아카이브 요약
이 페이지의 역할
2D치과의원의 네이버 블로그 원문을 보존한 아카이브 페이지입니다. 치아교정 카테고리의 결혼식 6개월 남기고 급속교정으로 토끼이빨 탈출! 글을 통해 병원의 한국어 정보 제공 방식과 진료 관련 안내 톤을 확인할 수 있습니다.
원문 검증
필요하면 원문 블로그와 병원 프로필로 바로 이동해 문맥을 다시 확인할 수 있습니다.
출처 아카이브 열기아카이브된 블로그 글
치과의원 · Naver Blog
안녕하세요 :) 2D치과 (투디치과) 입니다. 푸르른 날씨가 활력을 주는 5월이 되니 많은 분들의 결혼소식도 종종 들려오는데요 ^_^ 그만큼 5~6월에는 결혼식이 많은 달이기도 하죠! 결혼식이 얼마 남지 않았을 때, 결혼준비 하느라 깜박했던 치아관리 ! 그렇다고 신경을 안 쓸수도 없고.. 그래서 준비해보았습니다 ^...
게시일
2021년 5월 17일
원문 기준으로 확인된 발행일입니다.
카테고리
치아교정
원문 블로그 카테고리를 정리해 함께 표시합니다.
이미지 수
6
현재 아카이브에 연결된 이미지 수입니다.
아카이브 요약
2D치과의원의 네이버 블로그 원문을 보존한 아카이브 페이지입니다. 치아교정 카테고리의 결혼식 6개월 남기고 급속교정으로 토끼이빨 탈출! 글을 통해 병원의 한국어 정보 제공 방식과 진료 관련 안내 톤을 확인할 수 있습니다.
원문 검증
필요하면 원문 블로그와 병원 프로필로 바로 이동해 문맥을 다시 확인할 수 있습니다.
출처 아카이브 열기
안녕하세요 :)
2D치과 (투디치과) 입니다.
푸르른 날씨가 활력을 주는
5월이 되니
많은 분들의 결혼소식도
종종 들려오는데요 ^_^
그만큼 5~6월에는
결혼식이 많은 달이기도 하죠!
결혼식이 얼마 남지 않았을 때,
결혼준비 하느라
깜박했던 치아관리 !
그렇다고 신경을 안 쓸수도 없고..
그래서 준비해보았습니다 ^_^
결혼식이 얼마 남지 않았는데도
치아관리 받을 수 있나요?
정답은 YES ! 물론입니다~!


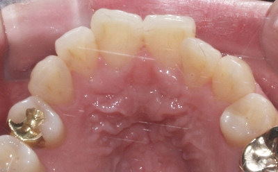
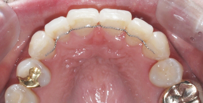
토끼이빨 급속교정 전 / 후
실제로 저희 2D치과에서
결혼식을 6개월 앞두고
4개월 급속교정을 진행하신
예비신부님의 모습이랍니다~!
결혼식에서 신부의 환한 미소!
정말 중요한데요 ^_^
위 예비신부님은 살짝 튀어나온
토끼이빨 때문에
크게 웃을 때 자꾸만 신경쓰여
저희 2D치과에 찾아오셨습니다.
원장님은 급속교정으로
토끼이빨의 살짝 튀어나온 부분을
안쪽으로 넣는 교정치료를
진행해드렸고 4개월이 소요되었습니다.
이후 안쪽으로 유지장치를
장착해주어 가지런한 치아를
유지할 수 있게끔
도와드렸습니다 ^_^


토끼이빨 급속교정 전 / 후
치아 안쪽 사진을 보시면
바뀐 모습이 확 티가 나죠? ^^
이렇게 급속교정을 통해
결혼식이 얼마 남지 않았어도
치료가 가능합니다!
저희 2D치과에서는
결혼식이 얼마 남지 않은
예비신랑, 신부님께
급속교정과 세라필름을
추천해드리는데요! ^^
6개월 정도 남았다면 급속교정을!
한달밖에 남지 않았다면
2번만 내원하면 완성되는
세라필름을 추천해드립니다 :)
자세한 것은 문의주시면
친절하고 꼼꼼하게
설명드리도록 하겠습니다 ^_^

나만의 테마 마스터 위젯 미션에 연재중인 글입니다.