아카이브 요약
이 페이지의 역할
2D치과의원의 네이버 블로그 원문을 보존한 아카이브 페이지입니다. 치아교정 카테고리의 2D치과 2D교정으로 4개월만에 덧니 개선! 글을 통해 병원의 한국어 정보 제공 방식과 진료 관련 안내 톤을 확인할 수 있습니다.
원문 검증
필요하면 원문 블로그와 병원 프로필로 바로 이동해 문맥을 다시 확인할 수 있습니다.
출처 아카이브 열기아카이브된 블로그 글
치과의원 · Naver Blog
안녕하세요 :) 신논현역 치과, 2D치과입니다. 오늘은 4개월만에 끝낸 덧니교정 케이스에 대해 소개할까 합니다 ^_^ 덧니교정, 2D교정으로 치료하기 덧니만 부분 교정 하고 싶어요. 전체교정으로 오랜시간 할 자신이 없어요. 가능할까요? 2D치과에선 단기 부분교정은 일반적으로 2~6개월 정도의 시간이 소요되는데요...
게시일
2021년 11월 21일
원문 기준으로 확인된 발행일입니다.
카테고리
치아교정
원문 블로그 카테고리를 정리해 함께 표시합니다.
이미지 수
14
현재 아카이브에 연결된 이미지 수입니다.
아카이브 요약
2D치과의원의 네이버 블로그 원문을 보존한 아카이브 페이지입니다. 치아교정 카테고리의 2D치과 2D교정으로 4개월만에 덧니 개선! 글을 통해 병원의 한국어 정보 제공 방식과 진료 관련 안내 톤을 확인할 수 있습니다.
원문 검증
필요하면 원문 블로그와 병원 프로필로 바로 이동해 문맥을 다시 확인할 수 있습니다.
출처 아카이브 열기
안녕하세요 :)
신논현역 치과, 2D치과입니다.
오늘은 4개월만에 끝낸
덧니교정 케이스에 대해
소개할까 합니다 ^_^
덧니교정,
2D교정으로 치료하기


덧니만 부분 교정 하고 싶어요.
전체교정으로 오랜시간 할
자신이 없어요.
가능할까요?
2D치과에선 단기 부분교정은
일반적으로 2~6개월 정도의
시간이 소요되는데요.
치아의 상태에 따라
기간이 조금씩 차이가 있습니다.


단기 부분교정이 가능한지
먼저 검사를 진행하였습니다.
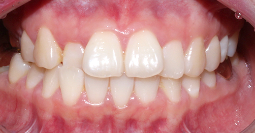
상악 오른쪽 측절치,
사진상으로 왼쪽이
반대로 물리는 반대교합입니다.
간단히 말해 덧니인데
옆에 송곳니와 앞니로 인해
더 도드라져 보이는 상태였습니다.
필요한 공간도 크게 부족하지
않기 때문에 2D교정으로
진행하기로 하였습니다.
2D교정이란 부분교정시
사용되는 재료로써
보이지 않는 교정장치라
환자분들의 만족도가
굉장히 높은 편입니다.


환자분의 치아는
전체적으로 보았을 때
필요한 공간이 크게 부족하지 않아
2D교정으로 바로 결정하였습니다.
치료기간도 평균보다
적게 걸릴 것으로 예상되며
효과도 좋을 것이라고
설명도 충분히 드렸답니다 ^_^


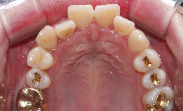
[치료계획]
상악 2D교정,
치아모양 수정,
IPR (치아사이공간 삭제)


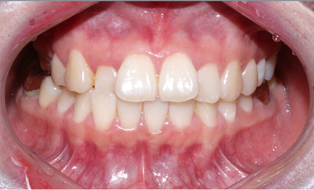
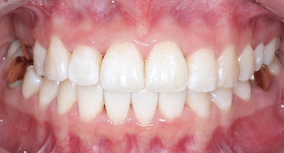
[4개월 교정이 끝난 모습]
4개월만에 가지런하게
치열이 바뀐 모습입니다.
생각보다 더 빠르게
교정이 끝났는데요 ^_^
치아 모양도 고르고 예쁘게
잘 교정되었습니다.
전체 교정만큼 고생하지 않고
빠른 기간동안 개선되어
환자분도 굉장히 만족하셨습니다.


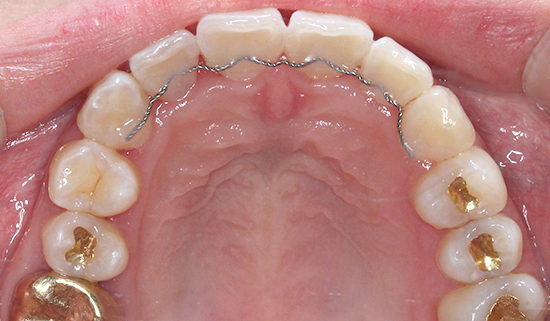
하지만 치아는
늘 제자리로 돌아가려는
성질이 있기 때문에
유지장치를 잘 해주셔야
가지런한 치아를
오랫동안 유지할 수 있습니다 :)
오늘은 2D교정을 통한
4개월 덧니개선 사례를
살펴보았는데요.
더 궁금한 사항이 있으시다면
언제든지 카톡/전화 문의주세요.
감사합니다.

나만의 테마 마스터 위젯 미션에 연재중인 글입니다.