아카이브 요약
이 페이지의 역할
2D치과의원의 네이버 블로그 원문을 보존한 아카이브 페이지입니다. 치아교정 카테고리의 [신논현역치과] 앞니돌출 2D교정으로 개선! 글을 통해 병원의 한국어 정보 제공 방식과 진료 관련 안내 톤을 확인할 수 있습니다.
원문 검증
필요하면 원문 블로그와 병원 프로필로 바로 이동해 문맥을 다시 확인할 수 있습니다.
출처 아카이브 열기아카이브된 블로그 글
치과의원 · Naver Blog
안녕하세요 ^_^ 신논현역 치과, 투디치과입니다. 오늘은 앞니돌출 케이스를 부분교정으로 개선한 사례에 대해 설명해드리고자 합니다. 앞니가 조금 긴 것 같아요. 전체교정으로 하면 기간이 얼마나 걸리나요? 환자분의 치아상태를 체크해보니 앞니 공간이 부족하여 살짝 돌출되면서 비틀어진 것을 확인할 수 있습니다. 이런 경우,...
게시일
2021년 11월 24일
원문 기준으로 확인된 발행일입니다.
카테고리
치아교정
원문 블로그 카테고리를 정리해 함께 표시합니다.
이미지 수
11
현재 아카이브에 연결된 이미지 수입니다.
아카이브 요약
2D치과의원의 네이버 블로그 원문을 보존한 아카이브 페이지입니다. 치아교정 카테고리의 [신논현역치과] 앞니돌출 2D교정으로 개선! 글을 통해 병원의 한국어 정보 제공 방식과 진료 관련 안내 톤을 확인할 수 있습니다.
원문 검증
필요하면 원문 블로그와 병원 프로필로 바로 이동해 문맥을 다시 확인할 수 있습니다.
출처 아카이브 열기![[신논현역치과] 앞니돌출 2D교정으로 개선! 관련 이미지 1](https://pub-9f2bb3498faf4d1d8714b41df24753e3.r2.dev/content/clinics/archive/grb36g4zmx/naver_blog/dental2d/assets/by_hash/0eb19a644e09c89f738da7f41df24295fcc2cbd02c8bb06a22a9730b902295b5.jpg)
안녕하세요 ^_^
신논현역 치과, 투디치과입니다.
오늘은 앞니돌출 케이스를
부분교정으로 개선한 사례에 대해
설명해드리고자 합니다.
![[신논현역치과] 앞니돌출 2D교정으로 개선! 관련 이미지 2](https://pub-9f2bb3498faf4d1d8714b41df24753e3.r2.dev/content/clinics/archive/grb36g4zmx/naver_blog/dental2d/assets/by_hash/d66769ea4c4c1a6b4aba9d21b4e070ac2594df7ace889bf91644c006dcf267f7.jpg)
![[신논현역치과] 앞니돌출 2D교정으로 개선! 관련 이미지 3](https://pub-9f2bb3498faf4d1d8714b41df24753e3.r2.dev/content/clinics/archive/grb36g4zmx/naver_blog/dental2d/assets/by_hash/109678e9b69e8263d1fe07f179945f657ffa1f481f5382d6979a64fa0f36ee90.jpg)
앞니가 조금 긴 것 같아요.
전체교정으로 하면
기간이 얼마나 걸리나요?
환자분의 치아상태를 체크해보니
앞니 공간이 부족하여
살짝 돌출되면서
비틀어진 것을 확인할 수 있습니다.
이런 경우, 부분교정으로 가능합니다.
앞니부분 돌출로 상담오시는
환자분들 중에서 전체교정을
고려하고 내원하셨다가
단기교정인 부분교정도 가능하다는
진단을 받으시고 매우 좋아하시는
분들도 많습니다 ^_^
하지만 모두 가능한 것은
아니기 때문에
정확한 정밀검사가 진행되야
진단 결과를 알 수 있답니다!
![[신논현역치과] 앞니돌출 2D교정으로 개선! 관련 이미지 4](https://pub-9f2bb3498faf4d1d8714b41df24753e3.r2.dev/content/clinics/archive/grb36g4zmx/naver_blog/dental2d/assets/by_hash/784b13700e2800da6c648598ddda3df4618ec68fbade09486788ab09bed7d63e.jpg)
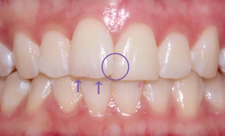
환자분의 상태는
상악 중절치와
앞니 절단연의 울퉁불퉁거림이
있는 편이어서
그 부분을 중점으로 치료하며
전체적인 배열에 맞게
2D교정 장치로
진행하기로 하였습니다.
동그라미가 되어있는 부분이
상악 우측 중절치로
치아가 입술 쪽으로 튀어나와
있는 상태입니다.
왼쪽 중절치와 겹쳐 보이고 있습니다.
2D치과는 화살표 부분의
절단연 (씹는면) 은
환자분의 요청에 따라
평평하게 연마하여
진행되었습니다.
![[신논현역치과] 앞니돌출 2D교정으로 개선! 관련 이미지 5](https://pub-9f2bb3498faf4d1d8714b41df24753e3.r2.dev/content/clinics/archive/grb36g4zmx/naver_blog/dental2d/assets/by_hash/7c5dd51b3ef101794dd4cc7f18e43aecbac67d980e8c61d82df82b410ed44705.jpg)
![[신논현역치과] 앞니돌출 2D교정으로 개선! 관련 이미지 6](https://pub-9f2bb3498faf4d1d8714b41df24753e3.r2.dev/content/clinics/archive/grb36g4zmx/naver_blog/dental2d/assets/by_hash/438cd3263ddc6b8114124c69e029951e97ff6cb3226a3b0f1fa7b6dbdf94d439.jpg)
불균형한 절단연의 원인은
불규칙한 치아배열로 인한 마모나
음식 등의 외부적인 요인이
있습니다.
절단연을 연마하는 것만으로도
심미적으로 굉장히 차이 나기 때문에
환자분의 요청에 따라
치아에 손상이 가지 않는
한도 내에서 심미성을 위해
조정 도와드렸습니다.
![[신논현역치과] 앞니돌출 2D교정으로 개선! 관련 이미지 7](https://pub-9f2bb3498faf4d1d8714b41df24753e3.r2.dev/content/clinics/archive/grb36g4zmx/naver_blog/dental2d/assets/by_hash/2dbff9a0e484ebc6dbf22ff313ac57dfcbc8975ea2a01e43a1e1a9a6f885ab82.jpg)
![[신논현역치과] 앞니돌출 2D교정으로 개선! 관련 이미지 8](https://pub-9f2bb3498faf4d1d8714b41df24753e3.r2.dev/content/clinics/archive/grb36g4zmx/naver_blog/dental2d/assets/by_hash/62ad164ae8ecbc2584f4a442df75cd718dea22c50893a49c5ff09cd9d52f91fa.jpg)
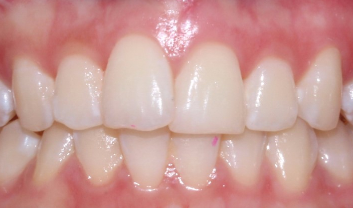
2D교정 교정기간 : 4개월
상악 오른쪽 앞니의 부분 돌출도
이상없이 고르게 교정이
완료 되었습니다.
하악 크라우딩
(자리가 없어 덧난 경우) 도
예쁘게 제자리를 찾아 갔습니다.
4개월만에 개선된 모습을 보니
환자분도 굉장히 만족해하셨는데요.
대신 그만큼 유지장치도
잘 착용해주시고
관리도 잘 해주셔야 한다는 점!
잊지 마세요 :)
![[신논현역치과] 앞니돌출 2D교정으로 개선! 관련 이미지 9](https://pub-9f2bb3498faf4d1d8714b41df24753e3.r2.dev/content/clinics/archive/grb36g4zmx/naver_blog/dental2d/assets/by_hash/8e7f0857938aae41b5c99b1affb6e1684ba8434145e39f774e5356e5cdc817d3.jpg)
![[신논현역치과] 앞니돌출 2D교정으로 개선! 관련 이미지 10](https://pub-9f2bb3498faf4d1d8714b41df24753e3.r2.dev/content/clinics/archive/grb36g4zmx/naver_blog/dental2d/assets/by_hash/2bb7fb428eabcd3b63c2571cbf02faa59cb03a9d3489b7554ae723bd63c3ff76.jpg)
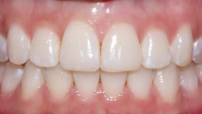
투디치과의 2D교정은
교정장치가 치아 안쪽으로 붙여
겉으로 보이지 않아
교정 방법 중에서
가장 심미적인 교정 방법입니다.
2D교정으로
간단한 앞니, 덧니, 나비치아 등
케이스에 따라 돌출입이나
좀 더 복잡한 교정 케이스도
가능하기 때문에
정확한 정밀검사 후 진단이
필요하답니다 ^_^
2D교정에 대해 궁금한 점
있으시다면
아래 다양한 채널로 문의주세요!
감사합니다.
![[신논현역치과] 앞니돌출 2D교정으로 개선! 관련 이미지 11](https://pub-9f2bb3498faf4d1d8714b41df24753e3.r2.dev/content/clinics/archive/grb36g4zmx/naver_blog/dental2d/assets/by_hash/3216be150bbda70288ecc8de7e77dc6acc3732599f37e9b6359f34132593961a.jpg)
나만의 테마 마스터 위젯 미션에 연재중인 글입니다.