아카이브 요약
이 페이지의 역할
2D치과의원의 네이버 블로그 원문을 보존한 아카이브 페이지입니다. 투디_정보 카테고리의 치아 블랙트라이앵글 원인, 예방, 치료 무삭제라미네이트 글을 통해 병원의 한국어 정보 제공 방식과 진료 관련 안내 톤을 확인할 수 있습니다.
원문 검증
필요하면 원문 블로그와 병원 프로필로 바로 이동해 문맥을 다시 확인할 수 있습니다.
출처 아카이브 열기아카이브된 블로그 글
치과의원 · ✅ 앞니에 대한 장인정신. Since 2016. 2D치과 ✅
안녕하세요, 앞니에 대한 장인정신으로 안전한 아름다움을 추구하는 신논현역 2D치과입니다. 지난 포스팅에서 완전 무삭제 앞니치료 <블랙필름>에 대해 설명해 드렸는데요. 오늘부터는 무삭제 라미네이트로 개선된 치료 사례에 대해 하나씩 소개해드리겠습니다. 오늘 소개해드릴 첫번째 사례는 블랙트라이앵글입니다....
게시일
2022년 9월 20일
원문 기준으로 확인된 발행일입니다.
카테고리
투디_정보
원문 블로그 카테고리를 정리해 함께 표시합니다.
이미지 수
12
현재 아카이브에 연결된 이미지 수입니다.
아카이브 요약
2D치과의원의 네이버 블로그 원문을 보존한 아카이브 페이지입니다. 투디_정보 카테고리의 치아 블랙트라이앵글 원인, 예방, 치료 무삭제라미네이트 글을 통해 병원의 한국어 정보 제공 방식과 진료 관련 안내 톤을 확인할 수 있습니다.
원문 검증
필요하면 원문 블로그와 병원 프로필로 바로 이동해 문맥을 다시 확인할 수 있습니다.
출처 아카이브 열기안녕하세요, 앞니에 대한 장인정신으로
안전한 아름다움을 추구하는 신논현역 2D치과입니다.

지난 포스팅에서
완전 무삭제 앞니치료 <블랙필름>에 대해 설명해 드렸는데요.
오늘부터는 무삭제 라미네이트로 개선된
치료 사례에 대해 하나씩 소개해드리겠습니다.
오늘 소개해드릴 첫번째 사례는 블랙트라이앵글입니다.
김가루 아니에요, 블랙트라이앵글이에요
먼저 블랙트라이앵글이 무엇인지 부터 설명해드리겠습니다.
블랙트라이앵글이란, 치아 사이의 틈, 앞니 사이의 구멍을 말해요.

<사진> 블랙트라이앵글
사진에 표시된 부분을 블랙트라이앵글이라고 합니다.
이 블랙 트라이앵글의 크기가 크면
김처럼 까만 무언가가 치아사이에 끼인걸로 보일 수도 있겠죠? ^^
그러면, 블랙트라이앵글은 왜 생길까요?
원래는 이 치아와 치아 사이의 공간을
치간유두가 채우고 있습니다.
치간유두란, 치의학적 용어로
치아와 치아사이를 채우고 있는 삼각형 형태의 잇몸을 뜻합니다.
치아와 치아 사이를 채워주던 이 치간유두가
점차 사라지면 블랙트라이앵글이 나타나는 거죠.
우리의 치아는 사람마다 차이가 있지만,
반듯한 직사각형의 모양이 아닌,
뿌리쪽으로 갈수록 좁아지는 사다리꼴 같은 모양을 하고 있어요.
따라서 위쪽은 붙어있지만,
잇몸 쪽은 치아끼리 딱 붙어있지 않아요.

<사진> 직사각형 모양이 아닌, 뿌리쪽이 좁은 치아의 모습
치아 위쪽의 붙어있는 곳
즉, 치아와 치아가 만나는 곳을 컨택포인트(Contact Point)라고 합니다.
잇몸 쪽에는 3mm가량의 잇몸살과
그 아래로 잇몸뼈가 있는데
잇몸 뼈와 컨택포인트의 길이가 5mm가 넘어가게 되면,
블랙트라이앵글이 생깁니다.

잇몸뼈와 컨택포인트가 5mm이하로 정상적으로 치간유두가 차 올라 있는 경우

잇몸뼈와 컨택포인트가 5mm 이상으로 치간유두가 사라진 경우
오늘의 주제인 라미네이트에서는 살짝 벗어나지만,
이 블랙트라이앵글의 치료에 대한 이야기를 하기 전에
블랙트라이앵글이 생기는 원인 얘기를 잠깐 해볼게요.
치료할 일 없도록 원인을 잘 알고, 예방하는 게 더 중요하니까요~^^
블랙 트라이앵글의 원인과 예방법
잇몸 염증
치태나 치석에 의해서 잇몸에 염증이 발생하면,
잇몸이 퇴축되면서 블랙트라이앵글이 생길 수 있습니다.
잇몸 염증으로 잇몸이 뿌리쪽으로 올라가면서
치아의 치경부가 드러나면,
치아의 길이도 길어 보여 미관상 좋지 않고,
가벼운 양치질에도 잇몸에서 출혈이 발생하거나,
시리고 붓는 증상으로 고통받을 수 있어요.
치태, 치석이 쌓이지 않도록
치실을 사용하는 것이 좋습니다.
치실의 사용으로 눈에 잘 보이지 않는 세균막을 제거해
건강한 잇몸을 유지하고,
치아 인접면의 출혈과 잇몸염증도 완화할 수 있습니다.
또한, 정기적인 스케일링과 검진으로 관리해주세요
https://www.youtube.com/watch?v=nTbK1d6tUqM
2D치과 김현모 대표원장님의 닥터모모 출연영상을 통해 올바른 치실 사용법 배워보아요~♡
잘못된 칫솔질 (feat. 분노의 양치질)
치아의 건강을 위한다고 하는 칫솔질이 의외로 독이 될 수 있습니다.
소위 '분노의 양치질' 아시죠?
치아를 깨끗하게 닦는다고 너무 힘을 주어서
뿌리 쪽을 세게 문지르면 오히려 잇몸이 상할 수 있어요.
칫솔질을 할 땐 '힘 조절' 꼭 기억하세요!
스케일링 후 블랙트라이앵글이 보이는 경우
스케일링 후 없던 블랙트라이앵글이 나타나는 경우가 있는데요.
이 경우는 스케일링이 블랙트라이앵글이라는 결과를 초래한 건 아닙니다.
원래 벌어져 있던 공간에 치석이 들어차 있어 눈에 띄지 않았을 뿐,
스케일링을 통해 치석을 제거하면서 블랙트라이앵글이 드러난거죠.
그러니까 스케일링으로 블랙트라이앵글이
'발생한'게 아니라 '드러난'거죠

치석제거 후 블랙트라이앵글이 드러나는 경우
블랙트라이앵글, 꼭 치료해야 할까요?
치아가 벌어지면, 심미적인 문제 뿐 아니라,
비어있는 공간에 음식물이 끼어 충치, 잇몸 질환 등을 유발할 수 있습니다.
치료를 통해 건강한 치아와, 아름다운 미소를 유지하는게 좋겠죠?
블랙트라이앵글의 치료 방법
레진치료
레진(Resin)은 치과에서 치아를 때울 때 자주 쓰이는
치아색의 합성수지 재료인데요.
블랙트라이앵글을 레진으로 때우는 치료도 가능합니다.
하지만 레진은 시간이 지남에 따라 변색이 일어나
때운 부위의 색이 변해 티가 날 수 있어요.
또, 쉽게 탈락한다는 한계점도 있습니다.
또, 치아 전체를 덮는 게 아니기 때문에
경계부위에 때가 끼면 티가 날 수밖에 없고,
벌어진 틈으로 충치나 잇몸염증 등의 문제가 발생할 수 있어요.
레진의 표면을 아무리 잘 다듬어도 치아표면보다 매끄럽게 만들 수는 없기에,
잘 관리하지 않으면 잇몸 염증의 원인이 되기도 해요.
이런 문제점들이 나타나기 때문에
많은 분들이 라미네이트를 선택합니다.
치아교정
치아 교정을 통한 치료는 크게 두 가지로 나누어서 봐야할 것 같습니다.
첫번째는,
치열이 삐뚤어지는 것을 예방하여
블랙트라이앵글이 더 심해지는 것을 방지하는 차원
두번째는,
이미 생긴 블랙트라이앵글을 줄여보기 위한 교정치료입니다.
이 경우, 치간삭제를 통해 치아교정을 하게 되는데,
교정으로 치료도 가능하지만,
멀쩡한 치아를 삭제해야 한다는 리스크를 감수해야 하죠.
또한,
치료기간이 레진이나 라미네이트에 비해 오래 걸린다는 단점이 있습니다.
라미네이트
일반 라미네이트로 치료가 가능합니다.
하지만 이 또한, 치아를 갈아내는 작업이 필요해요.
자연치는 소중하고,
한번 갈아내면 돌이킬 수 없기에
가급적 삭제하지 않는 방향이 안전하다고 생각합니다.
무삭제 라미네이트
삭제 없는 라미네이트로
치아의 법랑질 손상 없이 치료가 가능합니다.
본래의 내 자연치아를 건드리지 않고,
빈 공간만 메꿀수 있게 치아 디자인을 새로하여
위에 붙이기만 하면 끝.
▶ 치아의 삭제 없이
▶교정보다 빠르고
▶ 레진처럼 변색이나, 경계면 걱정 없이
블랙트라이앵글을 개선할 수 있는 치료입니다.
더불어 영구적인 미백효과도 누릴 수 있어요^^
실제로 블랙트라이앵글 개선을 위해
저희 2D치과를 찾아주시는 분들이 많으신데
치아 삭제 없이 진행하는 블랙필름을 통해
블랙트라이앵글을 개선한 사례들을
아래 사진으로 확인해보세요!
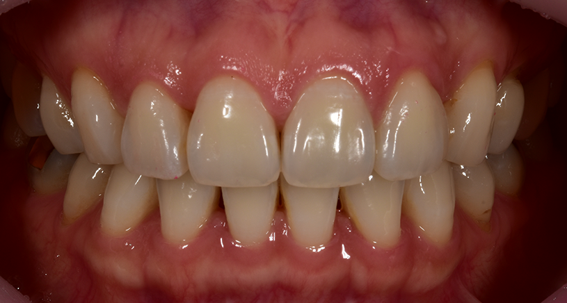
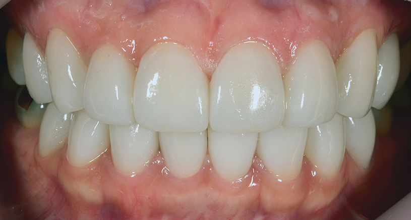
< 사례 1 >

블랙트라이앵글 무삭제라미네이트 <블랙필름> 치료 전

블랙트라이앵글 무삭제라미네이트 <블랙필름> 치료 후
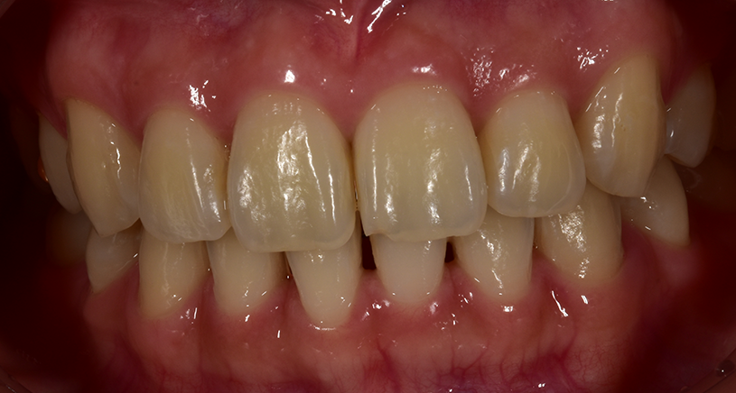
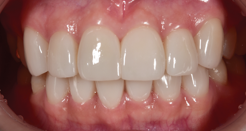
< 사례2 >

블랙트라이앵글 무삭제라미네이트 <블랙필름> 치료 전

블랙트라이앵글 무삭제라미네이트 <블랙필름> 치료 후
2D치과 카카오톡 상담 바로가기
2D치과 진료예약 바로가기
☞ https://limomed.azurewebsites.net/

