아카이브 요약
이 페이지의 역할
2D치과의원의 네이버 블로그 원문을 보존한 아카이브 페이지입니다. 블랙필름 카테고리의 [투디치과] 블랙필름(비스포크) 치료의 다양한 사례 글을 통해 병원의 한국어 정보 제공 방식과 진료 관련 안내 톤을 확인할 수 있습니다.
원문 검증
필요하면 원문 블로그와 병원 프로필로 바로 이동해 문맥을 다시 확인할 수 있습니다.
출처 아카이브 열기아카이브된 블로그 글
치과의원 · Naver Blog
안녕하세요 :) 신논현역 치과, 투디치과입니다. 오늘은 저희 병원의 대표 진료과목인 블랙필름에 대해 자세하게 알아보도록 할게요^^ 깨지지 않고 단단한 0.1mm 블랙필름이 독보적인 기술력입니다. 블랙필름이란, 치아모양, 치아변색, 앞니깨짐, 삐뚤빼뚤한 치아 등으로 인해 내 치아가 마음에 들지 않을 때 치아 삭제를 전혀 하...
게시일
2021년 9월 24일
원문 기준으로 확인된 발행일입니다.
카테고리
블랙필름
원문 블로그 카테고리를 정리해 함께 표시합니다.
이미지 수
33
현재 아카이브에 연결된 이미지 수입니다.
아카이브 요약
2D치과의원의 네이버 블로그 원문을 보존한 아카이브 페이지입니다. 블랙필름 카테고리의 [투디치과] 블랙필름(비스포크) 치료의 다양한 사례 글을 통해 병원의 한국어 정보 제공 방식과 진료 관련 안내 톤을 확인할 수 있습니다.
원문 검증
필요하면 원문 블로그와 병원 프로필로 바로 이동해 문맥을 다시 확인할 수 있습니다.
출처 아카이브 열기안녕하세요 :)
신논현역 치과, 투디치과입니다.
오늘은 저희 병원의
대표 진료과목인 블랙필름에 대해
자세하게 알아보도록 할게요^^
![[투디치과] 블랙필름(비스포크) 치료의 다양한 사례 관련 이미지 1](https://pub-9f2bb3498faf4d1d8714b41df24753e3.r2.dev/content/clinics/archive/grb36g4zmx/naver_blog/dental2d/assets/by_hash/a7446464f4099be418c56775a24a261a3c92b34be445bf0b9945a21724870541.png)
![[투디치과] 블랙필름(비스포크) 치료의 다양한 사례 관련 이미지 2](https://pub-9f2bb3498faf4d1d8714b41df24753e3.r2.dev/content/clinics/archive/grb36g4zmx/naver_blog/dental2d/assets/by_hash/a8f8b675d9db606911917997a30a2f00a698886ac421bc7b681c1c031e365008.jpg)
깨지지 않고 단단한 0.1mm 블랙필름이 독보적인 기술력입니다.
블랙필름이란,
치아모양, 치아변색, 앞니깨짐,
삐뚤빼뚤한 치아 등으로 인해
내 치아가 마음에 들지 않을 때
치아 삭제를 전혀 하지 않고,
아주 얇은 0.1mm 두께의
맞춤형으로 제작된 세라믹 필름을
자연치에 그대로 부착하여
원하는 모양과 색상으로
만들어주는 심미치료입니다.
또한 치료 과정에서
마취하지 않고
자연치아도 전혀 삭제하지 않아
마취에 민감한 임산부나
노약자 환자분들도
안전하게 받을 수 있는
앞니치료입니다.
과거 라미네이트의 경우
치아를 삭제하여 치아가 민감해지고
시림증상과 같은 부작용이
생길 가능성이 있어
치료를 피하는 분들이 많았지만,
블랙필름은 투디치과와
기공소의 수작업 협업을 통해
무삭제로 치아를 성형하는 기술이라
볼 수 있습니다.
![[투디치과] 블랙필름(비스포크) 치료의 다양한 사례 관련 이미지 3](https://pub-9f2bb3498faf4d1d8714b41df24753e3.r2.dev/content/clinics/archive/grb36g4zmx/naver_blog/dental2d/assets/by_hash/bd80cf932fef354bb6a1efb8bb778ef25ef35b34dda6108caddbcf3478dc8a37.png)
라미네이트는
3D프린트와 같은 기계를 통해
제작하는 '밀링방식'으로
치아의 작은 굴곡과 요철까지
재현하기에는 한계가 있었는데요.
블랙필름은 수작업 프레싱 방식으로
제작되기 때문에
굉장히 얇게 제작 가능하며
치아의 미세한 표면까지
사실적으로 구현하여
치아 표면을 삭제하지 않고
자연치에 그대로 부착 가능합니다.
치아의 색상과 모양, 결은
개인마다 미세하게 차이가 있기 때문에
필름 하나하나 색상 파우더를 입히는
작업을 거쳐 완벽한 모양과
색상을 구현하게 됩니다.
수작업으로 제작하는 방식이다보니
2번 내원으로 완성 가능합니다.
![[투디치과] 블랙필름(비스포크) 치료의 다양한 사례 관련 이미지 4](https://pub-9f2bb3498faf4d1d8714b41df24753e3.r2.dev/content/clinics/archive/grb36g4zmx/naver_blog/dental2d/assets/by_hash/61ffb6118519c708bc21dfb2a46f19f1570ce3fdea66a3dfd4728e1118f14e2d.png)
블랙필름 앞니치료는
치료 과정 중 치아삭제가
전혀 없기 때문에
마취가 필요 없으며
내 자연치아 위에 붙이기 때문에
임시치아 역시 불필요 합니다.
블랙필름은 자연치아와
결합 강도가 높아
떨어질 가능성은 거의 없는데요.
일반 라미네이트 시술에서
치아삭제를 하게 되면
법랑질 안 쪽 상아질에
부착하게 되지만,
블랙필름은 우리 치아에서
가장 단단한 부분인 법랑질에
화학적 결합으로 부착되기 때문에
떨어질 가능성이 거의 없습니다.
또한 충치치료 후 크라운에
많이 쓰이는 지르코니아 보다
접착제와의 화학적 결합도가 높은
'리튬 디실리케이트' 로 제작 후
결합강도를 높이기 위해
치아 표면처리 및
필름 내면처리 과정을 진행하여
블랙필름만의 세팅 방식으로
높은 결합 강도를 자랑합니다.
![[투디치과] 블랙필름(비스포크) 치료의 다양한 사례 관련 이미지 5](https://pub-9f2bb3498faf4d1d8714b41df24753e3.r2.dev/content/clinics/archive/grb36g4zmx/naver_blog/dental2d/assets/by_hash/c1f1a7606abe7115d1fbad3b4c14f6d2347ae47ef30dc51bb968a27fca311a7a.png)
얇기 때문에 잘 깨질거라
생각하는 분들도 계실텐데요.
여러 단계의 내면처리 과정을 통해
치아의 에나멜층과 밀착하여
결합되기 때문에
치아구조 중 가장 강한 법랑질의
지지작용을 받아
쉽게 깨지지 않습니다.
앞니는 치아와 결합되는 부분도
적기 때문에
부딪힘이 잘 일어나지 않아
깨질 우려도 적습니다.
게다가 블랙필름을 부착하면
오히려 외부의 충격으로부터
자연치를 보호해주는 역할을 해주어
심미성과 기능성 두가지를
한번에 해결할 수 있습니다.
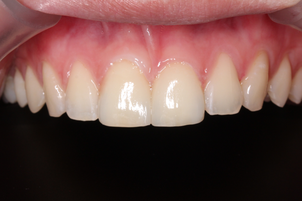
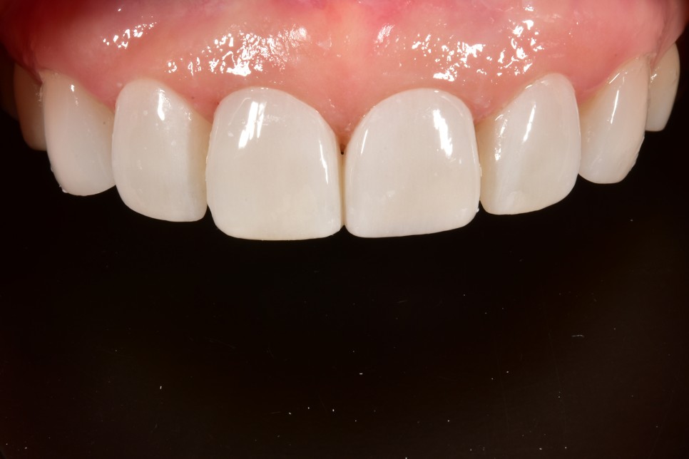
치아변색, 누런이를 하얗게!
투디치과 무삭제 라미네이트 <블랙필름 앞니치료>
![[투디치과] 블랙필름(비스포크) 치료의 다양한 사례 관련 이미지 6](https://pub-9f2bb3498faf4d1d8714b41df24753e3.r2.dev/content/clinics/archive/grb36g4zmx/naver_blog/dental2d/assets/by_hash/994811b0a4b659db35ec9a29f2fe126fc90fc91a2be9bf0a325d66c899d78d62.jpg)
![[투디치과] 블랙필름(비스포크) 치료의 다양한 사례 관련 이미지 7](https://pub-9f2bb3498faf4d1d8714b41df24753e3.r2.dev/content/clinics/archive/grb36g4zmx/naver_blog/dental2d/assets/by_hash/fda0405e737f58e2f8b22691aac1863c42950f6c17e819746e417fb6d8d1c366.jpg)
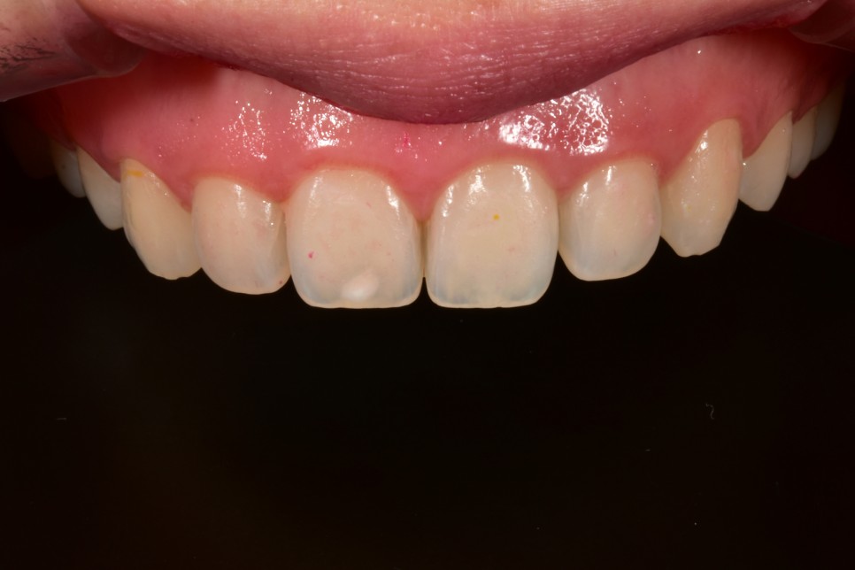
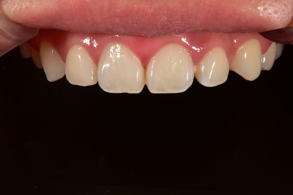
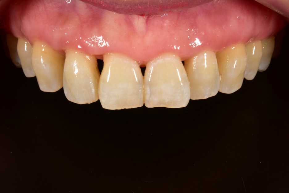
앞니 8개 블랙필름 치료 후
반상치 (화이트스팟) 증상은
치아 표면에 하얗거나 노란 빛의
불투명한 점이 생기는 것으로
흔히 불소의 과다사용이나
치아 외상에 의해
발생하게 됩니다.
이러한 반상치는 주로
앞니나 전치부를 중심으로
발생 하기 때문에
심미성을 떨어뜨리는 요소가 됩니다.
눈에 보이지 않는 정도로 생겼다면
문제가 되지 않지만
많은 경우에는 시선을 끌 정도로
크기가 크고 차지하는 면적도
넓은 경우엔 블랙필름을 통해
내 치아를 삭제하지 않고
단 2번 내원으로 완성되는
앞니치료를 받아 개선할 수 있습니다.
![[투디치과] 블랙필름(비스포크) 치료의 다양한 사례 관련 이미지 8](https://pub-9f2bb3498faf4d1d8714b41df24753e3.r2.dev/content/clinics/archive/grb36g4zmx/naver_blog/dental2d/assets/by_hash/5b6894c8c2cea2dfb4f388db3dfda8af07bd390bd5ac52ba76073a9a866199a2.jpg)
![[투디치과] 블랙필름(비스포크) 치료의 다양한 사례 관련 이미지 9](https://pub-9f2bb3498faf4d1d8714b41df24753e3.r2.dev/content/clinics/archive/grb36g4zmx/naver_blog/dental2d/assets/by_hash/b390d7a479114a333c0adacfc724631139f0e9fe987fe0beb8bab064a8de031b.jpg)
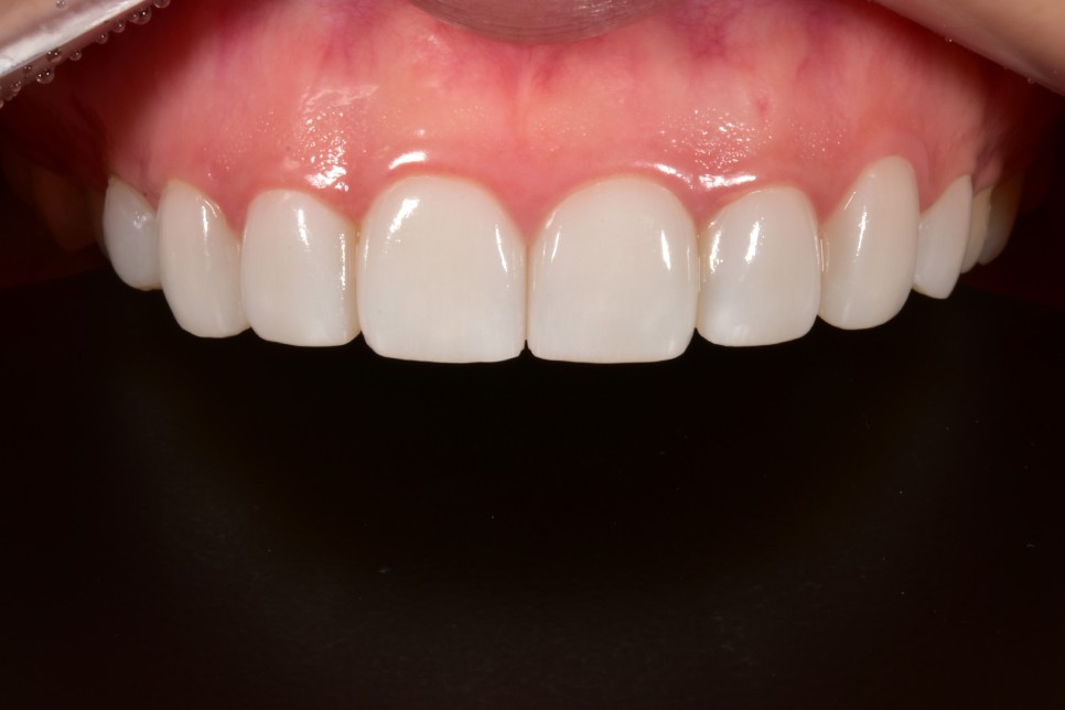
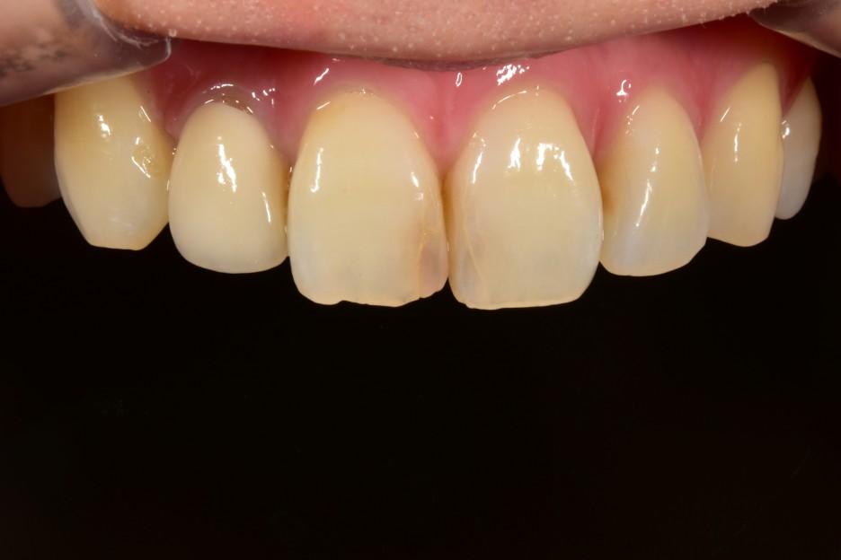
앞니 6개 블랙필름 치료 후
또한, 치아의 표면에 미세하게
흰색의 불규칙한 반점들이
보이는 경우가 있는데요.
이런 경우를 치아 탈회라고 합니다.
치아탈회는 치아교정 후
종종 발생하는 증상으로
치아 표면의 칼슘과 무기질이
빠져나가 겉면이 하얗게 보이는
부식 현상입니다.
탈회된 치아는 반상치와 달리
부분적으로 발생하는 것이 아니라
광범위하게 나타나는 것이
문제인데요.
일부만 가린다고 해결되지 않기 때문에
블랙필름과 같은 무삭제 라미네이트로
탈회된 치아 표면을 보완하여야 합니다.
![[투디치과] 블랙필름(비스포크) 치료의 다양한 사례 관련 이미지 10](https://pub-9f2bb3498faf4d1d8714b41df24753e3.r2.dev/content/clinics/archive/grb36g4zmx/naver_blog/dental2d/assets/by_hash/dd957c42f8cd93c55e203312e1f89584235283b915b1ffe833dc839c077097f5.jpg)
![[투디치과] 블랙필름(비스포크) 치료의 다양한 사례 관련 이미지 11](https://pub-9f2bb3498faf4d1d8714b41df24753e3.r2.dev/content/clinics/archive/grb36g4zmx/naver_blog/dental2d/assets/by_hash/c818aa6076be5120a6a7eafe097a6daa025398eac3975c18667f2d47859a5220.jpg)
또한 치아 변색, 누런이 등
전체적으로 치아가 누런 경우
치아미백을 통해 개선하려는
경우가 많은데요.
사실상 착색에 의해
색이 변한 케이스가 아닌
자연치의 색상 자체가
누런 경우에는
치아미백을 받아도 크게 개선되지
못 할 가능성이 높습니다.
이러한 경우 적용될 수 있는 방법이
무삭제 라미네이트, 블랙필름입니다.
2D치과의 블랙필름은
누런이빨 위에 아주 얇은
0.1mm 세라믹 필름을 부착하여
치아의 색상을 개선하고
여러가지 심미적 단점들을
보완할 수 있는 치료방법으로
영구적인 미백효과가 있습니다.
본을 뜬 후 3D프린트로 찍어내듯 만드는
최소삭제, 일반 라미네이트와 달리
수작업으로 한 층 한 층 레이어를 쌓아올려
만드는 프레싱 방식으로 제작되기 때문에
자연스러운 색감을 재현할 수 있습니다!
벌어진 앞니 메우기
투디치과 무삭제 라미네이트 <블랙필름 앞니치료>
치아가 벌어지면 복이 샌다?
라는 옛말이 있듯이
실제로 연령대 가리지 않고
벌어진 앞니에 대한 치료방법에 대해
많은 분들이 문의 주시는데요.
앞니의 벌어짐이 심해
말할 때 입을 벌리면
치아가 드러나게 되어
상당한 스트레스를 받아
교정을 알아봤지만
기간이 약 2년정도 오래 걸리고
교정장치를 계속 껴야 하는
불편함 때문에 치료를 미루는
분들이 굉장히 많습니다.
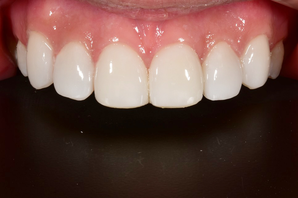
![[투디치과] 블랙필름(비스포크) 치료의 다양한 사례 관련 이미지 12](https://pub-9f2bb3498faf4d1d8714b41df24753e3.r2.dev/content/clinics/archive/grb36g4zmx/naver_blog/dental2d/assets/by_hash/03129ecfc8cf27eb5646f70451ca0d0b315e3ab8a8bfd4e78bf69df941fa52a5.jpg)
![[투디치과] 블랙필름(비스포크) 치료의 다양한 사례 관련 이미지 13](https://pub-9f2bb3498faf4d1d8714b41df24753e3.r2.dev/content/clinics/archive/grb36g4zmx/naver_blog/dental2d/assets/by_hash/b3bf5b5eccbf6ea636669974fbde2e2ba4cb2c0bfb2aaf676030dce7d3973c12.jpg)
앞니 4개 블랙필름 치료 후
기간이 오래 걸리는
치아교정 대신 받을 수 있는 방법이
바로 블랙필름 앞니치료입니다.
블랙필름을 통해
단 2번 내원으로 벌어져 있는
공간을 메울 수 있습니다.
블랙필름을 제작하는 단게에서도
자연치아와 비교했을 때
티가 나지 않도록 주변부의 치아들과
색상과 모양을 맞춰
수작업으로 제작합니다.
![[투디치과] 블랙필름(비스포크) 치료의 다양한 사례 관련 이미지 14](https://pub-9f2bb3498faf4d1d8714b41df24753e3.r2.dev/content/clinics/archive/grb36g4zmx/naver_blog/dental2d/assets/by_hash/160ccd71c325abf5018e3c14bc6b5213e0ff15e3d924a150b20ff6a86fb2a030.jpg)
![[투디치과] 블랙필름(비스포크) 치료의 다양한 사례 관련 이미지 15](https://pub-9f2bb3498faf4d1d8714b41df24753e3.r2.dev/content/clinics/archive/grb36g4zmx/naver_blog/dental2d/assets/by_hash/c9117407faa43495e943afd7052e4f9327f9c1a1b57405b518323ae19afa8820.jpg)
앞니벌어짐 전/후
![[투디치과] 블랙필름(비스포크) 치료의 다양한 사례 관련 이미지 16](https://pub-9f2bb3498faf4d1d8714b41df24753e3.r2.dev/content/clinics/archive/grb36g4zmx/naver_blog/dental2d/assets/by_hash/493ce80e69bf3ab8dc456fcb8f36d080b6fa5038644af8a939b67d2a8ff901f6.jpg)
![[투디치과] 블랙필름(비스포크) 치료의 다양한 사례 관련 이미지 17](https://pub-9f2bb3498faf4d1d8714b41df24753e3.r2.dev/content/clinics/archive/grb36g4zmx/naver_blog/dental2d/assets/by_hash/3b5d51d50ad9864c4cc809d44c30bbff9179334173da4ede68cafd33127bbe85.jpg)
앞니벌어짐 전/후
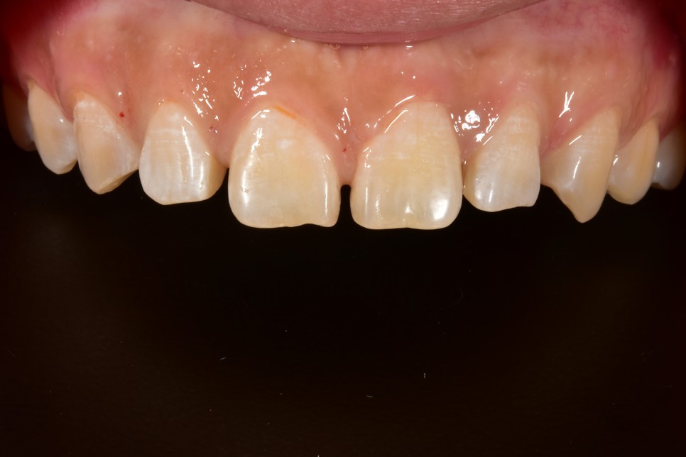
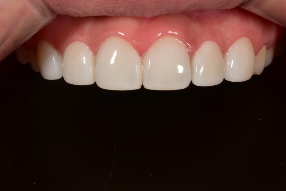
왜소치, 삐뚤빼뚤 치아를
가지런하게!
투디치과 무삭제 라미네이트 <블랙필름 앞니치료>
정상적인 치아의 크기보다
현저하게 작고 왜소한 치아를
왜소치라고 합니다.
![[투디치과] 블랙필름(비스포크) 치료의 다양한 사례 관련 이미지 18](https://pub-9f2bb3498faf4d1d8714b41df24753e3.r2.dev/content/clinics/archive/grb36g4zmx/naver_blog/dental2d/assets/by_hash/fbe11bc15fdd3c7172bf77bb2ba1703e7471cefa6423936b688921de5f743d16.jpg)
사진을 보시면 앞니 하나가
유독 다른 치아에 비해
크기가 작은 것을
확인할 수 있습니다.
이런 경우를 왜소치라고 합니다.
![[투디치과] 블랙필름(비스포크) 치료의 다양한 사례 관련 이미지 19](https://pub-9f2bb3498faf4d1d8714b41df24753e3.r2.dev/content/clinics/archive/grb36g4zmx/naver_blog/dental2d/assets/by_hash/ac142b73ff326c568ed37cb27bcf758e78f668b7925018bc446526affcc72abf.jpg)
![[투디치과] 블랙필름(비스포크) 치료의 다양한 사례 관련 이미지 20](https://pub-9f2bb3498faf4d1d8714b41df24753e3.r2.dev/content/clinics/archive/grb36g4zmx/naver_blog/dental2d/assets/by_hash/73436ff5c014dae996177964448d02af9e1c329ee1f8ffe17b3e8b1ec8414021.jpg)
왜소치 전/후
위 사진을 보시면
앞니 두개의 옆 치아들이
크기가 작은 왜소치인 것을
확인할 수 있는데요.
이렇게 왜소치가 있게 되면
치아의 크기가 균일하지 않아
삐뚤빼뚤 거리게 보일 수 있습니다.
![[투디치과] 블랙필름(비스포크) 치료의 다양한 사례 관련 이미지 21](https://pub-9f2bb3498faf4d1d8714b41df24753e3.r2.dev/content/clinics/archive/grb36g4zmx/naver_blog/dental2d/assets/by_hash/a6569ae9b3ff4efe2160d1830b5ad23eaf98eb2c6e4499937277d1b33d245f45.jpg)
![[투디치과] 블랙필름(비스포크) 치료의 다양한 사례 관련 이미지 22](https://pub-9f2bb3498faf4d1d8714b41df24753e3.r2.dev/content/clinics/archive/grb36g4zmx/naver_blog/dental2d/assets/by_hash/97951b17b5185000d42a0092526a56d82bf13ea2d72788c56b6c0cebfb1b076f.jpg)
왜소치로 인해
치아 끝 라인이 불규칙하거나
전체적인 치아의 균형이 좋지 않아
심미성이 떨어지는 경우
블랙필름을 통해
일정한 길이로 개선하여
치아의 균형을 맞출 수 있습니다.
블랙필름은 치아 삭제 없이
2번 내원으로 가지런하고
밝은 치아를 만들 수 있기 때문에
지리적, 시간적 한계가 있으신
환자분들도 부담없이 받고 계십니다.
![[투디치과] 블랙필름(비스포크) 치료의 다양한 사례 관련 이미지 23](https://pub-9f2bb3498faf4d1d8714b41df24753e3.r2.dev/content/clinics/archive/grb36g4zmx/naver_blog/dental2d/assets/by_hash/ffab88050b47cc9a7e4165e2594c1e3cac731fa1c950b70e6b2b12ceefa26df2.jpg)
![[투디치과] 블랙필름(비스포크) 치료의 다양한 사례 관련 이미지 24](https://pub-9f2bb3498faf4d1d8714b41df24753e3.r2.dev/content/clinics/archive/grb36g4zmx/naver_blog/dental2d/assets/by_hash/85850a89dc40524e8b8536ecb78a33ae8c5b89c0978acb6d7eb145ae1e497387.jpg)
왜소치 전/후
![[투디치과] 블랙필름(비스포크) 치료의 다양한 사례 관련 이미지 25](https://pub-9f2bb3498faf4d1d8714b41df24753e3.r2.dev/content/clinics/archive/grb36g4zmx/naver_blog/dental2d/assets/by_hash/9585f59c280907a5e3ffa213c1ac9b9058ce1aaa695e45e0a3da9648af7ef4a8.jpg)
![[투디치과] 블랙필름(비스포크) 치료의 다양한 사례 관련 이미지 26](https://pub-9f2bb3498faf4d1d8714b41df24753e3.r2.dev/content/clinics/archive/grb36g4zmx/naver_blog/dental2d/assets/by_hash/92d7e4d92bad27592d992ff52a54d97f3da233d416288e2d2ac452ea1da6371e.jpg)
왜소치 전/후
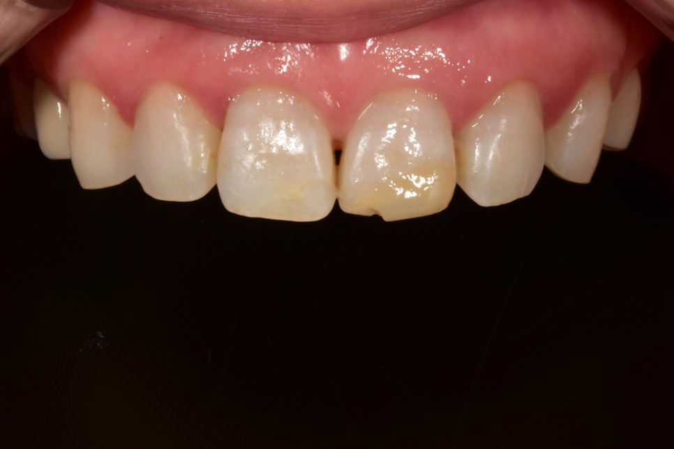
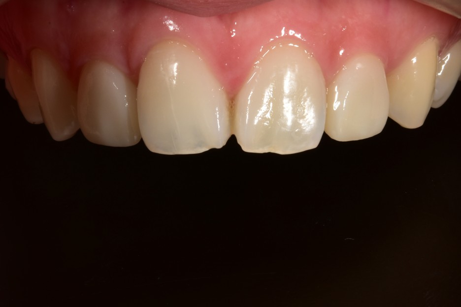
깨진 앞니,
블랙필름으로 개선!
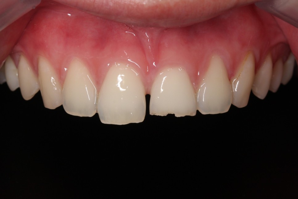
깨진 앞니는
레진으로 간단하게 치료할 수도 있지만
레진은 자연치와 다르게
변색에 약하고
시간이 지나면서 원래 치아와
색상이 차이가 나기 때문에
지저분해 보일 수 있습니다.
또한 강도도 많이 약하기 때문에
자연치처럼 사용하기엔
조금 무리가 있습니다.
그래서 주 재료가
리튬 디실리케이트로
변색과 착색에 강하고
강도도 높은 블랙필름 앞니치료가
장기적인 관점에서 좋은 선택이
될 수 있습니다.
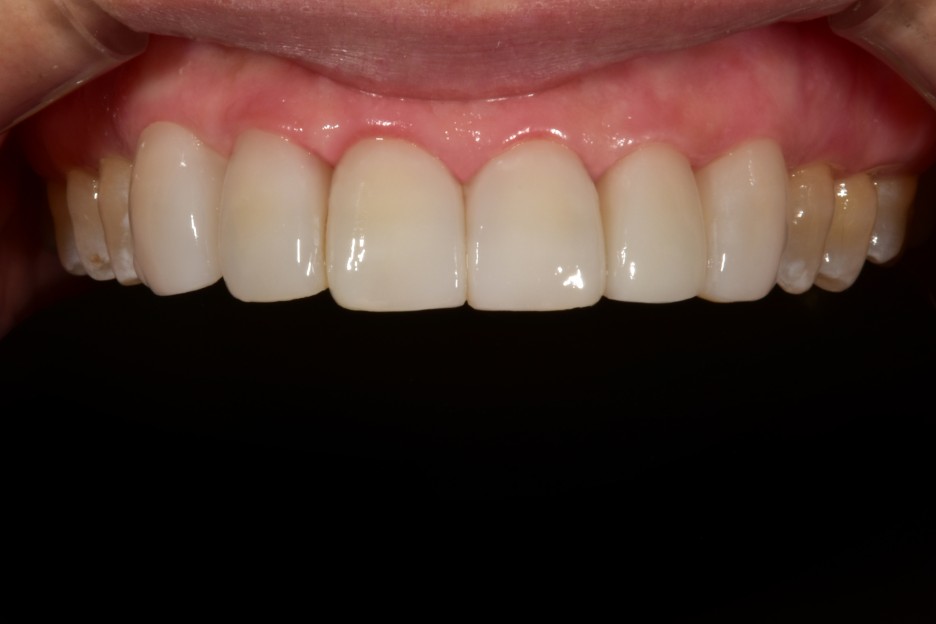
![[투디치과] 블랙필름(비스포크) 치료의 다양한 사례 관련 이미지 27](https://pub-9f2bb3498faf4d1d8714b41df24753e3.r2.dev/content/clinics/archive/grb36g4zmx/naver_blog/dental2d/assets/by_hash/1b7ff2efe9a9f63872b72545b58753c40b17b2486ebb861e0015d32568219157.jpg)
![[투디치과] 블랙필름(비스포크) 치료의 다양한 사례 관련 이미지 28](https://pub-9f2bb3498faf4d1d8714b41df24753e3.r2.dev/content/clinics/archive/grb36g4zmx/naver_blog/dental2d/assets/by_hash/74f90574822c2a108d8d71322cf458d5d615b0215478b6ce8019c6d6f93b9252.jpg)
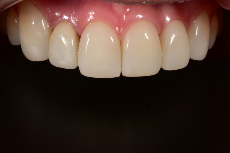
깨진앞니, 블랙필름 치료 후
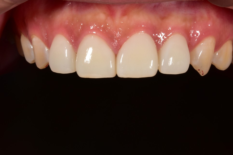
![[투디치과] 블랙필름(비스포크) 치료의 다양한 사례 관련 이미지 29](https://pub-9f2bb3498faf4d1d8714b41df24753e3.r2.dev/content/clinics/archive/grb36g4zmx/naver_blog/dental2d/assets/by_hash/eff4d43e13a24c720d21ec6e6d25921cbf466f3310aeaead59eb34e47d3766f5.jpg)
![[투디치과] 블랙필름(비스포크) 치료의 다양한 사례 관련 이미지 30](https://pub-9f2bb3498faf4d1d8714b41df24753e3.r2.dev/content/clinics/archive/grb36g4zmx/naver_blog/dental2d/assets/by_hash/57293f3b075e224ae649fa7f080cd05e089f3f350ea1e54dcd96647b6b0b9464.jpg)
깨진앞니, 블랙필름 치료 후
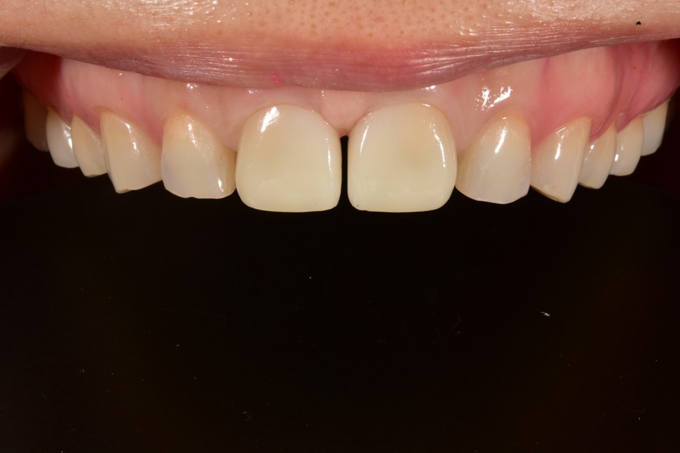
![[투디치과] 블랙필름(비스포크) 치료의 다양한 사례 관련 이미지 31](https://pub-9f2bb3498faf4d1d8714b41df24753e3.r2.dev/content/clinics/archive/grb36g4zmx/naver_blog/dental2d/assets/by_hash/1ec70eb559c74084254e434ef1053d5b98f70127f31666cee93478a570978375.jpg)
![[투디치과] 블랙필름(비스포크) 치료의 다양한 사례 관련 이미지 32](https://pub-9f2bb3498faf4d1d8714b41df24753e3.r2.dev/content/clinics/archive/grb36g4zmx/naver_blog/dental2d/assets/by_hash/5c4cc62b42763cbf02598d1cf572d6c0d5784ab81edc73a34d080255fe690147.png)
깨진앞니, 블랙필름 치료 후
오늘은 블랙필름의
치료 사례에 대해 알아보았는데요.
앞니에 대한 장인정신
Since 2016.
신논현역 치과, 투디치과
블랙필름에 대해
궁금하신 점 있으시다면
언제든지 다양한 채널을 통해
물어봐주세요 ^_^
친절하게 답변 도와드리겠습니다.
▼▼▼
전용 온라인 예약으로 빠르게 예약하기
▼▼▼
카톡으로 빠르게 상담하기
![[투디치과] 블랙필름(비스포크) 치료의 다양한 사례 관련 이미지 33](https://pub-9f2bb3498faf4d1d8714b41df24753e3.r2.dev/content/clinics/archive/grb36g4zmx/naver_blog/dental2d/assets/by_hash/3216be150bbda70288ecc8de7e77dc6acc3732599f37e9b6359f34132593961a.jpg)