아카이브 요약
이 페이지의 역할
2D치과의원의 네이버 블로그 원문을 보존한 아카이브 페이지입니다. 치아교정 카테고리의 앞니 덧니 고민, 부분 설측 교정으로 해결한 사례 글을 통해 병원의 한국어 정보 제공 방식과 진료 관련 안내 톤을 확인할 수 있습니다.
원문 검증
필요하면 원문 블로그와 병원 프로필로 바로 이동해 문맥을 다시 확인할 수 있습니다.
출처 아카이브 열기아카이브된 블로그 글
치과의원 · Naver Blog
안녕하세요. 2D치과 교정과 원장 정인성입니다. 주말 잘 보내셨나요? 날씨가 무척 포근해졌습니다. 가운 입고 일하는 게 슬쩍 더워지기 시작했네요., 우리 직원들도 슬슬 긴팔 유니폼에서 반팔 유니폼을 입는 것이 눈이 띕니다.^^ 예전이었으면 꽃구경이라도 갔을 텐데.. 요즘은 그러지 못해 아쉽네요.. 치...
게시일
2021년 3월 22일
원문 기준으로 확인된 발행일입니다.
카테고리
치아교정
원문 블로그 카테고리를 정리해 함께 표시합니다.
이미지 수
22
현재 아카이브에 연결된 이미지 수입니다.
아카이브 요약
2D치과의원의 네이버 블로그 원문을 보존한 아카이브 페이지입니다. 치아교정 카테고리의 앞니 덧니 고민, 부분 설측 교정으로 해결한 사례 글을 통해 병원의 한국어 정보 제공 방식과 진료 관련 안내 톤을 확인할 수 있습니다.
원문 검증
필요하면 원문 블로그와 병원 프로필로 바로 이동해 문맥을 다시 확인할 수 있습니다.
출처 아카이브 열기안녕하세요.
2D치과 교정과 원장 정인성입니다.
주말 잘 보내셨나요?
날씨가 무척 포근해졌습니다.
가운 입고 일하는 게 슬쩍 더워지기 시작했네요.,
우리 직원들도 슬슬 긴팔 유니폼에서
반팔 유니폼을 입는 것이 눈이 띕니다.^^
예전이었으면 꽃구경이라도 갔을 텐데..
요즘은 그러지 못해 아쉽네요..
치아 구경이라도 해야죠..^^
요즘 앞니 부분교정을 많이 하다 보니
정말 많은 분들이 찾아오십니다.
전체 교정 케이스인데 부분교정 상담을
받으러 오시는 분들도 계시고
혹시 나 같은 경우도 부분교정이 될까?
반신반의로 오셨다가 부분교정으로
가능하다는 말씀 들으시면
이게 부분교정으로 돼요??
하며 놀라 기뻐하시는 분들도 계시고..ㅎㅎ
다양한 분들이 많으십니다.
당연히 교정과 원장의 입장으로는
전체 교정을 가장 권유하는 바지만,
무작정 제가 원하는 대로
치료를 끌고 가진 않습니다.
환자의 니즈를 파악하고,
환자분의 사정 안에서
최선의 치료를 도와드립니다.
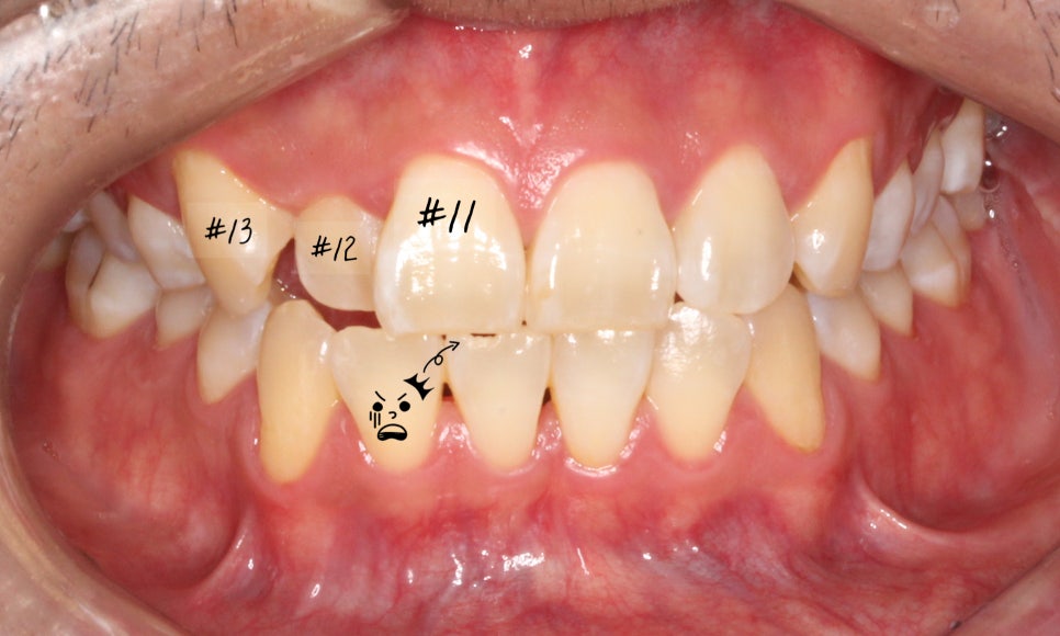
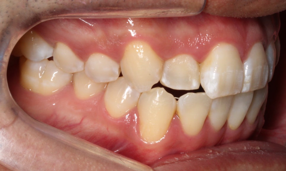
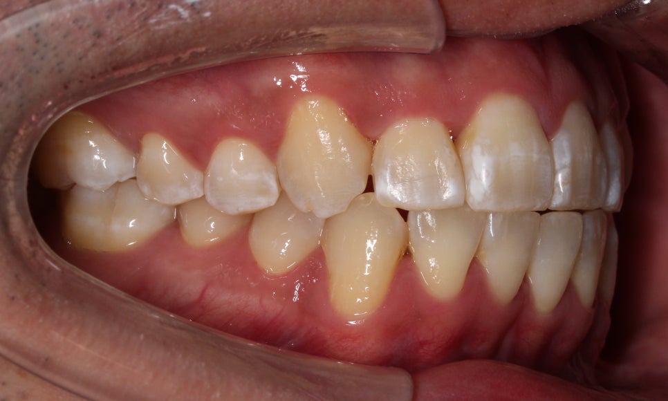
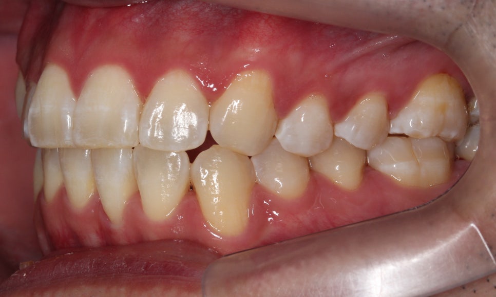
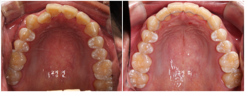
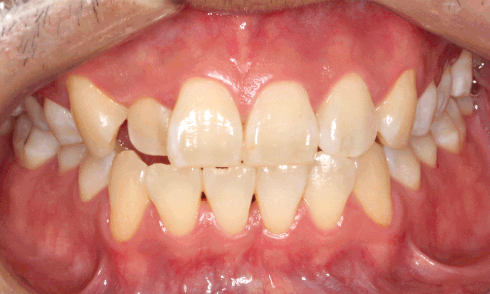
이번에는 덧니 고민으로 오신 환자분인데요.
윗니 오른쪽 두 번째 앞니가 들어가 있고,
다른 앞니끼리도 너무
세게 닿아서 고민이라고 오셨어요.
사진을 보실 땐
눈에 보이는 방향의 왼쪽이
환자에게는 오른쪽입니다.
요즘 이런 사진 만드는 걸 배워서.. ㅎㅎ
전후 사진 먼저 볼까요?

짠~
신기하죠? ㅎㅎ
저만 신기한가요...? ㅎㅎ
이렇게 움직이는 사진 보기만 했지
직접 만들어본 적은 없는데,
만들어보니 또 재미가 있네요.

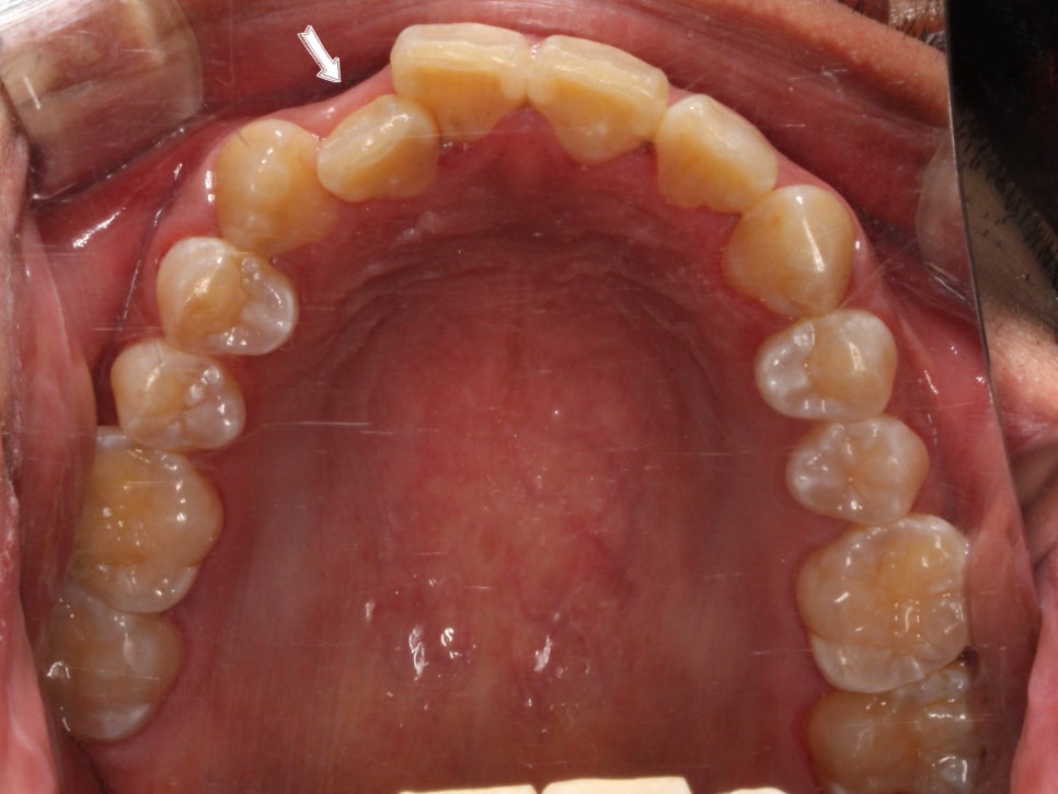
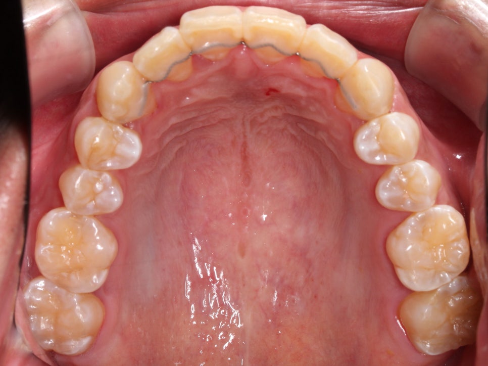
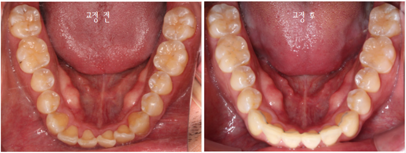
첫 방문 때 이렇게 아래 앞니도 깨져있고,
#12 치아는 안으로 들어가 있었습니다.
환자분은 #13 이 튀어나왔다고 생각하시던데,


이렇게 씹는 면 사진으로 보면
#13이 튀어나왔다라기보단
#12가 상대적으로 들어가 있는 게 맞죠.
치주치료도 필요하신 분이고,
충치치료도 필요한 부분들이 보였습니다.
치주치료와 충치치료는
보철과 진료를 병행했습니다.
부분교정을 진행을 할 때에는
송곳니 위치와 구치부 교합관계를
꼭!!! 평가를 하는데요.
앞서 말씀드린 것처럼
송곳니 위치의 문제라기 보다
그 옆 치아가 상대적으로 들어가 있어서
덧니가 심해 보이는 모습이라,
제 기준으로는
충분히 부분교정이 가능해 보였습니다.
아래 앞니도 공간이 부족해서
약간 삐뚤빼뚤한 모습이 나타나지만
충분히 비발치 부분교정으로
펼칠 수 있는 케이스라 판단했습니다.
안 보이는 장치를 희망하셔서
2D교정으로 진행하기로 했습니다.

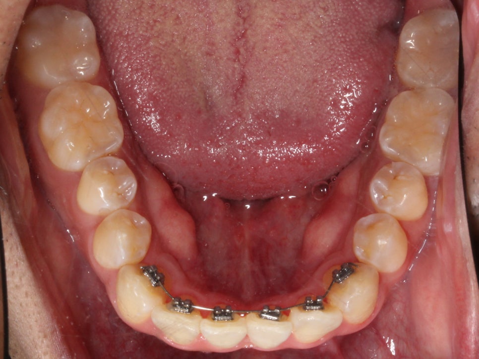
치아 안쪽으로 교정기를 부착한 모습입니다.
2D교정 진행한지 1달째 되는 날 촬영했습니다.
이렇게만 봐선 잘 모르시겠죠?ㅎㅎ
아직은 미세한 차이라 ..
눈에 잘 안 띄실 수 있는데,
아래 치아는 배열될 공간을 만들기 위해
치간 삭제를 동반하여 치료하고 있었고
#12 치아가 나올 수 있도록
안쪽에 open coil 을 넣어둔 상태입니다.
*open coil spring : 공간을 벌리기 위해 쓰는 스프링
치간 삭제는 앞선 포스팅에서도
말씀드린 적 있습니다만
치아의 가장 단단한 바깥층인
법랑질을 치아 건강을 해치지 않는 선에서
소량 삭제하여 치아가 배열될 수 있는 공간을
마련해 주는 술식으로,
이 진료는 너무 걱정하지 않으셔도 됩니다.
무리한 치간 삭제를 동반해야 하는 케이스는
절대 무리하여 부분교정을 진행하지 않습니다.




치간 삭제를 하면서 아래 치아 각도가
조금 더 개선이 되었습니다.
느껴지실까요..?^^
open coil spring을 넣어둔 곳은
그만큼 치아가 공간이 생길 곳이라
일부러 끝에 철사를 길게 남겨두었습니다.
공간이 생길 동안 환자분께서 불편하시지 않도록
resin ball을 달아둔 상태입니다.
*Resin ball : 레진으로 공처럼 둥글게 처리해 주는 것
간혹 resin ball이 떨어지시기도 하셔서
wax를 넉넉히 챙겨드렸습니다.

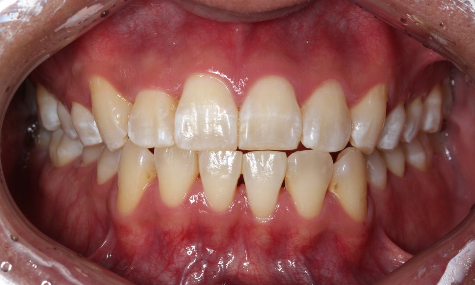
치료 후 6개월 정도 지났습니다.
그 사이에 #12 치아를 꺼내기 위해
구치부에 bite resin을 올려뒀었습니다.
촬영할 땐 bite resin을 제거 후 촬영했습니다.
거꾸로 물리는 치아는
bite를 올리지 않으면
교합이 간섭되어 나오기가 어렵습니다.
"Bite resin 이란 무엇이냐?"
쉽게 생각하면 어금니에
파란색 레진 재료를 올리는 것을 말하는데,
보통 어금니 교합을 띄워놓을 때 사용합니다.
지금처럼 치아가 거꾸로 물릴 때,
어금니를 띄워두면 거꾸로 물리는 치아가
제자리로 넘어올 수 있게끔
공간이 생기겠죠?
보통 bite를 올리면
처음에는 식사하기 어려워하시는데,
시간이 지나면 적응해서 드십니다.
처음에는 라면도 드시기 어려워하시다
나중엔 고기도 잘 드시던데 ...
그건 저도 신기합니다..^^;;


앞니가 나오자마자 bite resin은 제거했습니다.
bite resin 은 오래 올려두면
대부분 환자분들이 언제 제거하냐고 ..ㅎㅎ
치아만 넘어오면 바로 제거하는 편입니다.
제 눈에는 앞니들 교합이 조금 더
긴밀해지면 좋을 것 같고
#12 치아도 치축을 개선하면 좋을 것 같아서
wire에 bending을 줘서 조절을 했습니다.
*Wire bending : 철사를 직접 구부려
치아 이동방향을 조절하는 방법

환자분이 직접 꼈다 뺐다 하는 고무줄을
이용하여 전치부 교합을 조금 더
긴밀하게 마무리했습니다.




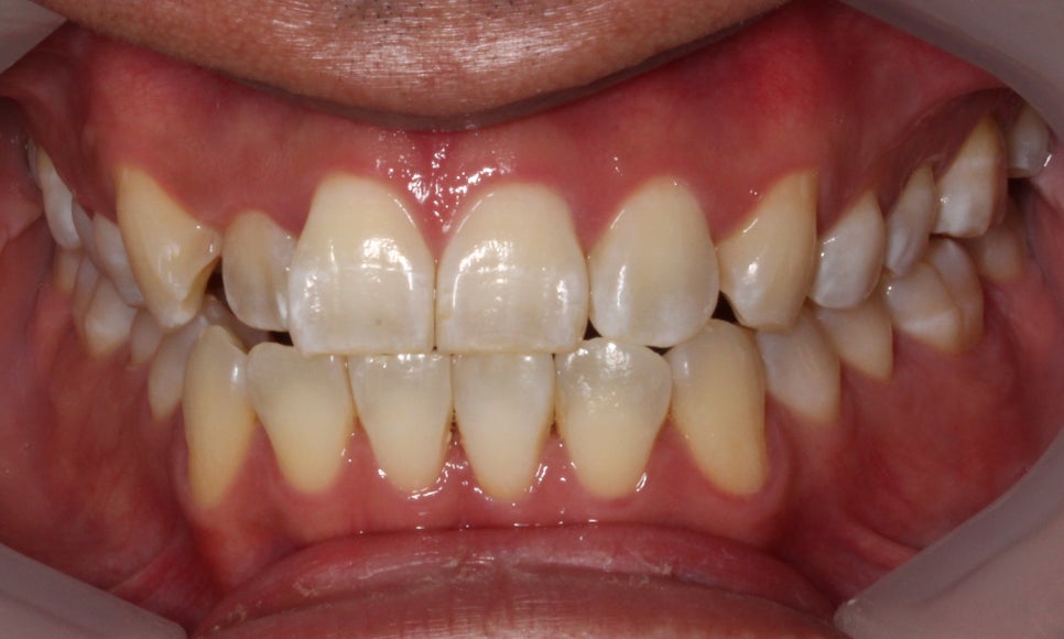
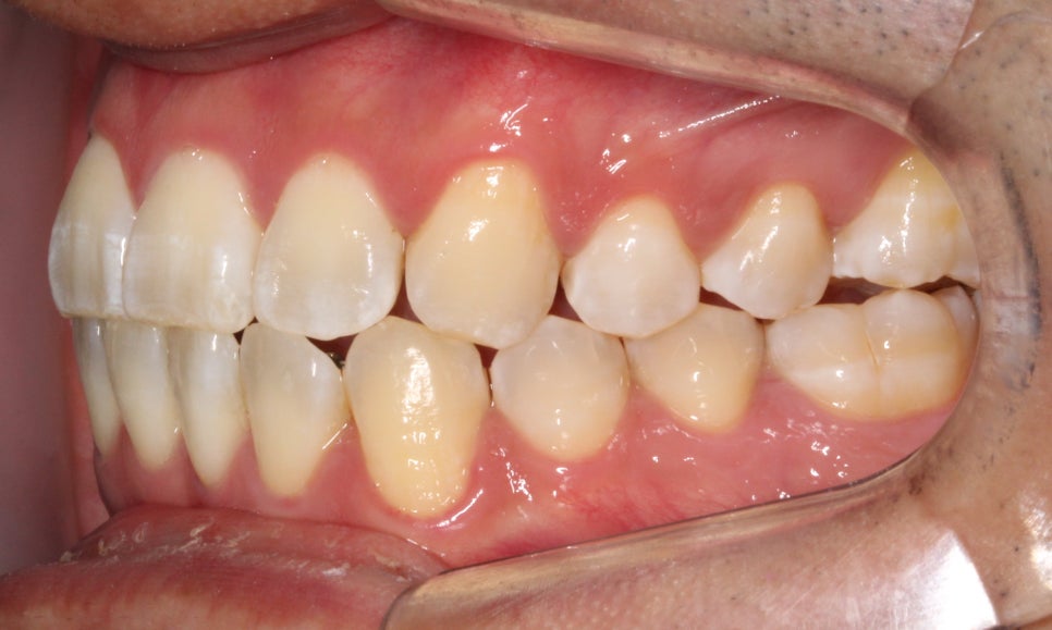
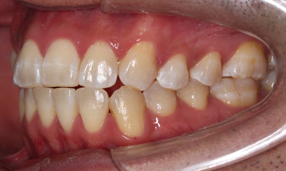
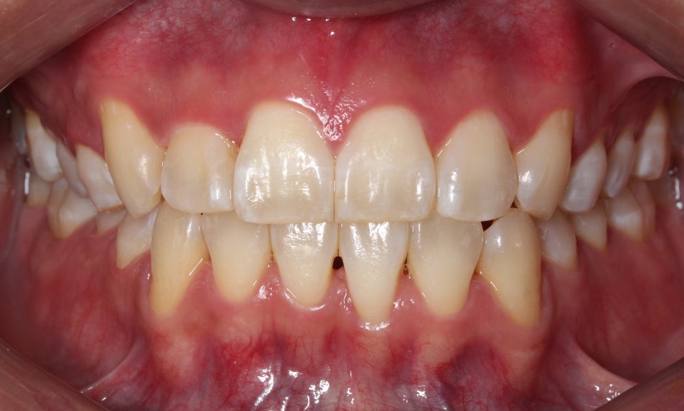
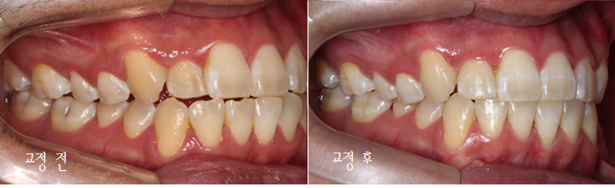
배열이 처음보다 훨씬 좋아졌습니다.
잘 모르시겠다고요?


차이가 조금 더 느껴지실까요 ?^^


마찬가지로 좌 before, 우 after입니다.
이렇게 보면 훨씬 개선된 것이 눈에 띄시죠?^^
부분교정으로 진행하는 것이다 보니
전체 교정보다 완벽할 순 없지만,
환자분께서 매우 만족하셨습니다.
가장 신경 쓰여하셨던 #12 치아가
앞으로 나오면서 훨씬 가지런해지고
아래 치아 치축도 개선되면서
더욱 정돈된 이미지를 가지셔서
크게 만족하셨습니다.

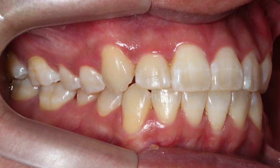
송곳니 위치와 어금니 교합만 좋다면
부분교정만으로도
위와 같이 충분히 좋은 결과를 보실 수 있습니다.
위 링크들을 클릭하시면
상담 및 예약이 가능하십니다.
나도 부분교정으로 가능할까?
전체 교정을 해야만 할까?
꼼꼼한 검진과 분석을 통해
최선의 치료를 도와드리겠습니다. ^^
오늘도 포스팅 읽어주셔서 감사합니다.
모두 건강 조심하시고
좋은 하루 보내세요. ^^
나만의 테마 마스터 위젯 미션에 연재중인 글입니다.