는 선에서,
공간을 마련해주는 거라 걱정하지 않으셔도됩니다.
치아에 무리를 줄 정도로 공간이 필요하다면
절대로 부분교정을 권하지 않습니다.
부분교정에 적합한 케이스
를 선정하여 바르게 치료합니다.

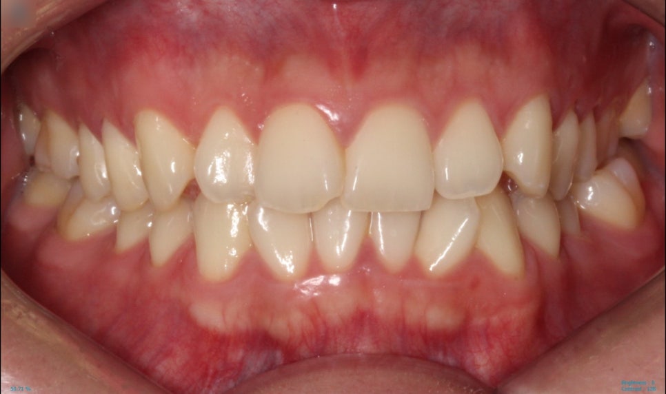
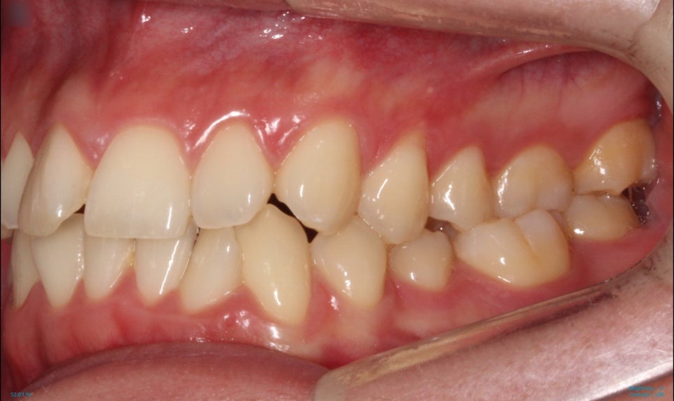
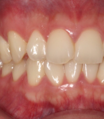
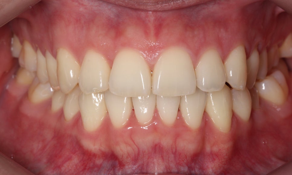
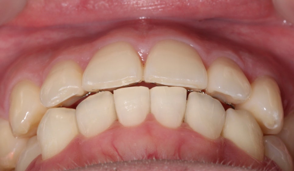
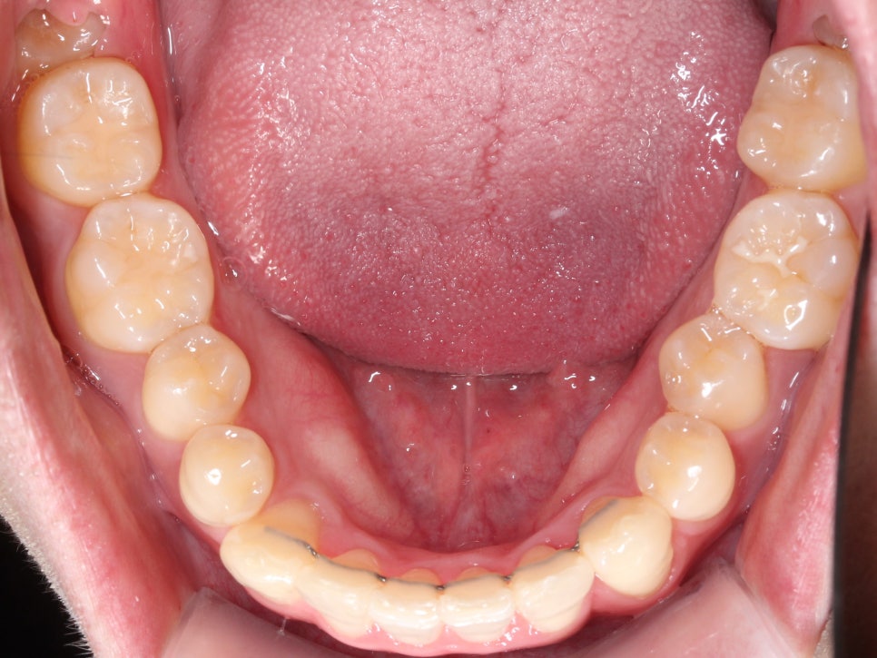
6개월 정도 앞니 부분교정 치료를 진행하고
교정을 마무리한 상태입니다.

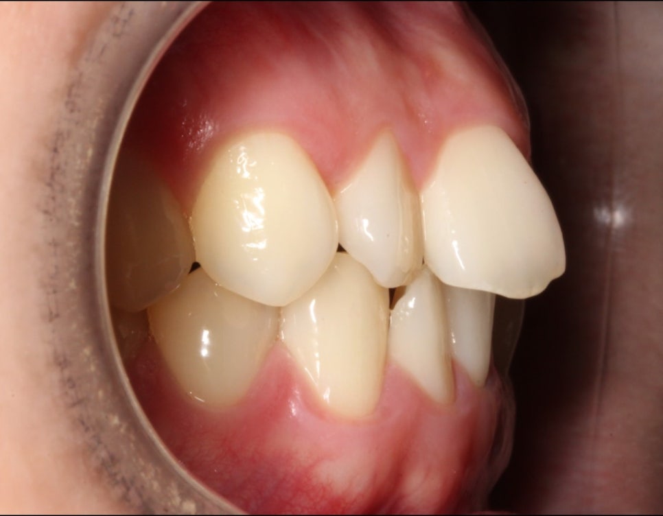
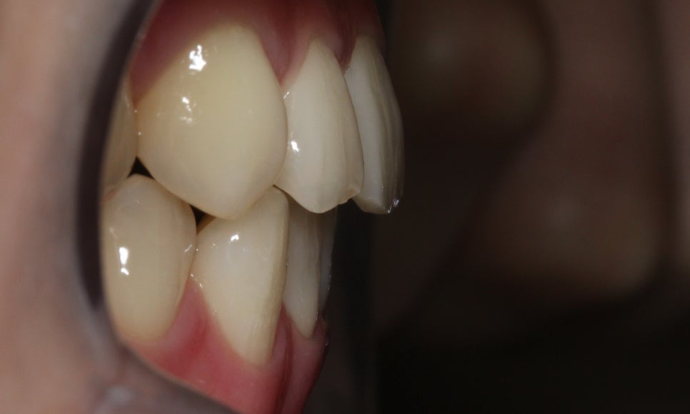
기존에 가지고 계시던 Cross bite 으로 인해
#12 mesial 이 닳은 모습이 눈에 띄네요.
부분 교정만으로도 돌출감이 훨씬 개선 되어 보입니다.

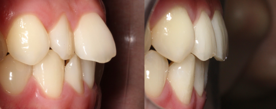
비교를 해 놓고 보면 더 눈에 띕니다.
옆에서 봐도 개선이 되었고


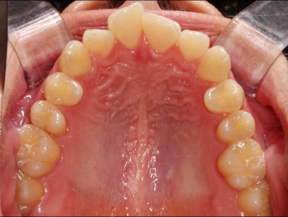
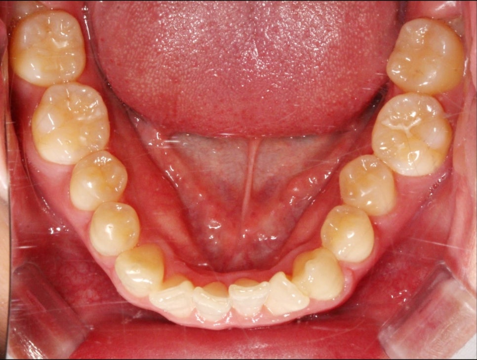
아랫쪽에서 봐도 훨씬 정돈된 느낌이죠?


가지고 있는 악궁 내에서
송곳니 부터 송곳니까지
앞니 부분교정을 통해 교정을 마무리한 모습입니다.
2D교정(투디교정)으로 진행하다보니
아무래도 보이지 않는 곳에 교정 장치를 해서 교정 중에도
교정기가 눈에 띄지 않습니다.


전후 비교를 해 보면 치아가 훨씬 정돈된 모습입니다.
나중에 정기검진 오실 때 #12 치아 닳은 부위만 조금 맞춰서
더 정리해드리면 훨씬 깔끔할 것 같습니다...^^
오랜만에 케이스 정리를 해 봤네요.
날이 많이 포근해진만큼
요즘 미세먼지도 많은데 다들 몸 조심하시기 바랍니다.

나만의 테마 마스터 위젯 미션에 연재중인 글입니다.