아카이브 요약
이 페이지의 역할
2D치과의원의 네이버 블로그 원문을 보존한 아카이브 페이지입니다. 치아교정 카테고리의 2D치과 2D부분교정으로 아랫니만 빠르게! 글을 통해 병원의 한국어 정보 제공 방식과 진료 관련 안내 톤을 확인할 수 있습니다.
원문 검증
필요하면 원문 블로그와 병원 프로필로 바로 이동해 문맥을 다시 확인할 수 있습니다.
출처 아카이브 열기아카이브된 블로그 글
치과의원 · Naver Blog
안녕하세요 ^_^ 일요일에도 진료하는 치과, 2D치과입니다. 오늘은 아랫니만 삐뚤거릴 때 간단하게 부분교정하는 2D교정에 대해 소개해드릴게요. 아랫니는 윗니에 비해 대합치 (윗니아랫니가 교합하는 상태)와의 간섭이 없기 때문에 비교적 수월하게 2D교정 (부분교정)을 진행할 수 있습니다 :) 환자분 사례를 보며 자세하...
게시일
2021년 8월 14일
원문 기준으로 확인된 발행일입니다.
카테고리
치아교정
원문 블로그 카테고리를 정리해 함께 표시합니다.
이미지 수
11
현재 아카이브에 연결된 이미지 수입니다.
아카이브 요약
2D치과의원의 네이버 블로그 원문을 보존한 아카이브 페이지입니다. 치아교정 카테고리의 2D치과 2D부분교정으로 아랫니만 빠르게! 글을 통해 병원의 한국어 정보 제공 방식과 진료 관련 안내 톤을 확인할 수 있습니다.
원문 검증
필요하면 원문 블로그와 병원 프로필로 바로 이동해 문맥을 다시 확인할 수 있습니다.
출처 아카이브 열기안녕하세요 ^_^
일요일에도 진료하는 치과,
2D치과입니다.
오늘은 아랫니만 삐뚤거릴 때
간단하게 부분교정하는
2D교정에 대해 소개해드릴게요.
아랫니는 윗니에 비해
대합치 (윗니아랫니가 교합하는 상태)와의
간섭이 없기 때문에
비교적 수월하게 2D교정 (부분교정)을
진행할 수 있습니다 :)

환자분 사례를 보며
자세하게 설명해드릴게요 :)
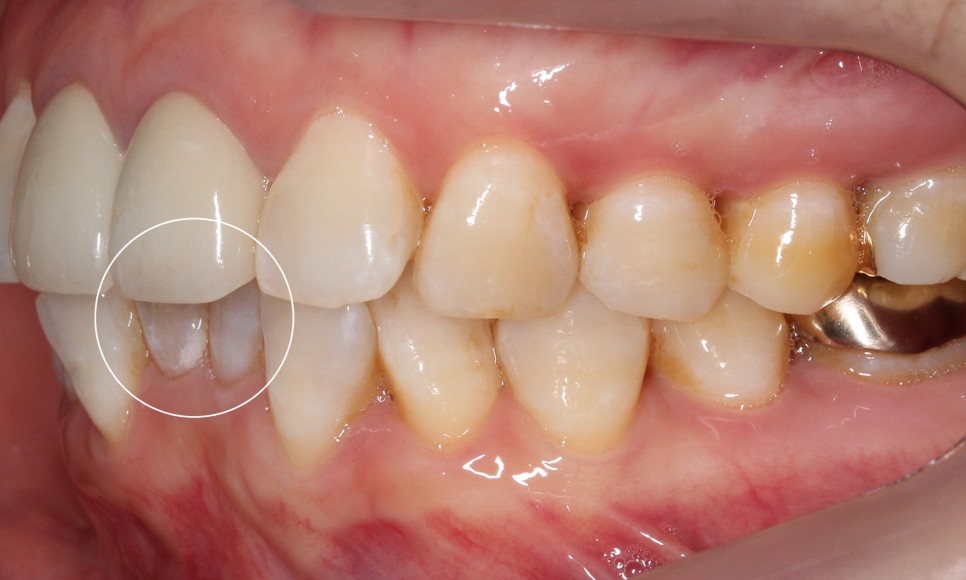
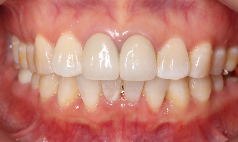
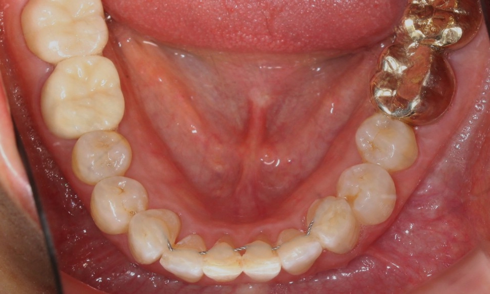
위 사진을 보시면
환자분의 아랫니 상태가
심하게 삐뚤거리는 모습을
확인할 수 있습니다.
치아 사이의 공간이 좁아서
작은앞니의 각도가
심하게 회전된 모습인데요.


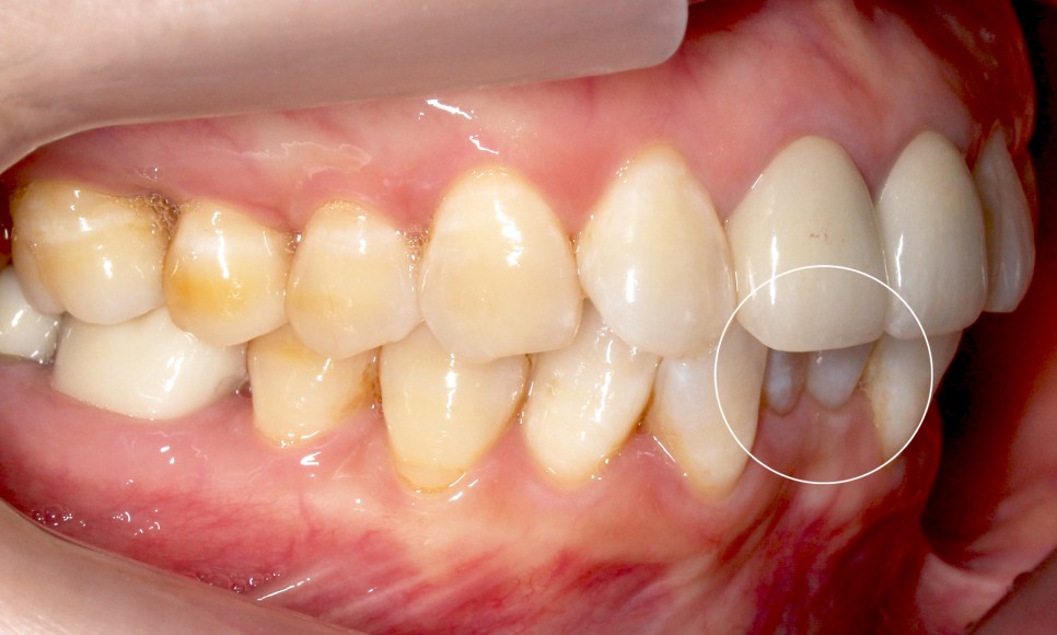
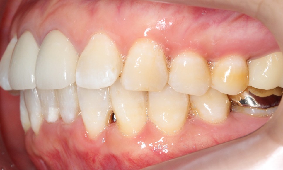
측면을 보시면
아랫니의 앞쪽이 윗니의 뒷쪽으로
많이 들어가 있는 것을
확인할 수 있습니다.
반대쪽으로 보아도
같은 모습을 확인할 수 있는데요.
이렇게 아랫니가 윗니를 향해
깊숙히 물린다면
아랫니의 절단연에 의해
윗니의 잇몸이 상처 입을 수 있습니다.

반면, 윗니는 아랫니에 비해
비교적 가지런한 상태였는데요.

이렇게 윗니는 고른 편인데
아랫니만 삐뚤어짐이 심한 상태일 땐
교정 정밀진단을 통해
아랫니만 2D교정 (설측 부분교정)으로
개선이 가능합니다.
2D교정의 경우,
브라켓의 크기가 매우 작고 얇아
교정 중 착용감이 다른 장치에 비해
월등히 좋은 편입니다 ^_^
또한 교정 기간도
다른 장치들과 비교하여
단기간에 마무리될 수 있기 때문에
심미적인 부분과 기능적인 부분 모두
만족할 수 있는 교정장치입니다.
저희 2D치과에서 부분교정으로
가장 많이 사용하는 장치입니다.
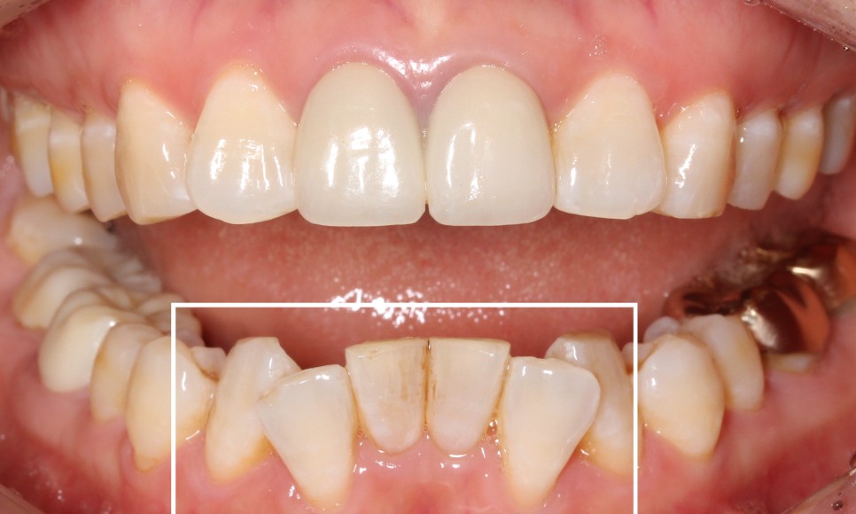
아랫니 부분교정 치료 후
2D치과 2D교정 전후사진

짜잔~!
아랫니 부분교정이 끝난 뒤의
치아 모습입니다.
약 9개월 정도 소요되었는데요^^
삐뚤거리던 아랫니가
정말 많이 정리된 모습이죠?
들쭉날쭉하던 아랫니의 전치부도
아랫니 2D교정으로
고르게 펼쳐진 모습입니다.
2D교정은 2D치과가
가장 잘하는 교정입니다 ^_^
일반적인 교정보다
교정방법이 정교하고 세밀하여
의료진의 숙련도와 임상 노하우에 따라
결과가 매우 달라지는데요.
그만큼 아무나 치료할 수 있는
교정이 아닌만큼
2D치과는 꾸준한 연구와 교육을 통해
더욱 실력을 높이기 위해
늘 노력하고 있습니다.

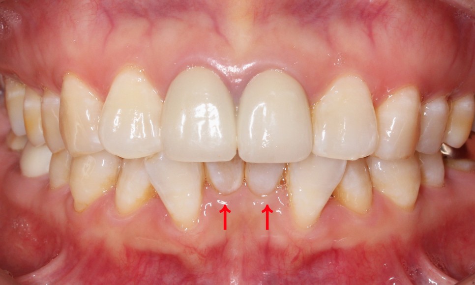
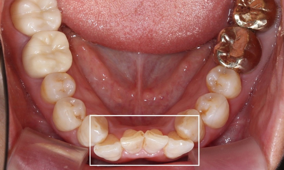
윗니에 가려져서
거의 보이지 않았던 아랫니도
2D부분교정을 통해
정상적인 교합상태로 바뀌었습니다.
과하게 물리는 모습이
많이 개선되었죠?
부분교정으로도 이렇게 큰 효과를
볼 수 있답니다 ^_^

전체적인 아랫니의 치열도
심하게 삐뚤거렸던
처음의 모습과는 달리
아랫니 부분교정 (2D교정) 으로
이상적인 치아의 배열인
U자 곡선의 형태로
바뀌었습니다.


2D교정 (설측부분교정) 전후사진
2D교정은 아주 작고 얇은
브라켓을 사용하여
치아 안쪽에 붙이는
설측교정으로 진행하기 때문에
교정장치의 노출이 없습니다.
그래서 승무원 분들이나 모델,
서비스직에 종사하시는 분들,
아나운서 등
발음에 신경써야 하거나
심미적인 부분에 신경써야 하는
직종에 일하시는 분들이
많이 선호하시고
만족도도 높은 교정장치입니다 ^_^
고민인 부분만 간단하게
교정할 수 있는 2D교정에 대해
더 궁금한 사항이 있으시다면
언제든지 다양한 채널로
연락주시면 친절하게 답변 도와드릴게요!
감사합니다.

나만의 테마 마스터 위젯 미션에 연재중인 글입니다.