아카이브 요약
이 페이지의 역할
2D치과의원의 네이버 블로그 원문을 보존한 아카이브 페이지입니다. 투디_정보 카테고리의 왜소치 라미네이트 신논현역 2D치과 글을 통해 병원의 한국어 정보 제공 방식과 진료 관련 안내 톤을 확인할 수 있습니다.
원문 검증
필요하면 원문 블로그와 병원 프로필로 바로 이동해 문맥을 다시 확인할 수 있습니다.
출처 아카이브 열기아카이브된 블로그 글
치과의원 · ✅ 앞니에 대한 장인정신. Since 2016. 2D치과 ✅
안녕하세요, 앞니에 대한 장인정신으로 안전한 아름다움을 추구하는 신논현역 2D치과입니다. 신논현역 2D치과 지난 포스팅에서 완전 무삭제 앞니치료 <블랙필름>으로 블랙트라이앵글을 개선한 사례 소개해드렸는데요. 블랙트라이앵글 사례가 궁금하다면 여기로▼ https://blog.naver.com/dental2d/22287...
게시일
2022년 9월 29일
원문 기준으로 확인된 발행일입니다.
카테고리
투디_정보
원문 블로그 카테고리를 정리해 함께 표시합니다.
이미지 수
9
현재 아카이브에 연결된 이미지 수입니다.
아카이브 요약
2D치과의원의 네이버 블로그 원문을 보존한 아카이브 페이지입니다. 투디_정보 카테고리의 왜소치 라미네이트 신논현역 2D치과 글을 통해 병원의 한국어 정보 제공 방식과 진료 관련 안내 톤을 확인할 수 있습니다.
원문 검증
필요하면 원문 블로그와 병원 프로필로 바로 이동해 문맥을 다시 확인할 수 있습니다.
출처 아카이브 열기안녕하세요, 앞니에 대한 장인정신으로
안전한 아름다움을 추구하는 신논현역 2D치과입니다.

신논현역 2D치과
지난 포스팅에서 완전 무삭제 앞니치료 <블랙필름>으로
블랙트라이앵글을 개선한 사례 소개해드렸는데요.
블랙트라이앵글 사례가 궁금하다면 여기로▼
https://blog.naver.com/dental2d/222879631154
오늘은 '왜소치' 케이스에 대해 설명해드리겠습니다.
왜소치란?
왜소치란 정상적인 치아보다 크기가 작은 치아를 말합니다.
보통 상악 측절치, 사랑니, 과잉치에 많이 나타납니다.
왜소치의 경우 정상 치아보다 크기가 작기 때문에
치아 양옆으로 공간이 보이는 경우가 많습니다.
그래서 라미네이트 치료를 가장 많이 받는 케이스이기도 합니다.

<왜소치 케이스> 일반치아보다 크기가 작기 때문에 치아 양 옆으로 빈 공간이 발생
그러면 왜소치를 치료하는 방법을 한번 알아볼까요?
레진수복
레진의 장점은 시간적, 금전적 여유가 없는 경우
부담없이 치료받을 수 있다는 점입니다.
당장 내일 좋은 인상을 보여야 할 경우나
너무 바빠 치과에 내원할 시간이 하루밖에 없을 때
레진치료를 선택할 수 있습니다.
또, 라미네이트에 비해 비용이 적게 들어가기 때문에
금전적 여유가 없는 분들께서도 선택할 수 있는 옵션입니다.
하지만, 레진 치료 선택시 변색과 마모 두가지는 감안해야합니다.
레진의 평균 수명은 4~5년으로, 어느정도 시간이 경과하면 빈틈이 생기기 시작합니다.
이유는 레진은 시간이 지남에 따라 점점 마모되기 때문입니다.
이렇게 레진이 마모되면, 빈틈이 생기게 되고,
그 사이에 음식물이 끼어 충치가 생기기 쉬운 환경이 만들어져요.
레진의 또다른 취약점 중 하나는 변색입니다.
처음엔 하얗게 예쁘지만, 변색이 되면 심미적으로 좋지 않아
재치료를 원하는 상황이 발생하게 되죠.
그래서 특별히 지금 당장 급하게 왜소치의 빈공간을 채워야하는
경우가 아니라면 추천하는 치료법은 아닙니다.
왜소치 라미네이트
왜소치 케이스는 라미네이트 치료에 가장 좋은 케이스라고 할 수 있습니다
라미네이트 선택의 가장 큰 부담이 바로 '치아삭제'인데요
보통 무삭제 광고를 보고 치과에 내원해보면
'약간의 삭제'를 권해서 실망하는 경우가 많죠.
물론 저희 2D치과는 100%무삭제 <블랙필름>으로
어느 케이스에나 맞추어 무삭제 라미네이트 치료가 가능합니다만
첨부파일
치아무삭제_블랙필름.png
파일 다운로드
다시 본론으로 돌아가서,
왜소치의 경우 애초에 치아의 크기가 작기 때문에
일반적인 치과의 경우 치아 삭제를 하더라도 삭제량이 매우 적긴합니다.
하지만 그래도 무삭제로 하는게 내 치아를 위해 좋겠죠?
평균 수명이 4~5년 정도인 레진과 달리
파절, 잇몸관리(치실사용) 등 관리만 잘 한다면 변색도 없고 반영구적으로 유지가 가능합니다.
라미네이트 평생 쓰는 관리법은 여기▼
https://www.youtube.com/watch?v=nTbK1d6tUqM&t=169s
왜소치의 경우라도 무삭제가 안되는 경우가 있다고 하는 병원이 많은데요.
저희 2D치과는 자체 기공소를 통해
환자분의 치아에 맞추어 라미네이트 필름을 1:1로 수제작하기 때문에
무삭제로 치료하지 못하는 케이스는 없습니다.
진짜 무삭제 라미네이트인지 확인할 수 있는 방법▼
왜소치로 고민중이시라면,
라미네이트는 하고 싶은데 삭제가 부담스럽다면,
신논현역 2D치과에 들러주세요.
친절한 상담 약속드립니다!
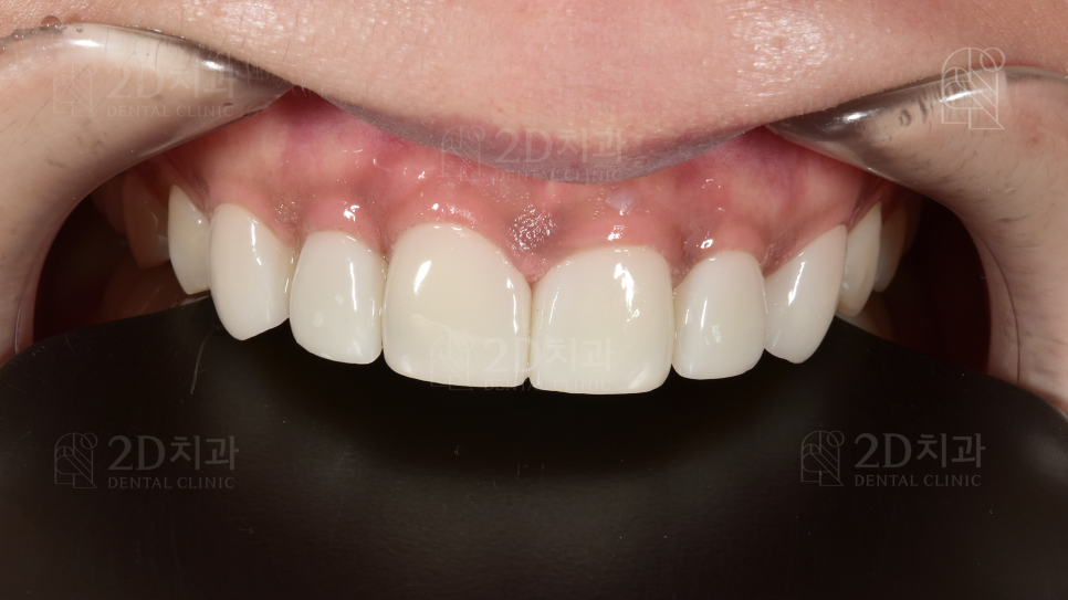
왜소치를 무삭제라미네이트로 치료한 사례
사진으로 소개해드릴게요.

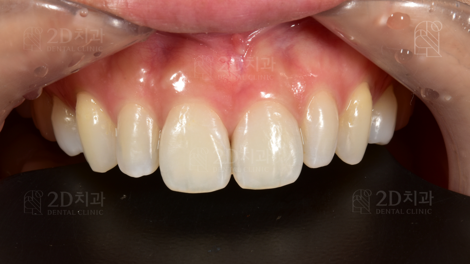
왜소치 케이스1 치료 전

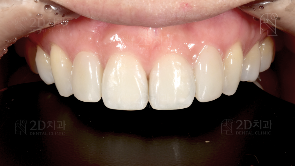
왜소치 케이스1 무삭제라미네이트 블랙필름 치료 후

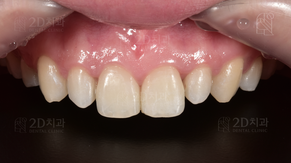
왜소치 케이스2 치료 전

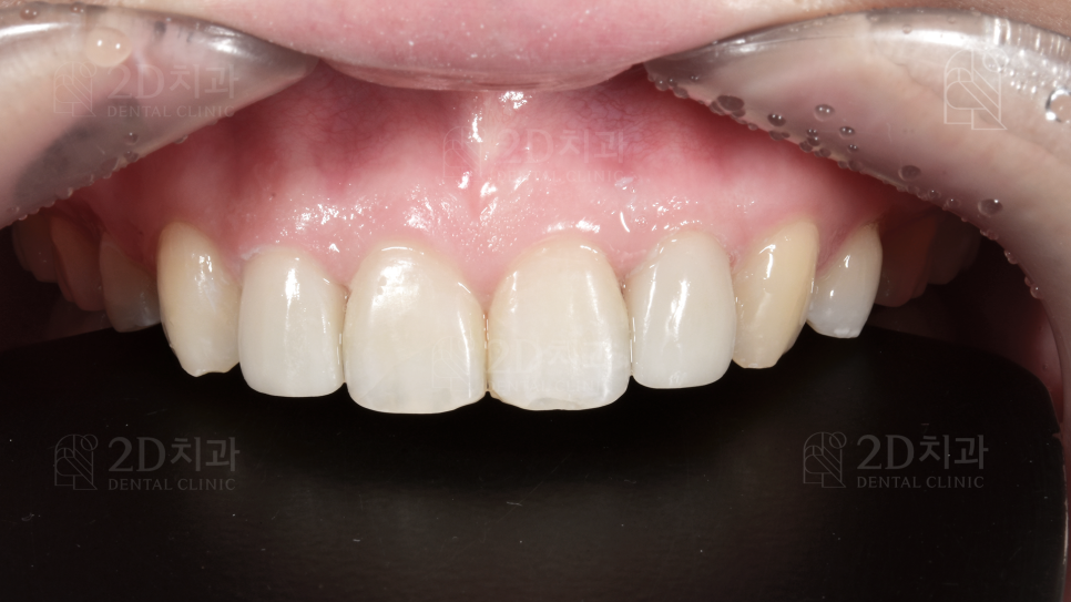
왜소치 케이스2 무삭제라미네이트 블랙필름 치료 후

왜소치 케이스3 치료 전

왜소치 케이스3 무삭제라미네이트 <블랙필름> 치료 후
정리하면,
왜소치는, 정상 치아보다 크기가 작은 치아
왜소치의 치료방법은
| 왜소치 치료법 | 장점 | 단점 |
|---|---|---|
| 레진수복 | 빠르게, 부담없는 비용 | 짧은 수명 마모 변색 |
| 라미네이트 | 긴 수명, 영구미백까지 한번에 | 치아 삭제 |
| 무삭제라미네이트 | 긴 수명, 영구미백, 무삭제로 자연치 보존 | ? |
친절한 카톡상담 바로가기 ▼
예약 바로가기 ▼
