아카이브 요약
이 페이지의 역할
2D치과의원의 네이버 블로그 원문을 보존한 아카이브 페이지입니다. 투디_정보 카테고리의 앞니깨짐 (앞니파절) 치료방법 세 가지 - 레진, 라미네이트, 크라운 글을 통해 병원의 한국어 정보 제공 방식과 진료 관련 안내 톤을 확인할 수 있습니다.
원문 검증
필요하면 원문 블로그와 병원 프로필로 바로 이동해 문맥을 다시 확인할 수 있습니다.
출처 아카이브 열기아카이브된 블로그 글
치과의원 · ✅ 앞니에 대한 장인정신. Since 2016. 2D치과 ✅
안녕하세요, 앞니에 대한 장인정신 신논현역 투디치과입니다. 신논현역 4,5 번출구 808빌딩 8층 2D치과 지난 포스팅에서 완전 무삭제 앞니치료 <블랙필름>으로 블랙트라이앵글과 왜소치를 치료한 사례 소개해드렸는데요. 블랙트라이앵글 사례가 궁금하다면 여기로▼ https://blog.naver.com/den...
게시일
2022년 10월 10일
원문 기준으로 확인된 발행일입니다.
카테고리
투디_정보
원문 블로그 카테고리를 정리해 함께 표시합니다.
이미지 수
9
현재 아카이브에 연결된 이미지 수입니다.
아카이브 요약
2D치과의원의 네이버 블로그 원문을 보존한 아카이브 페이지입니다. 투디_정보 카테고리의 앞니깨짐 (앞니파절) 치료방법 세 가지 - 레진, 라미네이트, 크라운 글을 통해 병원의 한국어 정보 제공 방식과 진료 관련 안내 톤을 확인할 수 있습니다.
원문 검증
필요하면 원문 블로그와 병원 프로필로 바로 이동해 문맥을 다시 확인할 수 있습니다.
출처 아카이브 열기안녕하세요, 앞니에 대한 장인정신
신논현역 투디치과입니다.

신논현역 4,5 번출구 808빌딩 8층 2D치과
지난 포스팅에서 완전 무삭제 앞니치료 <블랙필름>으로
블랙트라이앵글과 왜소치를 치료한 사례 소개해드렸는데요.
블랙트라이앵글 사례가 궁금하다면 여기로▼
https://blog.naver.com/dental2d/222879631154
왜소치 사례가 궁금하다면 여기로▼
https://blog.naver.com/dental2d/222887538917
오늘은 '앞니 파절' 즉, 앞니 깨짐 케이스 소개해드릴게요!
앞니 파절은 의외로 흔해요.
누구나 살면서 포크 한번씩은 다 씹어보잖아요?
저만 그런거 아니죠?

#앞니파절 #앞니깨짐
간장게장 먹다가 앞니가 깨졌어요,
치아의 성분은 뼈와 비슷하지만, 뼈보다 단단하다고 알려져 있습니다.
특히 치아의 겉면인 법랑질은 전체의 96%가 무기질 성분으로 구성되어 있어
우리 몸에서 가장 단단한 경조직입니다.
하지만 포크, 젓가락, 딱딱한 게껍질 등에 의해 의외로 쉽게 깨질 때가 있어요
https://terms.naver.com/entry.naver?docId=5669773&cid=63057&categoryId=63057
앞니가 깨졌을 땐 어떻게 해야할까요?
1/3 이하
일단 앞니가 깨졌다면 손상된 정도와 범위를 잘 살펴봐야합니다.
치아의 일부, 1/3 정도만 손상된 경우라면 레진 또는 라미네이트로 치료가 가능합니다.

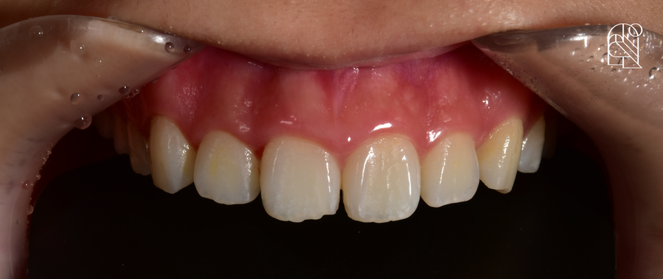
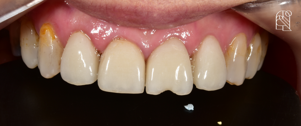
치아파절의 치료 전

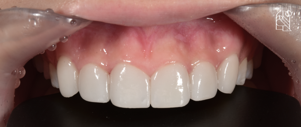
치아파절 무삭제라미네이트 <블랙필름> 치료 후
레진은 비용면에서 저렴하다는 장점이 있지만,
파절 부위가 큰 경우라면
레진으로 치료했을 때 강도가 약해 저작력에도
마모되거나 탈락되는 일이 생길 수 있습니다.
또, 시간이 지나면 변색이 되고,
경계부위가 티날 수 있어서 유지 기간이 길지 못하다는 한계가 있어요.
그래서 레진보다는 라미네이트 치료가 더 좋습니다.
라미네이트는 앞니의 심미성을 살리고, 강도도 보장이 되는데
영구 미백 효과까지 있어 환자분들의 만족도가 높은 치료법입니다.
하지만 라미네이트의 경우 치아를 삭제한다는 인식이 있어서
부담스러워 하는 분들이 많죠?
저희 투디치과는 자연치의 보존을 가장 중요하게 생각하기 때문에
자연치를 전혀 삭제하지 않는 무삭제 라미네이트 <블랙필름> 치료를 하고 있습니다.

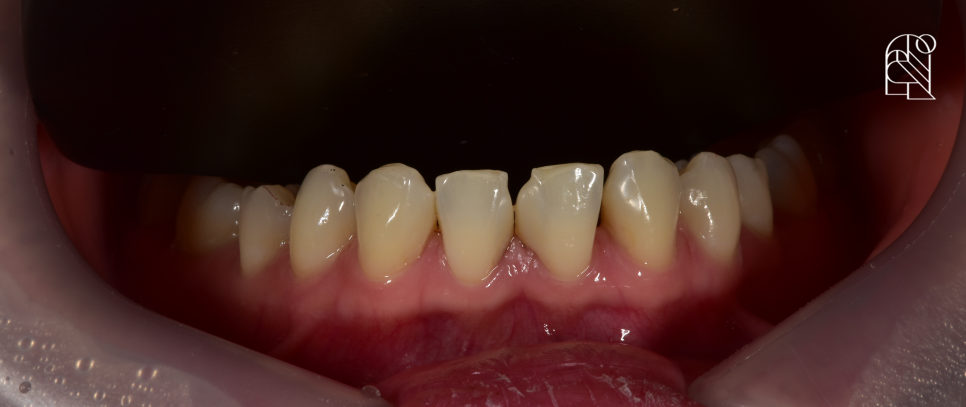
아랫니 치아파절 치료 전

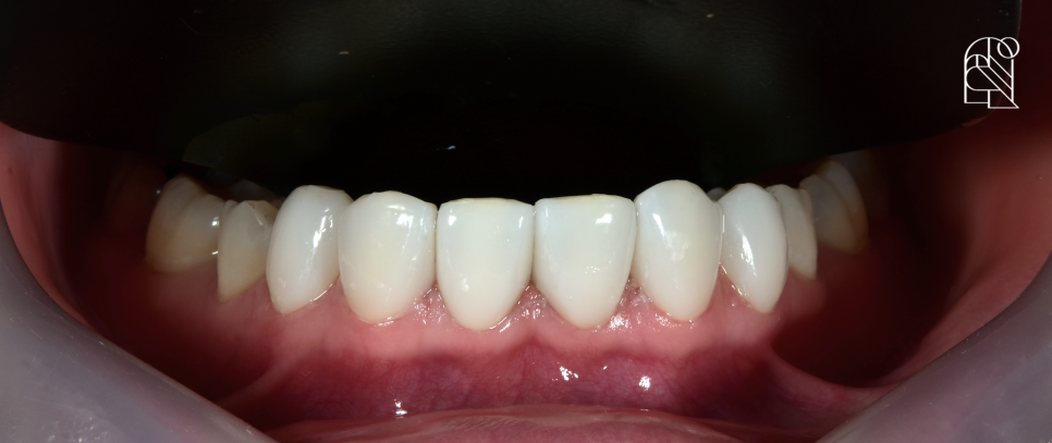
아랫니 치아파절 무삭제 라미네이트 <블랙필름> 치료 후

치아파절 치료 전

치아파절 무삭제 라미네이트 <블랙필름> 치료 후
https://www.youtube.com/watch?v=0FMhkIzmOfk&t=25s
첨부파일
치아무삭제_블랙필름.png
파일 다운로드
라미네이트 치료는 파절된 앞니의 복원 뿐 아니라
치아의 변색 걱정 없는 영구미백 효과까지 있기에
환자분들의 만족도가 높은 치료입니다.
1/3 이상
파절 부위가 1/3 이상으로 크거나, 신경까지 노출된 경우라면
손상된 신경을 먼저 치료하고,
추가 파절을 막기 위해 크라운이나 올세라믹으로 치아 전체를 씌우는 치료를 합니다.
요약!
| 파절의 정도 | 치료법 | 장점 | 단점 |
|---|---|---|---|
| 1/3 이하 | 레진 | 비용 | 유지기간 단기변색 경계면 티날 수 있음 |
| 라미네이트 | 강도변색없음(영구미백)심미성 | 자연치 삭제 | |
| 무삭제 라미네이트 | 강도변색없음(영구미백)심미성무삭제(자연치보존) | 비용? | |
| 1/3 이상 | 크라운 또는 올세라믹 | 저작력(강도) | |
| 뿌리까지 손상된 경우 | 임플란트 (손상된 치아를 회복 할 수 있는 현존 하는 가장 좋은 방법) |
가장 중요한 것은 자연치를 보존하는 것
넘어지거나 포크, 젓가락을 씹는 등
생활 속 크고 작은 사고로 앞니가 깨졌을 때
가장 중요한 것은 최대한 자연치를 보존하는 것입니다.
앞니의 경우 저작력이 그렇게 크게 요구되는 치아는 아니지만
심미적 역할이 큰 치아인 만큼 섬세한 치료가 필요합니다.
뜻하지 않은 사고로 앞니가 깨졌더라도
너무 속상해하지 마시고,
꼭 치과에 내원하셔서 진단 받고,
건강하고 환한 미소라인 되찾으시기 바랍니다.
친절한 카톡상담 바로가기 ▼
예약 바로가기 ▼
https://limomed.azurewebsites.net/
