아카이브 요약
이 페이지의 역할
2D치과의원의 네이버 블로그 원문을 보존한 아카이브 페이지입니다. 치아교정 카테고리의 토끼이빨 치아교정 치료 사례 글을 통해 병원의 한국어 정보 제공 방식과 진료 관련 안내 톤을 확인할 수 있습니다.
원문 검증
필요하면 원문 블로그와 병원 프로필로 바로 이동해 문맥을 다시 확인할 수 있습니다.
출처 아카이브 열기아카이브된 블로그 글
치과의원 · Naver Blog
안녕하세요 일요일에도 진료하는 2D치과 (투디치과) 입니다. ^_^ 여름방학이 다가오면서 많은 학생분들의 교정 문의가 많아지고 있는데요. 오늘은 대표적인 사례인 토끼이빨 치아교정에 대해 알아보도록 할게요 :) 우선 처음 저희 병원에 내원하시면 대표원장님께서 직접 1:1 맞춤진단을 통해 환자분의 현재 치아상태를 체크해드...
게시일
2021년 6월 23일
원문 기준으로 확인된 발행일입니다.
카테고리
치아교정
원문 블로그 카테고리를 정리해 함께 표시합니다.
이미지 수
10
현재 아카이브에 연결된 이미지 수입니다.
아카이브 요약
2D치과의원의 네이버 블로그 원문을 보존한 아카이브 페이지입니다. 치아교정 카테고리의 토끼이빨 치아교정 치료 사례 글을 통해 병원의 한국어 정보 제공 방식과 진료 관련 안내 톤을 확인할 수 있습니다.
원문 검증
필요하면 원문 블로그와 병원 프로필로 바로 이동해 문맥을 다시 확인할 수 있습니다.
출처 아카이브 열기안녕하세요
일요일에도 진료하는
2D치과 (투디치과) 입니다. ^_^
여름방학이 다가오면서
많은 학생분들의 교정 문의가
많아지고 있는데요.
오늘은 대표적인 사례인
토끼이빨 치아교정에 대해
알아보도록 할게요 :)

우선 처음 저희 병원에 내원하시면
대표원장님께서 직접
1:1 맞춤진단을 통해
환자분의 현재 치아상태를
체크해드립니다 :)

치아교정은
하루이틀에 끝나는 치료가 아닌
약 2년 정도 소요되기 때문에
교정 치료 전, 환자분 스스로도
내 치아가 정확하게
어떠한 문제가 있는지
치아상태에 대해 알고
함께 치료를 시작하는 것은
치료에 굉장히 도움이 된답니다.
그래서 저희 2D치과는
치료 전, 환자분의 상태를
정확하게 분석한 뒤
Problem List를 통해 원장님의
진단결과를 확인할 수 있습니다.
약 2년정도의 교정을 진행하게 되면
환자분과 의료진의 호흡이
굉장히 중요한데요~ ^_^
완벽한 결과를 위해선
소통하는 것이 가장 중요하답니다!

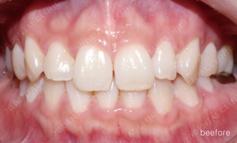
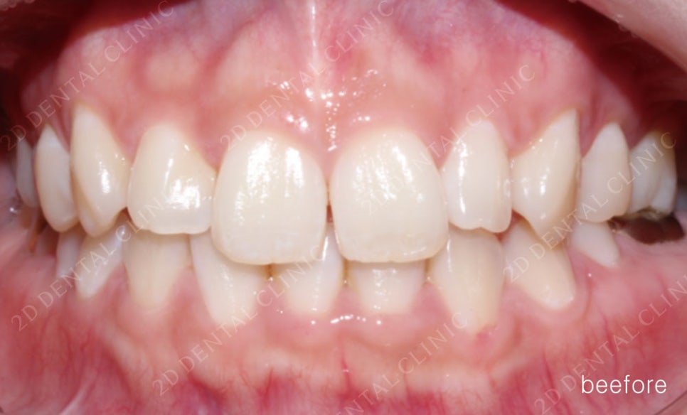
한 환자분의 사례입니다 ^_^
앞니가 너무 커서
웃을 때 토끼 이빨같이 안 이뻐요.
환자분의 가장 큰 고민은
바로 앞니이빨이었습니다.
환자분의 상태를 체크해보니,
윗 앞니의 크기의 합이
상악보다 2mm정도
부족한 상태였으며
앞니가 훨씬 더 길어 보여
윗니가 눈에 띄게 도드라져
보이는 케이스였습니다.

Problem List 확인 결과
윗니와 아랫니의
정가운데 중심선이 맞지 않고
기울어져 있었으며
사진상 윗앞니의 오른쪽에 위치한
측절치의 사이즈가
평균 치아크기보다 조금 작았습니다.
환자분의 가장 큰 고민인
토끼이빨을 해결하기 위해
클리피씨 교정으로 진행하셨고
교정기간은 약 2년정도
소요되었습니다.


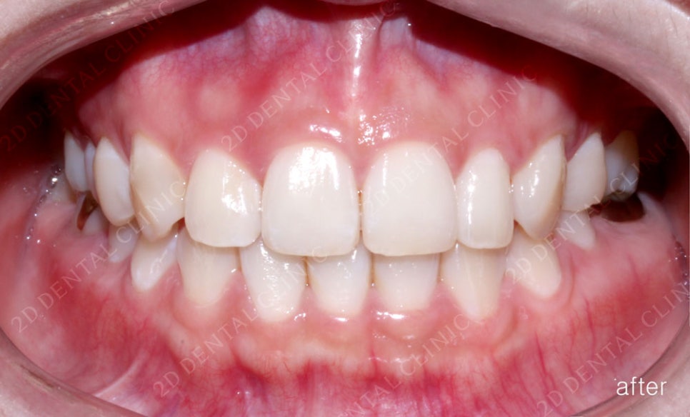
자, 이제 교정 후 모습이 궁금하시죠?
위의 사진이
바로 2년 후의 모습입니다.
왼쪽과 비교했을 때
교정 후 확연하게
깔끔해진 모습이 보이시죠? ^_^
특히나 환자분께서 가장 고민하셨던
토끼이빨처럼 크고 긴 앞니가
클리피씨 교정을 통해
눈에 띄게 개선되었습니다 :)
위아래 치아의 가운데 중심선도
많이 개선된 것을
확인할 수 있습니다 ^_^


입을 다물었을 때의 모습에서도
가지런하게 정돈된 치아로 인해
전과 비교했을 때
훨씬 더 편안해 보이는 모습입니다! ^^

치아관리는 정말 마법같죠 ^_^
치아가 예뻐야 진정한 미인!
수술 없이 가지런해진 치아만으로도
전체 분위기와 이미지가
확 바뀌기 때문에
요새는 학생분들 뿐만아니라
중년 등의 어르신분들도
많이 관심 주시고 계신답니다 :)
더 궁금한 부분 있으시다면
언제든지 2D치과에서 운영하는
다양한 채널로 문의주세요 ^_^
친절하게 답변 도와드리겠습니다~!

나만의 테마 마스터 위젯 미션에 연재중인 글입니다.