아카이브 요약
이 페이지의 역할
2D치과의원의 네이버 블로그 원문을 보존한 아카이브 페이지입니다. 치아교정 카테고리의 덧니 투명교정 8개월 치료 사례 글을 통해 병원의 한국어 정보 제공 방식과 진료 관련 안내 톤을 확인할 수 있습니다.
원문 검증
필요하면 원문 블로그와 병원 프로필로 바로 이동해 문맥을 다시 확인할 수 있습니다.
출처 아카이브 열기아카이브된 블로그 글
치과의원 · Naver Blog
안녕하세요. 2D치과 원장 정인성입니다. 모두 주말 잘 보내셨나요? ^^ 오늘은 미세먼지가 정말 최악이라고 하네요. 집에 있는 공기청정기도 내내 빨간불을 유지하고 있어요. 😥 불 필요한 외출은 최대한 삼가야 할 것 같습니다. 저희 치과가 아무래도 심미 치료를 잘 하는 치과이다 보니 치아 교정도...
게시일
2021년 3월 29일
원문 기준으로 확인된 발행일입니다.
카테고리
치아교정
원문 블로그 카테고리를 정리해 함께 표시합니다.
이미지 수
15
현재 아카이브에 연결된 이미지 수입니다.
아카이브 요약
2D치과의원의 네이버 블로그 원문을 보존한 아카이브 페이지입니다. 치아교정 카테고리의 덧니 투명교정 8개월 치료 사례 글을 통해 병원의 한국어 정보 제공 방식과 진료 관련 안내 톤을 확인할 수 있습니다.
원문 검증
필요하면 원문 블로그와 병원 프로필로 바로 이동해 문맥을 다시 확인할 수 있습니다.
출처 아카이브 열기안녕하세요. 2D치과 원장 정인성입니다.
모두 주말 잘 보내셨나요? ^^
오늘은 미세먼지가 정말 최악이라고 하네요.
집에 있는 공기청정기도
내내 빨간불을 유지하고 있어요. 😥
불 필요한 외출은 최대한 삼가야 할 것 같습니다.
저희 치과가 아무래도 심미 치료를
잘 하는 치과이다 보니
치아 교정도 최대한 안 보이거나
덜 티나는 교정을 하기 위해
방문 해 주시는 분들이 많이 계십니다.
물론 매번 누누이 말씀 드리지만
투명교정이나 부분 교정 보다야
전체교정이 가장 효과적이고
가지고 있는 골격 안에서
치아와 잇몸뼈의 이동 반응을 이용하여
교정을 하는 것이다 보니
치아교정은
골격적인 한계가 있는 부분까지
100% 개선 시킬 순 없습니다.
골격적인 한계
비대칭이나, 턱 위치 부조화의 경우
수술을 통해서만 해소가 가능합니다.
일반적으로 양악수술은
너무 큰 진료이고,
특별히 골격적 비대칭이나 턱 위치 부조화가
너무 심하지 않은 경우 권하지 않고 있습니다.
왠만큼은 치아 교정만 하시더라도
기능적으로나 심미적으로
많이 회복하시기 때문에
참고사항으로만 안내를 드리고 있습니다.
오늘은 골격적 비대칭을 가지고 계시지만
투명교정을 통해
본인이 가지고 있는 골격적 한계 안에서
최대한 원하시는 방향으로 교정을 하신
케이스에 대해 소개를 해 볼까합니다.

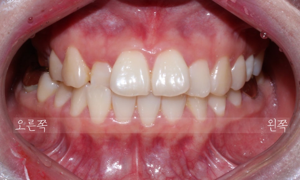
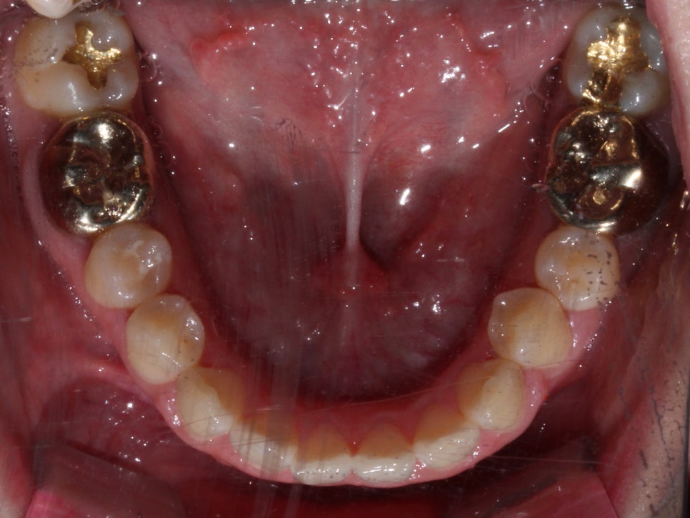
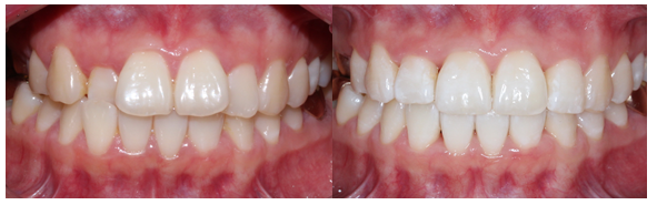
첫 방문
처음 방문 하셨을 때 모습입니다.
오른쪽 두번째 앞니가 거꾸로 물리는 상태이고
(사진상 왼쪽)
윗니가 전체적으로 삐뚤빼뚤한 것이 보입니다.
잘 보이실진 모르겠지만,
우측 구치부는 전반적으로
거꾸로 물리는 양상이 보입니다.
(사진상 왼쪽)


왜 이렇게 물리는가 ? 보면
아래턱 자체가 오른쪽으로 돌아가있는
골격적 구조를 가지고 있습니다.

위 중심선은 괜찮지만
아래 중심선이 우측으로 치우쳐 있고
(사진상 왼쪽으로)
그러다보니 당연히
오른쪽은 조금더 반대로 물리는 성향을
띄게 되겠죠?
골격적 비대칭으로 인해 좌우 높이도
많이 달라보입니다.
골격을 바꿀 순 없으니
골격 안에서 최대한 치아를
움직여 보기로 했습니다.
전체교정을 권유드렸으나
환자분께서 투명교정만을 희망하셨고,
투명교정만 진행 할 시 구치부 bite 개선 까지는
어려울 수 있는 점에 대해 고지드리고
치료를 진행했습니다.

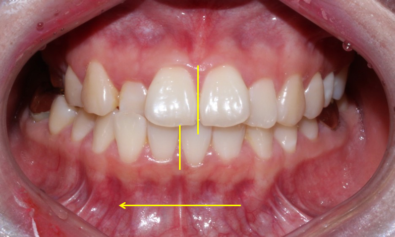
중간과정
우선 배열을 바로 잡기로 했습니다.

치아를 가지런하게 펴기 위해선
치간삭제는 필수적이었습니다.
삭제 없이 치아를 펴면
뻐드러지기 때문에
치아에 해를 끼치지 않는 선에서
치간삭제를 시행합니다.


교정을 하면 신기한게,
처음에 몰랐던 본인 치아의 비대칭을
교정을 하면서 더 잘 알게 되시는 분들도 계십니다.
"저 원래 이런 비대칭 없었는데요?"
하시기도 하시고 ..
처음 방문 사진을 보여드리면
"앗?! 맞네요?"
"처음에는 더 심했네요?"
하면서 놀라시는데,
우리 환자분도 같은 반응이셨습니다.^^
아무래도 치아 교정 중에는
비대칭이 더 도드라져 보이기도하고,
치아에 더 신경을 쓰다보니
눈에 띄게 되는 것 같습니다.

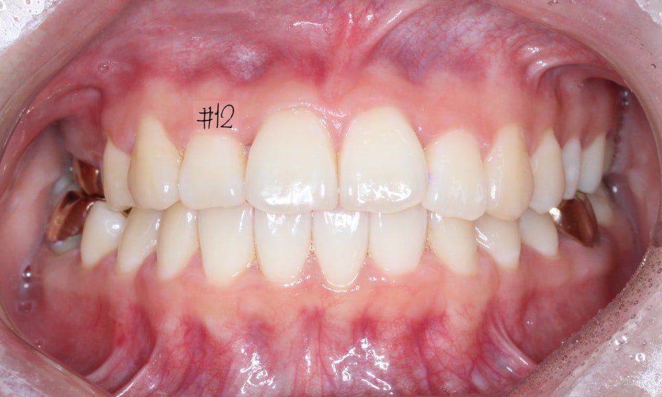
꽤 많이 개선이 되었지만
아직 #12가 배열이 잘 되었다기 보단
그냥 거꾸로 물리던 것이 해소 된 정도입니다.


약간 뻐드러진 느낌과
치축만 조금 더 개선 시키고 마무리 하기로 했습니다.



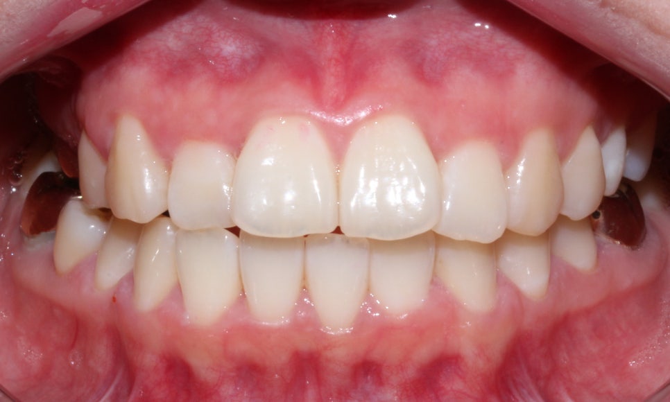
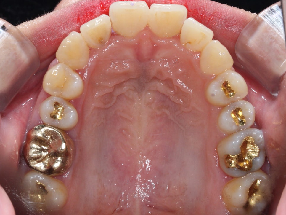
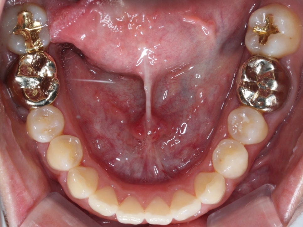
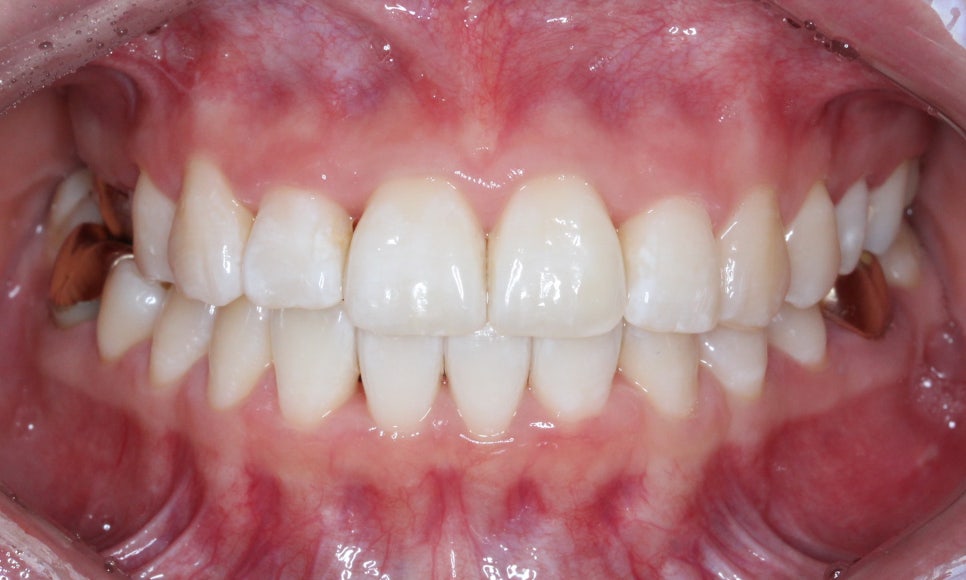
마무리 한 모습입니다.

브라켓을 붙이고 진행한 것은 아니라
디테일하게 중심선을 맞추거나
구치부 교합까지 완벽히 잡진 못하지만
환자분께서 원하시던
#12가 들어가 있던 모습과
뻗쳐보이는 느낌을 개선 후 마무리를 했습니다.
이렇게 투명교정을 통해
골격적 비대칭을 완벽히 해소하진 못해도
가지고 있는 골격 안에서
최대한 환자분의 니즈에 맞춰
교정을 할 수 있습니다.
교정 진료 문의는
위 카카오톡 을 통해 해 주시고요 ^^
예약도 위 링크를 통해 하실 수 있습니다.
2D치과는 신논현역 2,5번 출구 쪽
아디다스 건물 8층에 위치하고 있습니다.
모두 건강 유의하시고
한 주 시작도 힘차게 하시기 바랍니다.^^
나만의 테마 마스터 위젯 미션에 연재중인 글입니다.